抑制线粒体自噬! 温州医科大学附属第一医院发文:治疗心脏功能衰退的潜在新靶点

第五届单细胞与空间组学论坛

图片

2月26日,温州医科大学附属第一医院研究团队在期刊《Clinical and Translational Medicine》上发表了题为“P2X7R deficiency alleviates cardiac senescence by enhancing mitophagy via the HuR/TRIM26/NR4A1 axis”的研究论文,本研究表明,人类血清中 P2X7R 的水平会随着年龄的增长而升高,且在小鼠心脏衰老过程中,P2X7R 的表达会上调。P2X7R 缺乏可缓解与衰老相关的心脏功能障碍、衰老表型以及线粒体自噬受损。通过 AAV9 在心肌细胞中特异性过表达 P2X7R 会加剧 D-半乳糖诱导的心肌功能障碍、衰老表型以及线粒体自噬中断。从机制上讲,P2X7R 会促进衰老心脏中(HuR)的核质穿梭,从而增加(TRIM26)的 mRNA 稳定性以及 E3 泛素连接酶 TRIM26 的表达。随后,TRIM26 介导 NR4A1 泛素化,导致其被蛋白酶体降解,从而抑制心肌细胞中的线粒体自噬,最终加速心脏衰老。

心脏衰老:分子机制探究与老年心脏功能改善新靶点

 01 

衰老是所有高等生物都会经历的普遍生物学过程,会导致主要器官系统逐渐退化。随着人口老龄化趋势的持续,老年人群中心脏功能障碍的患病率不断上升。大量研究表明,衰老会发生在所有主要的心脏细胞类型中,并导致心脏结构和功能的逐渐恶化,这与心房颤动、心脏肥大、纤维化以及射血分数降低型心力衰竭的易感性增加有关。因此,深入了解心脏衰老的复杂分子机制对于确定新的治疗靶点以维持或改善老年人的心脏功能至关重要。

P2X7R 缺乏会增加 NR4A1 的表达,从而减轻衰老引起的线粒体自噬

 02 

为了探究 P2X7R 介导的心脏衰老及线粒体自噬受损的潜在分子机制,研究人员进行了心脏转录组测序分析,并将野生型老年组与野生型年轻组进行了比较。在差异表达最显著的基因中,NR4A1因其在调节衰老和线粒体自噬方面的已知作用而成为关键候选基因。此外,研究人员评估了小鼠心脏组织和 D-半乳糖刺激的 HL-1 心肌细胞中 NR4A1 蛋白的表达,发现心脏衰老或心肌细胞衰老过程中 NR4A1 水平显著下降。值得注意的是,P2X7R 缺陷或抑制可逆转这种下降。对心肌细胞衰老和线粒体自噬的进一步评估表明,抑制 NR4A1 显著加剧了 D-半乳糖诱导的衰老表型并损害了线粒体自噬,而过表达 NR4A1 则显著改善了 D-半乳糖诱导的衰老表型并恢复了线粒体自噬功能。这些结果证实 NR4A1 是心肌细胞衰老的保护性调节因子。随后,研究人员构建了过表达 P2X7R 或 NR4A1 的质粒,在 D-半乳糖刺激后共转染 HL-1 细胞。研究人员发现 P2X7R 过表达显著加剧了 D-半乳糖诱导的衰老表型并损害了线粒体自噬,而这些效应可通过 NR4A1 过表达逆转。这些发现表明 P2X7R 通过抑制 NR4A1 来促进心肌细胞衰老。

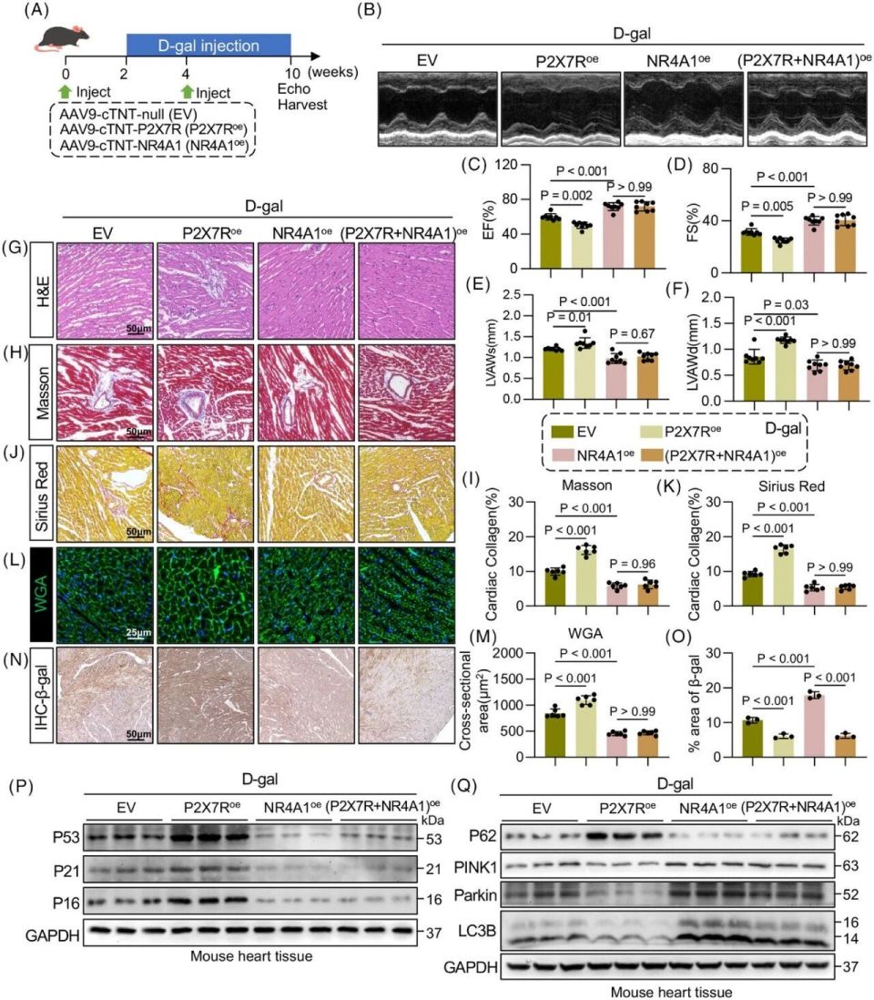
研究还表明心肌细胞特异性P2X7R过表达显著加重了心脏功能障碍和心脏肥厚,而心肌细胞特异性NR4A1过表达显著减轻了这些不良影响。与这些发现一致,HW/TL比率、心脏结构、心脏纤维化、心肌细胞横截面积、心脏衰老和线粒体自噬表现出相似的趋势。这些结果表明,NR4A1作为下游效应子,心肌细胞特异性P2X7R通过其促进心脏衰老的作用。

图片

NR4A1的过表达消除了 D-半乳诱导的小鼠中由嘌呤能 2×7 受体(P2X7R)介导的心脏重塑和线粒体自噬

结论

 03 

总之,通过使用 P2X7R 基因敲除小鼠和一种特定抑制剂,研究人员阐明了 P2X7R 通过损害心肌细胞的线粒体自噬介导了衰老诱导的心脏功能障碍。这些发现为老年小鼠心脏功能障碍的分子事件提供了新的见解,并表明 P2X7R 过表达会加剧心脏衰老,揭示了 P2X7R 是治疗与年龄相关的心脏功能衰退的潜在新靶点。

参考资料:

https://onlinelibrary.wiley.com/doi/10.1002/ctm2.70621