在小肠发现,切开却是胆管腺癌,这种病例全球没见过

问AI · 罕见病例对胆道癌治疗有何参考价值?
图片







梅克尔憩室Meckel’s diverticulum)是一种小肠解剖学异常,多数情况下无症状,内部常可见异位黏膜,可引发出血等并发症。在有症状患者中,肿瘤病变的发生率约为 0.5%–3.2%超 80% 的已报告病例中,肿瘤在手术期间或手术后发现其临床诊断极具挑战性 [1-2]

弗莱堡大学医学中心报道了 1 例罕见的起源于克尔憩室的异位肿瘤病例 [3]一名 79 岁患者,因胚胎期卵黄管未完全闭锁形成克尔憩室,其憩室尖端处的异位胆管上皮发生癌变形成胆管腺癌,并浸润至邻近腹壁丁香园肿瘤时间特整理该罕见病例诊断及治疗过程,旨在与各位读者一同学习交流






病例回顾







基本信息

患者为 79 岁欧洲男性,4 个月前因腹壁肌层内触及一无症状实性肿块就诊。期间肿块无明显增大,无发热、体重下降、乏力及排便习惯改变等症状。既往仅因高血压接受单药治疗无其他既往病史

 

体格检查:患者体型偏瘦,体能状态良好。于脐右下方腹壁可触及一质地坚硬、固定于腹直肌鞘内的肿块(图 1 箭头)。

 

影像学检查:腹部超声示右侧腹直肌内见一大小约 6 cm × 3 cm × 3 cm 均质肿块。磁共振成像显示腹直肌鞘内一梭形病变,呈强化及弥散受限,浸润邻近腹壁,并可能累及腹横筋膜。病变与横结肠及小肠毗邻,疑有腹腔内蔓延(图 1 右下示病变邻近脐部)。腹腔内未见其他异常,仅见多发肝囊肿

 

图片

图 1:疑似软组织肿瘤的磁共振成像(左上为 T2 加权横切面;左下为弥散加权横切面;右上、右下分别为钆剂增强 T1 加权横切面和冠状切面)


诊断及治疗经过

初步诊断

初诊时临床怀疑为肉瘤遂进行了跨学科肉瘤诊疗团队会诊,并行肿块活检。组织病理学检查示腺癌,Ki-67 免疫组化提示增殖指数为 25%。为明确原发灶,进一步行胃镜、结肠镜及磁共振胰胆管成像(MRCP)检查,均未见明确异常。

 

活检标本免疫组化显示,肿瘤呈微乳头状上皮样增生表达 CA19-9 及 CK7,提示胰胆管来源;结直肠癌标志物(CDX2、CK20)、间皮瘤标志物(CK5/6)、肺癌标志物(TTF1)、甲状腺 / 肾癌标志物(PAX8)及前列腺癌标志物(NKx3.1)均为阴性。


手术切除


鉴于肿瘤增殖指数达 25%,跨学科消化系统肿瘤诊疗团队考虑该肿瘤具备进展性生长潜能,且已出现肠道浸润,建议立即行中线剖腹术,切除疑似原发灶不明癌(CUP)转移灶。术后证实,切除病灶实为梅克尔憩室起源的原发腺癌伴腹壁浸润,术前误判为转移。


术中所见,肿瘤起源于未完全退化的梅克尔憩室尖端,直接蔓延至脐旁腹壁,并于憩室对侧小肠系膜内探及数枚肿大淋巴结。术者将肿瘤及受累腹壁行整块切除,切缘均达正常组织;随后行小肠节段性切除、对端吻合重建。腹壁缺损采用薇乔(Vicryl)补片间位植入联合超普(Ultrapro)补片肌后腹膜前修补。

 

最终病理学检查显示:手术切缘阴性;共清扫 15 枚淋巴结,均未见癌转移;无淋巴血管、静脉及周围神经侵犯。肿瘤证实为中分化(G2)胆管型腺癌,KRAS G13D 突变阳性(变异等位基因频率 6%)。

 

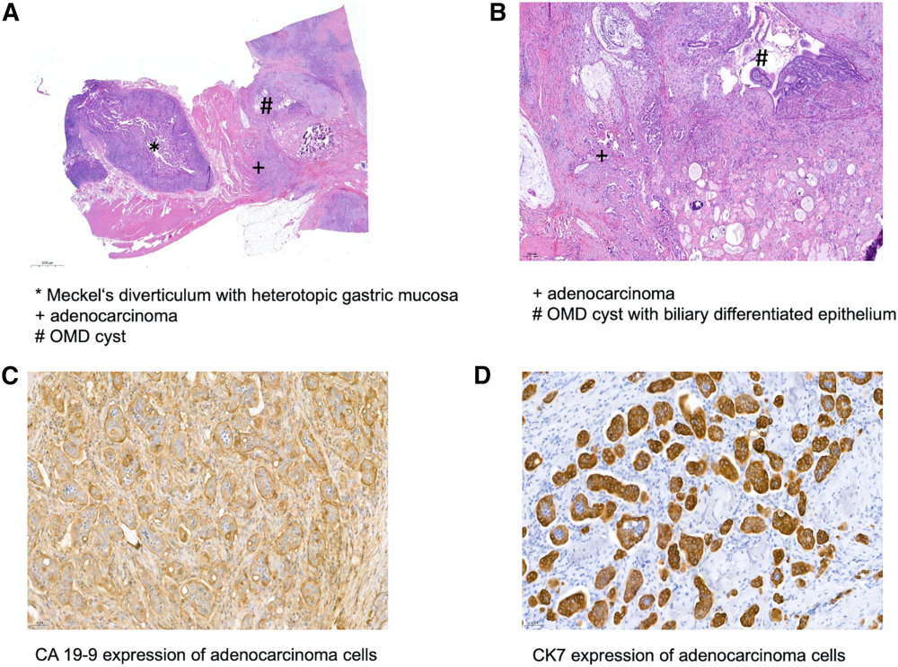
镜下见:梅克尔憩室内衬异位胃黏膜(图 2A),憩室尖端可见纤维索样结构及一衬覆胆管分化上皮的囊性结构,确诊为罕见的卵黄管(OMD)囊肿(图 2A、2B)。腺癌病灶与该囊肿紧密相邻,免疫组化示 CA19-9(图 2C)及 CK7(图 3D)弥漫阳性,表型符合胆管上皮特征,最终确诊为异位胆管来源的腺癌。


图片

图 2:组织病理学结果(A)切除病灶苏木精 - 伊红染色,* 示伴异位胃黏膜的梅克尔憩室;(B)切除病灶苏木精 - 伊红染色,* 示 OMD 囊肿;(C-D)分别为 CA19-9 及  CK7 免疫组化结果。


患者预后


患者术后 7 天肠道功能恢复后出院跨学科消化系肿瘤诊疗团队建议术后 8 周内启动吉西他滨辅助化疗但患者仅接受肿瘤学随访。术后 1 年内两次腹部 MRI 复查未见明确异常,血清 CA19-9 水平无升高。目前患者身体状况良好,调整为低碳水饮食,坚持每日散步及长距离骑行,保持活跃生活方式。


图片

图 3:该病例主要事件时间线


病例小结


本例患者初诊时考虑腹壁软组织肿瘤,活检示表达 CA19-9 及 CK7 的腺癌,遂行开腹肿瘤整块切除联合小肠节段性切除术。术后恢复顺利,肠道功能恢复后如期出院达到无病生存该结果凸显识别并处理异位胚胎残余组织恶变的关键意义,也为异位恶性肿瘤的诊断、病变特征及治疗策略提供了重要参考。






解剖变异与肿瘤起源:罕见 + 罕见







本病例为报道的首例起源于梅克尔憩室旁卵黄管囊肿内胆管分化上皮的异位胆管腺癌。该病例的罕见性体现在两个层面:其一,梅克尔憩室与卵黄管囊肿并存;其二,属于异位胆管上皮癌。本例将这两种罕见情况重叠呈现,为理解胚胎残余组织恶变谱系提供了独特标本。

 

一方面,消化道畸形约占所有先天性畸形的 6%而梅克尔憩室是常见类型之一,且卵黄管囊肿共存的解剖变异情况极少在文献中仅见 4 例报道足见该解剖学异常的罕见。其中 3 例为年轻患者,因肠梗阻或脐部溢液就诊;另 1 例为无症状男性,发现盆腔腺癌但未明确起源 [4]。本病例进一步证实此类复合畸形虽罕见,却可成为恶性肿瘤的潜在来源。


值得注意的是,通常认为梅克尔憩室相关腺癌多源于其内异位的胃、胰或肠黏膜。然而本例情况特殊:憩室基底部呈胃型上皮,形态类似胰腺组织,免疫表型(CK7+/CA19-9+)与胆道上皮完全一致,而憩室基底则呈胃黏膜分化 —— 提示肿瘤并非源自憩室本身,而是囊肿内异位胆管上皮的恶性转化。

 

异位胆管腺癌同样极为少见2022 年曾报道首例发生于胃底的异位胆管[2];此外仅有 2 例胰胆管型恶性肿瘤被认为源于卵黄管残余:一例为梅克尔憩室内胰腺型腺癌,另一例为腹前壁浆液性囊腺癌(推测源自卵黄管)[5-6],均呈 CK7+/CA19-9+ 表型。本例肿瘤主体位于腹壁,与后者相似,研究者推测该患者在胚胎发育阶段卵黄管未完全闭锁,同时形成憩室与囊肿,为这一胆管腺癌沿组织间隙浸润至腹壁创造了条件。






治疗循证:从 BTC 治疗进展中借力







异位胆管腺癌目前尚无标准治疗方案。已报道的 2 例胰胆管型卵黄管残余恶性肿瘤均快速进展,术后生存期不足 1 年。本例患者拒绝辅助化疗,尽管术后 1 年无病生存,但远期结局仍不确定。

 

在此背景下,近年胆道癌(BTC)全身治疗的突破值得关注。TOPAZ-1 与 KEYNOTE-966 试验证实,在吉西他滨 / 顺铂基础上联合程序性死亡受体 -1(PD-1)抑制剂(度伐利尤单抗、帕博利珠单抗)可显著延长患者总生存期,已成为晚期 BTC 新标准 [7]。新辅助治疗亦出现积极信号:DEBATE 试验显示新辅助度伐利尤单抗联合化疗提高切除率 [8],GAIN 试验(新辅助吉西他滨 / 顺铂 vs 直接手术)结果将提供更高等级证据 [9]因此,对于异位胆管来源肿瘤,当原发灶无法切除或出现转移时,参考 BTC 治疗框架、并依据患者分子特征(如 FGFR、IDH1、HER2 等)个性化选择靶向药物,是当前最合理的策略。


总结:


综上,此类罕见病例的诊治高度依赖多学科协作 —— 包括影像学精准定位、外科完整切除、病理细致分型及肿瘤科综合评估。未来需通过系统性病例汇总与长期随访,进一步明确其发病机制、生物学行为及最佳治疗策略,以期建立规范化的诊疗路径。


参考文献

[1] Dumper, J. ∙ Mackenzie, S. ∙ Mitchell, P. Complications of Meckel's diverticula in adultsCan. J. Surg. 2006; 49:353-357

[2] Kabir, S.A. ∙Raza, S.A. ∙ Kabir, S.I. Malignant neoplasms of Meckel's diverticulum; an evidence based review

[3] Ann. Med. Surg. 2019; 43:75-81Matuschik, Laura et al. “A rare case of biliary adenocarcinoma mimicking an abdominal wall soft tissue tumor.” Med (New York, N.Y.), 100930. 31 Dec. 2025, doi:10.1016/j.medj.2025.100930

[4] Wang, Chao et al. “Cholangiocarcinoma presenting as dysphagia and misdiagnosed as gastritis: a case report.” BMC gastroenterology vol. 22,1 78. 23 Feb. 2022, doi:10.1186/s12876-022-02156-6

[5] Koh, Hoey C et al. “Ectopic pancreatic-type malignancy presenting in a Meckel's diverticulum: a case report and review of the literature.” World journal of surgical oncology vol. 7 54. 22 Jun. 2009, doi:10.1186/1477-7819-7-54

[6] Lei, Li, and Jeremy K Deisch. Serous Cystadenocarcinoma Arising in Presumed Vitelline Duct Remnant: A Case Report and Implications in the Management of Cancer of Unknown Primary.Case reports in pathology vol. 2016 (2016): 4365217. doi:10.1155/2016/4365217

[7] Fritsch, R. Durvalumab Plus Chemotherapy for Advanced Biliary Tract Cancer Treatment: Insights from the TOPAZ-1 Trial healthbook TIMES Onco Hema. 2024; 21:3

[8] Yoo, C. ∙ Park, J. ∙ Kim, K.P. 97P Neoadjuvant durvalumab plus gemcitabine and cisplatin (D+GemCis) versus gemcis alone for localized biliary tract cancer (BTC): Results of a randomized, multicenter, open-label, phase II trial (DEBATE) Ann. Oncol. 2023; 34:S216

[9] Goetze, T.O. ∙ Bechstein, W.O. ∙ Bankstahl, U.S. Neoadjuvant chemotherapy with gemcitabine plus cisplatin followed by radical liver resection versus immediate radical liver resection alone with or without adjuvant chemotherapy in incidentally detected gallbladder carcinoma after simple cholecystectomy or in front of radical resection of BTC (ICC/ECC) - a phase III study of the German registry of incidental gallbladder carcinoma platform (GR)- the AIO/CALGP/ACO- GAIN-trial.BMC Cancer. 2020; 20:122


整理:文琴理;编辑:gulu

题图:图虫创意