1例儿童体外循环心脏术后并发重症肺炎、ARDS病例分享

本报告介绍1例体外循环心脏术后并发重症肺炎、急性呼吸窘迫综合征(ARDS)的婴儿,在接受综合治疗后,肺部炎症及氧合明显好转的病例。患儿为先天性心脏病儿童,经历体外循环、心脏手术后5天内撤机困难,进行性呼吸窘迫、氧合指数<200mmHg,肺部影像学提示新发的渗出、实变,符合ARDS诊断,在抗感染、免疫支持、肺保护通气治疗基础上,给予西维来司他钠4.8mg/kg.次 QD*5d持续泵入,患儿肺部渗出减少,氧合逐渐好转,最终病情稳定出院。本病例为儿童ARDS治疗提供了临床实践参考。


主诉及现病史:患儿,女,4月8天,4.9kg, 因“发现心脏结构异常4月余”入院。患儿4月余前(刚出生时)因“胎儿期室间隔缺损可能”在当地医院行心脏超声提示室间隔缺损,1月前复查心超提示:室间隔缺损、房间隔缺损、动脉导管未闭。遂来杭州市第一人民医院完善心超提示“先天性心脏病 室间隔缺损、房间隔缺损、动脉导管未闭、肺动脉高压、三尖瓣少量反流”, 患儿生后体重增长较慢,大运动发育较同龄儿稍落后,否认反复呼吸道感染,不伴晕厥、发绀,无频繁吐奶、呛奶,我院门诊予“地高辛0.0125g QD、氢氯噻嗪5mg BID、螺内酯4mg BID”口服治疗,患儿现无发热,无咳嗽,无明显气促,为进一步行手术再次来我院,门诊拟“室间隔缺损”收治入院。患儿起病来神志清,精神可,胃纳欠佳,睡眠安,二便无殊,近期体重无明显变化。

营养评分:2分。

既往史及生长发育史:否认反复呼吸道感染病史,无喘息史,否认肝炎、结核等传染病及接触史,否认手术、外伤史,否认食物、药品过敏史,母孕期体健,否认毒药、药物接触史。患儿足月顺产,否认窒息、产伤史,出生体重3.3Kg, 生后母乳喂养至今,生长发育较同龄儿落后,现俯卧抬头稍差,维持时间短,不会翻身。

预防接种史:生后2月内按国家计划接种疫苗,3、4月未接种疫苗。

查体及辅助检查:体温37°C,脉搏:120次/分,呼吸:44次/分,血压:94/62mmHg, 大气吸入下经皮氧饱和度:95%。神志清,精神可,营养欠佳,全身无皮疹、黄染及出血点,颈部未及肿大淋巴结;咽无充血,扁桃体未见,颈软,两侧胸廓无畸形,呼吸运动对称,双肺听诊呼吸音粗,未闻及干湿啰音;心律齐,心音有力,心前区可闻及4/6级收缩期杂音,伴震颤,向右上肩部传导,未闻及明显额外心音;腹平软,按压无哭闹,肝脾肋下未及,神经系统检查阴性。

辅助检查:南京医科大学附属儿童医院(2025.09)心脏超声: 一、先天性心脏病:1.室间隔缺损、室水平双向分流;2.房间隔缺损(继发孔)、房水平左向右分流;3.动脉导管未闭、大动脉水平双向分流;二、肺动脉高压。我院2025-09-25心脏超声检查:先天性心脏病,室间隔缺损(膜周部) 、室水平左向右为主的双向分流,房间隔缺损(中央型继发孔型)、房水平左向右分流,动脉导管未闭、动脉水平左向右为主的双向分流,肺动脉高压(估测PASP 约5 9mmHg), 三尖瓣少量反流;2025-09-25胸部正位DR: 两肺纹理增多增粗。心影饱满。2025-09-25常规心电图+心向量图:1.窦性心动过速2.RV1=2.65mv,RV3+SV3=8.2mv,RV5=4.3mv,提示双心室大可能3.T 波改变(Ⅱ、Ⅲ、aVF伴切迹,V5 负正双向)。

入院诊断:1.先天性心脏畸形2.室间隔缺损3.房间隔缺损4.动脉导管未闭5.肺动脉高压6.生长发育迟缓。


治疗经过

患儿入院后于儿科病房行常规术前检查,2025-10-23在全麻低温体外循环下行室间隔缺损修补+房间隔缺损修补+动脉导管结扎术,过程顺利,术后带气管插管呼吸机辅助通气转入PICU,患儿术后呼吸机参数要求高,2025-10-25胸部正位片:心脏术后,两肺纹理增多增粗,右肺尖斑片状高密度影,肺实变或肺不张可能,右侧胸腔少许积液,血气分析氧合指数最低达115.16 mmHg,考虑重症肺炎、ARDS,呼吸道病原体靶向检测提示鼻病毒阳性,痰培养提示肺炎克雷伯菌中量,予呼吸机辅助通气,辅以小潮气量、限制平台压、间断俯卧位通气等肺保护通气策略,联合"头孢哌酮舒巴坦钠针"抗感染(10.23-10.31),哌拉西林他唑巴坦(10.31-11.5)抗感染,大扶康胶囊预防真菌感染(10.29-10.31),血管活性药物强心扩血管,磷酸肌酸针营养心肌,卡托普利口服(10.29-11.01)降压,奥美拉唑护胃,呋塞米针利尿,地高辛片口服改善心功能,雾化吸入,予甲强龙针抗炎(10.23-11.2),丙种球蛋白针10g免疫支持,西维来司他钠微泵4.8mg/kg.QD* 5d(10.28-11.1)减轻肺部炎症及渗出。患儿氧合好转,呼吸机参数逐渐下调,过渡至经鼻高流量温湿化氧疗(10.31-11.5),鼻导管吸氧(11.5-11.6),最后完全脱氧出院。

住院期间相关检验检查结果如下:

2025.10.26呼吸道病原体靶向95项:鼻病毒阳性,序列数149263*10^6/L;

2025.10.27细胞因子流式分析:白介素-2:<2.50pg/mL,白介素4<2.50pg/ml,白介素-6:6.81pg/mL,白介素-10:15.12pg/mL,肿瘤坏死因子-a:<2.50pg/mL,干扰素Y:<2.50pg/mL;

2025.10.27降钙素原 0.9ng/ml;

2025.10.29 GM试验阴性,G试验174.65ng/L,痰培养肺炎克雷伯菌中量;血培养阴性,尿培养阴性。

2025.11.3肝肾功能电解质未见明显异常;11.3GM试验阴性,G试验阴性。

图片


影像学检查:

图片

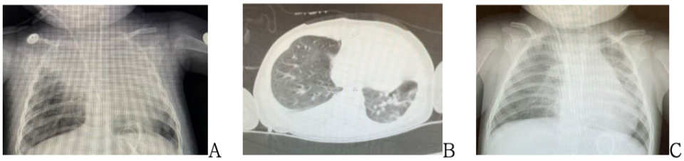
A:10.28胸片; B: 10.28胸部CT;   C:11.2胸片

2025.10.25胸片:心脏术后,两肺纹理增多增粗,右肺尖斑片状高密度影,肺实变或肺不张可能,较前2025-10-24新增,右侧胸腔少许积液。

10.28胸片:心脏术后,右上肺及左肺散在斑片状高密度影,肺实变考虑,较前2025-10-27进展,左侧胸腔少量积液。

10.28肺部CT:支气管炎伴两肺多发感染,伴部分肺实变、不张,两侧胸腔积液,伴右下肺部分膨胀不全;

11.2胸片:心脏术后,两肺渗出性改变,对比2025-10-31老片有所吸收。

2025.11.3心脏超声:先天性心脏病室缺+房缺+动脉导管未闭术后:室水平少量左向右残余分流,房水平+动脉水平未见明显残余分流,主动脉瓣微量反流,三尖瓣少量反流。

2025.11.4胸水超声:双侧胸腔未见明显积液。


病例讨论

ARDS是一种以双侧肺泡浸润和低氧血症急性发作为特征的呼吸衰竭,常见的病因及诱发因素包括:脓毒症,肺炎,误吸,严重创伤,大量输血,移植,体外循环,心胸手术等。其病理生理包括:肺泡内皮-上皮屏障破坏,肺泡液体清除能力下降,炎症,氧化与机械应激,肺血管内皮损伤,表面活性物质耗竭等。本例患儿有先天性心脏病基础,患儿年龄小,体重低,容易继发感染,在经历了体外循环,心胸手术,术中输血,混合感染(鼻病毒,肺炎克雷伯菌)的基础上引发了ARDS。ARDS的治疗过程强调在明确病原学基础上抗感染,抑制炎症反应,保护肺通气及免疫调节的重要性。该患儿在常规治疗基础上早期应用西维来司他钠从疾病发生发展的病理生理上阻断ARDS进程。接受西维来司他钠治疗后,患儿氧分压及血氧饱和度上升,氧合指数好转,肺部渗出减少,呼吸机参数逐渐下降,呼吸支持方式降级,提示炎症反应得到有效控制。


西维来司他钠(商品名希为纳)是中性粒细胞弹性蛋白酶抑制剂,可保护肺血管完整性,改善通透性,防止液体及蛋白过度渗出,减轻组织水肿,改善肺损伤;避免中性粒细胞释放大量活性氧,自由基,抑制促炎因子产生及释放,缓解"瀑布式"级联反应,加速抗炎进程,避免SIRS的发生:最终改善氧合及呼吸功能,改善临床预后。其已被批准用于治疗ARDS,既往研究报道,与不使用西维来司他钠组相比,西维来司他钠治疗组的3个月死亡率更低。


小结与展望

本病例提示,针对儿童ARDS病例,在积极抗感染,肺保护通气,免疫支持的基础上早期72h内应用西维来司他钠,可阻断炎症级联反应,减轻肺血管内皮细胞及肺泡基底膜的破坏,最终改善患儿预后,促进患者康复。未来仍需要更多前瞻性多中心研究进一步验证其在儿童中的疗效及安全性。


作者简介

图片

虞燕萍 硕士 主任医师 

杭州市第一人民医院儿科副主任

儿科规培基地教学主任

浙江省医师协会儿科医师分会委员

浙江省医学会儿科急诊危重症学会委员

杭州市医学会儿科分会委员

杭州市医学会中西医结合分会儿科分会副主任委员

美国心脏协会(AHA)基础生命支持导师

图片

赫南南

儿科医师 中国医科大学硕士

现就职于西湖大学医学院附属杭州市第一人民医院儿科

研究方向:儿童重症医学,擅长儿科常见病诊疗及危重症抢救




编辑/排版:黄玲玲

审核:许奉彦