微创革命 高血压患者的新希望——黔南州中医医院成功开展经皮肾上腺动脉栓塞术

微创革命 高血压患者的新希望--黔南州中医医院成功开展经皮肾上腺动脉栓塞术


图片
图片
图片
图片

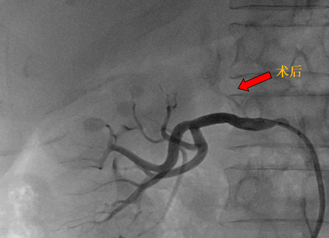
近期,黔南州中医医院心血管内科李莲主任团队詹玉柱副主任医师成功完成黔南首例经皮选择性肾上腺动脉栓塞术(SAAE)。手术顺利,患者恢复良好,标志着黔南州中医医院在继发性高血压的微创介入治疗领域取得重要突破,为区域该类患者提供了更精准、安全、微创的全新治疗。


图片
图片

    病例回顾

患者为54岁女性,高血压病史8年多,长期规律服用三种降压药仍控制不理想,时有头晕、头痛、乏力、心悸等症状。

黔南州中医医院心内科高血压亚专科团队为其进行了系统的继发性高血压筛查,肾上腺CT增强提示右侧肾上腺腺瘤(约12mm×7mm),伴左侧肾上腺增生,确诊为原发性醛固酮增多症所致高血压。

图片

图片

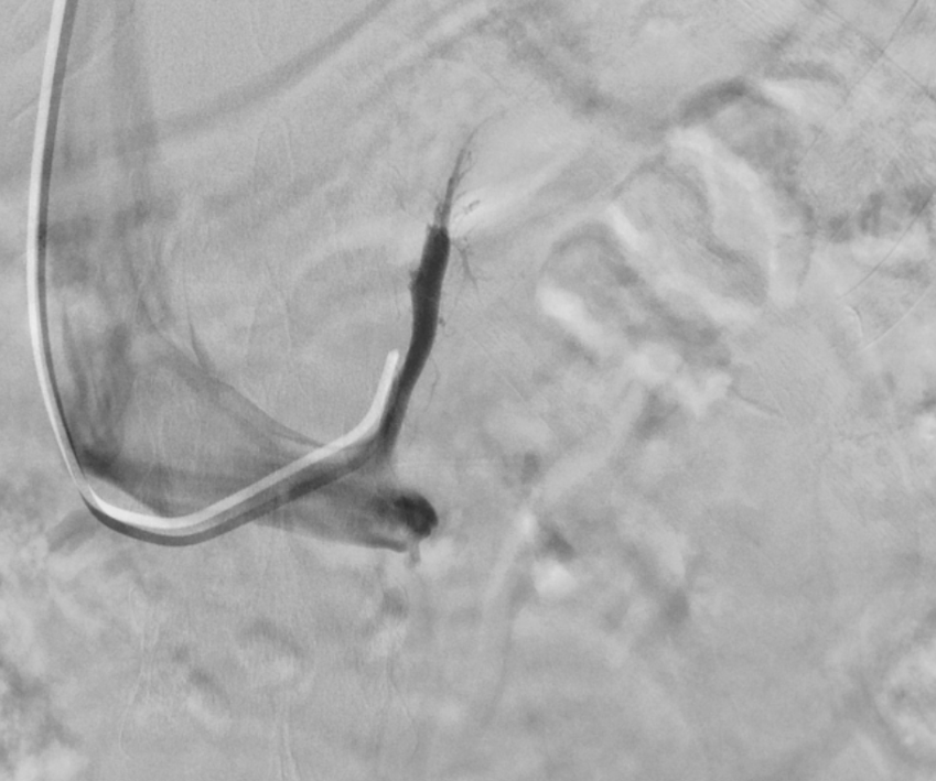
双侧肾上腺静脉取血提示右侧肾上腺为优势分泌侧。经与泌尿外科充分术前讨论,鉴于其右侧腺瘤体积较小,且合并左侧增生,外科手术切除腺瘤较困难,且患者拒绝外科手术治疗,故予右侧肾上腺动脉栓塞治疗。

图片

图片

图片

(历时30分钟成功施行经皮选择性肾上腺动脉栓塞术)

图片

术后第一天,患者仅服一种降压药,血压便控制理想,复查醛固酮、醛固酮/肾素比值均明显降低,血钾恢复至正常范围。术后第三天,患者康复出院。

图片

图片

詹玉柱副主任医师表示:“SAAE术作为一种新兴微创介入手段,正在国际上逐渐受到重视,国内各大中心陆续开展。黔南是首次开展,为黔南此类疾病患者开辟了新的治疗通道,也为今后更多复杂病例积累了宝贵经验。”

未来,黔南州中医医院将持续优化技术路径,建立标准化适应症指征、术后随访评估体系,推动该项技术在继发性高血压、肾上腺肿瘤、代谢性疾病等多个领域的应用,为患者的健康保驾护航。





图片
来源黔南州中医医院

一审:蒙洁德

二审:张贺婷

三审:邹骐聪