老人咳嗽半月,竟是1.6厘米鱼骨藏在肺里!医生提醒:别把呛咳当小事,老年人是误吸 “高危人群”!

【来源:江苏交通广播网】

“吃鱼时呛了一下,谁能想到居然有一块鱼骨头在肺里藏了半个月?”在南京市第一医院河西院区呼吸与危重症医学科病房里,74岁的李老伯回想起自己的经历,依然心有余悸。

图片

该图为AI生成

半个月前,李老伯在家吃鱼时被呛了一下,接着又剧烈咳嗽了一阵。因为自己有进食后容易呛咳的毛病,所以李老伯对这次呛咳并没太放在心上。

图片

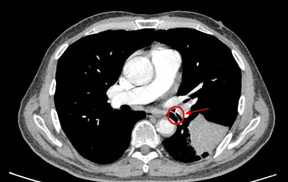
然而,从那天起,李老伯的咳嗽次数明显增多,而且还伴有浓痰,家人便带着李老伯到南京市第一医院河西院区呼吸与危重症医学科门诊就诊。胸部CT结果显示李老伯左肺下叶出现了一片“占位性病变”!

支气管镜下“探案”揪出潜伏的“鱼骨刺客”

入院后,医生敏锐捕捉到一个关键细节:李老伯既往有明确的饮食后呛咳史,且此次发病前有吃鱼后呛咳的经历。因此判断,这应该不是肺部感染肿瘤,高度怀疑是气道异物,要对李老伯进行支气管镜检查!

竟意外发现在一片因炎症而充血水肿的支气管黏膜中,一个细长、坚硬的异物正死死地卡在管腔内,周围包裹着大量的脓性分泌物。

图片

原来竟然是一块长约1.6厘米的鱼骨!至此,真相大白。所谓的“肺部占位”,正是因为这块鱼骨堵塞气道,引发了堵塞性肺炎肺不张,导致李老伯长达半个月的咳嗽和咳痰。

图片

老年人误吸预防胜于治疗

南京市第一医院呼吸与危重症医学科副主任医师高琳介绍,“在临床上,像他这样因误吸导致气道异物的老年人绝非个例。鱼骨、花生米、药片、活动假牙等都是临床上常见的老年人气道异物。它们一旦进入气管,轻则引起长期咳嗽、反复感染,重则可能导致完全性气道梗阻,危及生命。以下预防误吸方法,大家一定要重视

1、改变进食习惯:老人吃饭时要坐直,细嚼慢咽,避免边吃边说笑或看电视、视频。

图片

该图为AI生成

2、食物“特殊化”处理:坚果、豆类可打成粉末;吃鱼、鸡等带骨头的食物前,仔细剔除骨头;尽量避免给老人吃汤圆、年糕等黏性大的食物。

3、科学服药:服药时用足量温水送服,对于吞咽困难的老人,应在医生指导下改变剂型。

图片

该图为AI生成

4、警惕“无声”误吸:如果老人反复出现不明原因的咳嗽、发热、肺部感染,一定要向医生提及呛咳史,及时进行胸部CT和支气管镜检查。

关注每一次“呛咳”,别让一次小小的疏忽,成为威胁健康的“隐形杀手”哦~

        声明:此文版权归原作者所有,若有来源错误或者侵犯您的合法权益,您可通过邮箱与我们取得联系,我们将及时进行处理。邮箱地址:jpbl@jp.jiupainews.com