所有内脏器官与常人左右相反,六安一“镜面人”走进市中医院手术室……

问AI · 医生在反转解剖中如何克服习惯挑战?
她活了五十多年,从未想过自己的身体竟如此“与众不同”——所有内脏器官都与常人左右相反,就像照镜子一样。当这样的“镜面人”需要接受肝胆手术时,医生们该如何在“反转”的世界里精准操作?今天,让我们一起走进这个罕见而温暖的医疗故事。


意外发现

她的身体藏着“镜像秘密”



两个月前,50多岁的张女士(化名)开始感到右上腹隐隐作胀。“大概是老毛病又犯了,吃点药应该没事。”她起初并未在意。


然而,症状持续不缓解,她来到六安市中医院就诊。超声检查的结果,让所有人都吃了一惊。


除了“肝囊肿、胆囊结石”的诊断,报告上还有一行字格外醒目:


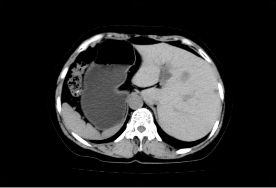
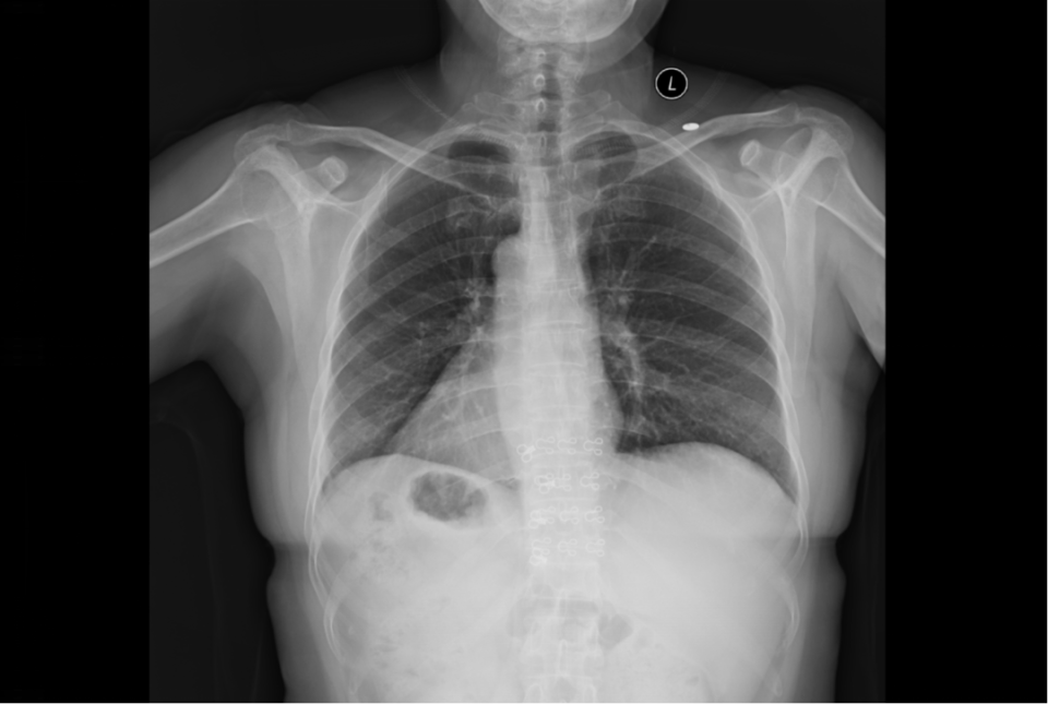
全内脏反位


什么是“全内脏反位”?简单来说,张女士的心脏、肝脏、胆囊、脾胃等所有胸腹腔器官,位置都与正常人完全左右对调。就像照镜子时看到的自己,医学上形象地称之为“镜面人”。


图片
图片


这种先天变异的发生率极低,大约每万人中仅有1例。对于普通人来说,这只是一个有趣的医学名词;但对于即将接受手术的张女士和她的主刀医生来说,这意味着巨大的挑战。



艰难抉择

在"反转世界"里动刀,有多难?


对于外科医生而言,人体解剖结构就像一张烂熟于心的“地图”——肝脏在右上腹、心脏偏左、脾脏在左侧......这些认知早已融入每一次手术操作的肌肉记忆中。


但面对张女士,一切都“反”了:熟悉的解剖标志物出现在了相反的位置,常规的手术入路需要重新规划,每一个操作动作都要克服强烈的习惯惯性。


“就像你习惯了用右手写字,突然要你全程用左手,而且不能写错一个字。”医生这样形容。稍有不慎,就可能损伤周围血管和组织,带来难以预料的风险。


迎难而上

一场精心编排的"镜像之舞"


面对这一特殊病例,六安市中医院肝胆胰外科团队没有退缩。


术前,他们做了最充分的准备:多次组织病例讨论,反复研究影像资料,针对反位的解剖结构制定了详尽的手术预案和应急预案。每一个手术步骤、每一个可能出现的意外情况,都被仔细推演。


术中,他们展现了最精湛的技术:在无影灯下,主刀医生屏息凝神,在“反转”的视野下精准操作——分离粘连、定位病灶、仔细切除......每一个动作都小心翼翼,却又行云流水。几个小时后,手术圆满成功。



悉心守护

术后护理的"特别关照"


手术成功只是第一步。对于张女士这样的特殊患者,术后观察与护理同样容不得半点马虎。医护团队为她量身定制了监护方案:


密切观察生命体征,特别关注腹腔引流液的变化,警惕因血管位置差异可能带来的隐匿性出血;


仔细评估腹部体征,由于脏器位置相反,腹痛或压痛的位置提示意义完全不同,医护人员需要重新建立判断标准;


重点关注功能恢复,预防因解剖结构特殊可能出现的胃肠动力异常或胆汁引流问题。


在科室全体医护人员的悉心照护下,张女士平稳度过了围手术期,没有出现任何并发症,恢复迅速,顺利出院。



温暖结局

她说,谢谢你们没有放弃


近日,张女士遵医嘱返院复查。复查结果显示,术后恢复情况非常理想,原有症状完全消失,身体各项指标均处于良好水平。


“说实话,刚知道自己这么特殊的时候,我心里挺害怕的。”张女士笑着说,“但医生们一直安慰我,说虽然少见,但他们有把握。现在恢复得这么好,真的特别感谢他们!”


她特意为肝胆胰外科团队送来锦旗,表达由衷的谢意。


医者心声

每一个生命,都值得全力以赴


从医多年,我们遇到过各种各样的患者——有的病情复杂,有的体质特殊,有的情况罕见。但每一次,我们想的都是同一件事:


如何让患者平安康复。


张女士的手术,对我们来说是一次挑战,更是一次成长。它提醒我们,医学的道路没有尽头,每一次“第一次”都是积累经验、提升技术的机会。


在六安市中医院,我们始终相信:


无论病情多么复杂,无论患者多么“特殊”,只要患者把健康托付给我们,我们就一定会全力以赴。


这,就是医者的初心。



来源:六安市中医院