【健康科普】别小瞧!足部这个部位受伤,影响超乎想象


上海市第一人民医院创伤骨科

健康科普

<Lisfranc损伤>

图片

本期看点


     你有没有过这样的经历,跑步时突然脚下一扭,或是下楼梯不小心踩空,当时就感觉足部一阵剧痛,本以为休息几天就好,可疼痛却一直纠缠不清。今天,咱们就来聊聊一种不太为人熟知,却可能悄悄潜伏在这些意外中的足部损伤 ——Lisfranc 损伤。




图片

“Lisfranc” 到底是什么

公济创伤

健康科普


     听起来陌生的 “Lisfranc 损伤”,其实指的就是跖跗关节损伤。跖跗关节,这个位于足中部的小关节,由 3 块楔骨、骰骨和 5 块跖骨组成,虽小却承担着大作用,它是足弓的重要组成部分,负责力量传递和维持足部稳定,就像是一座建筑的关键支柱。


图片

(图片来自于网络)


 从解剖学的三柱理论来看,它分为内侧柱(第 1 跖骨与内侧楔骨)、中间柱(第 2、3 跖骨与中间、外侧楔骨)和外侧柱(第 4、5 跖骨与骰骨) 。中间柱稳定性对步态影响最大,外侧柱活动度较大,创伤后耐受性强,内侧柱活动度则介于两者之间。其中,第 2 跖骨基底部嵌插于三块楔骨凹陷中,是维持关节稳定的主要结构,像是拱门的拱心石,一旦它出问题,整个 “建筑” 就容易不稳。

从韧带方面看,跖间韧带、跖跗关节韧带、lisfranc 韧带、跗骨间韧带等,共同编织起一张稳定的 “保护网”。尤其是 Lisfranc 韧带,它连接着内侧楔骨与第二跖骨,对维持关节稳定至关重要,一旦受损,就可能引发一系列问题 。



图片

受伤背后的 “真凶”

公济创伤

健康科普


     Lisfranc 损伤的 “幕后黑手” 主要有间接损伤和直接损伤两种。

1

Winter holiday

间接损伤

     该类损伤类型多在运动中发生。比如篮球、足球这类需要频繁转向、急停、跳跃的运动,当足部处于跖屈状态又突然受到轴向负荷或扭转外力 ,跖跗关节就像被拧麻花一样,超出其承受范围,跖跗关节周围的韧带就容易撕裂,关节也可能发生移位,像篮球运动员急停跳投落地时姿势不当,或是足球运动员快速变向时,都可能引发这种损伤 。


图片

(图片来自于网络)


2

Winter holiday

直接损伤

     此类情况多由强大的外力直接作用于足部导致,比如重物砸伤,从高处坠落时足部直接着地,或者车祸中足部受到撞击等,这些情况可能会造成更严重的骨折和脱位,软组织也会受到重创,就像被重物砸到的脚,不仅关节脱位,周围的肌肉、皮肤等也会受伤。


图片

(图片来自于网络)


图片

这些症状,你中招了吗?

公济创伤

健康科普


     如果不幸遭遇了 Lisfranc 损伤,身体会发出一系列 “警报” 。

最明显的就是中足疼痛这种疼痛通常比较剧烈,受伤部位感觉像是被重锤敲打过,哪怕轻轻触碰都会疼得让人倒吸凉气,比如按压足背或足底时,疼痛会加剧,就像踩在刀尖上一样。

紧接着,足部会出现肿胀,受伤区域迅速肿起来,就像吹气球一样,皮肤被撑得紧紧的,甚至发亮,严重影响足部的正常外观,比如早上起床时,发现受伤的脚比另一只脚明显粗了一圈 。

足底还可能出现瘀斑,呈现出青紫色或紫红色,像是被重重打了一拳留下的痕迹,这是因为受伤导致皮下出血,血液渗透到周围组织形成的,过几天瘀斑颜色可能会逐渐变深,范围也可能扩大。

足背还会出现畸形,正常的足背弧度发生改变,可能会有明显的凸起或凹陷,看起来和健康的脚完全不同,严重时甚至能看到骨头位置异常,就像积木搭歪了一样 。

而最让人烦恼的,是行走困难,每走一步都像是踩在荆棘上,疼痛难忍,不得不一瘸一拐,严重影响日常活动,原本轻松的步行变成了艰难的挑战,上下楼梯更是痛苦不堪。


图片

(图片来自于网络)


图片

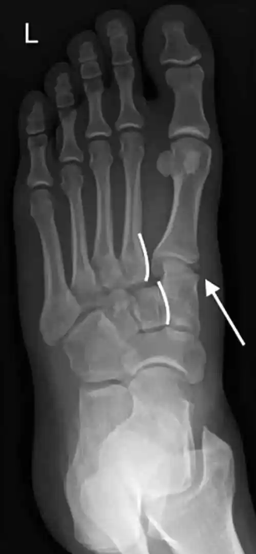
精准 “揪出” 损伤

公济创伤

健康科普

1

Winter holiday

体格检查

     仔细查看足底,若有瘀斑,这可能是损伤的重要线索,就像地图上的标记,提示着问题所在 。还需检查拇趾与第二趾间隙是否增宽,正常情况下,这个间隙比较均匀,一旦增宽,说明跖跗关节可能出了问题,就像拉链拉歪了一样 。进行应力实验时,若患者感到疼痛并伴有不稳定感,或者琴键实验呈阳性,即按压跖骨头时出现异常活动,那就离确诊更近一步了 。(以上检查均需专业的医务人员进行)


2

Winter holiday

影像学检查

     X 线是常用的初步检查手段,通过正位、斜位、侧位和应力位等不同角度拍摄 ,能观察各跖骨与楔骨的对齐情况。正位片上,要留意是否有 “斑点征”,这可能是撕脱骨折的表现,就像夜空中的异常亮点;斜位和侧位片能帮助评估关节对位及跖骨背侧移位情况,从不同视角揭示损伤秘密 。

    CT 则更胜一筹,它能像 “切片机” 一样,对足部进行逐层扫描,更准确地显示骨折和脱位类型,即使是细微的骨折线也无处遁形,对于复杂的损伤,CT 的诊断优势就凸显出来了 。

    MRI 对于低能量损伤的诊断至关重要,它可以观察韧带是否断裂、有无水肿等软组织损伤情况,就像给足部做了一次 “深度体检”,把那些隐藏在内部的问题都找出来 。


图片

(图片来自于网络)


图片

开启修复之旅

公济创伤

健康科普

1

Winter holiday

保守治疗


     并非所有的 Lisfranc 损伤都需要 “动刀”,保守治疗也能发挥作用 。保守治疗主要适用于儿童、存在手术禁忌症的患者,以及移位小于 2mm 且无关节不稳的情况 。就像一个小小的零件只是稍微有点错位,还没影响到整体运转,就可以尝试温和的 “微调”。

     这种治疗方式主要采用石膏固定,一般需要固定 4 - 6 周 。固定时,医生会先手法复位,让关节回到大致正常的位置,然后用石膏把足部固定起来,就像给受伤的关节穿上了一件坚硬的 “防护服”,防止它再次移位 。

     在石膏固定期间,患者要避免负重,把受伤的脚抬高,促进血液回流,减轻肿胀 。同时,还得定期复查 X 线,看看关节有没有乖乖待在复位后的位置,就像检查建筑有没有在建造过程中歪掉一样 。


图片

(图片来自于网络)


2

Winter holiday

手术治疗


如果损伤比较严重,比如出现明显的骨折脱位或复合体损伤,手术就成为了更合适的选择 。手术的目的是实现精确的解剖复位和有效的稳定固定,让足部重新恢复往日的 “稳定” 。

     手术方式有多种,闭合复位内固定适用于轻微损伤,操作相对简便,就像从外部轻轻调整,然后用小钉子(克氏针)或螺钉把骨头固定住 。但它的固定力量相对较弱,就像用小夹子固定东西,不太牢固 。

     切开复位内固定则是标准的双切口或三切口手术,需要直接打开受伤部位,把骨头和关节准确复位,然后用克氏针、螺钉、钢板等固定材料进行固定 。这种方式固定更牢固,但手术创伤也相对较大 。在选择固定材料时,会根据软组织条件和骨折类型来决定,比如内侧柱一般用螺钉固定,外侧柱因为活动性较大,常用克氏针固定 。

     还有关节融合术,它适用于纯韧带型或单纯脱位的情况 。手术会把损伤的关节融合在一起,让它们变成一个整体,从而恢复足部的稳定性 。临床研究表明,关节融合术的效果优于切开复位,AOFAS 评分更高 ,不过对于严重骨折脱位,目前还是推荐切开复位内固定 。


图片



图片

 写在最后 

公济创伤

健康科普

   Lisfranc 损伤,这个看似不起眼却可能带来大麻烦的足部问题,无论是运动爱好者还是普通人群,都有可能与之 “邂逅”。希望大家都能重视足部健康,运动时做好防护,生活中保护好双脚。要是不幸出现了足部疼痛、肿胀等可疑症状,千万别不当回事,一定要及时去医院检查,让专业医生来帮忙诊断和治疗,争取早日恢复健康,重新自在行走!


     如有问题,上海市第一人民医院创伤骨科门诊随时欢迎您!~


创伤骨科门诊时间:

图片


本文供稿:池宸申

图片来源声明:所用图片均来源于网络及临床资料

本文排版:池宸申

内容审阅:张弛


图片