接连收治ICU,半个肺都“白”了!这种“伪装流感”好危险!

【来源:东莞疾控】

案例警示:

发热咳嗽肺白,竟是......

最近

佛山市妇幼保健院重症医学科(ICU)

接连收治两名半个肺“全白”的重症患者

案例1:

一位孕晚期女性,因“发热4天、咳嗽1天”由外院转入该院ICU。初期在外院按流感进行了抗病毒治疗,但效果欠佳。转入ICU时已出现血压低、心率快、呼吸急促等休克表现。完善CT检查发现半个肺“全白了”,后经检测确诊为“鹦鹉热”,经针对性治疗后,这位孕妈已好转出院。

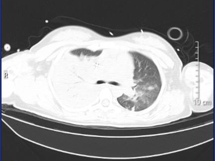
图片

治疗前

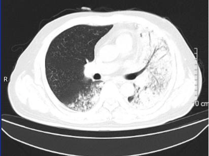
图片

治疗后

案例2:

58岁阿伯出现咳嗽、咽痛、鼻塞、流涕、头痛,伴有肌肉酸痛,这些症状让阿伯误以为是流感,自行服药后感觉症状加重,甚至出现了呼吸困难。

入院后肺部CT检查结果竟与前几天那名孕妈的如出一辙,同样也是半个肺“全白了”。这让ICU医生警惕起来,迅速考虑到“鹦鹉热”可能,很快便明确了罪魁祸首——“鹦鹉热衣原体”。经过针对性治疗,阿伯的肺部情况明显好转,但由于出现了肝、肾、心等多器官功能损伤,阿伯仍需在ICU接受治疗。

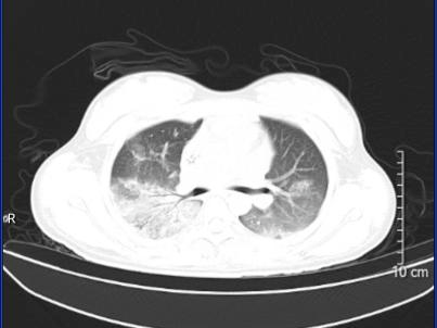
图片

治疗前

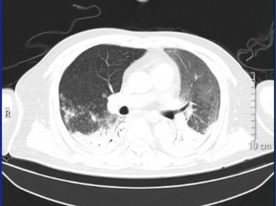
图片

治疗后

纠偏!

鹦鹉热不是鹦鹉专属

这些常见的鸟类也可传播

鹦鹉热,专业名称为“鹦鹉热衣原体病”,又称鸟热、鸟疫,是由鹦鹉热衣原体引起的一种人畜共患病

关键认知纠正:

该病最初发现跟饲养鹦鹉有关,故名“鹦鹉热”。

但!不是只有鹦鹉:尽管名称如此,实际上,咱们平时接触的鸡、鸭、鸽子、鹌鹑,还有宠物市场里的各种观赏鸟等超过130种鸟类,甚至部分哺乳动物,都可能是这种病原体的“携带者”。

图片

非病毒性疾病:它由衣原体引起,因此抗生素治疗有效,这与病毒性流感完全不同。

留意!这些场景最容易中招

别大意

目前医学界认为,鹦鹉热无人际传播,不会引起社会性流行,这是它与流感的根本区别之一。

人类经呼吸道吸入或密切接触可发生人畜传染。传播常发生在以下场景:

▸吸入空气里的“隐形杀手”:病禽的粪便、羽毛碎屑干燥后会变成细小的粉尘,鹦鹉热衣原体就藏在这些粉尘里。只要一呼吸,它们就可能顺着空气进入我们的呼吸道。

像花鸟市场、活禽菜市场、禽类养殖场,还有家里鸟笼长时间不清理的角落,都可能飘着这种“危险粉尘”。

▸直接接触传播:如果被携带鹦鹉热衣原体的鸟类禽类啄伤,或者手上有伤口、黏膜(比如眼睛、口腔)碰到它们的分泌物、排泄物,衣原体也会趁机“钻”进身体里。

图片

“伪装”!

症状与流感相似

别硬扛

鹦鹉热被称为“伟大的模仿者”,过去因为其早期症状与流感、甚至新冠病毒感染高度重叠,容易导致该病误诊。

1.发热:常为39~40℃的高热,持续不退。

2.头痛:剧烈,难以缓解。

3.肌肉酸痛:全身性,类似重感冒。

4.呼吸道症状:干咳、胸闷,后期可出现肺炎

5.非典型表现:部分患者可能出现皮疹、脾脏肿大或“相对缓脉”(即体温很高,但脉搏增长不明显)。

图片

随着现在检测技术进步,才让更多病例“浮出水面”,但并不是说它突然变多了,而是我们能更准确的认出它。

重视!

鹦鹉热可以引起这些重症

多数患者经及时治疗可痊愈,但若不重视,可能导致:

1.重症肺炎:炎症迅速进展,出现严重呼吸困难、低氧血症

2.多系统受累:可能侵犯心脏、肝脏、肾脏、中枢神经系统等。

3.慢性疲劳:部分患者康复后长期感觉疲乏。

4.严重者因重症肺炎、呼吸衰竭、多脏器损伤而导致死亡。

预防!

记住这4招,轻松远离鹦鹉热

鹦鹉热通过鸟类及其分泌物传播,预防的关键在于科学接触。不管是养鸟爱好者,还是普通市民,有效的防护就是做好这几点:

▸接触后及时洗手:接触禽鸟或可能沾染其分泌排泄物后,一定要及时用肥皂和流动水彻底洗手,最好用酒精消毒。如果手上有伤口,先戴手套再接触。

▸养鸟护理有讲究:鸟笼要放在通风处,每周至少消毒1次。清洁鸟笼时必须佩戴口罩和手套,用湿抹布擦或者喷点水再清理,避免直接扫扬尘。避免与宠物鸟过度亲密,不收养来历不明、未经检疫的鸟禽。

▸做好防护彻底煮熟:去花鸟市场、活禽市场时戴口罩,别长时间停留。烹饪的肉类蛋类需彻底煮熟。

▸及时就医主动告知:一旦出现高热、咳嗽等症状,及时就医时,务必主动告知医生近期是否有鸟类接触史,帮医生快速判断,避免误诊。

寒假春节临近

和家人朋友逛花鸟市场

或到活禽市场采购美味食材的时候

记得做好戴口罩等防护

多一分警惕,多一份细心

为自己和家人筑起一道坚实的健康屏障

        声明:此文版权归原作者所有,若有来源错误或者侵犯您的合法权益,您可通过邮箱与我们取得联系,我们将及时进行处理。邮箱地址:jpbl@jp.jiupainews.com