【里程碑】2026年浙江创新医疗器械首证!亚毫米级穿刺精度+术中动态进针手术机器人上市

近日,国家药品监督管理局批准了杭州微引科技有限公司(以下简称“微引科技”)的CT引导穿刺手术定位系统的注册申请(国械注准20263010251)。2024年10月,该产品进入到创新医疗器械特别审查程序“绿色通道”。本次获批的穿刺手术机器人产品主要用于CT引导的成人肺部及腹部穿刺手术过程中穿刺针的定位和进针控制。


图片微引科技穿刺手术机器人MicrolGT-RoboC,图源:微引科技微信公众号



01

手术机器人提供精准穿刺手术解决方案



传统经皮穿刺手术高度依赖操作医生的主观经验与穿刺手感,往往无法形成标准化的操作方案。并且,穿刺手术中,医生需要具备三维解剖结构的空间想象力,医生穿刺手术学习时间周期较长,大量临床需求未能得到很好满足。而患者的呼吸运动等行为又通常会导致病灶位移,微小病灶穿刺定位难、精准度低、一针到位率低,多次穿刺则可能导致气胸、肺出血、咯血、胸膜腔出血等并发症。


经皮穿刺手术机器人的诞生便是为了解决上述问题——它为临床医生提供了更精准的穿刺手术解决方案,解决了经皮精准介入诊疗的“最后一厘米”难题。它是一种通过MRI、CT、超声等成像手段将目标解剖位置定位,引导反馈针头达到病灶,辅助完成经皮穿刺的手术机器人。在活检中,经皮穿刺手术机器人可精确从病灶获取样本组织,进一步进行病理检查等操作,目前主要用于肿瘤早期检测,适应症覆盖肺癌乳腺癌前列腺癌等;此外,其也兼容穿刺化疗药物注射、引流、射频/微波/冷冻/氩氦刀/纳米刀等多种治疗方式。


如前所述,对于穿刺手术机器人而言,核心挑战在于如何更好地解决呼吸、心跳等生理运动带来的“动态靶点”难题,实现肺部、肝脏等随呼吸移动器官的亚毫米级精准穿刺。这要求手术机器人具备极高的静态定位精度,也要求其具备实时感知、动态追踪与主动补偿的智能化能力,技术壁垒相对较高。为了更好地解决上述难题,微引科技进行了多项专利技术布局:


图片微引科技储备的与穿刺手术机器人相关的技术专利;数据来源:国家知识产权局;动脉网制图


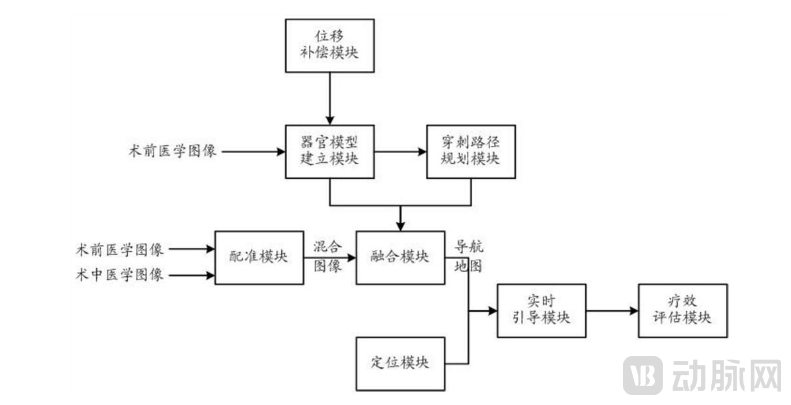
具体而言,针对患者呼吸运动带来的定位问题,微引科技“一种在CT和AI双引导下的穿刺消融术中导航系统”提及的方案是配置与3D器官模型建立模块相连的位移补偿模块,通过位于患者身上的定位圆盘确定患者呼吸时产生的位移,并基于所述定位圆盘的位移修正器官的位移;此外,配置的定位模块通过电磁发生器和穿刺针上的传感器实现对穿刺针进行实时定位,并通过位于患者身上的定位圆盘实现呼吸补偿以实现对所述穿刺针的二次校准。与此同时,呼吸运动还可能带来伪影问题,导致成像质量下降。在“一种经皮肺以及肺部穿刺的呼吸门控系统”中,微引科技采用立体视觉测量单元(双目相机或深度相机),获取患者多帧图像,并根据前后帧图像的变化检测出波动特征点,再通过进一步处理以获得呼吸周期曲线,实现在不需要靶标的情形下解决伪影问题。


图片图源:国家知识产权局


针对穿刺路径的选择,当前多由计算机模拟,从多条可行经皮穿刺路径中选择最优经皮穿刺路径。但在实际执行过程中,仍旧存在误差,可能导致人体腹部危险区域的损伤。微引科技基于“一种实时步进式经皮穿刺规划系统”(术中规划系统)通过实时三维影像配准模块将术前和术中的不同时间节点的影像对齐,从而监测到穿刺针在穿刺过程中的不同时间节点在影像里的真实位置信息与规划路线上的相对规划点的误差,进而实时计算出要准确穿刺到最终节点所需要实时调整的空间角度信息。并且,其给出了动态安全范围提示,以更好地实施穿刺手术。


在手术中,定位精度决定了手术时机器人是否能按照手术医生的操作精确地对准病灶进行手术。在“一种穿刺手术机器人系统精度检测方法”中,微引医疗通过一套激光定位系统解决了系统精度的测量问题。


图片图源:国家知识产权局;标识文字根据专利表述添加


基于专利基础与企业实力积淀,最终带来了穿刺手术机器人的上市。



02

亚毫米级穿刺精度+术中动态进针的手术系统



而纵观本次获批的微引科技穿刺手术机器人即MicrolGT-RoboC,其主要具备以下特点:

①集“导航+定位+穿刺”于一体,实现全流程自动化。MicroIGT-RoboC采用CT+AI引导的穿刺手术机器人系统,通过具有自主知识产权的“导航+定位+穿刺”手术系统,解决了医生在CT引导下的经皮穿刺活检过程中看不见穿刺针的实时影像、患者呼吸形变以及穿刺范围和时间估算依赖于经验的问题。其实现了从影像实时采集、路径智能规划到机械臂自动执行的完整闭环操作。此外,其自主研发的高精度长轴机械臂可在CT腔内使用,攻克了其所带来的伪影问题。

②基于步进式穿刺实现手术的实时导航与评估。相对于“盲穿”等穿刺方式,通过步进式穿刺(即分阶段,小步推进、边进针边确认),可以大幅提升穿刺的安全性与成功率,降低患者并发症风险。与术前规划不同,微引科技提供的是术中规划,将极大地改变当前穿刺手术现状。


③具备三维重建可视化穿刺路径规划+亚毫米级定位技术。MicrolGT-RoboC提供高精度穿刺手术解决方案,借助三维重建可视化穿刺路径规划以及机械臂定位等技术,达到亚毫米级穿刺精度,并且其是具备术中动态进针的手术系统,在呼吸运动状态下仍能保持精准进针,可更好地解决软组织穿刺器官形变以及呼吸波动带来的影响。

④可缩短手术时间,减少并发症及辐射剂量过多的危害。MicroIGT-RoboC能显著缩短医生的手术时间,辅助医生更快速地掌握穿刺技术,提高手术效率,经临床验证可显著减少患者CT扫描时间及频次,减少不良事件发生。并且其支持医生隔室操作,可有效减少辐射。


根据微引科技2025年2月披露的信息,MicroIGT-RoboC合作的客户包括复旦大学附属肿瘤医院浙江省肿瘤医院南京医科大学、华山医院、长海医院、安徽医科大学第二附属医院中南大学湘雅二医院等。


图片

图源:微引科技公众号


一例患者病例显示,在患者病灶粘连主动脉的情形下,MicrolGT-RoboC执行跨层穿刺规划,自动计算出进针位置及角度,精准穿到病灶。


图片

图片

RoboC规划执行图,图源:微引科技公众号



03

穿刺手术机器人商业化加速



从市场规模来看,德邦证券研报曾指出,2020年,全球经皮穿刺手术机器人规模为3.8亿美元。而中国市场2020年整体市场手术量约为2.3万例,市场规模2080万美元。根据弗若斯特沙利文,2020年我国的经皮穿刺手术机器人装机台数为20台,预计2026年将增加至244台,市场规模也将由1.4亿元增长至17.1亿元。


图片图源:德邦证券《手术机器人行业深度:革命性医疗技术,中国市场即将扬帆起航》


这一赛道也吸引着本土企业快速布局。由于穿刺手术机器人在我国应用较早,目前市面上已经有数十款产品。布局企业包括微引科技、精劢医疗、真健康医疗、佗道医疗、艾瑞麦迪、睿触机器人、伽奈维医疗、惟德精准医疗、医达极星医疗、艾米特智能、卓业医疗、联影智融医疗、横乐医疗、龙点睛智能科技等。

当前政策正进一步利好手术机器人等领域发展。1月下旬,国家医保局正式发布《手术和治疗辅助操作类医疗服务价格项目立项指南(试行)》(以下简称“《立项指南》”),围绕3D打印、示踪增强成像、能量器械、术中影像引导、机械臂与远程手术等医疗科技创新成果,进行统一价格立项,以引导医疗技术向“精准医疗”转型。《立项指南》被从业者视为是手术机器人等高端医疗技术商业化进程中的关键破冰之举,其中,围绕“辅助操作”这一核心逻辑,形成了统一、可衔接、可延展的收费体系。

随着市场需求释放+政策导向,未来包括穿刺手术机器人等在内的产品有望进一步迎来市场扩容,加速实现商业化落地。


关于微引科技


杭州微引科技有限公司成立于2020年6月,是全球少数具有CT、超声、磁共振等全医疗影像引导复合能力的机器人公司。公司专注于赋能医疗影像设备自动化、智能化以及平台化的能力。


截至2025年5月20日,公司已有专利、软著(含申请)40项,参与了1项国家科技部重点专项课题,以及作为唯一企业负责课题成果的转化。公司在上海、杭州设有1500平方米的研发、生产基地,在美国设有创新研发中心。