快自查!福建一对夫妻双双确诊癌症!问题竟出在饭桌上……医生:很多家庭都有

问AI · 长期趁热吃喝如何悄悄损伤食管黏膜?

“饭好了,赶紧趁热吃!”

泡了功夫茶,“趁热喝!”

……

趁热吃,趁热喝

是福建人

特别是闽南和莆田地区的

生活习惯之一

但趁热吃喝的习惯

让你在享受到食材

鲜美味道的同时

可能也会悄悄给身体健康埋下隐患

夫妻体检,发现同样的癌






今年1月,泉州56岁的徐先生(化名)和妻子前往当地的医院体检,“好不容易退休有时间了,也要好好爱自己一下。”徐先生说。

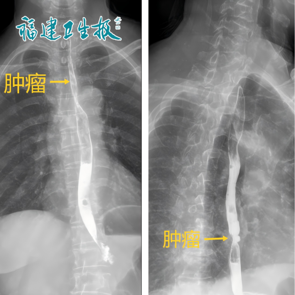
可谁也没想到,在做胃肠镜的时候,夫妻俩都被查出了食管癌幸运的是夫妻俩发现及时,没有转移,尚属于早期。

图片

▲夫妻俩都发现食管癌

夫妻俩慕名来到了福建省肿瘤医院,找到了福建卫生报健康大使、胸部肿瘤外科主任医师方卫民。

图片

“我也就算了,我父亲当年也是得了食管癌,可能有基因遗传,但我妻子为什么这么年轻也得了这病?”徐先生非常不解。

 该图片疑似AI生成图片

(图片由豆包AI生成)




在详细了解了徐先生夫妻俩的情况后,方卫民告诉徐先生,夫妻俩喝热茶、吃热汤、爱吃火锅,习惯 “趁热吃”,反复高温刺激食管黏膜,是诱发食管癌的重要因素。

此外,福建沿海属于食管癌高发区,40岁以上人群本身就是高危群体,叠加家族史,患病风险进一步升高。值得警惕的是,妻子无家族史,却同样患病,足以说明地域饮食习惯的长期危害。







不开胸,两个孔搞定食管癌






在详细评估了两人的情况后,方卫民给出了治疗方案——充气纵隔镜食管癌根治术

图片

▲方卫民团队在为患者开展手术(资料图)

充气纵隔镜食管癌根治术仅在颈部和肚脐各做一个约3厘米的小切口,两组医生同步操作,两套腔镜器械协同,手术约1.5小时就能完成

因为不开胸、不损伤胸腔组织,患者术后几乎没有胸痛,创伤大幅降低,并发症显著减少。

徐先生和妻子术后5天就顺利出院,再经过一周科学过渡康复,便拔除了鼻饲管,恢复正常饮食。







40岁以上就该筛查胃肠镜






方卫民郑重提醒:食管癌早期症状非常隐匿,常表现为吞咽异物感、胸口发闷、进食不畅,很容易被当成咽炎或消化不良。

远离食管癌需戒掉 “趁热吃” 的习惯,避免长期饮用烫茶、烫粥,少吃火锅、麻辣烫等高温刺激性食物




此外,闽南、莆田等沿海高发区居民,无论有无症状、有无家族史,年满40岁就应尽早做胃肠镜筛查。早发现、早干预,微创技术就能实现根治,保留高质量生活。

抽烟、喝酒和食管癌的发病

有直接关系吗?

食管癌检查、胃镜和CT

哪个更准确、更有必要?

早期食管癌通过治疗能彻底治愈吗?

如何区分食管癌和胃食管反流?

……

3月20日(周五)晚7点

锁定福建卫生报

《大医生开讲》直播间

多位专家为您解答

↓↓↓

图片
图片
直播专家


图片
方卫民

福建省肿瘤医院 胸部肿瘤外科 主任医师 硕士生导师


福建省抗癌协会肺癌专委会副主任委员

福建省抗癌协会纵膈肿瘤专委会副主任委员

福建省抗癌协会胸部肿瘤微创治疗专委会副主任委员

福建省抗癌协会食管癌专委会委员

闽江科学传播学者

擅长:专注于胸部肿瘤的诊断与手术治疗,尤其擅长肺癌、肺结节、食管癌及纵隔肿瘤的单孔微创手术。近来常规开展不开胸经颈纵膈镜食管癌联合腹腔单孔胸骨后径路手术(双单孔+双镜联合)以及食管旁路术。



图片
苏伟坤
福建省肿瘤医院 胸部肿瘤外科 主治医师

福建省精准医学科技学会委员

擅长食管肿瘤的充气式纵隔镜、单孔胸腔镜、单孔腹腔镜微创手术,肺部、纵隔等胸部肿瘤的单孔胸腔镜、经剑突下微创手术,及肺部小结节的消融手术。



图片
林义进
福建省肿瘤医院 胸部肿瘤外科 主治医师

福建省海峡医药卫生交流协会心血管外科分会委员

专业从事肺部肿瘤、食管肿瘤、食管胃交界处肿瘤、纵隔肿瘤、胸壁肿瘤等胸部肿瘤的外科手术和腔镜微创手术、呼吸内镜下的治疗和肺部小结节的消融治疗。



活动组织


主办单位:福建卫生报、福建日报·新福建客户端

支持单位:江苏豪森药业集团有限公司




来源:福建卫生报