6岁“换”的新牙,8岁就烂了个大洞!小朋友这颗牙家长要重视

最近,深圳妈妈刘女士发现,女儿刚8岁,6岁换的第一颗大牙,已经烂了个大洞。


图片
▲第一恒磨牙(六龄牙)龋坏

医生的回答,让李女士感到意外:这种情况太常见了。


在深圳,每三个12岁以下的孩子,就有一个恒牙已经蛀了;而在所有蛀掉的恒牙里,将近7成都是六龄牙。


很多家长根本不知道,这颗牙有多重要。这颗牙是6岁左右新长出来的恒牙,不是乳牙!它没有“替补”,坏了就不会再长了。



刚萌出的“年轻恒牙

为什么特别容易坏?



先科普一个概念:6-13岁萌出或更换乳牙的牙齿,刚萌出的2-3年,都叫“年轻恒牙”,六龄牙就是最早萌出的恒牙。


六龄牙不仅是咀嚼能力最强的牙齿,更是牙齿中关键的支柱,促进面部骨骼正常发育,堪称是整口牙的“定海神针”:


它一长出来,就决定了上下牙怎么对齐、咬合稳不稳;


它站好位置,后面的牙才不会乱挤、乱歪;


一旦它早早烂掉、拔了,旁边的牙就会“倒”过来,后面的牙会“伸”出来,整个牙弓变短、牙齿东倒西歪,孩子可能将来不得不花更多钱戴牙套。


图片


来看看恒牙萌出的顺序:


  • 6-7岁:第一恒磨牙萌出(“六龄齿”)

  • 7-8岁:中切牙、侧切牙萌出

  • 9-10岁:尖牙萌出

  • 10-12岁:前磨牙、第二恒磨牙萌出

  • 12-13岁:除智齿外,恒牙全部换完


图片
▲恒牙萌出顺序

在刚萌出的2-3年,是年轻恒牙最脆弱的时候。特别是六龄牙,在娃最无力守护的年纪,长出了最重要的牙齿。如果不好好保护,它就有龋坏的危险。


原因1:窝沟太深


在磨牙的咬合面,存在很多深浅不一的窝沟(凹坑和裂隙),凹陷处容易填满食物残渣,又不容易被刷干净。


图片
▲窝沟形态

有的窝沟底部还没闭合,就像一个没盖盖子的垃圾桶。吃东西的时候,食物残渣会掉进去,细菌在里面繁殖、产酸、腐蚀牙齿。


这就是窝沟龋,占年轻恒牙龋齿的80%-90%。


最可怕的是,从外面看牙齿还好好的,实际上里面已经在烂了,很多家长还没注意到。


图片

▲龋齿不断进展

原因2:矿化没完成


年轻恒牙刚萌出时,还是一个“半成品”。


牙虽然长出来了,硬度够了,可以吃东西;但矿化没完成,牙釉质表面釉柱排列相对疏松,晶体间隙较大,抗酸能力弱,所以容易被细菌产的酸腐蚀。


一般来说,年轻恒牙在2-3年内会继续发育:唾液中的钙、磷离子慢慢沉积,牙釉质逐渐变得更加坚硬、致密,牙根不断发育达到应有的长度,3-5年根尖发育完成,根尖孔闭合。


这2-3年是年轻恒牙的黄金保护期,这段时间保护好,让它度过“新手期”,就可以变成一颗成熟的恒牙,来长期使用了。


原因3:刷牙不正确


很多孩子刷牙就是“过一下”,牙刷在嘴里溜一圈,10几秒钟搞定,横着刷,只刷外面,最后面的牙不刷——等于“刷了个寂寞”


更扎心的是家长以为孩子刷干净了,实际上牙面上还有食物残渣,牙龈沟里全是软垢,在牙齿间隙和看不到的牙齿内侧,牙菌斑和牙结石不断生成,细菌还在疯狂繁殖。


不过这事也不能全怪孩子,尤其是低龄(8岁以内)的孩子,手部精细动作还没发育完全,很难独立把牙刷干净,特别是后面的磨牙。


我们建议,8岁以内的孩子最好由家长辅助完成刷牙,12岁之前都要监督孩子刷牙,并定期检查牙齿。


原因4:乳牙龋坏


很多家长觉得,乳牙反正要换的,坏了就坏了呗,换了牙就好了。


其实,不是这样理解的!乳牙烂了,恒牙也会遭殃,就像楼上漏水不管,楼下也可能“淹了”——


乳牙烂到牙根,发炎了,炎症会向下扩散,影响下面的恒牙胚,导致恒牙釉质发育不全。


还有,乳牙烂得厉害拔了之后(这叫“乳牙早失”),这颗乳牙原本给继承恒牙“占的座”,可能被旁边的牙齿“抢了”。


不仅旁边的牙齿长歪了,这颗恒牙要长出来也没位置,只能歪着长,或者干脆长不出来,甚至整副牙齿也可能受影响,造成牙列不齐、牙列拥挤等。


图片
▲乳牙早失,继承恒牙无法正常萌出


儿牙专家提醒:

保护牙齿,做好这4件事!



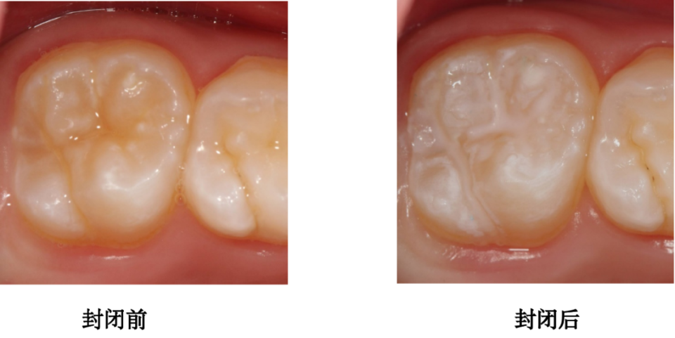
窝沟封闭,给牙齿穿"防护衣"


6-7岁,孩子会长第一恒磨牙(六龄齿),一旦发现完全长出来了,建议立刻带去做窝沟封闭。


窝沟封闭是一种物理的防御手段。简单说,就是把大牙表面的窝沟,用专业的材料,在牙面处理以后,把那些缝隙给它填光滑,让细菌“无处下手”。


图片


窝沟封闭有很强的预防效果,能降低60%-80%的窝沟龋。


图片


窝沟封闭是无痛、无创伤的,做一次可以保护几年,是目前预防窝沟龋最有效的方法。


一般什么时候做?

  • 乳磨牙:大概 3 岁左右

  • 第一恒磨牙:6-7岁萌出后尽快做

  • 第二恒磨牙:11-13岁萌出后尽快做


要注意这几点:

1.牙齿必须完全萌出且未发生龋坏,才能做窝沟封闭

2.若牙齿已有明显龋洞,则不能做窝沟封闭,需另行治疗(补牙或根管治疗)


温馨提示:孩子升入二年级后,深圳学校通常会统一组织通知,安排定点医疗机构入校筛查或通知家长带孩子到指定门诊。


定期涂氟,增强牙釉质


涂氟,就是把一定浓度的氟化物涂在牙齿表面,氟离子与牙釉质结合,形成氟磷灰石(更坚硬、更抗酸),抑制细菌生长。涂氟可以降低30%-50%的龋齿发生率。


怎么做?从3岁开始,每3-6个月1次。


图片


帮助孩子养成正确刷牙习惯


家长可以这样做:

  • 8岁以前:家长每天监督、协助刷牙

  • 8-12岁:家长每天检查刷牙效果

  • 12岁以后:逐渐放手


图片


医生建议:每天至少2次刷牙,晚上睡前刷牙最重要!儿童也可以使用牙线。


每3-6个月,看一次牙医

6岁,是孩子口腔健康的关键节点。


孩子开始换牙,口腔环境发生巨大变化。6-12岁,是年轻恒牙最脆弱的时期,是口腔习惯养成的关键时期,也是龋齿最高发的时期。


还是那句俗话:早发现、早治疗,小洞不补,大洞吃苦!


医生建议:即使没做窝沟封闭、没有涂氟,也要定期带孩子看牙医,做检查,确保将风险消除在萌芽状态,让孩子远离烂牙。


来源 / 南方医科大学深圳口腔医院坪山

排版 / 徐子鋆

审校 / 靳阳懿