超声诊断「乳腺化生性癌」1 例

图片

病例回顾


患者,女,50 岁,在洗澡时发现左乳外上侧有一结节,约鸽子蛋大小,无疼痛,同侧乳头无溢血、溢液。


专科查体情況:双侧乳房基本对称,发育良好,静脉无曲张,表面皮肤无红肿、破溃,两侧乳头处于同一水平,无凹陷,不伴有乳头溢血、溢液,无橘皮征、酒窝征;


左侧乳腺 2 点钟方向距乳头 2 cm 可触及一肿块,约 3 x 2 x 3 cm 大小,质地韧,活动度可,边界尚清,形态规则,与胸壁及皮肤无明显粘连,右侧乳房未触及明显包块,双侧腋窝及锁骨上、下淋巴结未触及肿大。


申请超声检查图像如下:


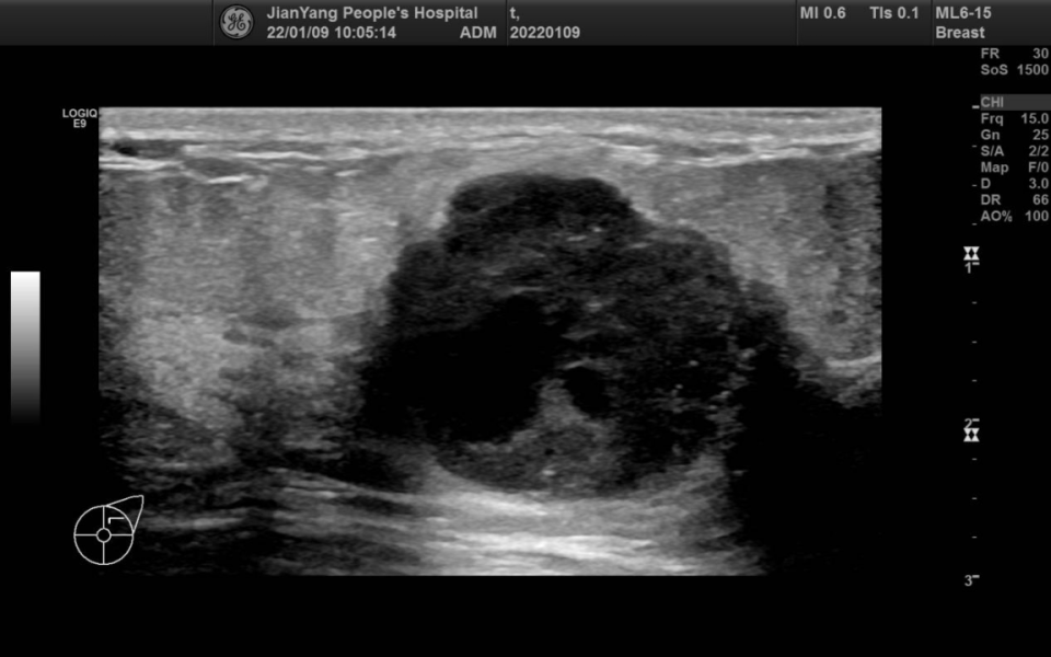
图片图 1 左乳 2 点钟方向肿物

图片图 2 左乳 2 点钟方向肿物

图片图 3 左乳 2 点钟方向肿物

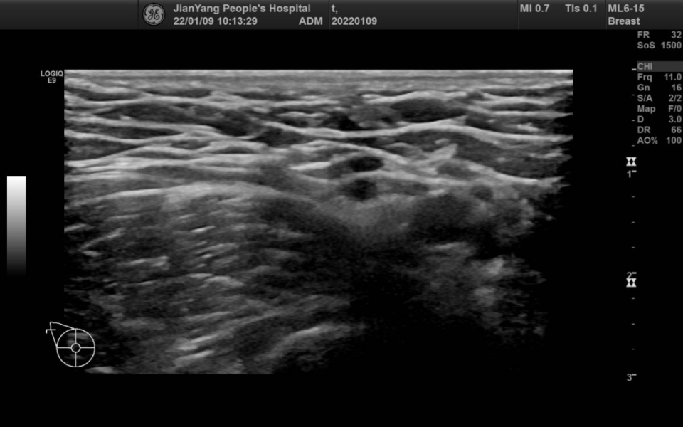
图片图 4 左侧腋窝

图片图 5 右侧腋窝

图片图 6 左侧锁骨上区

图片图 7 右侧锁骨上区

超声描述:

两侧乳房切面形态轮廓正常,层次清楚,腺体回声不均匀,左乳 2 点钟方向距乳头约 20 mm 处可见范围约 28.3 mm x 22.4 mm x 28.1 mm 的低回声团,略呈分叶状,边界清楚,内可见不规则无回声区,其内可见较多条状血流信号。

双乳导管未见明显扩张征像。CDFI:余腺体内未见异常血流信号。

双侧腋窝及双侧锁骨上下区未见明显长大淋巴结声像。

超声提示:左乳低回声团 BI-RADS 4A 类

病理:

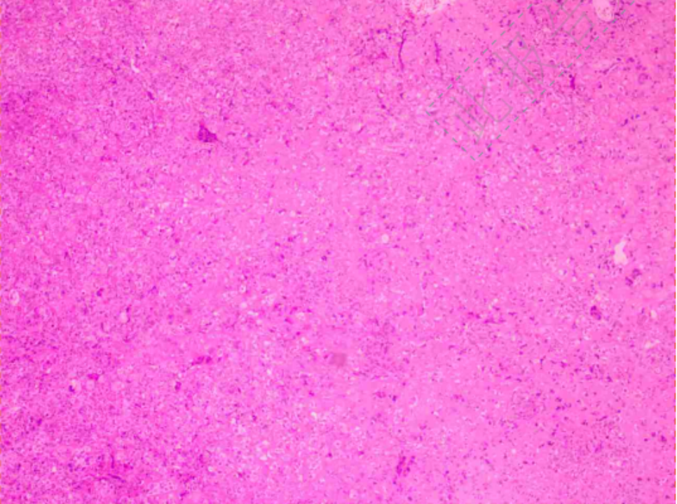
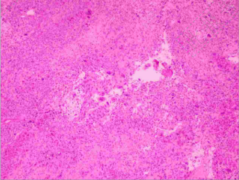
图片

图片

肉眼所见:灰褐,淡红软组织 3 块,总体积 7 x 4 x 1.5 cm,切面灰白、灰褐,实性,质稍韧,灶性区质嫩。

病理诊断:

左乳结节:恶性肿瘤,具体类型待免疫组化检测协助诊断。

免疫组化:

图片

补充病理诊断:

左乳结节:结合免疫表型及形态学,考虑乳腺高级别化生性癌。

免疫组化结果:bcl-2(-),CD34(-),CD68(-),CD99(+),CK5/6(+,部分),Desmin (-),E-cadherin(+,部分),ER(-),GATA-3(+),Her2(0),ki67(+,50%),P63 (-),PCK(+,部分),PR(-),S-100(-),TTF-1(-)。

乳腺化生性癌

乳腺化生性癌(metaplastic breast carcinoma,MBC)是一组以肿瘤性上皮向鳞状细胞和间叶成分分化为特征的癌,就形态学表现来说,该组肿瘤具有异质性,可大体分为低级别、高级别两类。

WHO 病理分为:低级别腺鳞癌、纤维腺瘤病样化生性癌、鳞状细胞癌、梭形细胞癌伴有间叶分化的化生性癌(软骨样、骨样、其他)、混合型化生性癌、肌上皮癌。极具侵袭性,约占乳腺癌的1%-5%。

超声表现

MBC 多见于绝经后妇女,肿块较大,超声特征多表现为不均匀低回声,边缘光整,形态不规则,平行于皮肤,无钙化或微小钙化,后方回声无改变或增强,伴或不伴腋窝淋巴结转移,Adler 分级 Ⅱ~Ⅲ 级多见,阻力指数多>0.7。与间叶化生癌相比,鳞状细胞癌多表现为直径较大、呈囊实性回声、腋窝淋巴结无转移。

鉴别诊断

1.乳腺浸润性导管癌:占乳腺癌的 40-75%,不均匀低回声,形态不规则,无包膜,边缘模糊、毛刺状,大多数纵横比大于 1, 内部多发微小钙化,周围高回声晕,后方回声衰减。

CDFI:肿块内部、边缘出现增粗、扭曲血管,RI>0.7;腋下淋巴结转移常见。

2.乳腺粘液癌:多发生于中老年妇女,发病率较低,约占乳腺癌的 1%-7%,形态规则、边界清晰,含有大量粘液,推挤周边形成假包膜样组织,后方回声常增强,少血供。

3.叶状肿瘤:好发于 35-55 岁女性,单侧多见,体积多较大,常见分叶状,边缘清楚,可有假包膜,内部回声不均,常见裂隙样无回声,少见钙化,后方回声增强,Adler 血流 1-2 级,恶性者 RI 呈高阻,但少见淋巴结转移。

4.纤维腺瘤:青年女性常见,呈圆形或类圆形,形态规则,边界清晰,有包膜,内部回声均匀的低回声,可伴粗大钙化,Adler 血流 0-1 级。

治疗

MBC多表现为三阴型,具有侵袭性强、内分泌治疗反应差、预后差,复发风险高。尽管腋窝受累的情况罕见,但常见血道转移。传统化疗的反应性较差、手术仍是主要的治疗手段,临床上需要探索如免疫治疗、抗血管生成治疗、基因突变通路抑制治疗等更有效的治疗方式。

首发 丁香园超声时间

投稿邮箱 / gulujun@dxy.cn

题图及文中图片来源 / 作者提供


参考文献:
[1] 巩海燕,杜丽雯等.化生性乳腺癌与乳腺非特殊型浸润性导管癌超声及临床病理特征的对比分析[J].临床超声医学杂志,2022,24(02):143-146
[2] 吴杰,张一丹等.不同病理类型乳腺化生性癌超声及MRI表现[J].中国医学影像技术,2022,38(12):1828-1832
[3] 巩海燕,栗翠英等.超声诊断乳腺化生性癌的价值[J].肿瘤影像学,2021,30(02):96-101.