The Innovation | 关节液“融合囊泡”竟是软骨损伤的隐形杀手!

骨关节炎 (osteoarthritis, OA) 以软骨损伤破坏为重要特征,常累及颞下颌关节、膝关节等关节,影响全球超2.4亿人口,是第四大致残原因。软骨损伤难以有效修复仍是当前临床治疗的主要挑战之一。细胞外囊泡 (extracellular vesicles, EVs) 不仅是细胞与组织间交流的重要媒介,还具有疾病生物标志物应用前景。结合内源囊泡的多样性以及囊泡可与细胞膜融合的特性,我们提出关键科学问题:骨关节炎症状态下,不同来源囊泡或会融合形成新囊泡,妨碍软骨修复进展?



导 读

骨关节炎常累及颞下颌关节、膝关节等关节,致残风险高,影响全球患者超2.4亿人。软骨损伤难以有效修复是当前临床治疗的困境之一,破解关节液胞外囊泡,或成软骨损伤修复的破局之点。本文揭示了特殊亚群“融合囊泡”在软骨损伤中的核心作用,为OA治疗提供了全新思路。


图片

图1 图文摘要


1

骨关节炎患者关节液囊泡是否存在异常?

人群证据:我们通过单颗粒纳米流式术、免疫电镜、超高分辨率显微镜等技术分析OA患者关节液EVs时,发现 OA 患者关节液中富集一群同时携带M1型巨噬细胞标志物CD86和软骨细胞标志物Ⅱ型胶原蛋白(Collagen Ⅱ)的炎性“融合囊泡 (hybrid EVs, hEVs)”。进一步分析显示,颞下颌关节和膝关节OA患者的关节液hEVs富集水平均与疾病严重程度高度相关(图2)。

图片

图2 炎性“融合EV”(hEVs)在OA患者关节液中显著蓄积, 其比例与OA严重程度高度相关


2

关节液炎性融合囊泡的具体作用是什么?

体内动物模型:通过对颞下颌关节和膝关节OA大鼠关节腔注射高比例hEVs的软骨组织囊泡,观察到大鼠关节软骨磨损及OA组织病理进展加重(图3),验证了该囊泡的致病性;

图片

图3 大鼠关节腔注射hEVs囊泡加剧OA的进展及软骨损伤


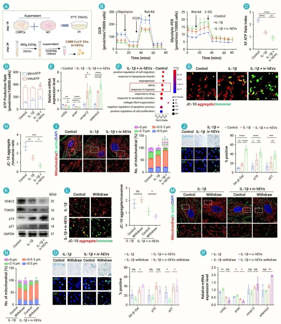
体外细胞模型:体外研究发现hEVs加剧炎性软骨干细胞代谢趋于糖酵解方向,同时加重软骨干细胞线粒体损伤和衰老表型。撤除炎性刺激后软骨干细胞相应的损伤可以逆转,然而叠加hEVs刺激后,即使撤除刺激,软骨干细胞线粒体损伤及衰老表型也难以逆转(图4)。

图片

图4 hEVs诱导软骨干细胞分化障碍、线粒体损伤及代谢失衡, 加速软骨干细胞衰老


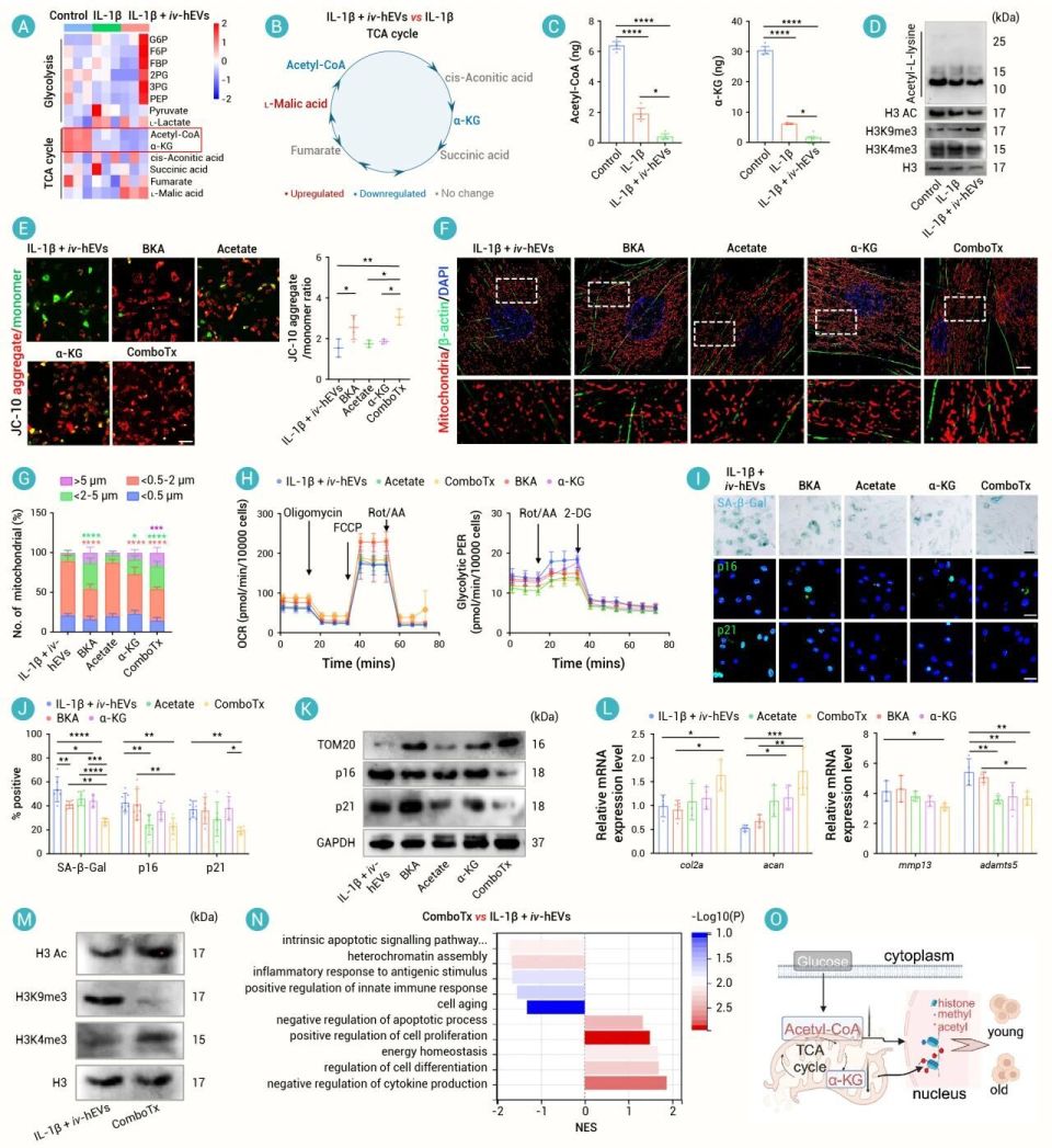
3

炎性融合囊泡的致病机制是什么?

体外实验研究发现hEVs上调多种糖酵解限速酶,诱导软骨干细胞能量代谢失衡,并以ANT1依赖的方式抑制软骨干细胞线粒体膜电位,造成线粒体碎片化损伤。代谢组检测提示hEVs造成炎症状态下三羧酸代谢 (tricarboxylic acid, TCA) 循环关键代谢物乙酰辅酶A和α-酮戊二酸耗竭,导致表观遗传失调,最终导致软骨干细胞成软骨功能障碍及细胞衰老(图5-7)。

图片

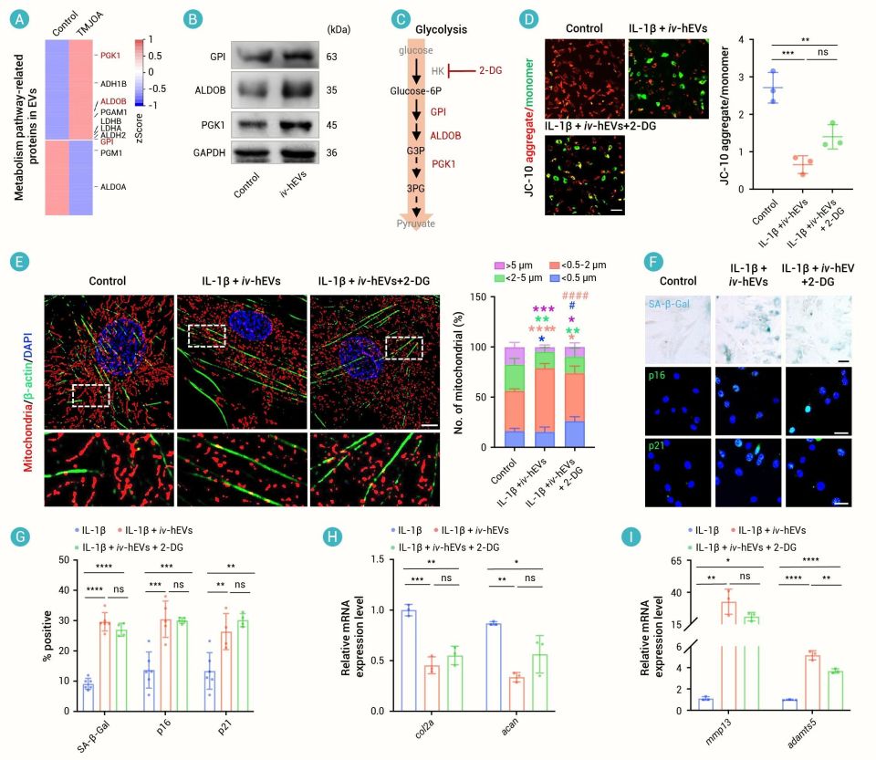
图5 单纯抑制糖酵解未能有效恢复hEVs诱导的软骨干细胞损伤


图片

图6 hEVs以ANT1依赖的方式抑制软骨干细胞线粒体膜电位,造成线粒体碎片化损伤


4

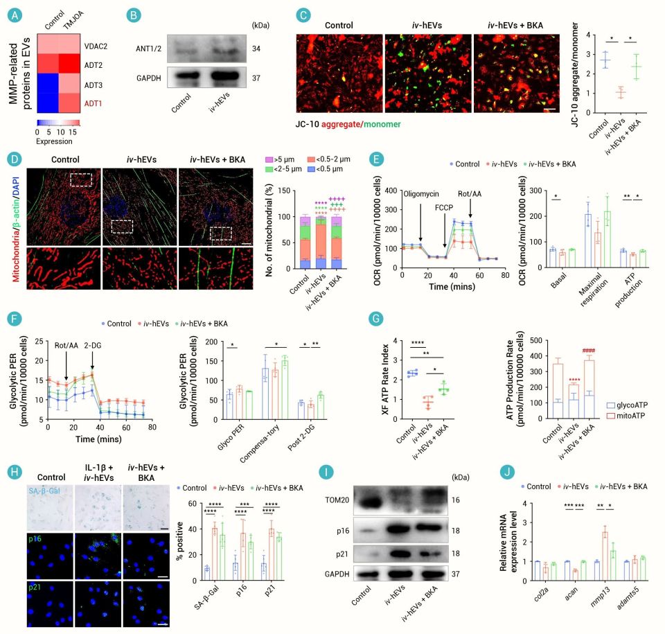
如何有效治疗炎性融合囊泡导致的骨关节炎软骨损伤?

体外干预:针对hEVs的致病机制,我们设计了一种复合疗法,即保护线粒体的同时补充乙酸盐、α-酮戊二酸两种关键代谢物。体外实验显示,该疗法可显著修复软骨细胞线粒体损伤,恢复软骨细胞代谢失衡,延缓衰老表型,恢复软骨修复功能(图7)。

图片

图7 hEVs介导TCA代谢物耗竭驱动表观失调相关软骨干细胞衰老和软骨损伤


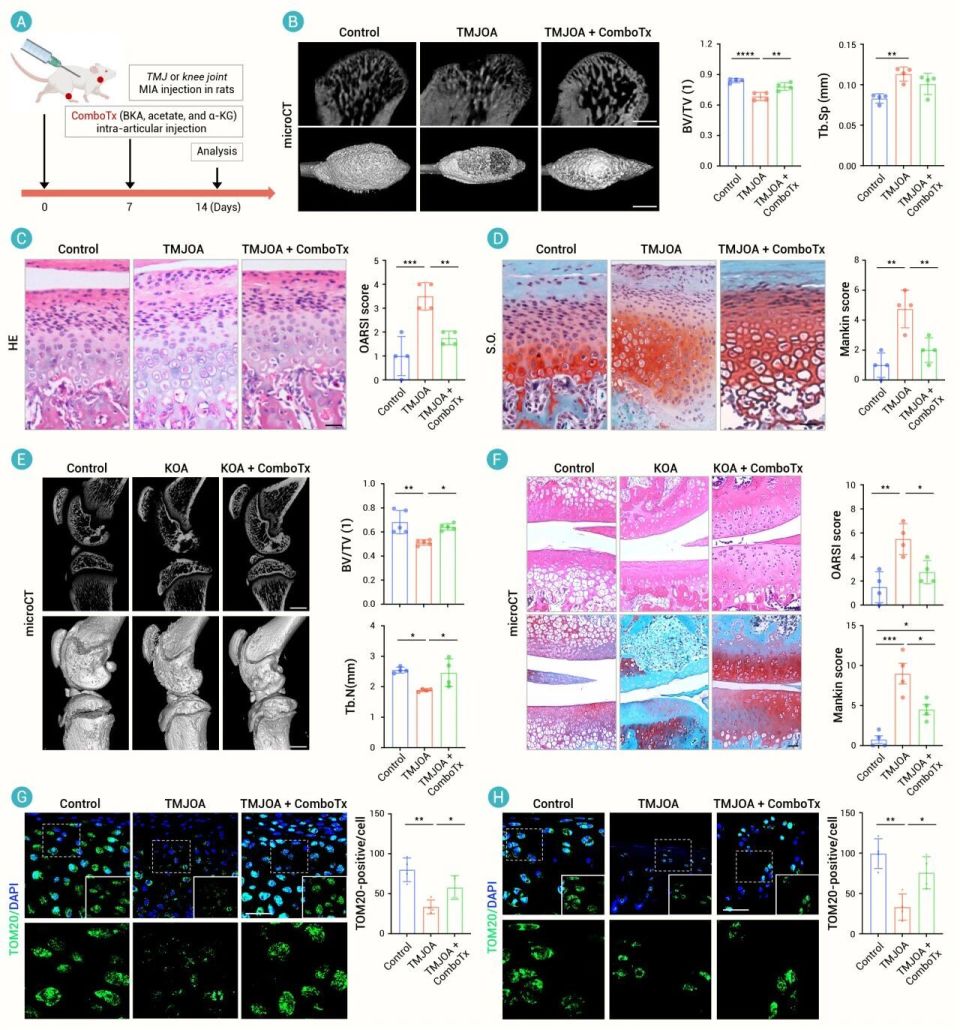
体内验证:体内大鼠模型中也验证了该复合疗法能有效地减轻颞下颌关节和膝关节OA大鼠中高比例hEVs组织囊泡加重的骨关节炎软骨损伤(图8)。

图片

图8 复合疗法可有效改善大鼠OA进展


总结与展望



本研究首次发现并鉴定了颞下颌关节及膝关节OA患者关节液中与疾病进展正相关的炎性融合囊泡,阐明其核心作用:即通过加速糖酵解引发软骨干细胞能量代谢失衡;经ANT1依赖途径抑制软骨细胞线粒体膜电位、诱导线粒体碎片化损伤,从而导致TCA循环代谢物紊乱;最终因乙酰辅酶A和α-酮戊二酸耗竭介导表观调控异常,加速软骨细胞衰老。基于该核心机制研发的复合疗法,有望为OA 治疗提供全新靶向策略。未来团队将进一步探究融合囊泡的形成机制及其在不同OA亚型中的作用,优化复合疗法的给药方案,推动成果向临床转化,期待为OA 患者带来高效的治疗新选择。



责任编辑


王冬耀  中国科学技术大学附属第一医院(安徽省立医院)

王天尧   北京大学第一医院

罗焕焕   The Innovation