骨关节炎别拖着!一个小意外就可能引发连锁损伤

近日,一位有多年膝骨关节炎病史的六旬阿姨在一次日常行走中膝盖突然“打软腿”,竟造成胫骨平台骨折,保守治疗不起作用后,甚至完成日常动作都越发艰难。骨关节专家提醒,老年人群尤其是患有骨关节炎者,意外摔伤后务必警惕连锁损伤,及早前往医院评估,必要时及时治疗,方能守护筋骨。

骨折加剧,日常生活严重受限

67 岁的张阿姨(化姓)多年备受膝骨关节炎的折磨,关节稳定性每况愈下,一起意外摔伤后,张阿姨选择了保守治疗,可没想到骨折愈合不佳,发展成了陈旧性骨折,还伴随明显的骨缺损,这让原本就不好的关节功能急剧恶化,疼痛加剧,连日常的起身、坐下都变得困难。

此后,张阿姨咨询多方均被告知骨关节炎、骨折不愈合、骨缺损多重问题叠加,单一手术难以解决,治疗难度极大,她也陷入了重重焦虑,担心自己以后再也站不起来。

就在一筹莫展之际,家人陪伴张阿姨来到闻暨南大学附属第一医院骨关节科求助教授张还添团队,据悉,团队擅长运用机器人辅助手术处理各类复杂关节病例,接诊经验丰富。

机器人辅助手术,精确修复到位

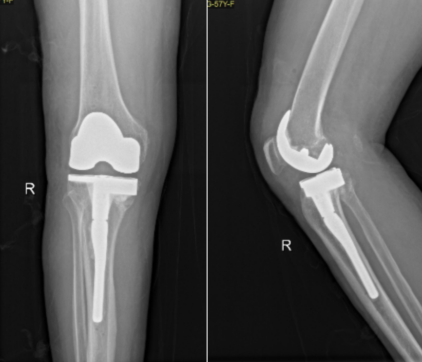
面对如此复杂棘手的病情,机器人辅助技术成为了关键力量。术前,张还添团队利用机器人系统,通过精准的三维建模技术对张阿姨的骨缺损范围、残余骨量分布以及力线偏移等关键数据进行测算。

在这些数据的基础上,团队制定了“人工膝关节置换 + 骨缺损修复”同步进行的创新手术方案,力求最大程度解决问题。

图片

在机器人的辅助下,医生团队的系列操作降低了创伤性关节炎的发生风险以及二次手术的可能性,辅以科学系统的康复训练,张阿姨的关节稳定性和活动能力在一天天稳步恢复,如今,她已能够自如地行动,安享舒适惬意的晚年生活。

骨折后莫拖延,尽早诊治提高生活质量

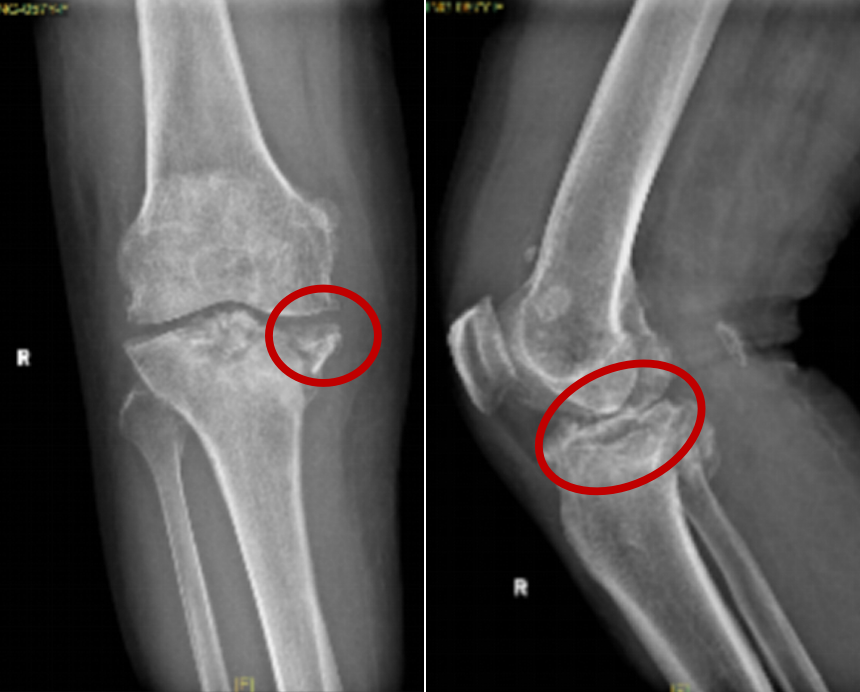
作为人体的重要“支柱”,胫骨平台是膝关节核心承重面,承受着人体约六成的体重负荷,与内外侧副韧带紧密相连,一旦骨折,远非“骨头裂了”这么简单。

张还添介绍,骨折复位不佳或拖延治疗,关节面不平会加速软骨磨损成创伤性关节炎,还可能致内侧副韧带撕脱骨折,或使外侧副韧带松弛,破坏关节稳定性,让小手术变复杂,加重疼痛、畸形与功能丧失。对有骨关节炎者,摔伤更是病情恶化转折点,要警惕筋骨连锁损伤。

图片

图片

因此,张还添提醒市民,摔倒后膝关节若疼痛、肿胀、活动受限,应尽早到正规医院做影像学评估,明确有无关节内骨折。关节面骨折保守治疗无效、出现骨缺损或持续疼痛,要及时调整治疗,避免骨折不愈合、关节退变不可逆。张还添强调,科学评估、适时干预,才能保留关节功能,减少多次手术风险。

而对于陈旧性胫骨平台骨折合并严重骨关节炎的患者,机器人辅助手术有着精准、可控等优势,张还添介绍,机器人技术能同步完成关节置换和骨缺损修复,减少软组织干扰与骨质损伤,进一步降低术后风险,为患者争取更稳定长久的关节功能。

文|记者 王沫依 通讯员 张灿城
图|通讯员提供