护童成长丨无创复位!4岁娃前臂骨折变形,医生为患儿巧手“归位”!

问AI · 儿童骨骼为何更适合无创复位治疗?

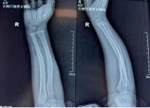
2月9日,4岁的小嘉佑被父亲紧紧抱在怀里来到了西安市红会医院手法复位室,孩子的右前臂明显肿胀、变形。接诊的张晓星医生立即进行体格检查,并安排影像学检查。X线片显示,小嘉佑为典型的儿童尺桡骨双骨折,骨折线横贯前臂中下段,骨折端不仅存在明显的侧方移位,还伴有一定程度的成角畸形。


手法复位室张晓星医生心中迅速判断,儿童骨骼有机质含量高、韧性大,此类骨折常表现为不完全断裂或青枝骨折,复位时需精准利用其骨膜铰链效应。考虑到患儿年龄小、骨骼娇嫩,且骨折移位情况较为特殊,他第一时间联系了科主任董博主任医师及周健副主任医师。


图片


董博主任和周健副主任医师仔细阅片及查体,并结合患儿的年龄特点展开讨论。董博主任表示,孩子才4岁,骨骼塑形能力极强。若贸然手术,不仅会造成额外创伤,还可能影响骨骼正常发育,可以优先采用手法复位联合石膏外固定的保守治疗方案,最大限度保护孩子的生长潜力。


在充分向家属说明治疗方案、潜在风险及预后情况,并取得知情同意后,专家团队立即实施手法复位。董博主任指导、周健副主任医师协助配合,张晓星医生凭借丰富的临床经验,双手轻柔而稳定地握住患儿前臂。巧妙利用儿童骨骼的柔韧特性,顺着骨膜铰链方向,精准施力、逐步矫正——先纠正侧方移位,再调整掌背侧成角畸形。整个操作过程行云流水,既专业规范,又充满对患儿的细致呵护。


图片


复位成功后,孩子原本扭曲变形的前臂也恢复了正常轮廓。团队为患儿采用超腕超肘石膏托进行外固定。这种特殊固定方式既能有效维持复位后的位置、防止再移位,又能通过精准塑形贴合前臂生理弧度,为骨折愈合提供稳定而舒适的环境。复位后即刻复查的X线片正位片显示,桡骨与尺骨骨折端对位良好,侧方移位完全纠正;侧位片显示掌背侧成角畸形已有效矫正,力线接近正常。“对于4岁的儿童而言,这样的复位效果已非常理想。”董博主任向家属耐心解释道,“儿童骨骼具有远超成人的塑形能力,即使存在轻微对位不良或小角度成角,在后续生长发育过程中也能自行重塑。因此,临床并不要求绝对解剖复位,而是在保障功能恢复的前提下,尽可能减少创伤。”


从急诊接诊到专家研判,再到手法复位的精准施治,西安市红会医院手法复位室团队以专业素养与人文关怀,为小嘉佑的健康保驾护航。未来,西安市红会医院手法复位室将继续深耕临床实践,传承并发扬中医正骨智慧,以精湛医术守护每一位患者的健康。


图片

来源:手法复位室

作者:曾雪琴

通讯员:曾雪琴

编辑:闫卓

审核:辛源