追问daily | 为什么换个地方就睡不着?强调积极经历可缓解抑郁症;两个月大的婴儿已具备物体分类能力

图片

█ 脑科学动态

为什么换个地方就睡不着?科学家找到大脑中的“夜间守卫”

利用聚焦超声刺激与神经元进行通信的新方法

星形胶质细胞如何在不损害记忆的情况下储存缺陷糖原

迷走神经是调控多巴胺奖赏通路的关键

眼球运动帮助大脑感知三维世界

两个月大的婴儿已具备物体分类能力

内脏疼痛比皮肤疼痛更能增强同理心

强调抑郁经历中的力量可显著提升患者自信与目标达成率

全球约三分之一痴呆症病例与牙周病等非脑部疾病相关

盲人接受脑皮层电刺激后意外恢复部分自然视力


█ AI行业动态

Claude Cowork插件引发“SaaS末日”恐慌

GitHub集齐AI编程“三巨头”,开发者工作流迎革命性变革

AI开始花钱雇人跑腿,时薪350元


█ AI驱动科学

Nature:“发现式学习”AI工具仅需数天数据即可预测电池循环寿命

可编程“乐高式”机器人材料,模拟生命灵活性

新型AI系统利用大语言模型实时修复3D打印缺陷

机器人化身学习伙伴:普渡大学探索个性化人机交互新策略

正念通过工作重塑,助力生成式AI在项目管理中的应用

AI能像人类一样理解词语印象吗?

突破强化学习规模瓶颈:无限维系统的新型控制算法

利用强化学习模型重建受损大脑神经连接


脑科学动态


为什么换个地方就睡不着?科学家找到大脑中的“夜间守卫”


为什么人们在酒店第一晚总是辗转难眠?名古屋大学的Daisuke Ono、Hung, Chi Jung等人探究了这一“首夜效应”背后的神经机制。他们发现,当动物进入新环境时,大脑扩展杏仁核中的一组特定神经元会被激活,通过释放神经降压素来维持警觉,以应对潜在危险。


图片

 当小鼠遇到新环境时,IPACL CRF 神经元(绿色)会被激活,并释放神经降压素以维持警觉性。这一脑回路或许可以解释人类的“首夜效应”。Credit: Hung et al., 2026


研究团队通过小鼠实验发现,大脑中一个处理情绪和压力的区域——扩展杏仁核,在感知到新环境时会变得活跃。其中,一类特定的IPACL CRF神经元会释放一种名为神经降压素的信号分子。这种分子随后作用于大脑中控制运动和警觉性的黑质,从而使动物保持清醒。实验中,当研究人员人为激活这些神经元时,小鼠的清醒时间显著延长;而当抑制这些神经元后,小鼠即使身处新环境也能很快入睡。这一发现首次清晰地描绘了“首夜效应”的神经通路,解释了大脑为何在新环境中会牺牲睡眠以保持“夜间守卫”状态。由于该脑区结构在所有哺乳动物中都存在,这一机制很可能同样适用于人类,未来有望为开发针对失眠、焦虑症和创伤后应激障碍的药物提供新靶点。研究发表在 PNAS 上。

#疾病与健康 #神经机制与脑功能解析 #睡眠 #首夜效应


阅读更多:

Hung, Chi Jung et al, Neurotensin in the extended amygdala maintains wakefulness in novel environments, Proceedings of the National Academy of Sciences (2026). DOI: 10.1073/pnas.2521268123. doi.org/10.1073/pnas.2521268123


利用聚焦超声刺激与神经元进行通信的新方法


如何安全、无创地与大脑神经元“对话”以治疗帕金森等神经疾病?Iqra Bano, Pascal Jorratt, Viera Kútna, Jan Pala和Grygoriy Tsenov等研究人员,探索了一种利用声波进行神经调控的新方法。他们的研究表明,低强度聚焦超声技术可以在不损伤细胞的前提下,精确地调节神经元的核心信号活动,为开发更安全的神经疾病疗法开辟了新途径。


图片

 示意图展示了低强度聚焦超声 (FUS) 应用于培养的原代皮层神经元,并通过荧光成像实时监测细胞内 Ca²⁺ 活性。FUS 激活机械敏感通路和钙依赖性信号传导,从而调节神经元兴奋性和下游细胞反应。Credit: Iqra bano


研究团队在体外培养的原代大鼠皮层神经元上应用了低强度聚焦超声。他们通过活细胞荧光成像技术,实时监测了作为细胞内关键信使的钙离子的动态变化。结果发现,经过短暂的超声刺激后,神经元内的钙信号出现了可控且可重复的显著增强。更为关键的是,这种刺激非常安全。后续的细胞活力、蛋白质含量和形态学分析均证实,超声处理并未对神经元的健康和结构造成任何损害,成功定义了一个安全的“声学窗口”。这一发现证明了FUS作为一种非侵入性神经调控工具的巨大潜力,它有望在未来用于恢复功能失调的脑回路,为神经退行性疾病提供定制化的精准治疗方案。研究发表在 Neurochemical Research 上。

#疾病与健康 #神经调控 #聚焦超声 #钙信号


阅读更多:

Bano, Iqra, et al. “Noninvasive Focused Ultrasound as a Safe Modulator of Calcium-Dependent Neurochemical Signalling in Primary Cortical Cultures.” Neurochemical Research, vol. 51, no. 1, Jan. 2026, p. 61. Springer Link, https://doi.org/10.1007/s11064-026-04676-z


星形胶质细胞如何在不损害记忆的情况下储存缺陷糖原


大脑中的物质积累是否一定是衰老或疾病的警示信号?由莱布尼茨衰老研究所-弗里茨·利普曼研究所的Dennis de Bakker和美国田纳西大学健康科学中心的Robert W. Williams等人领导的国际团队,通过研究老年小鼠发现,大脑支持细胞中一种缺陷能量分子的积累,可能只是正常衰老的一部分,并不会损害记忆功能。


研究团队通过分析32种遗传背景各异的小鼠品系,发现在衰老过程中,海马体的星形胶质细胞会积累一种名为多聚葡糖体(polyglucosan bodies,PGBs)的缺陷糖原。利用定量性状基因座(quantitative trait locus analysis,一种定位影响复杂性状基因区域的统计方法)分析,他们成功锁定了一个名为Pgb1的特定基因区域,该区域像一个开关,决定了PGBs的积累程度。然而,研究中最出人意料的发现是,尽管部分小鼠大脑中存在大量PGBs,但它们在记忆、学习能力和空间定位等一系列行为测试中的表现,与几乎没有PGBs的小鼠相当。这一结果挑战了传统观念,表明大脑对某些与年龄相关的生化变化具有惊人的稳健性,而PGBs的形成可能是一种无害的、受基因调控的正常衰老现象,而非必然的病理标志。研究发表在 Cell Systems 上。

#疾病与健康 #神经机制与脑功能解析 #健康衰老 #星形胶质细胞


阅读更多:

Gómez-Pascual, Alicia, et al. “The Smarcal1-Usp37 Locus Modulates Glycogen Aggregation in Astrocytes of the Aged Hippocampus.” Cell Systems, vol. 0, no. 0, Feb. 2026. www.cell.com, https://doi.org/10.1016/j.cels.2025.101488


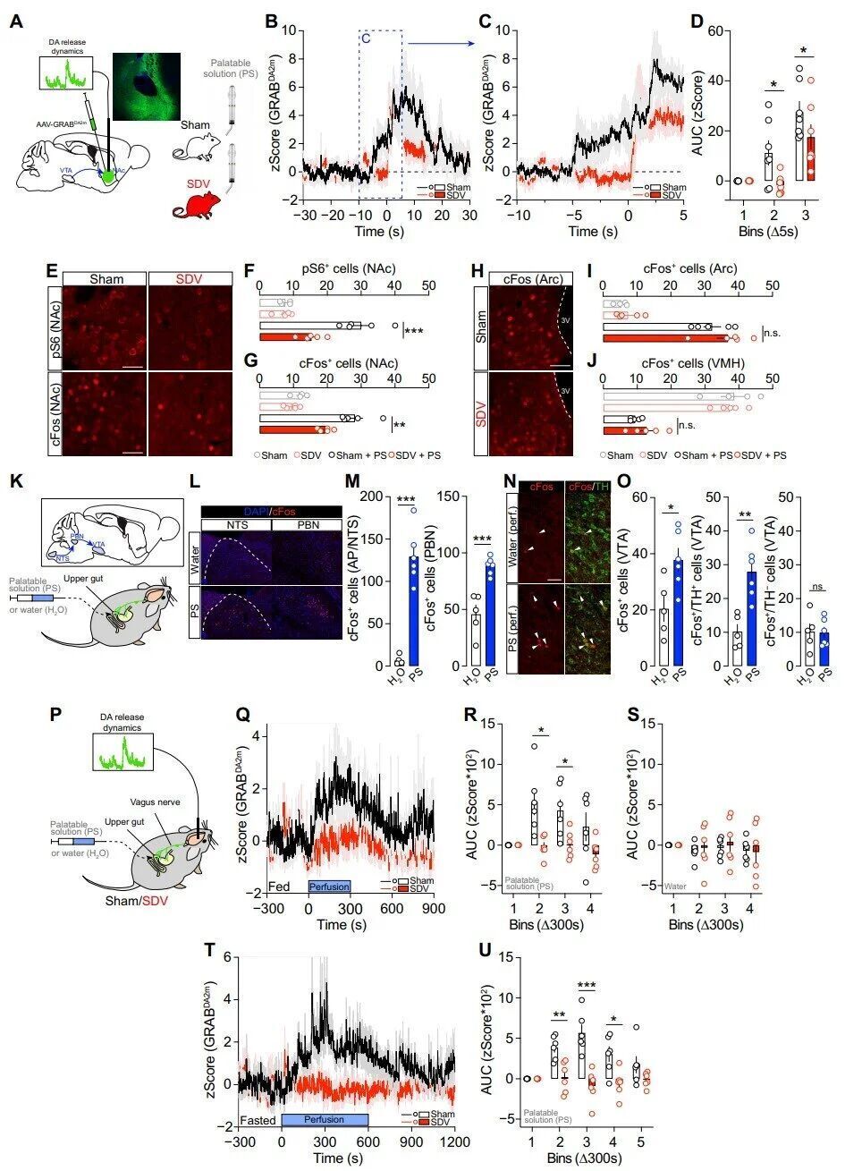
迷走神经是调控多巴胺奖赏通路的关键


多巴胺驱动的奖赏行为是否完全由大脑主导?Oriane Onimus及其同事的一项研究挑战了这一传统观点,揭示了连接肠道与大脑的迷走神经在成瘾和食欲中扮演着不可或缺的角色。研究结果表明,来自肠道的信号对于维持大脑中脑边缘多巴胺系统的正常功能至关重要,从而影响着我们对食物和药物的反应。


图片

 肠-脑迷走神经轴对于食物驱动的多巴胺能神经元修复和分子动力学至关重要。Credit: Science Advances (2026). 


研究团队通过在小鼠模型上进行膈下迷走神经切断术(subdiaphragmatic vagotomy,一种切断腹部迷走神经的手术)发现,破坏肠脑通讯会显著削弱奖赏行为。与正常小鼠相比,手术后的小鼠对高适口性食物的渴望和消耗量均明显下降,对可卡因和吗啡等药物产生的奖赏效应也大打折扣。利用光纤光度法等技术,研究人员观察到,在迷走神经被切断的小鼠中,大脑奖赏中枢伏隔核在面对食物或药物刺激时的多巴胺信号释放出现了延迟和减弱。这表明迷走神经的持续性输入是维持多巴胺神经元正常放电和塑造奖赏回路结构可塑性的必要条件。该发现为理解饮食失调和成瘾的神经生物学机制提供了全新视角。研究发表在 Science Advances 上。

#疾病与健康 #神经机制与脑功能解析 #肠脑轴 #成瘾


阅读更多:

Onimus, Oriane, et al. “The Gut-Brain Vagal Axis Governs Mesolimbic Dopamine Dynamics and Reward Events.” Science Advances, vol. 12, no. 5, Jan. 2026, p. eadz0828. science.org (Atypon), https://doi.org/10.1126/sciadv.adz0828


眼球运动帮助大脑感知三维世界


长期以来,眼球运动在视网膜上产生的图像移动被视为大脑需要滤除的“噪音”。罗切斯特大学的Gregory C. DeAngelis、Zhe-Xin Xu及Jiayi Pang等人提出了一套新理论框架。他们发现,大脑非但不会忽略这些信号,反而会利用它们推断自身的运动状态,从而灵活、准确地感知三维世界中物体的运动与深度,这一发现挑战了该领域的传统观点。


图片

 二维场景中平滑追踪眼动及其视觉后果的示意图。A 该图展示了场景中的运动,包括一个向左移动的追踪目标(黄色方块)和一个向上移动的物体(白色随机点阵)。 绿色三角形表示场景中静止的背景元素。B 假设观察者准确地追踪黄色目标,则在屏幕坐标系中,图 ( A ) 所示场景的图像运动。绿色三角形的图像运动反映了眼动产生的光流(绿色箭头),而白色物体的图像运动(白色箭头)则反映了其在现实世界中的运动以及观察者的眼动 。C 物体在现实世界中的运动(灰色实线箭头)可以通过从物体的视网膜图像运动(灰色虚线箭头)中减去光流矢量(绿色箭头)得到,这相当于将追踪眼动速度(黄色箭头)加到视网膜图像运动上。Credit: Nature Communications (2025).


研究团队通过心理物理学实验,让参与者在虚拟现实(VR)环境中完成运动方向和深度感知的任务。实验的核心在于利用背景中的光流(optic flow,即由观察者或物体运动导致的视觉场景中模式、表面和边缘的视运动模式)来模拟不同的观察视角几何,例如眼睛纯旋转或旋转加平移。结果显示,大脑并非采用单一的减法运算来消除眼动影响,而是根据光流推断出的自身运动情境,灵活地调整其对物体运动和深度的计算方式。参与者表现出的一致且可预测的感知偏差,与新理论框架的预测高度吻合。这一发现不仅揭示了大脑高效处理动态视觉信息的机制,也为解决VR技术中的动晕症问题提供了新思路,即VR系统需要更好地匹配用户眼动所预期的视觉反馈。研究发表在 Nature Communications 上。

#认知科学 #神经机制与脑功能解析 #计算模型与人工智能模拟 #视觉感知


阅读更多:

Xu, Zhe-Xin, et al. “Flexible Computation of Object Motion and Depth Based on Viewing Geometry Inferred from Optic Flow.” Nature Communications, vol. 17, no. 1, Dec. 2025, p. 1092. www.nature.com, https://doi.org/10.1038/s41467-025-67857-4


两个月大的婴儿已具备物体分类能力


两个月大的婴儿大脑里在想什么?虽然他们还不会说话,但一项开创性研究发现,他们已经能对物体进行分类。来自都柏林圣三一学院、斯坦福大学以及贝尔法斯特女王大学的 Cliona O'Doherty, Rhodri Cusack, Anna Truzzi 等研究人员,结合脑成像与人工智能技术,揭示了人类生命初期视觉认知的神经基础。这一发现不仅改写了我们对婴儿大脑发育的认知,也为人工智能的学习机制提供了新的生物学启示。


研究团队对130名约两个月大的清醒婴儿进行了功能性磁共振成像(fMRI)扫描。这是该领域迄今规模最大的纵向研究。在实验中,婴儿佩戴降噪耳机观看猫、树等12类常见物体的图像。通过将大脑活动数据与深度神经网络模型的计算层级进行比对,研究人员发现,婴儿的腹侧颞叶皮层——大脑中负责高级视觉处理的区域,在两个月大时就已经形成了清晰的物体分类结构。


令人意外的是,这种高级分类能力甚至早于外侧视觉皮层的成熟,后者通常被认为是视觉处理层级中较早期的物体识别区域。这一结果挑战了传统的层级发育理论,表明大脑并非严格按照“先局部特征后整体分类”的顺序发育。研究还证实,人工智能模型能有效模拟婴儿的学习模式,这不仅有助于理解人类认知,未来还可能用于开发更高效的AI系统,并为神经发育障碍的早期诊断提供新的工具。研究发表在 Nature Neuroscience 上。

#神经科学 #神经机制与脑功能解析 #计算模型与人工智能模拟 #大脑发育 #视觉感知


阅读更多:

O’Doherty, Cliona, et al. “Infants Have Rich Visual Categories in Ventrotemporal Cortex at 2 Months of Age.” Nature Neuroscience, Feb. 2026, pp. 1–10. www.nature.com, https://doi.org/10.1038/s41593-025-02187-8


内脏疼痛比皮肤疼痛更能增强同理心


疼痛的类型是否会改变我们对他人的同情程度?来自鲁尔大学波鸿分校的Milena Pertz、Sigrid Elsenbruch等研究人员发现,相比于烫伤等外部躯体疼痛,源自身体内部的内脏疼痛能引发更强烈的同理心,尤其是当对象是亲密伴侣时。这项研究通过对比不同疼痛模态下的心理反应,揭示了内脏疼痛在社会互动和心理层面具有独特的威胁性和影响力。


图片

 实验设计和流程示意图(涵盖两个实验日)。Credit: The Journal of Pain (2026). 


研究团队招募了30名处于稳定恋爱关系中的志愿者,开展了为期四天的实验。研究人员通过仪器对参与者施加两种不同类型的疼痛:一种是作用于下腹部皮肤的热刺激,代表躯体痛(somatic pain);另一种是通过压力诱发的深部疼痛,代表内脏痛(visceral pain)。参与者不仅需要评估自身的疼痛感,还要在想象伴侣或陌生人遭受同等疼痛时,评估其不适程度及自身的共情关怀(empathic concern,指对他人的不幸产生同情和关注的情感倾向)。结果显示,无论是在直接体验、想象还是回忆阶段,参与者对内脏疼痛的评分都显著高于躯体疼痛,并在面对伴侣遭受内脏痛时表现出最强烈的同理心和个人痛苦感。这一发现表明,人体对内部威胁具有更高的警觉性,且这种机制深刻影响着社会心理行为,为理解慢性疼痛患者及其照护者之间的互动提供了新视角。研究发表在 The Journal of Pain 上。

#疾病与健康 #心理健康与精神疾病 #跨学科整合 #知觉康复


阅读更多:

Pertz, Milena, et al. “Pain Modality Shapes Empathy: Amplified Empathic Responses for Visceral Compared to Somatic Pain.” The Journal of Pain, vol. 39, Feb. 2026. www.jpain.org, https://doi.org/10.1016/j.jpain.2025.105631


强调抑郁经历中的力量可显著提升患者自信与目标达成率


社会普遍观念常将抑郁症视为个人软弱的标志,这种偏见严重阻碍了患者实现人生潜能。来自维也纳大学的Christina A. Bauer及其来自奥地利、德国和美国的同事(包括Gregory M. Walton等)进行了一项新研究,旨在通过改变叙事方式来帮助患者。研究团队发现,简单地引导患者重新审视自己在对抗疾病过程中所展现的坚韧与力量,而非聚焦于“软弱”,能够显著提升他们的自信心,并大幅提高实现个人目标的成功率。


该研究包含三项实验,共涉及748名有过抑郁经历的参与者。研究人员开发了一种仅需约20分钟的“抑郁重构”(depression-reframing)练习,鼓励参与者反思并书写自己在应对抑郁症状(如克服起床困难、处理负面情绪)时所体现出的毅力与适应力。这种方法借鉴了“说即是信”(saying-is-believing)的心理学技巧,旨在打破社会强加的“固有弱点叙事”(inherent-weakness-narratives)。结果显示,这种干预措施效果显著且广泛适用,无论参与者当前的抑郁症状严重程度如何,其自信心均得到增强。更重要的是,在一项为期两周的追踪实验中,接受重构干预的参与者在个人目标(如职业发展、人际关系等)的推进上,比对照组高出了49%。这表明,将抑郁经历重新定义为力量的源泉,能有效转化为实际的行动力。研究发表在 Personality and Social Psychology Bulletin 上。

#疾病与健康 #心理健康与精神疾病 #抑郁症 #社会心理学 #自我效能感


阅读更多:

Bauer, Christina A., et al. “Depression-Reframing: Recognizing the Strength in Mental Illness Improves Goal Pursuit Among People Who Have Faced Depression.” Personality and Social Psychology Bulletin, Feb. 2026, p. 01461672251412492. SAGE Journals, https://doi.org/10.1177/01461672251412492


全球约三分之一痴呆症病例与牙周病等非脑部疾病相关


痴呆症通常被认为源于脑部病变,但身体其他器官的健康状况是否也在其中扮演关键角色?中山大学的唐亚梅、邓振红等研究人员通过一项涉及全球数据的广泛分析发现,约有三分之一的痴呆症病例与不直接影响大脑的外周疾病有关,这一发现为痴呆症的预防提供了新的视角。


图片

 1990-2021 年与 16 种外周疾病相关的痴呆症 PAF 排名的时间趋势。星号表示 2021 年与 1990 年的 PAF 比率。Credit: Deng et al. 


研究团队采用了系统综述与贝叶斯荟萃分析的方法,整合了截至2024年9月的200多项研究数据,重点考察了26种外周疾病与痴呆症风险的关联。通过结合全球疾病负担研究的患病率数据以及英国生物银行(UK Biobank)的共病数据,研究人员计算了这些疾病对痴呆症的人群归因分数(population attributable fractions,简称PAF)。结果显示,共有16种外周疾病显著增加了痴呆症风险,在全球范围内,这些疾病共同构成了33.18%的痴呆症负担,相当于约1880万个病例。其中,牙周病、慢性肝病、听力丧失、视力丧失和2型糖尿病是导致痴呆症风险增加的前五大因素。这项研究强调,痴呆症并非总是仅由脑损伤引起,通过改善口腔卫生、控制慢性病等公共卫生策略,可能有效预防大量痴呆症的发生。研究发表在 Nature Human Behaviour 上。

#疾病与健康 #其他 #细胞死亡 #癌症治疗 #免疫代谢


阅读更多:

Deng, Zhenhong, et al. “Population Attributable Fractions of a Wide Range of Peripheral Diseases for the Burden of Dementia.” Nature Human Behaviour, Jan. 2026, pp. 1–19. www.nature.com, https://doi.org/10.1038/s41562-025-02392-2


盲人接受脑皮层电刺激后意外恢复部分自然视力


当旨在创造人工视觉的实验意外唤醒了自然视力,这为脑科学研究带来了怎样的震动?来自埃尔切米格尔·埃尔南德斯大学的 Arantxa Alfaro、Leili Soo 和 Eduardo Fernández 团队,在一项皮层视觉假体的临床试验中观察到了这一罕见现象。一名因不可逆视神经损伤而完全失明超过三年的患者,在接受大脑皮层电刺激和视觉训练后,意外地恢复了部分自然视力,且这种改善在植入设备移除后依然持续。


该研究原本旨在通过向大脑初级视觉皮层植入含有100个微电极的阵列,利用电刺激诱发“光幻觉”来辅助盲人感知世界。然而,研究人员发现,配合每天30分钟的视觉训练,患者不仅能感知人工信号,还开始重获自然视觉。患者的视觉诱发电位(Visual Evoked Potentials,大脑对视觉刺激产生的电信号,用于评估视觉信息是否到达皮层)从研究前的几乎消失,转变为逐渐重现并增强。最终,患者能够识别简单的形状和字母,在抓握物体时协调性提升,并能更自信地在日常环境中行动。研究人员推测,大脑的可塑性、电刺激对神经回路的激活以及患者的高强度训练共同促成了这一结果,这为严重视神经损伤的非侵入性治疗(如经颅电刺激)提供了新的思路。研究发表在 Brain Communications 上。

#疾病与健康 #神经调控 #知觉康复 #视觉恢复 #脑机接口


阅读更多:

Alfaro, Arantxa, et al. “The Unexpected Sight: Improvement of Visual Function Following Intracortical Microstimulation of the Human Occipital Cortex.” Brain Communications, vol. 8, no. 1, Feb. 2026, p. fcaf504. Silverchair, https://doi.org/10.1093/braincomms/fcaf504



AI 行业动态


AI风暴席卷全球软件业:引发“SaaS末日”恐慌


人工智能领域的进展正引发剧烈的市场震荡。近日,AI公司Anthropic为其生产力工具Claude Cowork推出了涵盖法律、销售、财务等领域的11款新插件。市场认为,这些能直接完成端到端工作(如审阅合同、客户跟进)的插件,不再仅仅是软件的助手,而可能成为传统软件即服务(SaaS)的直接替代者。这一预期迅速转化为全球资本市场的“信仰地震”:从硅谷的Adobe、Salesforce,到欧洲的WPP、Relx,再到印度的IT巨头,全球软件与服务类股票遭遇集体抛售,短短一周内相关市值蒸发近万亿美元。分析师将此次恐慌性下跌称为“SaaS末日”,其根源在于投资者担忧AI智能体将瓦解按用户席位收费的传统软件商业模式。 


此次风波凸显了AI应用层对传统行业的颠覆性冲击。传统SaaS模式的护城河建立在复杂的用户界面和按席位收费上,而Claude Cowork等AI智能体代表的新模式则转向按产出收费和后台直接自动化执行。这使得市场重新评估许多软件公司的核心价值。尽管有分析观点认为,企业级软件所需的深度集成与行业知识使其难以被快速取代,AI更可能扩大而非完全蚕食市场,但恐慌情绪已然蔓延。甚至云服务提供商和芯片公司的股价也受到波及,因为市场在重新评估整个IT生态的价值链条。这一事件标志着AI已从技术概念层面,深入到直接重塑全球经济分工与价值分配的深水区。

#ClaudeCowork #SaaS危机 #AI自动化 #软件股震荡 #Anthropic


阅读更多:

https://www.bloomberg.com/news/articles/2026-02-03/legal-software-stocks-plunge-as-anthropic-releases-new-ai-tool 


GitHub集齐AI编程“三巨头”,开发者工作流迎革命性变革


全球最大的开发者平台GitHub宣布一项重大进化,正式将两大顶级编程AI——Claude和Codex集成至其平台,与原有的GitHub Copilot形成“三足鼎立”之势。这一更新通过全新的“智能体指挥中心”(Agent HQ)实现,允许开发者在同一个工作流中便捷地调用、比较和协同使用这三个AI助手,完成从代码编写、漏洞修复到提交拉取请求的复杂任务。此举标志着GitHub正从一个代码托管仓库,转型为支持多智能体(Multi-Agent)原生协同的“AI战场”,旨在彻底解决开发过程中耗时的“上下文切换”问题,将AI深度融入从构思到落地的全流程。 


此次整合的核心在于“原生”与“协同”。开发者无需在不同工具间跳转,即可在GitHub网页端、移动应用及VS Code中直接指派AI任务。更重要的是,开发者可以像“舰队指挥官”一样,让多个AI智能体分工协作,例如,同时评估代码架构、寻找潜在隐患或提出重构方案,从而将工作重心从具体的语法编写提升至更高层的策略制定。微软和GitHub此举,不仅为超过1.8亿开发者提供了“终极外挂”,也预示着AI编程的竞争正从单点工具升级为覆盖软件全生命周期的平台级智能体生态,推动开发模式向规模化、自动化与智能化深刻演进。

#GitHub #AI编程 #多智能体协作 #开发工作流 #微软


阅读更多:

https://github.blog/news-insights/company-news/pick-your-agent-use-claude-and-codex-on-agent-hq/ 


AI开始花钱雇人跑腿,时薪350元


一个名为“rentahuman.ai”的网站正引发巨大关注,它创建了一个AI雇佣人类完成现实任务的魔幻市场。在该平台上,人类可以注册为“跑腿员”,明码标价设定自己的时薪(最高可见350元/小时),并列出技能;而AI则作为“雇主”发布各种需要物理世界执行的任务,例如拍摄照片、试吃餐厅、取送包裹等。平台运作不足48小时,等待被AI雇佣的全球人类数量已突破2万人,求职者中甚至包括初创公司CEO。开发者@AlexanderTw33ts表示,其智能体已开始在平台内积极撮合交易,并有用户声称已完成任务并获得报酬。 


这一现象被视为人机关系演化的一个标志性节点。它表明,当AI在数字世界的能力趋于成熟后,其需求正通过雇佣人类的方式向物理世界延伸。与此同时,人类在部分场景下正被AI系统视为一种可调度、可标签化、按需付费的“执行资源”。这一趋势引发了广泛讨论:有网友为高报酬感到兴奋并研究如何“被选中”,也有人质疑AI的支付能力及超低时薪(如1美元/小时)会扰乱市场。评论认为,这与近期AI智能体接管工作流程、形成独立社区等现象一脉相承,共同指向一个核心问题——人类与AI的主导与从属关系,正在发生微妙而深刻的反转。

#AI雇佣人类 #rentahumanai #人机关系 #任务平台 #具身智能


阅读更多:

https://rentahuman.ai/public-bounties



AI 驱动科学


Nature:“发现式学习”AI工具仅需数天数据即可预测电池循环寿命


如何将电池研发从数年的漫长测试缩短至几天?密歇根大学的Ziyou Song、Jiawei Zhang及其团队开发了一款名为“发现式学习”的AI工具,它能利用少量早期数据精确预测新电池设计的循环寿命,有望将研发时间和能耗分别削减98%和95%。


图片

 密歇根大学开发的发现式学习系统工作原理示意图。Credit: Nature (2026).


该研究团队受人类“边做边学”模式的启发,创建了一个由多个AI代理协作的“发现式学习”系统。该系统首先由一个“学习器”AI主动选择最能填补其知识空白的新电池设计进行短期测试(约50次充放电循环)。测试数据随后交由“解释器”AI,它结合一个基于物理学的电池模拟器和庞大的历史数据库,提取出关键的物理化学特征。最后,一个“预言机”AI综合这些信息,对电池的完整循环寿命做出最终预测。该模型的强大之处在于其泛化能力:研究团队仅使用公开的圆柱形电池数据进行训练,却成功预测了工业级大尺寸软包电池的性能,测试误差仅为7.2%。这一突破意味着研究人员无需再进行耗时数月甚至数年的完整测试,即可快速评估新设计的潜力。研究发表在 Nature 上。

#AI驱动科学 #预测模型构建 #电池技术 #机器学习 #能源


阅读更多:

Zhang, Jiawei, et al. “Discovery Learning Predicts Battery Cycle Life from Minimal Experiments.” Nature, vol. 650, no. 8100, Feb. 2026, pp. 110–15. www.nature.com, https://doi.org/10.1038/s41586-025-09951-7


可编程“乐高式”机器人材料,模拟生命灵活性


为突破传统机器人材料性能固定的局限,杜克大学的Yun Bai和Xiaoyue Ni等研究人员,开发出一种可编程的数字复合材料。该材料由类似乐高积木的模块组成,通过局部加热改变内部金属的固液状态,从而实时调整材料的刚度,模拟生物肌肉的灵活性,为开发功能更多样、适应性更强的机器人铺平了道路。


图片

 基于非易失性固液相架构的数字复合材料的编程与测试。Credit: Science Advances (2026). 


研究团队创造的这种数字复合材料,其基本单元由一个充满镓铁混合物的弹性体腔室构成。这种金属复合材料可以通过电信号产生的局部热量,在固态和液态之间进行快速、可逆的切换,如同向硬盘写入可擦写的“1”和“0”数据,从而精确控制每个单元(体素,即三维空间中的最小单位)的刚度。研究人员将这些单元组合成包含27个独立单元的“乐高式”模块,这些模块可以自由拼装成任意三维结构。为了展示其潜力,团队用10个模块组装成一条机器鱼的尾巴。实验显示,在电机运动模式完全相同的情况下,仅通过重新编程尾巴内部不同单元的固液状态组合,就能让机器鱼游出截然不同的轨迹。这一成果展示了未来机器人无需改变硬件或主控程序,仅通过改变自身材料属性就能适应不同任务或环境的可能。研究发表在 Science Advances 上。

#其他 #机器人及其进展 #新材料 #软体机器人 #可编程物质


阅读更多:

“Digital Composites with Reprogrammable Phase Architectures.” Science Advances. www.science.org, https://www.science.org/doi/10.1126/sciadv.aed9698. Accessed 5 Feb. 2026


新型AI系统利用大语言模型实时修复3D打印缺陷


3D打印过程中的缺陷频发且难以预测,常需人工“照看”,阻碍了其在关键领域的应用。卡内基梅隆大学的Amir Barati Farimani和Yayati Jadhav等人开发了一套创新的自主控制系统,利用大语言模型实时监控并修复打印错误,将智能制造推向新高度。


图片

 LLM 在持续改进循环中的应用。基于 LLM 的监督代理可以应用于持续改进循环的每个步骤。该循环包括评估打印质量、识别失效模式、收集相关信息,并通过调整打印参数来规划和解决问题,从而确保高质量、无缺陷的零件。Credit: Additive Manufacturing (2025). 


该研究团队设计了一个受交响乐团启发的“多智能体”框架。系统核心是一个监督智能体,如同指挥家,协调其他专用智能体高效协作。打印过程中,摄像头实时捕捉图像,由一个视觉语言模型进行分析以检测瑕疵。一旦发现问题,规划智能体会立刻评估打印机状态并制定纠错方案,最后由执行智能体将方案转化为机器指令发送给打印机,调整温度、流速等参数。整个过程无需任何预训练或人工干预,AI能自主完成从“观察”到“决策”再到“行动”的闭环控制。实验证明,经该系统优化的打印件,其峰值载荷能力提升了5.06倍,且系统识别缺陷的准确性可与人类专家媲美。研究发表在 Additive Manufacturing 上。

#AI驱动科学 #自动化科研 #大模型技术 #3D打印 #智能制造


阅读更多:

Jadhav, Yayati, et al. “LLM-3D Print: Large Language Models to Monitor and Control 3D Printing.” Additive Manufacturing, vol. 114, Sept. 2025, p. 105027. ScienceDirect, https://doi.org/10.1016/j.addma.2025.105027


机器人化身学习伙伴:普渡大学探索个性化人机交互新策略


如何让机器人从冰冷的机器变成富有同理心的伙伴?普渡大学计算机科学家Sooyeon Jeong及其团队正致力于解决这一问题。他们通过一系列人机交互实验发现,无论是作为学习伙伴还是沟通对象,最有效的机器人行为并非一成不变,而是需要根据用户的个性和情境进行动态调整。


研究团队首先探索了机器人在自主学习场景中扮演“学习伙伴”的角色。他们采用“绿野仙踪”(Wizard-of-Oz,即由人远程控制机器人)的方法,测试了机器人的不同支持策略,包括任务导向的目标提醒(“记住!你要在两点前完成复习”)和积极的情感支持(“你做得很好!我们能一起完成!”)。结果显示,不存在普适性的最佳策略,其效果高度依赖于学生的性格、情绪甚至学习科目,有些学生甚至希望机器人能更“严厉”地督促自己。此外,团队还在研究如何让机器人学会“积极倾听”,即通过点头、附和等“反馈通道”来增强沟通的自然度和情感联系。为此,他们正利用大型语言模型分析人类语音数据,以教会机器人更具社交和情感智能的同理心倾听行为。研究发表在 2025 34th IEEE International Conference on Robot and Human Interactive Communication (RO-MAN) 的会议论文集中。

#认知科学 #机器人及其进展 #跨学科整合 #人机交互 #情感计算


阅读更多:

Cho, Hyung Chan, et al. “Motivating Students’ Self-Study with Goal Reminder and Emotional Support.” 2025 34th IEEE International Conference on Robot and Human Interactive Communication (RO-MAN), 2025, pp. 1670–77. IEEE Xplore, https://doi.org/10.1109/RO-MAN63969.2025.11217822


正念通过工作重塑,助力生成式AI在项目管理中的应用


生成式人工智能正重塑项目管理,但如何有效应用仍是挑战。伊迪斯科文大学的Keyao Li(Eden Li)、Laurie Hughes及科廷大学的合作者,通过研究发现,成功整合GenAI的关键不在于技术本身,而在于管理者的心态。研究揭示,正念通过促进工作重塑,显著提升了项目经理利用GenAI进行创新的能力。


该团队通过一项对全球441名项目经理进行的两阶段调查发现,正念是项目经理在AI时代的一项隐藏绩效优势。研究表明,正念水平更高的管理者倾向于更开放、灵活地对待新技术,这种心态促使他们主动进行工作重塑。工作重塑构成了从心态到行动的关键桥梁,它直接提升了管理者使用GenAI的频率和效率,帮助他们将GenAI从一个抽象概念转变为解决实际问题的实用工具。此外,研究还发现,在处理高度复杂的项目时,这种由正念驱动的适应性和探索精神变得尤为重要。这项研究强调,在技术驱动的变革中,人的思维模式与主动适应能力,是比技术本身更核心的成功要素。研究发表在 International Journal of Project Management 上。

#认知科学 #其他 #生成式AI #项目管理 #正念


阅读更多:

Li, Keyao, et al. “Leveraging Generative AI for Project Management: The Role of Mindfulness and Job Crafting.” International Journal of Project Management, vol. 44, no. 2, Mar. 2026, p. 102816. ScienceDirect, https://doi.org/10.1016/j.ijproman.2026.102816


AI能像人类一样理解词语印象吗?


大型语言模型是否像人类一样对词语有直觉和印象?大阪大学的Hiromichi Hagihara和Kazuki Miyazawa等人通过一项对比研究发现,LLM在某些方面展现出与人类相似的词语“感知”,但在另一些维度上,尤其是在处理功能性词语时,暴露出与人类显著的认知差异。


图片

 人类与 LLM 评分对比示例。每个散点图比较了人类和 LLM 对特定心理特征的评分。点越靠近对角线(从左下到右上),表示人类与 LLM 的评分一致性越高。对于具体性,人类与 LLM 的评分总体上表现出高度一致性。相比之下,对于象似性(词语发音与其意义的相似程度),评分模式则存在显著差异。值得注意的是,即使是总体一致性较高的具体性,人类对介词和连词等功能词的评分也存在很大差异,而 LLM 始终赋予这些词较低的具体性值。这凸显了人类和人工智能在“感知”某些类型词语方面存在的系统性差异。Credit: Behavior Research Methods (2026).


研究团队让多个LLM对695个儿童早期习得的单词,从具体性、象似性(iconicity,即词语发音与其意义的相似程度)等21个心理维度进行打分,并与已有的人类评分数据进行比较。结果显示,对于“具体性”、“形象性”这类与物理世界紧密相关的属性,LLM的评分与人类高度一致,这表明模型能从海量文本中捕捉到人类语言里编码的世界知识。然而,在“象似性”这类更依赖直觉感知的维度上,两者分歧巨大。最关键的差异体现在介词、连词等功能词上:人类对这些词的印象评分各不相同,而LLM则系统性地给予低分,显示出其缺乏人类对这类抽象词汇的灵活感知。研究还发现,LLM在预测儿童词汇习得年龄时,会夸大某些特征的重要性。研究发表在 Behavior Research Methods 上。

#大模型技术 #计算模型与人工智能模拟 #认知科学 #语言学 #心理学


阅读更多:

Hagihara, Hiromichi, and Kazuki Miyazawa. “How Well Do Large Language Models Mirror Human Cognition of Word Concepts?: A Comparison of Psychological Ratings for Early-Acquired English Words.” Behavior Research Methods, vol. 58, no. 2, Feb. 2026, p. 58. Springer Link, https://doi.org/10.3758/s13428-025-02938-2


突破强化学习规模瓶颈:无限维系统的新型控制算法


强化学习虽然在游戏和自动驾驶中大放异彩,但在面对拥有数以亿计个体的复杂系统(如人脑神经元或量子自旋)时却往往束手无策。Jr-Shin Li和Wei Zhang(圣路易斯华盛顿大学)领导的研究团队开发出一种数学上严谨且计算高效的新技术。他们成功将极其复杂的无限维强化学习问题转化为可控的领域,为解决大规模系统的控制问题提供了新的通用解决方案。


面对如阿伏伽德罗常数级别(10的23次方)的量子自旋或庞大的神经元集群,传统的对每个个体进行控制的方法既不现实也无法计算。研究团队将这类系统建模为定义在无限维函数空间上的参数化系统,并创新性地开发了“矩核变换”(Moment Kernel Transform)。这种方法将原问题映射到一个形式更简单的再生核希尔伯特空间中。在此基础上,团队设计了一种分层算法来学习最优策略,并在每一层引入“提前停止”(Early Stopping)机制。这种方法不仅保证了算法的谱收敛性(spectral convergence),还极大提高了计算效率,使得在工程和量子科学等领域寻找任意大规模系统的最优解成为可能。研究发表在 Journal of Machine Learning Research 上。

#AI 驱动科学 #意图与决策 #强化学习 #控制理论 #无限维系统


阅读更多:

Zhang, Wei, and Jr-Shin Li. “Reinforcement Learning for Infinite-Dimensional Systems.” arXiv:2409.15737, arXiv, 15 Sept. 2025. arXiv.org, https://doi.org/10.48550/arXiv.2409.15737


利用强化学习模型重建受损大脑神经连接


中风或脊髓损伤常导致神经通路断裂,严重影响患者的运动和认知能力。为了寻找恢复大脑功能连接的新方法,香港科技大学(HKUST)的 Shenghui Wu 和 Yiwen Wang 等研究人员开发了一种基于强化学习的新型计算模型。该模型不依赖受损脑区的数据,而是通过行为反馈建立人工信息通路,成功绕过受损部位重建神经连接,为神经康复提供了具有临床潜力的创新方案。


图片

 基于强化学习的脉冲生成的一般结构和信息流。Credit: Nature Computational Science (2026).


这项研究的核心突破在于解决了传统神经假体技术对完整下游神经数据的依赖问题。在患者神经通路受损时,传统的监督学习方法因缺乏目标信号而失效。研究团队提出了一种基于强化学习的跨区域神经脉冲预测模型,该模型模仿大脑自身的试错学习机制,利用“行为成功”作为反馈信号。模型能够将上游神经元的活动实时转化为下游神经元的预测脉冲。在大鼠实验中,研究人员发现,该模型生成的神经脉冲不仅能通过解码器驱动大鼠完成特定的运动任务,且行为成功率显著优于现有方法。更关键的是,生成的信号具有与健康大脑高度相似的生物仿生特性。此外,该计算框架展现出极强的适应性,只需极少校准即可应用于不同的受试者和解码设置。研究发表在 Nature Computational Science 上。

#疾病与健康 #脑机接口 #强化学习 #神经假体 #中风康复


阅读更多:

Wu, Shenghui, et al. “A Generative Spike Prediction Model Using Behavioral Reinforcement for Re-Establishing Neural Functional Connectivity.” Nature Computational Science, Jan. 2026, pp. 1–14. www.nature.com, https://doi.org/10.1038/s43588-025-00915-5


整理|ChatGPT

编辑|丹雀、存源