万幸!穆迪是髌腱撕裂非断裂:手术后大部分可恢复膝关节正常功能

问AI · 髌腱撕裂与断裂的预后差异有多大?

图片

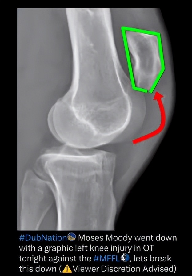
北京时间3月25日,金州勇士队官方发布了摩西-穆迪的MRI检测报告,经过核磁共振后,确定穆迪是左膝髌腱撕裂,他将在本周晚些时候接受手术,并将缺席25-26赛季剩余的比赛。穆迪是在对阵独行侠比赛加时赛还剩58.5秒一次快攻中无对抗受伤,恢复时间在9-12个月。

图片

北京时间3月25日金州勇士队官方也晒出了穆迪与多位队友击掌的图片,官方声称全队会等他归来。

图片

医学专家Brian Sutterer在个人的播客详细的分析了穆迪受伤的瞬间,他最终解析的结果是髌腱断裂而非向外侧移位的髌骨脱位,从机制上看当肌腱在被拉伸(离心)状态下,突然承受强烈收缩(向心),容易在极限负荷下发生断裂,这一点与跟腱断裂的受伤模式类似。

图片

所以最终穆迪的诊断结果是左膝髌腱撕裂已经是万幸,因为这两种诊断结果会完全不同。正如科尔所说:核磁共振检查结果是干净的,是(髌腱)的问题。软骨和骨头都没有受损,这算是好消息。这也意味着手术相对比较基础。

图片

我查阅了髌腱撕裂与髌腱断裂的治疗方式与愈后的细节,从损伤程度、手术复杂情况、愈合后的情况都完全不同。

1.髌腱撕裂是指部分或小片肌腱纤维的完整性被破坏,而髌腱断裂则是指整个肌腱完全从骨附着点分离;

2.髌腱撕裂时,是相对轻微的组织损伤;而髌腱断裂通常伴有剧烈疼痛、肿胀和运动障碍;

3.髌腱撕裂后手术的难度不大,大概率是微创手术,而髌腱断裂的手术难度较大,如果微创手术无法修复需要进行开放性手术;

4.愈合的情况,髌腱撕裂经过适当的治疗与康复训练多数患者可以恢复正常的膝关节功能;而髌腱断裂可能会导致长期的运动功能障碍,甚至需要超长的康复过程。

作者声明:个人观点,仅供参考