步履新生丨从“垫高5厘米”到“脚踏实地”:一位28岁患者的双髋精准重建之路

28岁,本该是自在行走、奔赴热爱的年纪,但对这位青年来说,双髋的剧痛与失衡,曾让他的每一步都格外沉重。4年来,双髋疼痛逐年加重,活动越来越受限,先天性髋关节发育不良继发的骨关节炎,悄悄偷走了他行走的自由。


近日,西安市红会医院骨坏死与关节重建病区郝阳泉教授团队凭借前沿技术与精湛医术,成功实施右侧高难度髋关节置换手术,实现双下肢精准等长,让患者重获“脚踏实地”的行走尊严,彰显国内复杂关节重建领域的领先实力。


图片

分期攻坚,破解双侧重症难题


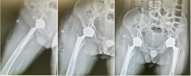
患者四年前出现双髋疼痛伴活动受限,症状渐进性加重,生活质量严重受影响。2025年5月,郝阳泉教授团队先对疼痛更剧的左侧髋关节实施全髋关节置换术,迅速解除患者左侧病痛,为后续治疗奠定基础。但由于患者右侧髋关节存在更严重的骨缺损与股骨头上移,导致双侧肢体长度差异显著,术后需通过左鞋垫高5厘米维持平衡,彻底解决双侧关节问题成为团队面临的核心挑战。


图片


面对这一复杂病例,郝阳泉教授团队制定了科学的分期治疗策略,在首次手术与二次手术间隔期,精准指导患者进行科学代偿,既保障了患者过渡期的行走安全,更为二次手术的精准实施预留了最佳条件,体现了团队对复杂关节疾病的系统性诊疗思维与成熟临床经验。


图片


三维赋能,铸就毫米级精准手术


12月,针对不等长的“罪魁祸首”——右侧髋关节,郝阳泉教授团队亮出“精准医疗”利器,以三大核心技术突破实现手术精度与疗效的双重飞跃:


术前三维精准规划:依托CT三维重建与3D打印技术,1:1复刻病变关节模型,在模型上完成手术“沙盘推演”,精准测算肢体延长所需的长度与角度参数,为术中操作绘制毫米级“路线图”,从源头规避手术误差。


图片


微创入路保障视野:采用DAA直接前方入路,经肌肉间隙微创进入病灶,既减少了手术创伤与出血量,更凭借前方清晰视野,实现术中双下肢长度的实时精准比对与关节稳定性测试,为等长重建提供关键保障。


图片


术式创新突破瓶颈:面对髋臼发育不良、股骨头上移的复杂情况,团队借助3D导航技术,一方面将髋臼杯精准植入正常解剖位置,重建髋关节旋转中心;另一方面创新采用“阶梯化肌肉松解”技术,在完整保护软组织的前提下,无需股骨截骨即可将股骨远端轻柔下拉至预定位置,完美矫正肢体短缩。


整套手术流程环环相扣、精准可控,将右侧肢体与左侧已置换关节的长度误差控制在临床可忽略的毫米级范围内,实现了从“代偿平衡”到“解剖平衡”的本质跨越,展现了团队在3D打印个体化规划与微创技术融合应用上的深厚造诣。


立竿见影,彰显快速康复实力


图片


手术成效在术后即刻显现:术中直接测量确认双下肢长度完全对称,困扰患者的5厘米差距被精准消除;术后第3天,患者便成功扔掉增高垫,在助行器辅助下实现双足平稳着地行走。得益于微创手术的创伤优势与团队的快速康复方案,患者术后疼痛轻、肌力恢复迅速,步态训练进展显著,很快实现协调行走。


图片


此次双髋序贯精准重建的圆满成功,不仅是郝阳泉教授团队技术实力的集中体现——从复杂病例的系统评估、分期诊疗,到前沿技术的创新应用、毫米级精准操作,每一个环节都彰显了团队在复杂关节重建领域的领先水平;更印证了团队将个体化精准医疗与快速康复理念深度融合的诊疗特色。未来,骨坏死与关节重建病区将持续以先进技术为支撑,为更多双侧髋关节重症患者提供“行走的平等与尊严”,筑牢国内骨坏死与关节重建领域的技术高地。


来源:关节病医院骨坏死与关节重建病区

作者:李欢欢、谈雯雯

编辑:李政、张思靖

审核:辛源