7岁女童3个月猛蹿4cm,检查发现“乳腺发育、子宫及卵巢体积增大”,被确诊性早熟,医生提醒

近日,福建一名7岁的女孩婷婷在短短3个月内身高猛增了4厘米,家长起初欣喜不已,但在一位儿科护士长邻居的提醒下,带孩子就医检查。
经乳腺彩超和妇科彩超发现,婷婷已出现“乳腺发育、子宫及卵巢体积增大”的性早熟声像改变,最终被确诊为性早熟。
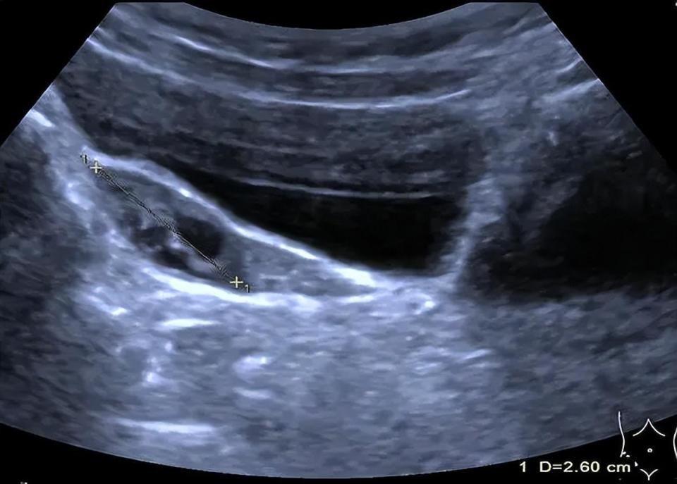
图片
▲彩超下,婷婷的双侧卵巢内见8个直径大于4mm卵泡
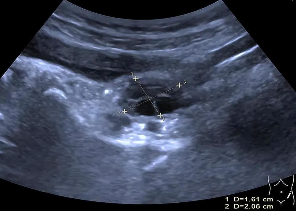
图片
▲左侧卵巢体积约4.9ml,内见4个直径大于4mm卵泡
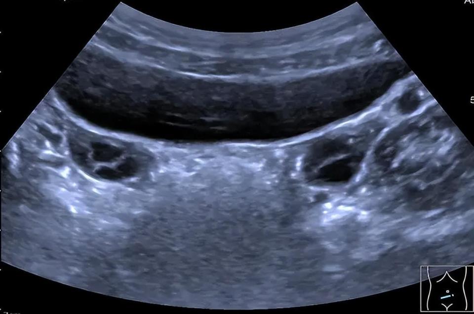
图片
▲右侧卵巢体积约3.2ml,内见4个直径大于4mm卵泡
据了解,我国女童性早熟总体发病率约为0.43%,而在沿海发达地区发病率可达1%以上,农村地区发病率也呈快速上升趋势。
性早熟是指女童在7.5岁前出现乳房发育,或10岁前出现月经初潮,主要表现包括乳房出现小硬结、身高生长速度突然加快、月经初潮等。
医生提醒,发现孩子有性早熟苗头,家长要尽早带孩子就诊。
来源: FM93交通之声综合福建医科大学附属第一医院、@陕视新闻