PFS 超 35 个月!奥希替尼联合化疗一线治疗 EGFR L858R 合并 TP53 共突变晚期肺癌病例分享

表皮生长因子受体(EGFR)突变非小细胞肺癌NSCLC)具有高度异质性,EGFR 突变类型、共突变状态、肿瘤负荷等均可能影响其靶向治疗效果。FLAURA2 研究最终总生存期(OS)数据显示,一线奥希替尼联合化疗可显著延长 EGFR 突变晚期 NSCLC 患者的中位 OS 至 47.5 个月,并且在伴有 L858R 突变TP53 共突变、脑转移等不良预后因素的亚组中显示出一致的 OS 获益趋势,为此类高危人群带来了新的治疗希望[1,2]

 

本文分享一例携带临床治疗棘手的 L858R 突变伴 TP53 突变晚期右肺腺癌患者,其接受奥希替尼联合化疗一线治疗 2 周期疗效评估即达到部分缓解(PR)至最后一次随访时无进展生存期(PFS)已达 35 个月。该病例由山东第一医科大学第一附属医院高敏教授提供,并邀请山东第一医科大学第一附属医院鲁德玕教授进行点评。

 

病例介绍


>>>基本信息


男性,43 岁


>>>主诉


咳嗽 月余


>>>> 现病史


患者 月前受凉后出现咳嗽,咳嗽为持续性,劳累后加重,休息可缓解,无夜间憋醒,无咳痰,无痰中带血、咯血、呼吸困难等不适,在家自服「头孢类、罗红霉素、阿奇霉素」等药物治疗,效果差,咳嗽症状逐渐加重。于 2022 年 10 13 就诊于当地医院,行胸部增强 CT:1.考虑右肺下叶恶性肿瘤伴多发淋巴结转移;双肺多发小结节,部分结节可疑为转移灶;2.右侧胸腔积液。给予抗感染治疗(具体不详),未见明显好转现为行进一步诊治,遂来院就诊,门诊以「右肺占位病变」收住呼吸与危重症医学科。


>>>既往史 & 个人史 & 家族史


既往体健;否认吸烟饮酒史,无理化因素接触史;否认肿瘤家族史


>>>体格检查


东部肿瘤协作组(ECOG)体力状况(PS)评分为 0 分。


>>>辅助检查


  • 肿瘤标志物:癌胚抗原(CEA) 15.29 ng/mL,神经元特异性烯醇化酶(NSE) 25.45 ng/mL,细胞角蛋白 19 片段(CYFRA21-1) 4.76 ng/mL。


  • 胸部 CT(2022 年 10 月 22 日):右肺占位并多发结节,右侧胸腔积液,纵膈淋巴结肿大。


  • 腹部及盆腔 CT:胆囊炎,前列腺增生伴钙化。


  • 颅脑 MRI:脑内多发脱髓鞘改变可能,颅脑 DWI 未见明显异常信号,副鼻窦炎。


  • 骨扫描:全身骨显像未见明显骨转移征象;腰 1-4 椎体、双侧第1前肋、双侧肩关节部位骨质代谢增高,考虑良性病变可能性大。


  • 心脏超声:心包积液(少量),卵圆孔未闭或房间隔小缺损。


  • 淋巴结超声:双侧腹股沟区淋巴结显示。


  • 病理检查:2022 年 10 月 24 日行经皮肺穿刺活检,病理诊断为右肺腺癌(实性、腺泡)。免疫组化检测示:TTF-1(-)、CK7(+)、Napsin A(+)、p63(-)、P40(个别 +)。


  • 基因检测:2022 年 10 月 28 日肺穿刺组织行驱动基因检测示 EGFR L858R 突变、TP53 突变,PD-LI 检测阴性。


>>>临床诊断


1.肺恶性肿瘤(右肺腺癌 cT4N2M1a IVA 期)EGFR L858R 突变、TP53 突变;2.肺炎3.胸腔积液


>>>治疗经过


患者完善相关辅助检查,明确诊断,并排除化疗禁忌症后,于 2022 年 10 月 29 日开始接受培美曲塞二钠 0.8 g d1 + 顺铂 40 mg d2-4」方案化疗联合奥希替尼 80mg qd周期后调整治疗方案为奥希替尼联合培美曲塞二钠 0.8每月一次治疗。


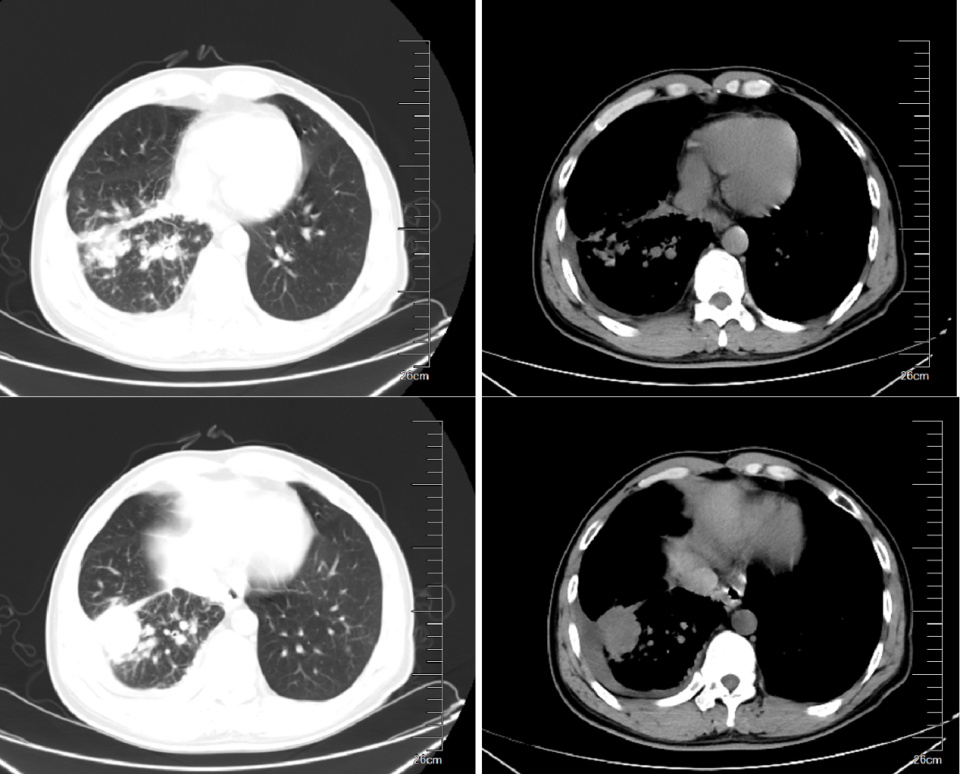
  • 2022 年 12 月 19 治疗 周期)胸部 CT 示:双肺纹理增多,右肺下叶见大小约 2.3cm × 1.8cm 不规则形结节灶,边缘毛糙,可见毛刺,内似见空洞,邻近胸膜牵拉,双肺另见片絮状、条索状密度增高影,所见段及段以上支气管开口通畅,纵隔内及双侧肺门未见肿大淋巴结,双侧胸腔未见异常。疗效评估为 PR。


  • 2023 年 月 22 治疗 周期)、202312 月 12治疗13 个月)、2024 年 6 月 18 日治疗 19 个月)、2024 年 12 月 22 日治疗 25 个月)、2025 年 10 月 17 日治疗 35 个月),历次复查胸部 CT 示右肺下叶不规则形结节灶大小分别为 2.2 cm × 1.3 cm、1.9 cm × 1.0 cm、2.0 cm × 1.1 cm、2.0 cm × 1.1 cm,疗效评估为维持 PR。


图片

图 1. 2022 年 10 月 22 日患者治疗前胸部 CT 检查结果


图片

图 2. 奥希替尼 + 化疗治疗期间胸部 CT 检查结果


患者 CEA 水平恢复正常,并在治疗期间保持稳定。


图片

图 3. 奥希替尼 + 化疗治疗期间 CEA 水平变化


患者化疗后轻度恶心,给予昂丹司琼、阿瑞匹坦止吐治疗;无明显主诉不适,未发现骨髓抑制、肝功能损伤等不良反应。



病例点评


图片

鲁德玕教授

奥希替尼联合化疗破局疗效困境,为 EGFRL858R 突变伴 TP53 突变患者带来更长生存希望



L858R 突变是 EGFR 经典突变之一,约占所有 EGFR 突变的 40% ~ 45%[3]。与 19del 突变相比,携带 L858R 突变的 NSCLC 表现出独特的分子生物学特性,包括更强肿瘤侵袭性、更高的突变发生率以及 EGFR-TKI 药物相对较低的敏感性。多项 III 期临床研究结果显示,L858R 突变患者接受 EGFR-TKI 单药治疗的疗效差于 19del 突变患者[4-7]TP53 共突变则是 EGFR 突变 NSCLC 的另一个不良预后因素,并且有研究发现,L858R 突变患者如果同时存在 TP53 突变,则与更差的 PFS 相关[8]因此,目前针对 EGFR 突变患者的临床需求尚未得到充分满足,亟需探索更为有效的治疗策略。


FLAURA2 研究是首个探索第三代 EGFR-TKI 联合化疗对比奥希替尼单药一线治疗 EGFR 突变晚期 NSCLC 的全球多中心、开放标签、随机 III 期临床试验。结果显示,奥希替尼联合化疗组盲态独立评审委员会(BICR)评估的中位 PFS 达 29.4 个月,相比奥希替尼单药组显著延长约 9 个月,降低疾病进展或死亡风险 38%(HR = 0.62);在中国人群中,奥希替尼联合化疗组 BICR 评估的中位 PFS 更是达到 33.2 个月,较奥希替尼单药组延长 11.2 个月(HR = 0.58)[9,10]而且,各预设亚组均表现出一致获益,其中预后较差的 L858R 突变患者,联合组中位 PFS 达到 24.7 个月,较单药组延长约 11 个月(HR = 0.63)[9]


奥希替尼联合化疗带来的显著 PFS 获益为其长期生存获益奠定了基础,并在 2025 年世界肺癌大会(WCLC)公布的 FLAURA2 研究最终 OS 分析中得到确认。数据显示,联合组较单药组显著延长中位 OS 至 47.5 个月,刷新了该领域的生存纪录[1]。联合组 3 年 OS 率(63% vs 51%)和 4 年 OS 率(49% vs 41%)亦均更高[1]2025 年欧洲肿瘤内科学会(ESMO)年会进一步公布了不良预后亚组的 OS 分析:无论基线是否合并脑转移、骨转移、肝转移、L858R 突变、TP53 共突变、循环肿瘤 DNA(ctDNA)阳性等不良预后因素,奥希替尼联合化疗相比奥希替尼单药均展现出一致的 OS 获益趋势。在 L858R 突变亚组中,联合组与单药组的中位 OS 分别为 38.1 个月和 32.4 个月(HR = 0.76),3 年 OS 率分别为 54% 和 42%;在 TP53 共突变亚组中,两组中位 OS 分别为 51.1 个月和 43.1 个月(HR = 0.71),3 年 OS 率分别为 65% 和 58%[2]这些数据进一步巩固了奥希替尼联合化疗一线标准治疗的地位。


针对抑癌基因共突变人群的 ACROSS 2 研究亦探索了靶向联合化疗的策略[11]。该研究纳入 EGFR 敏感突变并伴有抑癌基因(包括 TP53、RB1、APC、PTEN 等)突变的晚期 NSCLC 患者,结果显示,阿美替尼联合化疗相比单药可显著延长研究者评估的中位 PFS(19.8 个月 vs 16.5 个月)。在 TP53 突变患者中,联合组也显示出 PFS 获益趋势18.7 个月 vs 16.3 个月)然而需要指出,该分析并非预设亚组分析,本质上属于探索性分析证据等级有限,无法得出确证性结论。因此,ACROSS 2 研究虽提示了靶化联合治疗在共突变人群中的潜力,但其对 TP53 共突变患者的确切疗效仍需更高级别证据支持。

 

TOP 研究是一项专门针对 EGFR 合并 TP53 共突变晚期肺癌患者设计的 III 期、多中心、随机对照试验,旨在头对头比较奥希替尼联合化疗与奥希替尼单药一线治疗的疗效和安全性。该研究以前瞻性设计直接聚焦于此特定高危人群,目前正在进行中,其结果有望为这一细分领域提供高级别的循证医学证据


晚期肺腺癌基因检测明确提示 L858R 突变伴 TP53 突变此类患者往往预后不佳,属于临床「难治」类型。故在排除化疗禁忌症后,给予其奥希替尼联合化疗一线治疗两周期疗效评估即达到 PR,至末次随访时患者 PFS 已达 35 个月,目前仍在接受奥希替尼联合培美曲塞维持治疗,有望获得更长的生存时间。治疗期间患者仅出现化疗后轻度恶心,给予抑酸、止吐对症治疗后,未报告其他明显不适,整体耐受性良好。该病例进一步佐证了该联合方案在真实世界临床实践中的有效性与耐受性。因此,对于 EGFR 突变晚期 NSCLC 患者,尤其是存在 L858R 突变、TP53 共突变或其他高风险因素者,一线治疗应考虑优选奥希替尼联合化疗,从而为患者带来更长生存的希望。



专家简介

图片

鲁德玕 教授

  • 医学博士,教授,主任医师,硕士研究生导师

  • 山东第一医科大学第一附属医院

  • 呼吸与危重症医学科副主任(主持工作)

  • 美国田纳西大学高级访问学者

  • 澳大利亚 Kinghorn 癌症中心访问学者

  • 澳大利亚Woolcock呼吸疾病研究所访问学者

  • 山东省公共卫生学会呼吸肿瘤分会主任委员

  • 山东省医师协会呼吸医师分会副主任委员

  • 山东省医药教育协会肺癌专业委员会副主任委员

  • 山东省医师协会疑难罕见病分会副主任委员

  • 山东省预防医学会呼吸病防治分会副主任委员

  • 山东省老年医学学会呼吸介入分会副主任委员

  • 山东生物医学工程学会肺癌专委会副主任委员

  • 山东省首届优秀医师

  • Journal of Thoracic Disease》审稿专家

  • 以第一或通讯作者发表论文 50 余篇,其中 SCI 21 篇。获厅级科技进步奖一、二、三等奖各一项。获国家发明专利 3 项。




 

专家简介

图片

高敏 教授

  • 山东省第一医科大学第一附属医院呼吸与危重症医学科副主任医师

  • 山东省医师协会中医肺系病医师分会常务委员

  • 山东省公共卫生学会呼吸肿瘤分会秘书

  • 山东预防医学会呼吸病防治分会委员

  • 山东中医药学会肺系病专业委员会常务委员

  • 山东省医学会呼吸病学分会肺癌学组委员

  • 山东省健康管理协会肺血管病学专业委员会委员

  • 山东预防医学会艾滋病预防控制分会青年委员会委员




 

内容策划:nyh

目审核:杨静、秋树叶


参考文献

[1]Planchard D, et al. First-line Osimertinib + Chemotherapy Versus Osimertinib Monotherapy in EGFRm Advanced NSCLC: FLAURA2 Final Overall Survival. 2025 WCLC. PL02.06.

[2]Pasi A. Jänne, et al. FLAURA2: exploratory overall survival (OS) analysis in patients (pts) with poorer prognostic factors treated with osimertinib (osi) ± platinum-pemetrexed chemotherapy (CTx) as first-line (1L) treatment (tx) for EGFR-mutated (EGFRm) advanced NSCLC. 2025 ESMO. LBA77.

[3]Leelatian N, Boonchoo P, Wijitburaphat S, et al. Highly sensitive EGFR mutation detection by specific amplification of mutant alleles. Exp Mol Pathol. 2014 Feb;96(1):85-91. 

[4]Fukuoka M, Wu YL, Thongprasert S, et al. Biomarker analyses and final overall survival results from a phase III, randomized, open-label, first-line study of gefitinib versus carboplatin/paclitaxel in clinically selected patients with advanced non-small-cell lung cancer in Asia (IPASS). J Clin Oncol. 2011 Jul 20;29(21):2866-74.

[5]Wu YL, Zhou C, Liam CK, et al. First-line erlotinib versus gemcitabine/cisplatin in patients with advanced EGFR mutation-positive non-small-cell lung cancer: analyses from the phase III, randomized, open-label, ENSURE study. Ann Oncol. 2015 Sep;26(9):1883-1889.

[6]Shi Y, Wang L, Han B, et al. First-line icotinib versus cisplatine/pemetrexed plus pemetrexed maintenance therapy in lung adenocarcinoma patients with sensitizing EGFR mutation (CONVINCE). JCO. 2016;34(15_suppl):9041-9041.

[7]Park K, Tan EH, OByrne K, et al. Afatinib versus gefitinib as first-line treatment of patients with EGFR mutation-positive non-small-cell lung cancer (LUX-Lung 7): a phase 2B, open-label, randomised controlled trial. The Lancet Oncology. 2016;17(5):577-589.

[8]Wei L, Lao Y, Fu T, et al. Distinct Role of TP53 Co-mutations in Different EGFR Subtypes Mediating the Response to EGFR Tyrosine Kinase Inhibitors in Non-Small Cell Lung Cancer. Clin Lung Cancer. 2025;26(6):478-491.e7. 

[9]Planchard D, Jänne PA, Cheng Y, et al. Osimertinib with or without Chemotherapy in EGFR-Mutated Advanced NSCLC. N Engl J Med. 2023 Nov 23;389(21):1935-1948.

[10]Yan Yu, et al. First-line osimertinib ± platinum-pemetrexed in patients with EGFRm advanced NSCLC: FLAURA2 China cohort. ESMO Asia 2023, 562P. 

[11]Wang J, et al. Aumolertinib plus Chemotherapy for NSCLC with EGFR and Concomitant Tumor Suppressor Genes (ACROSS 2): Phase III study. 2025WCLC. PL02.09.