脑静脉窦以及静脉血栓的影像学诊断

脑静脉及静脉窦血栓(CVT)是由多种原因引发颅内静脉及静脉窦血栓,致静脉回流受阻、脑脊液吸收障碍并继发高颅压,属特殊脑血管疾病。该病可发于任何年龄,尤好发于年轻患者及儿童,20 - 30岁为发病高峰,女性患者是男性的3倍。近年来,影像学技术发展使对该病的认识和诊断水平提高,在CVT的诊断、预后和疗效监测中作用重大。本文主要阐述脑静脉窦以及静脉血栓的影像学诊断相关内容。


常见影像学检查方法


计算机断层扫描术(CT)

CT是神经系统常用检查手段,在静脉窦血栓诊断中作用重要。高分辨率多层螺旋CT广泛应用提高了脑静脉及静脉窦血栓早期诊断率。



磁共振成像(MRI)

MRI与MRV结合是目前诊断CVT的最佳方法,可直接无创显示脑静脉和静脉窦血栓、血管闭塞改变及继发脑实质损害,较CT更敏感准确。但MR检查诊断CVT存在局限性和缺陷,需将静脉窦内异常信号和MRV静脉内无血流显示征象结合,同时增强扫描及特殊序列应用对准确诊断必要。



数字减影血管造影术(DSA)

DSA目前较少用于CVT诊断,主要在对CVT诊断有疑问时使用,如罕见孤立性皮质静脉血栓形成等情况。其在显示脑静脉细节方面有优势,如侧支静脉通路开放、静脉迁曲扩张等间接征象有助于诊断孤立性单支静脉血栓。血管造影时CVT典型表现为血栓形成的静脉或静脉窦部分或无显影,排空延迟,侧支扩张,在扩张和扭曲的螺旋状侧支静脉周围皮质静脉突然中断等征象。


影像学技术选择原则

对疑似脑静脉窦及静脉血栓形成患者,CT/CTV和MRI/MRV可作为首选检查方法,MRI/MRV可诊断大多数脑静脉窦及静脉血栓,也可作为随访的最佳无创手段;CE-MRV比TOF-MRV诊断更可靠。


DSA是确诊脑静脉窦及静脉血栓形成的金标准,逆行静脉造影发现窦内狭窄远近端压力差达12mmHg以上有诊断价值。但使用时应考虑其对诊断单纯皮质静脉血栓形成的不足及有创性和操作不当导致颅内压增高的风险。


T2WI-GRE序列、磁敏感成像序列及DWI序列等技术有助于提高脑静脉窦及静脉血栓形成的诊断率,特别是单支皮质静脉血栓形成时。


硬脑膜静脉窦血栓形成的影像学诊断


直接征象

CT常规平扫:病变静脉窦区密度增高(通常>62 - 70HU),断面表现为三角形高密度影,即“三角征”,可伴或不伴有窦腔扩张及皮质静脉血栓形成。伴皮质静脉血栓形成时,CT平扫断面图像表现为“脐带征”,扩张的窦壁多呈圆形向后突出。需注意类似静脉血栓高密度影的假阳性征象,如血液系统疾病或脱水状态血细胞比容增高。血栓密度随时间改变,第1周内表现为高密度影,7-14天密度开始减低,但前14天内整体仍呈高密度改变,14天后逐渐表现为低密度影,也有学者认为血栓在最初7-30天表现为从高密度逐渐降低。


CT增强扫描:与CT常规平扫图像对比利于明确诊断。可见硬脑膜窦中心无强化呈低密度,周围硬脑膜强化呈高密度,即“Delta征”或“空三角征”,部分慢性血栓偶尔可见强化,但“Delta征”或“空三角征”也存在假阳性可能,如新生儿和真性红细胞增多症患者的硬脑膜静脉窦内亦可见高密度影。硬脑膜静脉窦血栓形成后CTV表现为硬膜窦内充盈缺损,窦壁增强及侧支引流增加(图1)。


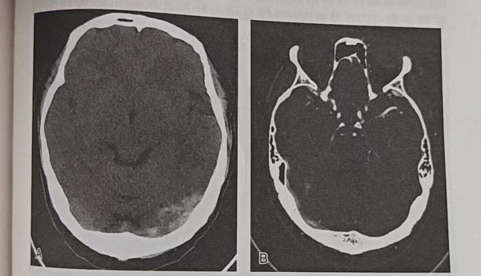
图片

图1.左侧横窦及乙状窦内血栓形成影像学表现A.CT平扫显示左侧横窦区高密度影;B.注射对比剂后左侧横窦结构缺


MR检查:血栓信号随时间变化是特点之一,病理生理学机制主要是血红蛋白降解产物变化导致,T1WI可见静脉窦内正常流空信号消失。


急性期(<1周):血栓内红细胞处于脱氧血红蛋白状态,T1WI呈等或高信号(图2A),T2WI呈低信号(图2B),通常可见窦腔扩大,偶尔可见血管内低信号和静脉扩张征象;DWI及ADC影像显示血栓所在区域可能表现为弥散受限,但此时血栓在T2WI呈低信号改变,常被误认为正常流空效应而漏诊。


图片

图2.硬脑膜静脉窦血栓急性期影像学表现A.T1WI示上矢状窦内为高信号;B.T2WI显示上述区域为低信号


亚急性期(1 - 2周):最具特征性,亚急性早期T1WI呈高信号,T2WI呈低信号,亚急性晚期T1WI和T2WI均呈高信号,且DWI及ADC影像均呈弥散性受限改变(图3)。这一时期血栓内高铁血红蛋白逐渐从细胞内随细胞裂解移动至细胞外,导致顺磁性物质大量出现,因而SWI序列上血栓出现低信号改变。此外,MRI对比增强扫描可见周边硬脑膜明显强化而中心充盈缺损的征象,即“Delta征”或“空三角征”。


图片

图3.硬脑膜静脉窦血栓亚急性期影像学表现

E.TiWI显示双侧横窦内稍高信号血栓影;F.TOF-MRV示上矢状窦后部、直窦、双侧横窦及乙状窦缺失,证实硬脑膜静脉窦血栓形成。


慢性期(>2周):T1WI呈不均匀等、低信号,T2WI呈等或高信号,扩张的窦腔通常开始缩小,增强扫描因血管腔内血栓机化可见强化改变。硬脑膜静脉窦内慢性血栓形成因有不同程度纤维化、再通和广泛静脉侧支开放,加上伴有缓慢流动的含氧血液信号,可能导致误诊、漏诊,此时期需借助MRV评估血管再通情况。


在血栓不同时间分期上,文献报道有差异,也有学者分为四期,包括超急性期(<1天)、急性期(第1天至第5 - 7天之间)、亚急性期(第1 - 3周之间)和慢性期(>3周),虽时间分期不同,但血栓信号改变及病理生理学机制解释大致相同。SWI序列检查对诊断静脉窦内血栓形成更敏感,血栓表现为低信号,通常T2*WI和T2FLAIR在未闭静脉窦图像中信号强度相反,但CVT中可能表现相似。



间接征象(脑实质改变)

脑实质病变可能与硬脑膜窦及脑静脉闭塞后引起静脉压升高和毛细血管扩张,导致间质水肿和静脉结构破裂有关。一般认为脑实质改变包括不同程度脑水肿和出血性病变,但实际因累及多支静脉窦和静脉窦累及程度范围不同,脑实质改变复杂多样,可见不同程度脑肿胀和脑水肿等表现。需理解和掌握不同静脉和静脉窦的脑组织引流区域,以更好分析判读硬脑膜静脉窦血栓形成继发的脑实质改变。


脑水肿:CT上呈低密度改变,MRI的T2WI和T2液体衰减转恢复(T2 FLAIR)序列上呈高信号,多伴有早期斑点状出血。硬脑膜静脉窦血栓形成可出现不同类型水肿,细胞毒性脑水肿表现为ADC值降低,血管源性脑水肿因细胞外水肿使ADC值升高,血栓形成时两者可同时存在。


脑出血:由皮质或深静脉系统静脉内静脉压力升高引起,导致薄壁静脉扩张和破裂,从而引起脑或蛛网膜下腔出血。出血表现形式多样,近皮质出血多位于皮质下灰、白质交界区,呈凹形,如“腰果状”;其他类型出血有上矢状窦血栓造成的双侧大脑半球脑实质出血等。


不同部位静脉窦血栓对应的脑实质病变特点:

脑水肿或静脉性脑梗死累及双侧大脑半球皮质和皮质下病灶,病变不对称时,考虑上矢状窦血栓可能。


双侧丘脑(对称或不对称)和较小范围基底节区受累时,提示大脑内静脉和/或直窦栓塞可能。


幕上和幕下多发静脉性脑梗死和水肿病灶,考虑横窦栓塞可能。


颞叶后外部或顶下小叶受累提示下吻合静脉和横窦栓塞可能。


CVT与脑出血并存时,临床表现更严重,预后更差。慢性静脉窦血栓可出现小脑幕与大脑镰增厚,易被误诊为蛛网膜下腔出血。



其他部位静脉血栓形成的影像学诊断

大脑浅静脉及皮质引流静脉血栓形成

大脑浅静脉及皮质引流静脉血栓指大脑表面一个或多个皮质静脉内形成血栓,孤立发生较少,多与硬脑膜静脉窦血栓并存,且往往一个或多个静脉窦受累。因皮质静脉在大小、数量和走行方面个体变异大,影像学表现复杂多变,诊断困难。


直接征象:CT常规平扫可见受累静脉血管腔内高密度影及管腔扩张,相应静脉呈“脐带征”,血栓密度随时间改变。对比增强CT表现为受累静脉的充盈缺损,CTV表现为相应大脑浅静脉或皮质引流静脉内的充盈缺损。MR是显示皮质静脉的最佳影像学检查,需结合T1WI、T2WI、MRV的原始图像及T2WI诊断。皮质静脉血栓信号随时间改变同前,典型病例可见额顶叶脑沟内点状、条状T1WI高信号影等,T2WI和SWI序列对皮质静脉血栓诊断最重要,灵敏度较高,DWI序列中有时亦可见皮质脑沟内条状高信号血栓影。MR增强扫描时可见双轨样或者环状强化信号影,内可见不强化的血栓呈充盈缺损改变,MRV可见部分皮质引流静脉狭窄、消失,周围可显示扭曲增粗的静脉血管影。


间接征象:双侧大脑半球皮质及皮质下区常伴发散在的斑片状脑实质出血和水肿。因浅静脉或皮质静脉压升高,导致薄壁小静脉扩张和破裂,可见蛛网膜下腔出血。Labbe静脉血栓形成可出现颞叶部位不同于动脉供血区域的局限性楔形脑梗死后出血性转化改变。


大脑深静脉血栓形成

大脑深静脉血栓形成指深部脑静脉(大脑内静脉、Galen静脉和基底静脉及其分支)的血栓形成,直窦也常延伸受累。大脑深静脉系统主要收集脉络丛、丘脑及纹状体、深部灰质区域静脉血,深部静脉病变易累及丘脑、基底节等部位。


直接征象:CT平扫可见Galen静脉及其分支、直窦走行区内有条状等或高密度影,增强图像可见Galen静脉或直窦部出现充盈缺损改变。MRI可见Galen静脉或直窦内的T2WI流空信号消失,T1WI呈等或高信号影,T2WI呈低或高信号影,增强扫描可见“轨道征”和受累静脉内充盈缺损改变。MRV表现为大脑内静脉、Galen静脉或直窦的结构不同程度缺失或未见显示。


间接征象:MR平扫双侧丘脑对称性信号异常为特征性影像表现,一般表现为双侧丘脑肿胀,可见对称性稍长T1、稍长T2水肿信号影,内可见斑点状或条索状短T1短T2出血信号影,水肿病变延伸至尾状核和深部白质。后期因双侧丘脑肿胀,孟氏孔阻塞出现双侧侧脑室轻中度扩张积水改变。SWI序列可见双侧丘脑及脑室旁扩张增粗的髓静脉影,增强扫描亦可见双侧基底节及脑室旁条线状强化影,即扩张增粗的髓静脉。深静脉血栓导致的脑实质损害中,早期以血管源性水肿为主,表现为DWI高信号,ADC图高信号改变;后期出现细胞毒性脑水肿,表现为DWI高信号,ADC图低信号改变;若引起血管源性水肿和细胞毒性水肿的因素消除,水肿信号可逆转消失。最终,若持续淤血造成血 - 脑屏障破坏,可出现出血改变。


其他少见静脉血栓形成(如孤立性皮质静脉血栓)

孤立性皮质静脉血栓(ICVT)不伴随静脉窦及深静脉血栓形成,是罕见疾病,相关文献报道少。因皮质静脉在数量、大小和位置上变异大,皮质水平小静脉闭塞的影像学征象难识别,DSA可通过间接征象诊断,如侧支静脉通路开放等。T2*GRE序列或SWI序列是证明皮质静脉中存在血栓的有用技术,孤立性皮质静脉血栓表现为临床发作后任何时间内受累皮质静脉因磁敏感效应呈明显低信号,闭塞单支静脉邻近的皮质及皮质下区脑实质出现局限性水肿、点状出血或片状血肿,也可出现梗死,在DWI序列呈高信号。



静脉性脑梗死的影像学诊断

静脉性脑梗死特点:CT、MRI及MRV检查见静脉内血栓直接征象;病变位置不同于动脉供血区,多发生在血栓相关引流静脉区域,如大脑皮质等;可单发或多发,大小及范围不等,形态不固定。


根据脑梗死与静脉栓塞的对应关系,静脉性脑梗死分为四型:

表浅型:最常见,上矢状窦血栓时脑梗死发生于邻近两侧大脑半球的脑实质内,主要是额、顶、枕叶皮质或皮质下发生脑梗死后出血性转化。


深部中央型:栓塞多累及直窦及大脑深静脉系统,可引起双侧丘脑及基底节梗死,出血较少见。


深部基底型:少见,血栓位于海绵窦,可继发双侧颞叶的静脉性脑梗死。


孤立皮质型:少见,单纯大脑皮质静脉栓塞,梗死发生于阻塞静脉引流区,累及皮质及皮质下白质,可见脑叶肿胀水肿,常伴灶性出血。


影像学上一般表现为静脉梗死区域脑肿胀(图4),T1WI呈稍低信号,T2WI呈高信号,病灶图像在T2FLAIR序列比DWI序列上范围更大,可伴灶性出血,约1/3的静脉性脑梗死表现为脑梗死后出血性转化。静脉性脑梗死所致脑水肿以血管源性水肿(DWI呈高信号,ADC呈高信号改变)为主,多可逆转;伴或不伴有细胞毒性水肿(DWI呈高信号,ADC呈低信号改变),不可逆转。增强扫描皮质静脉梗死可见脑回样强化,深部灰质核团、丘脑或脑干病变常为斑片状不规则强化。


图片

图4.多发静脉性脑梗死影像学表现

A.TWI示左侧颞枕叶及胼胝体压部脑组织肿胀,可见团片状低信号;B.T2WI上述区域呈高信号,病变肿胀,占位效应明显;C.注射对比剂后上述区域未见明显强化;D.TOF-MRV显示大脑大静脉及直窦明显变细,部分不连续,证实深静脉血栓所致静脉性脑梗死。


鉴别诊断

脑静脉及静脉窦血栓形成需与下列情况鉴别诊断:


解剖变异:如上矢状窦前1/3发育不良或闭锁等,需结合MRV原始图像和常规T2WI序列共同判断。


红细胞增多症:新生儿脱水和红细胞增多症等情况下,非增强CT上因红细胞比容增高,静脉窦和静脉可能出现相对高密度。


巨大蛛网膜颗粒压迹:是突入静脉窦腔的正常结构,表现为窦腔内圆形或卵圆形充盈缺损,形态局限且较规则,最常见部位是横窦外侧等。


假“空三角征”:硬膜下出血和硬膜下积脓可出现假的“空三角征”。


丘脑肿瘤:深静脉血栓形成(如大脑大静脉或直窦血栓形成)需与双侧丘脑星型细胞瘤鉴别。


硬脑膜动静脉瘘(DAVF):引流至Galen静脉的硬脑膜动静脉瘘可表现为双侧丘脑脑梗死后出血性转化或弥漫性脑肿胀,需与Galen静脉血栓形成鉴别。


参考文献

娄昕, 马林. 脑卒中影像学评估[M]. 2版. 北京: 人民卫生出版社, 2024.


编辑 | 三顺

排版 | 三顺

审核 | 暖暖