孩子长期鼻塞、脓涕,要考虑慢性鼻窦炎吗?

问AI · 儿童慢性鼻窦炎诊断为何不能单看时间?
图片


门诊中,我常遇到忧心忡忡的家长:


“我家孩子这鼻子,好一阵坏一阵,抗生素吃了就好,停了又犯,是不是已经变成慢性鼻窦炎了?”


这种反复,确实让人疲惫又焦虑。


但其实,真正意义上的“儿童慢性鼻窦炎”并不常见,而家长所说的“鼻子总是不好”,有相当一部分不是慢性鼻窦炎。


2个真实的案例


为了方便大家理解,我们先来看 2 个真实案例。




案例 1


3岁的妞妞,9月份刚上幼儿园就病了一次,发烧、鼻塞,退了烧一直有黄鼻涕、痰咳,前后已经2周了还没好。


在医院诊断鼻窦炎,吃了3天阿莫西林克拉维酸钾,黄鼻涕、痰咳明显好转,医生让吃10天再停,可还没停药时又出现鼻塞、发烧、清鼻涕,过了几天黄鼻涕又出现了,又开始咳嗽,去医院又诊断鼻窦炎,又吃上了阿莫西林克拉维酸钾......这之后就不停的“两周病一次、一次病两周”。


妈妈试着给妞妞请假不上幼儿园、在家休息一段时间,鼻涕慢慢干净了,咳嗽也基本上消失了,但刚返园没几天,又开始了新一轮的鼻塞、鼻涕、咳嗽...



案例 2


7岁的邦邦,9月份开学不久也病了一次,高热、脓涕、耳痛,在医院诊断为急性中耳炎和鼻窦炎,吃了3天阿莫西林克拉维酸钾症状有好转,但吃满了10天的药还是有鼻塞、黄鼻涕。


医生建议停药观察、继续洗鼻,孩子也很配合,可坚持洗鼻半个多月,黄鼻涕还是一直有。


复诊时医生跟家长商量再次吃抗生素,这次吃阿莫西林克拉维酸钾3天、症状纹丝不动,又换头孢、克拉霉素......各种抗生素轮番使用,黄鼻涕颜色勉强变淡了一些,但鼻涕量一点都没减少。刚好放假,孩子居家休息了1个月,鼻涕也没什么好转。


两位小朋友都来到了我的诊室,家长提出同样的担心:


“科普都说,鼻塞鼻涕超过3个月就是慢性鼻窦炎,孩子是不是已经发展成了慢性鼻窦炎?”“听说慢性鼻窦炎治不好,是真的吗?”


我仔细复盘了妞妞的情况,肯定地说“孩子不是慢性鼻窦炎,只是反复呼吸道感染,时不时继发急性鼻窦炎发作,长大点就会好的!”


查看了邦邦的病史记录,我也温和地告诉妈妈“他确实要考虑诊断慢性鼻窦炎,但别担心,经过规范治疗,病情也是能控制的!”


怎么知道是不是慢性鼻窦炎?


看完上面的案例,很多人可能就疑惑了,为什么我判断妞妞不是慢性鼻窦炎呢?


在了解这个问题的答案前,我们得知道,诊断慢性鼻窦炎需要抓住的4个关键病史特点:


病史长短


鼻-鼻窦炎(以下简称为鼻窦炎)按照时间可以分为:



急性鼻窦炎:通常由感冒诱发,症状不超过30日,且治疗后可完全缓解。


亚急性鼻窦炎:症状≥30日且<90日,期间完全消退。


复发性急性:6个月内至少出现3次,每次持续时间<30日,且“无症状间隔”≥10日的发作;或者12个月内至少出现4次此类发作。每次发作抗生素治疗迅速起效。


慢性鼻窦炎:症状持续超过90日,且症状一直持续,即使经过抗生素治疗,症状也无法完全消失。


可以看到,90天是个关键的时间节点。如果病史没有达到90天,就够不上诊断慢性鼻窦炎的基本标准。


反复/持续


不管是急性还是慢性鼻窦炎,症状是相似的:鼻后滴漏或流涕(多为脓涕),鼻塞,咳嗽,面痛/头痛是常见的四大症状,前三个症状最为常见。


但急性鼻窦炎的症状往往会有一个明显加重又逐步缓解的表现,比如刚开始少量的清粘鼻涕,之后开始出现大量脓涕,又逐步减缓为少量黄涕,或者在服用抗生素之后迅速改善,之后再次感染又可能加重。


图片
图片


慢性鼻窦炎的症状似乎更倾向于持续而稳定,例如一直持续性的黄涕,没有明显加重或缓解,但就是不彻底好。


图片


图片

诱发因素


急性鼻窦炎往往会有“感冒”的前驱症状,孩子通常都是去了幼儿园或者参加一些人多的聚集活动,首先出现了发热(非每次都发热)、鼻塞、清鼻涕、咽痛、咳嗽等感冒症状,再出现急性鼻窦炎的表现。反复发作常常会有接触感染人群的诱因。


慢性鼻窦炎则更多和非感染因素,比如过敏反应、窦口引流不畅等其他因素有关,即便尽量回避交叉感染因素,症状也持续存在。


治疗反应


急性鼻窦炎与细菌感染有关,使用针对性的抗生素治疗会有明显的症状改善。


慢性鼻窦炎则与非感染性的炎症持续存在有关,使用抗生素治疗对症状改善的效果不明显。


结合这些知识,我们再来回看妞妞和邦邦的情况。


妞妞的病史加起来似乎超过了90天,但过程中症状并不是一成不变的,而是有多轮反复,抗生素治疗有效,远离感染高风险的环境后症状可以慢慢缓解、完全消失。


这种情况更倾向于是上呼吸道感染/急性鼻窦炎反复发作,在刚上幼儿园的孩子中非常常见。小朋友上幼儿园之前并没有频繁接触外界,对常见的病毒几乎没有免疫力。上了幼儿园之后,开始频繁“感冒”,继而诱发鼻窦炎。


拓展阅读:为什么感冒会发展成鼻窦炎


典型特征就是前一次的症状刚刚好,或者还没好时、又叠加了新的感染,有时就可能诱发鼻窦炎。这种情况随着孩子免疫力的提高,通常会逐步改善。


邦邦病程时间超过3个月,且持续的脓涕,两次使用抗生素并无明显改善,且没有明确的病毒感染的诱因,这种情况我们就要高度怀疑慢性鼻窦炎的可能性了。


另外年龄也是我们会非常重视的因素,尤其是上了小学之后的孩子,如果仍会较长时间的鼻塞脓涕症状持续,需要高度怀疑慢性鼻窦炎的可能性


慢性鼻窦炎的病因有哪些呢?


常有家长问:孩子得了慢性鼻窦炎,是家长平时没有把孩子照顾好吗?是以往的急性鼻窦炎没有积极治疗、“拖”出来的吗?这就涉及到慢性鼻窦炎的原因了。


经常看我们科普的家长可能已经知道,急性鼻窦炎的主要危险因素是感染,细菌感染是主因,感冒等病毒感染是“导火索”。生活中尽量把感染的防护做好,急性鼻窦炎的发生风险就可以大大下降。


那么,慢性鼻窦炎的原因是什么?家长能做些什么来降低慢性鼻窦炎的发生风险吗?


很遗憾,慢性鼻窦炎是个比急性鼻窦炎复杂许多的疾病,根本病因尚未完全明确EPOS2020年指南指出了9个可能的病因和诱因,包括:




9 大潜在诱因


1. 鼻腔鼻窦解剖异常

2. 环境因素:如反复病毒感染、暴露于烟雾刺激

3. 过敏性疾病

4. 合并哮喘

5. 腺样体肥大:腺样体可能会成为细菌储存池,导致细菌定植,进一步诱发鼻窦炎症。同时也可能因为堵塞后鼻孔,影响了粘液排出,加重鼻窦炎。

6. 咽喉反流

7. 免疫功能缺陷

8. 囊性纤维化

9. 原发性纤毛不动综合症


可见慢性鼻窦炎是一种多因素影响、发病机制复杂的疾病,并不是“一次感染拖成”的。有的孩子没有这么多风险因素的影响,哪怕反复呼吸道感染、反复急性鼻窦炎,最终也不一定会“变成”慢性鼻窦炎。


家长朋友也不要被这一连串的疾病吓到,并不是说每个诊断慢性鼻窦炎的孩子都存在这些潜在的疾病,也不是说每个有过敏性鼻炎、腺样体肥大等疾病的孩子都一定会得慢性鼻窦炎。


我们可以这样看待:


如果孩子有这些疾病,那么积极规范治疗和护理的话,有希望降低慢性鼻窦炎的风险;而对于已经诊断慢性鼻窦炎的孩子,尝试从这些危险因素去入手改善和调整,对控制慢性鼻窦炎的病情很有帮助。


真正比较棘手的7.8.9这三种情况发病率非常低,不需要过度担心。


怀疑孩子慢性鼻窦炎,做什么检查能确诊?


Step1:采集病史


首先不要上来就做检查,最重要的其实是充分详细采集病史,这是不能跳过的一步。


我们需要了解孩子的情况,包括:孩子的症状细节、发病频率,持续时间,改善和缓解的情况,用药情况。通过这些来分析既往孩子发作鼻窦炎的情况,对抗生素的敏感程度,是否有合并过敏性鼻炎、鼻中隔偏曲等其他疾病。另外,家里是否有人抽烟,孩子上幼儿园(托班)的情况,家里是否有其他人(尤其是其他孩子)有生病的情况,家中环境(比如是否新装修、附近有工地等等),也有重要的提示意义


充分的病史询问,可以帮助我们医生从细碎的病史中抽丝剥茧,发现关键线索,帮助我们鉴别诊断


Step2:核心检查—鼻咽内镜检查


光靠病史是不足以诊断的,我们一定还需要有客观的检查证据支持,其中最重要的就是鼻咽内镜检查,医生用一根带微型摄像头和灯光的纤细“管子”,轻轻伸入孩子的鼻腔,将里面的情况放大几十倍、投射到电脑屏幕上。


拓展阅读:总是鼻塞、鼻不通气?这个检查可别太晚知道


通过这个检查,我们可以完整和清晰的评估孩子鼻腔的状况,了解有没有慢性鼻窦炎的特征性改变,包括:


下鼻甲充血、肿大,鼻腔、中鼻道及嗅裂有脓性分泌物引流,中鼻道可能会见到息肉样增生、鼻咽腺样体肥大等。


有的孩子往往会有较多脓涕,还有的孩子因为长期炎症刺激、鼻粘膜水肿比较严重,而多数儿童的鼻息肉个头比较小,就会被鼻涕和水肿的粘膜挡住、容易漏诊。


因此,我们在做内镜的时候,如果孩子配合,会使用药物尽量充分收缩鼻黏膜,吸净鼻涕,这样才能够帮助我们窥清中鼻道,从而发现鼻息肉。


例如这个孩子,如果我们只是简单看一下,可能只得到左图的情况,医生可能只诊断鼻窦炎;但如果我们充分收缩鼻粘膜、把鼻涕吸净、给鼻腔“开路”,就可以发现非常明显的鼻息肉。


图片

图注:绿色虚线范围内是息肉


Step3:CT、过敏原要查吗?还有其他检查要做吗?


1. 鼻窦CT


有些家长会问,得了鼻窦炎,又无法直接看到鼻窦,需要拍个CT看看吗?


鼻窦CT确实可以清晰显示鼻窦的结构和炎症范围,但它并非是诊断的必选项,尤其是对于急性鼻窦炎,大部分通过典型症状和体征就可以诊断,症状不典型的、辅助内镜检查也可以明确诊断,且通常经验性治疗可以获得非常理想的效果。所以鼻窦CT并不是必要的。




什么情况下我们需要考虑完善鼻窦CT?


  • 高度怀疑慢性鼻窦炎,但内镜检查并无有价值的特征性表现,孩子持续脓涕,药物治疗又效果不佳的情况。


  • 怀疑有并发症,比如出现了眼球肿胀、剧烈头痛等,我们担心可能感染已经侵入了眼眶或者颅内,需要完善鼻窦CT。


  • 慢性鼻窦炎初始治疗期间不需要常规进行CT检查。当常规治疗效果不佳,或者需要评估手术指征时,建议完善CT检查。


对于需要做CT检查的孩子,可以选择低剂量CT,辐射剂量更低,更加安全


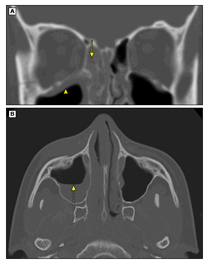
图片


图注:A:显示右侧筛窦内软组织阴影堵塞以及右侧上颌窦顶壁粘膜增厚;B:上颌窦内阴影,有液-平面,提示上颌窦积液。


注意⚠️:


  • 鼻窦CT并不能很好区分急性和慢性鼻窦炎。


因为不管是急性还是慢性鼻窦炎,我们均能够从内镜上观察到鼻窦内阴影,所以一定要密切结合孩子的病史来判断。


  • 影像学诊断“鼻窦炎”≠临床诊断鼻窦炎。


常有因为其他原因完善CT检查,发现鼻窦内粘膜增厚的情况,但孩子可能并无任何鼻窦炎的症状,我们并不诊断鼻窦炎。


拓展阅读:拍片检查意外发现的鼻窦炎,需要治疗吗?


图片


如上图所示,齿科拍摄牙片时发现筛窦粘膜有轻微增厚(箭头所示),但孩子仅在2周前有过“感冒”表现,目前已经自愈。这种情况考虑是急性鼻窦炎恢复期,不一定需要治疗。


2. 药敏检查


取鼻窦分泌物进行细菌培养和药敏测试,可以检测出致病菌,并获得敏感抗生素的治疗方案。但如果单单取鼻腔分泌物,容易受到鼻腔菌群污染(正常情况下每个人鼻腔也会有定植菌存在);上颌窦穿刺虽准确,但因为有创伤,往往难以实施。


图片

上图:鼻窦穿刺(图源见水印)


当我们高度怀疑有耐药菌感染时,通过鼻内镜检查、在内镜引导下取尽量靠近鼻窦口的分泌物是可以考虑的选择(需要一定的配合度),检查结果对药物的选择有一定的指导意义,尤其是当查出非定植菌时。


一定需要注意取样是否准确,不然也容易在取样过程中受到鼻腔定植菌影响而难以得出有参考意义的结果。


3. 过敏原测试


高度怀疑过敏性鼻炎,可以在医生指导下选择合适的方式做过敏原测试,例如血清IgE测试和/或皮肤点刺,结合病史发作特点,来寻找可疑过敏原。


4. 喉镜检查


我们在做鼻内镜的时候,如果采用的是软镜、且孩子配合度良好,可以在看到鼻咽部之后继续深入,就能够观察咽喉的情况,来排查有没有咽喉反流


图片

图注:A:正常喉腔  B:咽喉反流患儿的喉腔


最后,回到文章开篇的两个案例想和大家强调:孩子若长期鼻塞、流鼻涕,切勿直接认定是慢性鼻窦炎,更不要盲目使用抗生素。


慢性鼻窦炎的诊断,需要结合详细病史、内镜检查等结果综合判断,同时还需积极排查背后的诱发因素。如果家长难以自行判断,不妨对照文中的相关要点,仔细整理孩子的病史信息、已有的检查结果,面诊或咨询耳鼻喉医生。


图片

审稿专家 姚琦

卓正耳鼻喉科、过敏反应科医生

华中科技大学同济医学院博士

图片

审稿专家 张文娟 

卓正耳鼻喉科、过敏反应科医生

华中科技大学同济医学院博士

参考文献

[1] https://www.uptodate.cn/contents/chronic-rhinosinusitis-clinical-manifestations-pathophysiology-and-diagnosis

[2] https://www.uptodate.cn/contents/chronic-rhinosinusitis-without-nasal-polyposis-management-and-prognosis

[3] https://www.uptodate.cn/contents/chronic-rhinosinusitis-with-nasal-polyposis-management-and-prognosis

[4] European Position Paper on Rhinosinusitis and Nasal Polyps 2020. 


内容编辑 Luka

免责声明:文章目的是提供一般健康信息,个人医学问题请向医生咨询。文章转载请联系:medicine@distinctclinic.com。