为什么妇科恶性肿瘤以低阻血流为主?

图片

不知道大家有没有想过这样一个问题:

为什么很多部位恶性肿瘤的血流频谱以高阻为主,而妇科的恶性肿瘤却以低阻为主?

下面,我们来看看两个病例!

病例回顾


◆ 病例一

患者,女,63 岁,因右乳肿块一周入院,超声于右侧乳腺 10 点钟方向见一低回声结节,不规则形,边缘模糊(图 1),内部回声不均, CDFI 见较丰富血流信号(图 2), PW 测及高阻动脉血流频谱, RI:0.78 (图 3)。

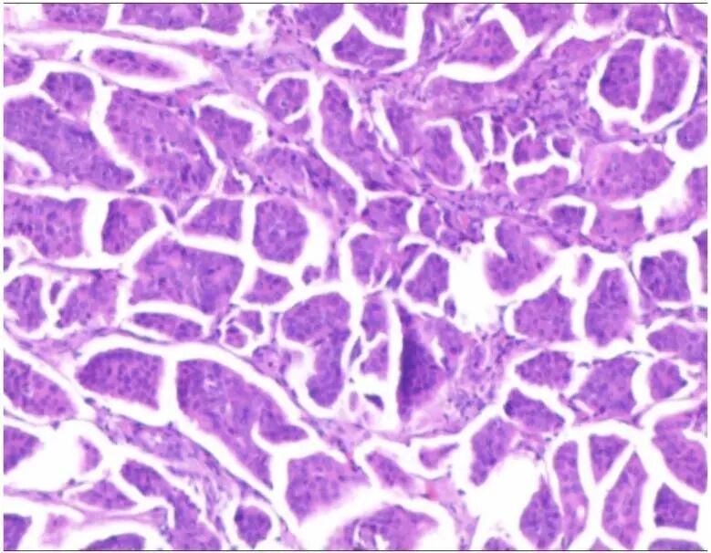
术后病理提示浸润性导管癌(图 4)。

图片
图 1 右侧乳腺 10 点钟方向见一低回声结节,不规则形,边缘模糊

图片
图 2 CDFI 见较丰富血流信号

图片
图 3 PW 测及高阻动脉血流频谱, RI:0.78

图片
图 4 术后病理提示浸润性导管癌

病例二

患者,女, 74 岁,因解大便困难至外院消化内科就诊,住院期间行肠镜检查,于回盲部见一巨大不规则肿块,活检病理提示印戒细胞癌

术前超声检查于盆腔见一混合回声团块,现为进一步治疗,转至我院。

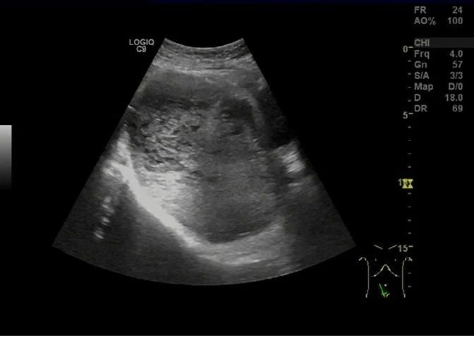
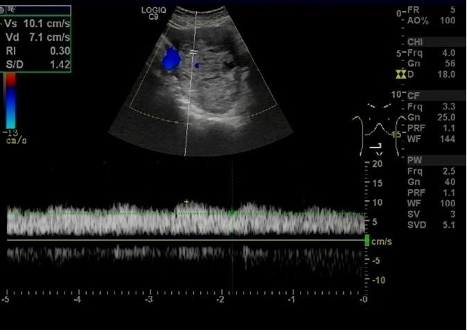
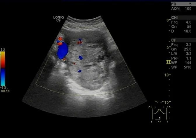
超声于右侧附件区见一囊实性团块,大小约 138 × 98 × 77 mm ,边界清,形态规则,内部回声不均,以实性为主(图 5), CDFI 于实性部分见少许血流信号(图 6), PW 测及低阻动脉血流频谱, RI:0.30 (图 7)。

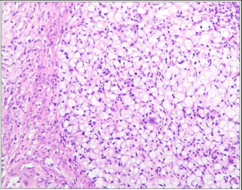
术后病理提示:右侧卵巢及右侧输卵管印戒细胞癌,对比回盲部切片,考虑肿瘤转移(图 8)。

图片
图 5 右侧附件区见一囊实性团块,大小约 138 × 98 × 77 mm ,边界清,形态规则,内部回声不均

图片
图 6 CDFI 于实性部分见少许血流信号

图片
图 7 PW 测及低阻动脉血流频谱, RI:0.30

图片
图 8 手术病理提示印戒细胞癌转移

病例讨论


频谱多普勒是在彩色血流显像的基础上,利用多普勒效应,获得可靠的多普勒频移,从而定性和定量评估各种疾病。

作为频谱多普勒测及的血流参数之一,阻力指数(RI)的计算公式为 RI =(收缩期峰值流速-舒张期最低流速)/收缩期峰值流速,一般而言, RI 可反映检测处血流行进时所遇到的前方阻力, RI 越高,阻力越大。

在常见的外周血管中, RI 越高,预示着其评估结果不理想,对于肝肾移植患者,一般以高阻力作为术后排斥反应的可疑指标;在肾动脉、颈部动脉超声检查中,高阻提示远端血管存在狭窄的可能。

对于常见部位的肿瘤,如肝脏、肾脏以及乳腺等,一般 RI 以 0.7 作为临界值,高于 0.7 提示恶性的可能性增加,如本文病例一,研究表明,高阻的特征可能与静脉内存在癌栓,从而导致的静脉血回流受阻有关。

然而,对于妇科肿瘤,一般以低阻作为恶性的特征,包括滋养细胞肿瘤,卵巢及宫颈恶性肿瘤,相关的研究文献以 0.5 作为诊断标准,低于 0.5 提示恶性的可能性增加,如本文病例二,病理证实为恶性肿瘤。

妇科恶性肿瘤表现为低阻的原因可能主要包括以下几点:

1、恶性滋养细胞肿瘤具有侵袭性,肿瘤滋养细胞逆行侵袭子宫螺旋动脉或较大的子宫动脉分支,使子宫动脉直接开放进入管壁缺乏肌肉和弹性组织结构的新生血管,形成了众多低阻血流及动静脉瘘

2、宫颈肿瘤有大量缺乏平滑肌的新生血管,这些血管的存在降低了血流阻力,从而较正常组织提供更多的血流满足肿瘤组织快速生长的需要。

3、卵巢恶性肿瘤内有大量新生血管,管壁缺乏平滑肌,由于平滑肌的减少,交感神经刺激引起的血管收缩不能增加,从而表现为低阻血流。

造成妇科恶性肿瘤与其他肿瘤不一致的原因,王战业等认为可能与雌激素的靶向作用有关,乳腺是雌激素的远位靶器官,受雌激素的影响明显小于子宫及附件,此观点有待于进一步证实。

总 结

妇科恶性肿瘤与其他部分恶性肿瘤的血流阻力呈相反的特征,表现为低阻的特征,造成这种现象的原因可能与动静脉瘘的形成,新生血管缺乏平滑肌以及雌激素的靶向作用有关。

首发 / 丁香园超声时间

投稿邮箱 / gulujun@dxy.cn

题图及文中图片来源 / 作者提供


参考文献:
[1] 王战业, 聂宏娟, 张翠明. 乳腺、子宫及卵巢恶性肿瘤血流阻力指数的差异性[J]. 临床医药实践, 2009, 18(1):45-46.
[2] ScheBerle W , Leyerer L , Schierling W , et al. Ultrasound diagnostics of renal artery stenosis[J]. Gefssch[]irurgie, 2016, 21(1):4-13.
[3] 宋建明, 游宇光, 叶军,等. 肝脏实质性肿块彩色多普勒表现与病理分型对比研究[C]// 中国超声医学工程学会第十二届全国腹部超声医学学术大会论文汇编. 2018.
[4] 姚金朋, 牛丽娟, 王勇,等. 超声分型在乳腺复合囊肿乳腺影像报告及数据系统4类中的应用价值[J]. 中华肿瘤杂志, 2018(9):672-675.