重磅研究!中国医学科学院王洁&白桦团队发现肺癌脑转移的关键驱动因子,系统揭示其双重作用机制

2026第五届长三角单细胞论坛

图片

近日,中国医学科学院王洁&白桦团队在国际知名期刊《信号转导与靶向治疗》(Signal Transduction and Targeted Therapy,IF=52.7)发表一项重磅研究揭示了LCN2(脂质运载蛋白-2)在肺癌脑转移中的关键作用:肺癌细胞通过分泌LCN2蛋白与大脑中的星形胶质细胞和巨噬细胞发生相互作用,形成正反馈循环,加速脑转移进程。这一发现不仅解释了为何超过半数的非小细胞肺癌患者会发生中枢神经系统转移,还提供了通过阻断LCN2相关信号通路治疗脑转移的新策略。

研究背景:肺癌脑转移的严峻挑战


脑部是肺癌最常见的远处转移部位之一。在非小细胞肺癌各个病理类型中,腺癌的脑转移率高于鳞癌。一旦发生脑转移,患者不仅面临严重的神经功能障碍,治疗选择也非常有限。

血脑屏障的存在使大多数化疗药物和靶向药物难以在脑内达到有效浓度,让脑转移成为肺癌治疗的重点和难点。传统的放射治疗虽有一定效果,但常导致认知功能下降等严重副作用,影响患者生活质量。

核心发现:LCN2分子脑转移的助推器


图片

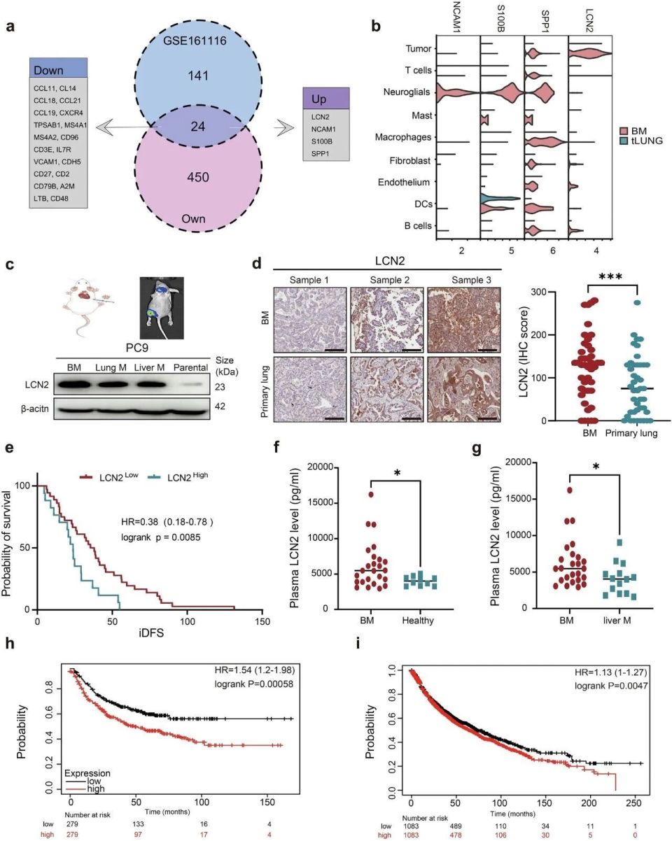
LCN2在脑转移瘤中过度表达,并且与肺癌患者的不良预后相关

研究团队通过对比肺癌原发灶和脑转移灶的基因表达谱,发现LCN2在脑转移灶中显著上调。临床数据分析进一步证实,LCN2高表达的肺癌患者预后明显较差。

在机制上,肿瘤细胞分泌的LCN2与脑内的星形胶质细胞上的受体SLC22A17结合,激活JAK2/STAT3信号通路,诱导星形胶质细胞活化并分泌趋化因子,进而招募巨噬细胞聚集。

这些被招募的巨噬细胞又分泌IL-1β,进一步刺激肿瘤细胞表达更多的LCN2,形成一个恶性正反馈循环,加速脑转移的进展。

图片

LCN2促进脑转移瘤的生长,但不影响肿瘤细胞穿越血脑屏障

图片

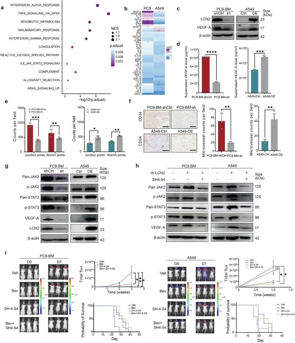
LCN2通过促进血管生成,助力肺癌脑转移的发生

机制解析:LCN2的双重作用机制


图片

LCN2增强了癌细胞与星形胶质细胞之间的相互作用

除了调节肿瘤微环境,LCN2还能直接作用于肿瘤自身。研究发现,LCN2可与肿瘤细胞上的SLC22A17受体结合,激活JAK2/STAT3信号通路,促进血管内皮生长因子A的表达和释放,从而增强肿瘤的新血管生成。

研究人员还发现,LCN2通过促进铁的转运,造成脂肪细胞和肌肉组织铁死亡,这可能是导致癌症恶液质的原因之一。在肺癌恶液质病人和小鼠模型中,机体都高表达LCN2,并与疾病进展显著相关。

图片

LCN2通过介入JAK2/STAT3信号通路来激活星形胶质细胞

精准治疗:靶向LCN2新策略


基于上述机制,研究团队测试了多种靶向治疗策略。研究发现,STAT3抑制剂SH4-54能显著抑制脑转移瘤生长,无论是单独使用还是与IL-1受体拮抗剂anakinra联合使用。

此外,抗VEGF抗体贝伐珠单抗也能有效抑制LCN2驱动的肿瘤血管生成,而抑制铁死亡也能有效缓解恶液质症状。值得注意的是,研究发现anakinra仅在预防性给药时能抑制脑转移形成,而对已形成的转移瘤效果有限,这提示治疗时机选择的重要性。

研究意义与未来展望


该研究表明LCN2不仅是肺癌脑转移的关键驱动因子,也是一个潜在的预后生物标志物和治疗靶点。针对LCN2信号通路的治疗策略,为肺癌脑转移患者带来了新的希望。

随着更多针对LCN2通路的药物进入临床研究,肺癌脑转移这一难题有望得到更好的解决。未来研究方向包括开发更具血脑屏障穿透性的LCN2靶向药物,以及探索这些药物与现有疗法的联合使用策略。


https://www.nature.com/articles/s41392-025-02514-2