25岁确诊肝癌晚期!这3个误区害惨无数人......

【来源:广西疾控】

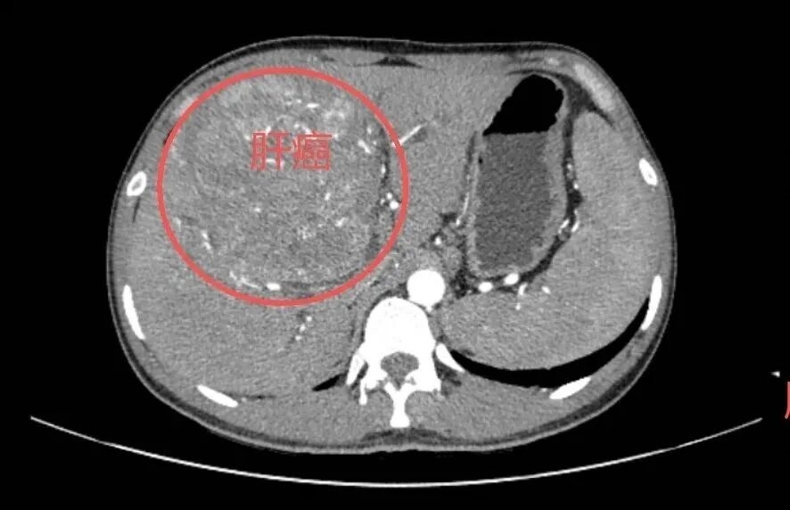
近日,东莞市滨海湾中心医院收治了一名25岁的肝癌晚期患者小王(化名)

图片

图片来源:东莞市滨海湾中心医院

令人惋惜的是小王10年前体检就查出乙肝表面抗原阳性却因年轻不当回事,从未规律复查、咨询专科医生,直至近期乏力、腹胀才就医,却已确诊肝癌晚期。

图片

图片来源:东莞市滨海湾中心医院

没症状≠没病变
只是肝脏在默默“扛着”

小王的情况并非个例。据统计,2024~2025年,东莞市滨海湾中心医院感染科已筛查出8例40岁以下乙肝相关晚期肝癌患者,其中2例未满30岁。这些患者的经历并非偶然,背后藏着大众对乙肝认知的普遍漏洞,最终将“可防可控”的慢性疾病拖成晚期癌症。

乙肝病毒主要通过血液、母婴和性接触传播,该病毒感染更像一种需要终身管理的慢性健康状况,早已没有“健康携带者”的说法,切勿因年轻、无症状就忽视。

这些认知误区必须破除

误区1:乙肝可通过日常接触传染

真相:共餐、握手、拥抱等无血液暴露的日常接触不会传播,感染风险主要来自非正规文身、共用剃须刀或牙刷等血液暴露行为。

图片

图片来源:AI生成

误区2:乙肝携带者无症状就无需管理

真相:无症状不代表无风险,长期病毒感染可能导致肝纤维化肝硬化,部分携带者需遵医嘱治疗,且每6~12个月需定期复查。

误区3:乙肝患者一定会得肝癌

真相:规范抗病毒治疗,可使5年肝癌发生率降低60%以上,早发现、早治疗并坚持定期随访是降低肝癌风险的关键。

科学守护肝脏

1.接种疫苗是重要手段:新生儿应在出生24小时内接种首剂乙肝疫苗,全程3针,接种后保护率达95%以上;成人高危人群(如乙肝患者家属、医务工作者、免疫功能低下者等)若抗体阴性,需及时接种或补种。

图片

图片来源:AI生成

2.坚持定期检测:普通人群每1~2年检查一次乙肝“两对半”;高危人群每6~12个月检测乙肝“两对半”并结合肝功能、肝脏超声评估;乙肝感染者需定期复查HBV-DNA、甲胎蛋白、肝脏弹性检测等。

3.接受规范治疗:慢性乙肝患者需长期遵医嘱进行抗病毒治疗,切勿擅自停药、换药;治疗期间应避免吸烟、饮酒;保持规律作息、清淡饮食。

图片

图片来源:AI生成

4.给予包容理解:对乙肝患者及感染者少一点歧视,多一点包容,避免其因隐瞒病情延误治疗。

肝脏健康无小事,远离认知误区,做好科学防护与定期管理,才能为肝脏筑牢健康防线

        声明:此文版权归原作者所有,若有来源错误或者侵犯您的合法权益,您可通过邮箱与我们取得联系,我们将及时进行处理。邮箱地址:jpbl@jp.jiupainews.com