感染阴性、激素无效、影像迅速进展:这例间质性肺病漏掉了什么?

发热合并进行性呼吸困难、影像呈弥漫性肺实质受累,往往首先指向感染或急性间质性肺病。然而,当病原学检查反复阴性、常规治疗效果有限,且影像学与临床改善不同步时,单纯从“肺”的角度理解疾病,可能掩盖真正的诊断线索。


本例患者以快速进展的低氧性呼吸衰竭起病,病程中影像、免疫学指标及全身受累表现不断演变,最终揭示其背后为抗合成酶综合征相关间质性肺疾病。该病例不仅体现了ASS-ILD的高度异质性,也提示在不明原因的急性或快速进展型ILD中,应及早引入系统性疾病的诊断视角。



病例介绍


一、患者基本信息



患者,女性,74岁。


【主诉】:发热4天,呼吸困难进行性加重4天。


【现病史】:患者因持续高热并迅速进展的呼吸困难就诊。外院曾给予头孢曲松联合倍他米松治疗2天,但症状无明显改善,遂转入我院。入院时伴轻微咳嗽,无烧心、盗汗、咯血、肌痛、关节痛或体重下降等症状。既往史及家族史无特殊。


二、入院检查



体格检查


体温38.5℃,心率74次/分,血压96/55mmHg,吸氧1L/min条件下血氧饱和度90%。双肺可闻及散在湿啰音。未见技工手、Gottron丘疹或明确肌无力表现,其余体格检查未见明显异常。



实验室检查


  • 白细胞计数6.5×10⁹/L(正常范围3.5–9.5×10⁹/L)

  • C反应蛋白轻度升高至19.7mg/L(正常<6mg/L)

  • 肝肾功能正常

  • 动脉血气(空气吸入):pH 7.44,PaCO₂ 35mmHg,PaO₂ 56mmHg

  • 多项呼吸道病原体PCR检测阴性(包括SARS-CoV-2、甲/乙型流感病毒及呼吸道合胞病毒)


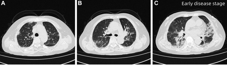
入院时行高分辨率CT(HRCT),显示双肺弥漫性斑片状致密影,边缘模糊,以双下肺为主,局部可见空气支气管征,提示急性弥漫性肺实质受累。


图片

图1 患者入院时HRCT,双肺弥漫性斑片状致密影,边缘模糊,双肺下叶为主要受累区域,局部可见空气支气管征


支气管肺泡灌洗(BALF)细胞分类示巨噬细胞60%,中性粒细胞5%,淋巴细胞35%。BALF宏基因组测序及细菌、真菌、分枝杆菌和病毒培养结果均为阴性。


初始治疗调整及病情变化


经验性抗感染方案调整为莫西沙星(0.4g/d静脉注射)。患者低氧血症迅速进展,给予甲泼尼龙40mg每12小时静脉注射。

住院第2天需鼻导管吸氧5L/min;第4天升级为高流量吸氧(FiO₂ 50%,45L/min),同日下午需无创通气(FiO₂ 60%);第7天低氧进一步恶化,无创通气FiO₂升至100%。


住院第13天,患者病情短暂稳定后,在高流量氧疗(吸氧浓度65%,流量50L/min)支持下安全复查HRCT,显示双肺炎症明显加重,呈广泛磨玻璃影伴部分实变,肺间质受累加重,同时可见双侧胸腔积液及局灶性肺不张,较入院影像明显进展。


图片

图2 患者住院第13天HRCT 图像,显示双肺弥漫性磨玻璃影伴部分实变(红色箭头),以双肺下叶为主,可见局部空气支气管征及双侧胸腔积液(右侧更为明显)



随后行自身免疫检测提示抗Jo-1抗体弱阳性、抗Ro52抗体阳性;抗核抗体、ANCA及免疫球蛋白水平均正常。入院时肌酸激酶轻度升高(240IU/L),住院期间恢复至正常。


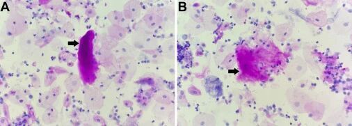
经过超过1个月的治疗后,患者呼吸困难较前改善,但未完全缓解。复查HRCT显示双肺弥漫性斑片状磨玻璃影伴小叶间隔增厚,呈“铺路石样”改变,并见局部空气支气管征。鉴于治疗改善不足,患者在行鼻导管吸氧(3L/min)的同时进一步行支气管镜检查检查,发现BALF呈乳白色,PAS染色阳性,提示肺泡内蛋白样物质沉积。


图片

图3 患者治疗1个多月后HRCT,显示双肺弥漫性斑片状磨玻璃影伴小叶间隔增厚,呈铺路石样改变(黄色箭头)


图片

图4 PAS染色阳性


当患者可在鼻导管吸氧条件下维持血氧饱和度时,逐渐发现四肢肌力下降、颈部肌无力,并出现吞咽困难。为明确肌肉受累原因,行肱二头肌活检,病理显示:肌纤维变性与坏死、肌纤维及小血管周围炎细胞浸润,炎性细胞及坏死肌细胞内酸性磷酸酶活性增强,符合炎性肌病表现。


图片

图5 肱二头肌活检:A. H-E染色,显示炎症细胞浸润(白色箭头)及肌纤维变性坏死(黑色箭头);B 为酸性磷酸酶染色,显示炎症细胞(白色色箭头)及坏死肌细胞内酶活性增强(黑色箭头)(×100)。


三、最终诊断


  • 抗合成酶综合征相关间质性肺疾病(ASS-ILD)

  • 炎症性肌病


四、治疗及随访


确诊ASS-ILD后,给予患者甲泼尼龙冲击治疗(160mg q12h×3天,随后80mg q12h×3天),并联合环磷酰胺0.7g及IVIG 20g/d×3天。后逐渐减量激素,并启用吗替麦考酚酯1g bid维持治疗。当患者出现肌力下降及肌肉萎缩时,行肱二头肌活检明确病因,病理诊断为炎症性肌病,再次给予IVIG 17.5g/d×5天,计划持续3–6个月。


治疗4个月后对患者进行随访,HRCT显示双肺纹理略增粗,弥漫性磨玻璃影较前明显减轻。


图片


病例讨论


特发性炎性肌病(IIM)是一组以近端肌群受累和慢性炎症为特征的异质性疾病,抗合成酶综合征是其重要亚型之一。ASS的临床表现具有高度异质性,可包括肌炎、间质性肺疾病、雷诺现象、技工手、发热、非侵蚀性关节炎、典型皮肤损害以及特征性的抗氨酰-tRNA合成酶抗体。相关抗体包括抗Jo-1、PL-7、PL-12、EJ、KS、OJ、Ha和Zo等。


在ASS患者中,急性低氧性呼吸衰竭并不少见,尤其与抗Jo-1、PL-7和PL-12抗体相关。抗Jo-1抗体是ASS-ILD中最常见的抗体之一,检出率约为15%–20%。部分ASS-ILD患者以ILD为首发或主要表现,仅伴轻微或延迟出现的肌炎症状,这使其在呼吸科就诊时容易被漏诊或误诊。


本病例起病时主要表现为发热和进行性呼吸衰竭,HRCT仅示有限磨玻璃影,合并轻度、短暂的肌酸激酶升高,这一组合增加了早期诊断的不确定性。通过及时检测肌炎特异性及相关自身抗体,明确ASS诊断并尽早启动免疫抑制治疗,最终使患者得以存活。


既往研究表明,抗Ro52是唯一一种常与肌炎特异性抗体共存的自身抗体,其存在往往提示ASS-ILD病情更为严重。尽管如此,快速进展型ILD在ASS中仍相对少见。本例患者在短时间内迅速进展为双肺弥漫性病变并出现危及生命的呼吸衰竭,具有一定罕见性。


在疾病演变过程中出现了一个值得注意的现象:患者呼吸困难逐渐改善,但影像学表现为弥漫性磨玻璃影持续存在,呈现类似肺泡蛋白沉积症的吸收停滞特征。该患者早期影像并无PAP表现,推测其为继发于ASS-ILD的罕见并发症。其机制尚不明确,可能与自身抗体介导的异常免疫反应及肺泡巨噬细胞功能障碍有关。鉴于病情危重,未行全肺灌洗,而是继续强化ASS-ILD的免疫抑制治疗,随后影像学逐渐改善。


尽管曾预期患者可恢复正常活动,但她仍无法自行穿衣或独立行走,且四肢肌力逐渐下降,伴颈肌无力及吞咽困难。该患者呼吸困难与肌肉力量的恢复不同步,促使我们探究其潜在原因:患者肺部病变以非特异性间质性肺炎为主,伴少量机化性肺炎,纤维化程度较低且病变较均匀,因此对糖皮质激素治疗敏感性较高——大剂量糖皮质激素主要通过减少肺间质炎症细胞聚集及炎症介质释放发挥作用;但长期使用糖皮质激素会带来显著并发症,包括类固醇肌病。此外,急性发作期除糖皮质激素控制炎症外,还应联合免疫抑制治疗,因其是重症IIM-ILD患者的一线治疗方案及基石,可改善患者生存。


相反,本例患者肌肉活检提示肌纤维变性坏死,这加剧了肌肉力量恢复的难度。近期研究表明,肌炎患者体内的自身抗体可被活细胞内化,并定位于其对应的靶自身抗原位点,诱导与自身抗原功能破坏一致的生物学效应。抗Jo-1抗体可穿透肌细胞并抑制组氨酰tRNA合成酶功能,导致细胞内氨基酸代谢紊乱;此外,抗Jo-1抗体阳性的ASS患者更易出现坏死性肌病表现。同时,肌肉力量恢复缓慢限制了患者进行有效康复锻炼的能力,机械刺激减少进一步加重肌肉萎缩,这种多因素导致的肌肉损伤使恢复过程复杂化并延长。对于难治性 IIM-ILD,可考虑加用静脉免疫球蛋白辅助治疗。


目前处于研发阶段的新兴疗法包括:靶向1型干扰素的自上而下式免疫调节剂、嵌合抗原受体T细胞治疗及微生物组调控,这些策略未来可能为IIM治疗提供更多选择。


Take home message

部分ASS患者可能仅以ILD为唯一临床表现,易导致漏诊或误诊,早期识别与及时治疗对改善预后至关重要。

ASS-ILD患者中,抗Jo-1与抗Ro52抗体共存时,ILD更严重、更易快速进展,预后更差,需提高临床警惕性。

ASS可能后期出现肌炎,需注意与类固醇肌病、危重症肌病等其他导致无力的病因相鉴别,肌肉活检结果及潜在病理生理特征对预后评估和治疗方案制定具有重要意义。

ASS为全身性疾病,可累及多个器官,强调个体化综合治疗策略的重要性。


参考文献:Wu C, Zhu X, Dai Q, et al. A 74-Year-Old Woman With Dyspnea, Muscle Weakness, and Rapidly Progressive Bilateral Diffuse Pulmonary Infiltrates. Chest. 2026;169(1):e11-e15.