【前沿&进展】中国农大揭示伪狂犬病毒 TK 蛋白通过干扰 JAK1–STAT1 相互作用拮抗 I 型干扰素应答

问AI · PRV的TK高度保守性背后有何新理论?
伪狂犬病毒(Pseudorabies virus,PRV)隶属于 α-疱疹病毒亚科,是伪狂犬病的病原体,严重危害养猪业安全,并具有潜在的人畜共患风险。PRV 能够有效逃逸宿主 I 型干扰素(IFN-I)介导的抗病毒免疫应答,从而实现持续感染,但其分子机制尚未完全阐明。
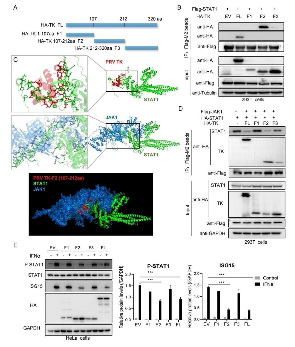
近期,中国农业大学,兽医公共卫生安全全国重点实验室在《Virologica Sinica》发表“Pseudorabies virus TK protein antagonizes alpha interferon response by interfering with the JAK-STAT1 interaction”的文章。本研究发现,胸苷激酶(thymidine kinase,TK)作为 PRV 的关键毒力因子,在抑制 IFN-I 信号通路中发挥了重要作用:外源表达 TK 可显著抑制 IFNα 诱导的干扰素刺激基因(ISGs)的转录和表达;相比之下,TK 缺失的 PRV(PRV-ΔTK)对 IFN-I 更为敏感,IFNα 处理后 ISG 表达水平升高且病毒复制能力明显下降。机制研究表明,TK 可同时与 Janus 激酶 1(JAK1)和信号转导与转录激活因子 1(STAT1)发生相互作用,破坏 JAK1–STAT1 复合物的形成,从而抑制 STAT1 的磷酸化及其下游 ISG 的诱导表达。该免疫抑制功能依赖于 TK 的 107–212 位氨基酸区段,该区域独立于其催化活性位点,是 TK 拮抗 IFN-I 应答所必需的关键结构域。本研究揭示了 TK 通过干扰 JAK1–STAT1 信号轴拮抗 I 型干扰素应答的全新机制,拓展了人们对 TK 在核苷酸代谢和毒力功能之外免疫调控作用的认识,也为解释 TK 在 PRV 不同毒株中的高度保守性提供了新的理论依据。总体而言,本研究加深了对 PRV 致病机制的理解,并为开发靶向 TK 的抗病毒干预策略提供了潜在新靶点。
图片
Fig. 1Pseudorabies virus (PRV) TK attenuates IFNα signaling
图片
Fig. 2.  TK deficiency enhances IFNα-mediated antiviral activity.
图片
Fig. 3. TK suppresses IFNα-induced phosphorylation of STAT1/2. 

图片

Fig. 4.   TK interacts with STAT1 but does not affect ISGF3 complex assembly.


图片

Fig. 5. TK interferes with the JAK1-STAT1 interaction.

图片

Fig. 6.   Amino acids 107–212 of TK are essential for TK-mediated suppression of JAK-STAT pathway

图片

来源 中国病毒学英文版

编辑 老Q