面对简易遗传病,我们如何判断?

问AI · 线粒体疾病为何只通过母亲遗传?

在医学领域,遗传病是一类复杂且影响深远的疾病,它不仅关乎患者自身的健康,还可能对家族的未来产生连锁反应。准确判断遗传病的类型和遗传方式,对于制定有效的治疗方案、进行遗传咨询以及预防疾病在家族中的传递至关重要。然而,面对种类繁多、表现各异的遗传病,很多人往往感到无从下手。

图片

大家最为困惑的就是:这个病是什么病?是否会遗传?如果会遗传,怎么办?正好前段时间有网友向我请教一种疾病,我觉得这是一个比较典型的案例,在这里做一个简单易懂的讲解。


01,案例情况

———————————

患者描述的症状是这样子的:

患者男(50岁):18岁的时候视力下降,现在视力极低。

家族史:弟弟有相同情况,父母无症状图片

这种情况下,怀疑可能涉及到了遗传病。


02,医院检测

———————————

我是不治病的,所以我强烈建议他去医院进行检测。其实各大医院都可以检测,当然,复旦大学有个医院排行榜,是一个相对权威的医学排行榜,因此如果没有目标医院的话,可以参照下面的列表图片

这个list是一个比较权威的眼科医院名单。


最后患者就近选择了中大眼科,这家医院本身很厉害,而且拥有全国眼科领域唯一的一个国家重点实验室图片

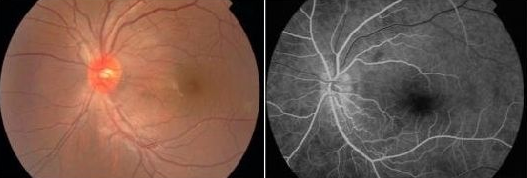
在医院检测后,医生给出的判断是:视神经萎缩,中央视野缺失,疑似leber疾病。


但是家属更看重是否会遗传,毕竟这个更关键(毕竟对于大人还好,他们的下一代刚成人,如果遗传这个病,就麻烦了)。于是医院建议进行基因检测。


03,基因检测

———————————

首先介绍下leber疾病

Leber遗传性视神经病变是最常见、最经典的线粒体遗传病之一,  也是目前世界上最常见的青壮年致盲性疾病之一。其主要症状表现为急性或亚急性视力减退或丧失,  多发于 15~35 岁之间 的 青 壮 年 男 性 。

但是呢,这个疾病有个问题,就是尽管大家普遍认为是线粒体遗传病,然而总有例外,可能涉及到其他的内容。图片

此外,这个疾病目前研究的尚不透彻,其特点之一就是:男多女少,而且是不完全显性。


因此医院给出了检测方案。


1,主要检测线粒体DNA是否发生突变

2,检测核基因是否发生突变。

1是主要的判断,2是防止1如果没有检测出来的话,可能会落脚到核基因上。于是抽血检测。当然了,这个时候检测,肯定不能只检测一个人。于是,患者的父亲,母亲,弟弟,以及患者的儿子和侄儿,一共6人进行了基因检测。


04,检测结果

———————————

经过大概2周的等待,基因检测结果出来了。本基因检测分为两部分:

第一部分为外显子组芯片检测,主要针对23对染色体进行检测。检测结果:未发现突变

第二部分为线粒体检测。检测结果:发现线粒体基因第11778位置发生突变

说明:23对染色体为常规遗传,线粒体为伴性遗传


发现

1,在核基因上未发现典型的致病突变

2,在线粒体基因上发现了一个非常典型的突变。


基因报告就这么简单。图片



05,如何解读该疾病

———————————

接下来的内容由我完成。首先,我依据基因报告的结果,做了个图。这是一个遗传示意图,绿色表示无突变,红色表示有突变。

图片

从这张图,我们可以看到,患者的突变来自于其母亲,并且其弟弟身上也有该突变。

患者的儿子和侄儿均不含有该突变,这符合经典的线粒体遗传:母系遗传。而从发病的角度,是这样子,只有患者和患者的弟弟发病,家族中其他人不含有该疾病。图片

因此,可以得出如下结论


1,该疾病是线粒体遗传疾病

2,该疾病极有可能是leber疾病


06,解读该突变

———————————

我首先到一个常见的数据库ensembl上进行检测

这个数据库是生物学领域著名的数据库之一,由英国Sanger研究所Wellcome基金会及欧洲分子生物学实验室所属分部欧洲生物信息学研究所共同协作运营。

当然这个数据库整合了很多基因资源,包括著名的千人基因组计划内容。

一,该突变在其他人群中曾经检测出来

图片

说明该突变并非个例

二,该突变位于基因编码区

该位点位于基因ND4编码区,用来编码NADH 脱氢酶复合体1(这是一个比较基础的蛋白)

三,该突变是错义突变

即该突变造成了编码氨基酸的改变。原本编码的是精氨酸,结果突变后变为组氨酸(Arg→ His)而编码氨基酸的改变,可能进一步的影响到蛋白质的表达和功能,从而影响到了基因的发挥,造成疾病。


07,进一步对突变进行解读

———————————

按照常见的突变预测数据库分析:在SIFT中预测为有害,在PolyPhen-2中同样预测为有害。


在疾病数据库ClinVar中发现,该位点突变与leber视神经萎缩有关联。这个突变是leber疾病最常见的突变之一。


该突变在亲属中33-60%的外显率,其中在男性中高达82%。查询对应的leber数据库图片

我们可以看到该突变的发生是和leber疾病非常关联的。相应的研究文献也对此有报道。


说明:这说明该突变是可能导致leber疾病的重要原因


于是,到此,基本上可以得出这个患者的疾病情况了。通过对该突变性质解读,以及遗传模式鉴定,结论如下:

1,从基因突变影响角度,该突变存在于基因编码区,对基因功能产生影响

2,从已有数据库和报道来看,该突变是导致leber疾病的重要因素。

3,从遗传模式来看,该家系呈现典型的线粒体母系遗传。


08,患者的后代需要担心这个问题吗?

———————————

线粒体是典型的母系遗传。这是因为受精的时候,来自父系的线粒体基因失去了,而母系卵细胞的线粒体则成为新的受精卵的线粒体来源。所以,患者的后代无需担心这个问题。图片

为什么来自精子的线粒体会消失呢?


2011和2016年两篇Science研究论文指出:当精子与卵子结合成受精卵后,精子中的线粒体会启动一套自毁机制。如果延迟这套机制发挥作用,那么由受精卵发育而成的胚胎存活可能性降低。图片

(受精后,自噬体被逐步诱导出来)图片

于是,线粒体基因的遗传就成了上图所示的经典母系遗传了。


到这里,这个案例就要结束了。通过医院检测+基因检测,我们可以对这个疾病进行分析,并且得出他们的后代不会遗传这个疾病。可以放心地生育下一代。


当然了,一定会有人问:会不会有父系线粒体并没有完全被降解的情况呢?的确有,新英格兰医学曾经报道过一例患者,该患者体内检测到了来自父系的线粒体基因。

所以生物专治各种不服呐!


但是这是极其罕见的案例,按照比例,估计也就是彗星撞地球的比例吧。当然,更重要的是,该案例中,对该患者的后代也进行了检测,没有发现遗传突变。


所以,不需要担心了。


部分参考内容

父系线粒体自噬过程

Sato M, Sato K. Degradation of paternal mitochondria by fertilization-triggered autophagy in C. elegans embryos[J]. Science, 2011, 334(6059): 1141-1144.

leber疾病线粒体

Stone E M, Newman N J, Miller N R, et al. Visual recovery in patients with Leber's hereditary optic neuropathy and the 11778 mutation[J]. Journal of Neuro-Ophthalmology, 1992, 12(1): 10-14.