胳膊肘疼,治疗时除了治肘还要治肩,这个原因您想过没?

问AI · 诊断手法如何揭示隐藏的病因?

身体就像一条动力链,关节之间相互影响。一个关节的功能异常,常常会牵连到邻近的关节出现代偿性疼痛。

图片图片来源于视觉中国

一、 案例分享

36岁的羽毛球爱好者孙先生,近期出现左肘疼痛——在伸直手臂时尤其明显,运动加重,休息缓解。他曾在去年8月因摔跤导致左手第四掌骨近端骨折,经石膏固定后已痊愈。此次为寻求肘痛的根本原因前来就诊。

图片图片来源于视觉中国

二、详细检查

1、体格检查

  • 左肘屈伸活动度可,屈肘与伸肘末端疼痛,左旋前圆肌压痛,屈伸抗阻试验无痛。

  • 被动屈伸肘末端疼痛加重,mulligan将肱骨由后向前平移后屈伸肘疼痛缓解。

  • 左肩关节:静态姿势下左肩稍向前扣(圆肩姿态),后伸受限;后伸抗阻弱阳;内收抗阻弱阳;肱三头肌抗阻实验阳性。

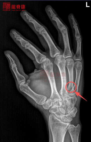
2、X光片检查

左手正斜位DR阅片示:考虑左手第四跖骨近端骨折。

图片

3、诊断依据

肩关节姿势评估发现异常(肩前扣);患者主诉屈肘末端有牵扯感,伸肘末端有挤压感不适;肱三头肌抗阻试验阳性;Mulligan手法推动肱骨后疼痛缓解。

4、诊断结果

左肘关节痛,与肱骨活动异常(肩前扣)及肱三头肌损伤有关。

三、治疗方案

前期:针对肱三头肌损伤,采用手法松解肱三头肌,并用超声波对肱三头肌肌腱进行消炎减张处理。

中期:针对肩关节后囊和肩前扣体态进行处理,包括手法松解肩关节后囊、关节松动肱骨,促进肱骨近端向后滑动和肱骨远端向前滑动。

后期:针对肩袖稳定性进行处理,强化冈下肌和小圆肌,以改善肱骨前移。同时,教导患者进行肩关节后囊的自我牵伸练习。

四、诊治思路

1、处理思路

患者屈肘和伸肘末端都痛,疼痛位于尺骨鹰嘴附近,但屈伸抗阻试验不痛;静态下左肩前扣。因此,重点处理肩关节后囊并进行肩关节松动,肱骨松动后疼痛明显好转。

2、评估思路

当肘关节局部检查无法明确病因时,采用Mulligan手法将肱骨远端向前滑动,疼痛部分缓解,于是将评估重心转移到肱骨近端(肩关节)。

静态评估发现肩前扣;软组织评估提示肱三头肌损伤,这与患者疼痛部位在肱三头肌肌腱处、且屈肘时有牵扯感相符。

处理肩关节后囊并促进肱骨头向后滑动后,再次评估肘关节疼痛缓解明显。这说明肩关节功能障碍导致了肘关节的代偿性疼痛。

图片

图片

五、医生总结

当肘关节局部疼痛,通过Mulligan松动发现肱骨对其症状有改善但不明显时,需要考虑相邻的肩关节,检查肱骨近端是否存在异常。对于经常进行上肢运动的爱好者(如羽毛球),保持良好的肩关节活动度和功能,是预防肘、腕等远端关节代偿性损伤的关键。

‍(本文部分图片来源于“视觉中国”)

作者声明:健康医疗分享,仅供参考