春节餐桌上的它,竟成致命“杀手”!有些人每年都中招

春节的餐桌,总少不了一条“带刺的整鱼”。它象征着年年有余,也承载着很多家庭的团圆记忆。

但在每年节后,耳鼻喉科、急诊室都会迎来一波相似的患者——鱼刺卡喉,这个容易被忽视,实际上却很危险的餐桌问题。

而决定结局的不是鱼刺多大,而是——它卡在了哪里,以及你之后做了什么

图片

图库版权图片,转载使用可能引发版权纠纷


鱼刺通常会卡在哪里?

从常见到危险位置的分布


从大样本数据来看,鱼刺最常停留在上呼吸消化道的解剖狭窄或黏膜褶皱处。一项纳入 1293 名患者的回顾性队列研究显示,真正被确认存在鱼刺的患者中,大多数异物位于口咽和下咽区域,包括腭扁桃体、舌根、会厌谷和梨状窝等部位[1]。这些位置对吞咽动作非常敏感,因此哪怕鱼刺不大,也容易产生明显异物感和疼痛。

图片

值得注意的是,“感觉在哪里”并不等于“鱼刺在哪里”。在这项研究中,很多患者主观定位并不准确,而单纯依靠症状判断,容易低估风险[1]。这也是为什么一些人反复觉得不适,却在最初检查中未发现明确异物。

真正容易酿成严重后果的,是鱼刺进入食管或穿透黏膜后的情况。虽然发生比例不高,但一旦发生,风险急剧上升。研究显示,鱼刺导致的穿孔、脓肿等并发症总体发生率不高,但一旦出现,往往需要更复杂的影像学检查甚至手术处理[1,2]

还有一类情况相对少见,却最容易被忽视:鱼刺移位。综述性研究总结了多种鱼刺穿透咽部或消化道后迁移至颈部、纵隔、肺、肝脏等部位的病例[2]。这些患者中,有人最初症状轻微,甚至短暂缓解,但随后出现发热、感染或器官损伤,诊断往往被延误。

图片
罕见鱼骨撞击点的分布 图源:参考资料[2]

鱼刺卡住后该怎么做?


当怀疑鱼刺卡住时,应该立即就诊

绝大多数鱼刺相关问题,首选科室是耳鼻喉科;如果出现胸痛、持续发热或吞咽明显困难,往往需要联合消化科或外科进一步评估[1]。评估时,对于怀疑有鱼刺卡住,但是普通颈部 X 线又没发现时,可以考虑进一步拍摄 CT,提高准确性。

绝大多数严重病例,并不是因为鱼刺本身,而是因为后续处理不当在临床报道的严重病例中,鱼刺本身通常并不巨大,真正拉开结局差距的是“是否反复吞咽、是否试图自行处理、以及是否延误就诊时间”。这些行为会让鱼刺更容易嵌入更深的组织层次,甚至发生移位,从而增加取出难度和并发症风险。

被鱼刺卡住后

这些民间办法很危险


在临床病例中,真正让医生皱眉的,往往不是鱼刺,而是患者尝试过的处理方式。

最常见的,是吞饭团、馒头或其他干硬食物。在鱼刺移位的病例分析中,研究者明确指出,强行吞咽可能推动鱼刺穿透黏膜,进入周围组织,增加感染和器官损伤风险[2]。一些严重并发症,正是在这种自救过程中发生的。

图片
吞下一口饭,事实可能会这样

另一个广泛流传的方法,是喝醋软化鱼刺。但医学证据恰恰相反。一项病例报告显示,饮用普通食用醋不仅不能溶解鱼刺,反而可能造成口咽和食管的腐蚀性损伤[4]。这类损伤在内镜下表现为明确的黏膜炎症甚至溃疡,而鱼刺往往并未因此消失。

图片
患者黏膜出现组织脱落和白色渗出物 图源:参考资料[4]

还有人会反复抠喉、诱发呕吐,试图把鱼刺带出来。从力学和解剖结构来看,这种操作既难以精准作用于异物,又可能造成新的黏膜损伤,为感染埋下隐患[5]

在极少数情况下,鱼刺甚至可能因为反复的错误尝试穿透食管进入胸腔或肺部。一例病例报道显示,患者在误吞鱼刺后出现肺部脓肿,最终需要胸腔镜手术取出异物[5]

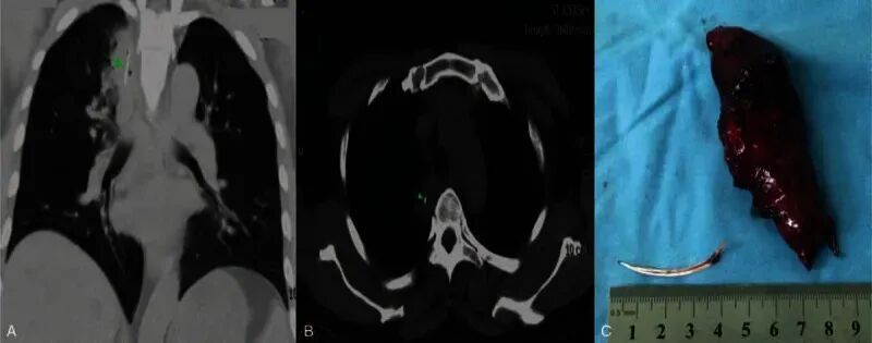
图片
A图和B图为一根长4厘米的鱼刺嵌在右肺上叶的脓肿中。C图为鱼刺和肺脓肿的合影。图源:参考资料[5]

这类情况虽然罕见,却清楚地说明了一点:错误处理,会把一个原本可控的问题,推向高风险路径

如何预防鱼刺卡在喉咙?


整鱼上桌、边聊边吃、灯光昏暗,是春节常见场景,却会显著增加误吞概率。

进食节奏同样关键研究显示,中老年人群因为吞咽功能下降,更容易发生鱼刺异物[3]。这类人群在吃鱼时,更需要放慢速度。或者提前去除明显的大刺、为老人和孩子分好鱼肉,能实实在在降低风险。

我个人一直强调一个观点:吃鱼时的专注度,本身就是一种医学干预它不需要额外成本,却可能避免一次不必要的急诊就医。

图片

图库版权图片,转载使用可能引发版权纠纷


从医学证据来看,鱼刺最可怕的部分,不在入口,而在后续选择。不急着吞、不迷信偏方、及时就医,再加上一点点预防意识,足以覆盖绝大多数风险。


参考文献

[1]Rankin A, Dhambagolla I, Johnston J, et al. Our experience of fish bone foreign bodies in the upper aerodigestive tract: a retrospective cohort study of 1,293 patients. Aust J Otolaryngol. 2025;8:20. 

[2]Li D, Zeng W, Chen J. Fish bone migration: complications, diagnostic challenges, and treatment strategies. World J Emerg Surg. 2025;20:35. 

[3]Shishido T, Suzuki J, Ikeda R, et al. Characteristics of fish-bone foreign bodies in the upper aero-digestive tract: the importance of identifying the species of fish. PLoS One. 2021;16(8):e0255947.

[4]Chung CH. Corrosive oesophageal injury following vinegar ingestion. Hong Kong Med J. 2002;8(5):365-366. 

[5]Tan S, Tan S, Peng M, et al. Management of an ingested fish bone in the lung using video-assist thoracic surgery: a case report. Medicine (Baltimore). 2015;94(22):e943.


策划制作

作者丨蒋永源 第三军医大学内科硕士

审核丨潘春晨 中国科学技术大学附属第一医院耳鼻喉头颈外科 副主任医师

策划丨王梦如

责编丨王梦如

审校丨徐来、张林林