Nature:为什么慢性疼痛让人身心俱疲?宾夕法尼亚大学团队揭示“情感-动机性疼痛”回路镇痛机制

慢性疼痛不只是“身体疼”,更是“心里苦”,它带来持续的焦虑、回避和情绪负担,而传统镇痛药(如吗啡)虽能缓解痛苦,却容易成瘾、产生耐受。

最近研究发现,大脑前扣带皮层(ACC)中有一群特殊的“阿片敏感神经元”,专门编码疼痛的情感成分。

基于此,2026年1月7日,宾夕法尼亚大学Gregory Corder研究团队在Nature杂志发表了“Mimicking opioid analgesia in cortical pain circuits”揭示了在皮层疼痛环路中模拟阿片类镇痛作用。

图片

阐明阿片类药物如何改变伤害性神经活动以产生镇痛效应,对于开发更安全、更具靶向性的慢性疼痛治疗方法至关重要。在此,作者发现一群扣带皮层神经元能够编码自发性疼痛相关行为并且可被吗啡选择性调控。通过结合深度学习行为分析与小鼠的长期神经记录,识别出在神经损伤后皮层活动模式发生持续性改变,这种改变反映了令人不快的情感性慢性疼痛状态的出现。吗啡可逆转这些神经病理性神经活动并减轻情感-动机相关行为,但并不影响感觉觉察或反射性反应,这与阿片类药物在人类中缓解疼痛不适感的作用机制相一致。基于上述发现,作者开发了一种受生物学启发的化学遗传学基因疗法:利用合成的μ-阿片受体启动子驱动抑制性基因表达,特异性靶向扣带皮层中对阿片敏感的神经元。这种模拟阿片作用的化学遗传学基因疗法在慢性神经病理性疼痛模型中重现了吗啡的镇痛效果,从而提供了一种精准镇痛的新策略:通过安全、按需的方式,靶向调控关键的伤害性皮层阿片环路,实现高效镇痛。

图片

图一 LUPE:量化自发性疼痛情感维度的新方法

疼痛远不止是“缩脚”那么简单,它包含持续的情感痛苦和动机挣扎,而传统方法只能测反射,无法捕捉这种内在体验。为此,研究者开发了LUPE系统:一个全自动、高精度的行为分析平台,能在黑暗环境中通过红外摄像和AI姿态追踪客观记录自由活动小鼠的细微动作,精准识别静止、行走、理毛、舔左/右后爪等六种行为

在急性疼痛模型中,LUPE仅用2小时就完成了人工需数万分钟才能完成的分析,并能检测到低剂量吗啡(0.5 mg/kg),说明它对疼痛的“情感-动机”层面高度敏感。

更巧妙的是,研究者将行为转换建模为马尔可夫过程,发现受伤小鼠会进入特定的“疼痛状态”,其中一种状态(状态4)会被吗啡剂量依赖性地抑制,提示它代表了一种自发性疼痛维度。基于此,他们构建出一个数据驱动的连续指标 “情感-动机性疼痛量表(AMPS)”,能定量反映疼痛强度及药物缓解效果。

图片

图片
图片

有趣的是,小鼠舔舐伤爪并非简单反射,而是在疼痛状态中有节奏地出现:初期少、中期多、转换前减少,这正符合“闸门控制理论”:主动触碰伤处可激活触觉纤维,抑制痛信号,是一种自我安抚的抗痛策略。LUPE不仅量化了疼痛,还揭示了动物应对疼痛的内在动机行为。

图片

图二 吗啡作用于功能受损的ACC神经元以缓解慢性疼痛

研究人员在小鼠前扣带皮层(Cg1)表达钙指示剂GCaMP8m,通过微型显微镜在LUPE系统中长期追踪神经活动,从坐骨神经损伤(SNI)前1天到术后21天。结果显示,SNI迅速且持续地升高了自发舔舐、疼痛状态占比和情感-动机性疼痛评分(AMPS);而单次低剂量吗啡(0.5 mg/kg)在术后三周仍能显著降低AMPS,说明阿片类药物对慢性疼痛的情感维度依然有效

进一步分析发现,SNI削弱了“Plick神经元”(与舔舐相关的疼痛追踪细胞)对行为和内在状态的编码能力,降低其舔舐选择性;而吗啡不仅逆转这些损伤,还在正常小鼠中增强神经反应。有趣的是,吗啡抑制两类Plick神经元的自发活动,对正向神经元的作用依赖于神经损伤,而对负向神经元则无论是否受伤均被抑制并改变二者比例。

更重要的是,舔舐时的神经反应强度能预测当下的疼痛行为,而吗啡提升神经反应的程度又能预测疼痛缓解效果。这表明:吗啡通过恢复前扣带皮层对疼痛状态的精细分辨能力,在慢性神经病理性疼痛中发挥镇痛作用。

图片

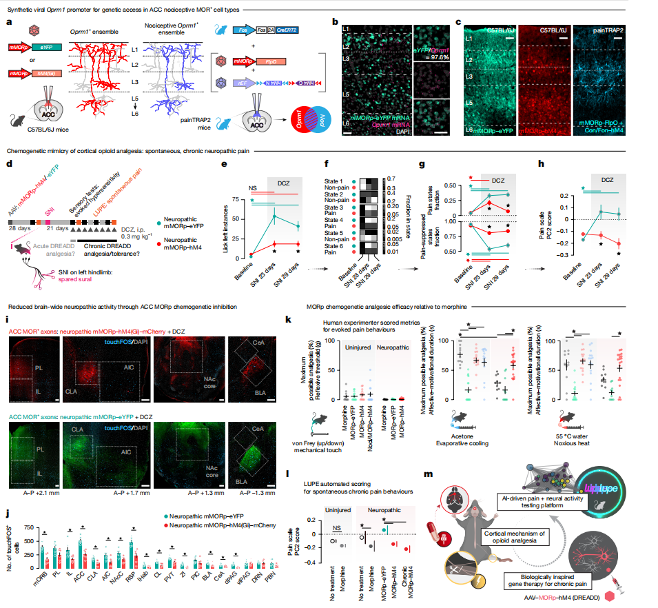
图三 靶向ACC MOR⁺神经元的精准镇痛新策略

为避免全身性阿片类药物的成瘾与副作用,作者开发了一种策略靶向ACC:利用合成的MOR启动子(MORp)驱动hM4Di在ACC中特异性表达于MOR⁺神经元,再通过低剂量DCZ远程、可逆地沉默这些细胞。

SNI小鼠中,该疗法单次给药即可显著降低自发舔舐、高疼痛状态占比和情感-动机性疼痛评分,连续一周给药效果持续且无耐受。更重要的是,它能广泛抑制ACC投射的14个下游脑区的痛觉激活(FOS表达),实现全脑镇痛效应。

行为测试显示:该操作在正常小鼠中无奖赏或厌恶效应,但在疼痛小鼠中产生显著的位置偏好,说明其具有状态依赖性的负强化作用只在疼痛时起效,无成瘾风险。

与系统性吗啡相比,该疗法不仅在缓解冷/热诱发的情感性疼痛上效果相当甚至更优,还能有效减轻吗啡无效的伤害性冷反应。两者均不影响机械阈值,但化学遗传干预更具精准性、持久性和安全性。

总结
本研究通过精准靶向ACC中MOR⁺神经元集群,实现高效、无耐受、无成瘾的情感镇痛,精准抑制ACC中MOR⁺神经元足以模拟吗啡的情感镇痛作用,同时规避其主要风险,为慢性疼痛治疗提供了可转化的环路靶向新策略。

文章来源