mNGS 报告判读:如何鉴别致病菌、定植菌?

图片


引言

下呼吸道感染(LRTI)/肺部感染的精准诊断始终是临床实践中的核心挑战与「痛点」。


传统微生物学检查(涂片、培养)的阳性率低、耗时长,而临床经验性抗感染治疗在免疫抑制、罕见病原体、结构性肺病等复杂肺部感染中常常折戟沉沙。支气管肺泡灌洗液(BALF)宏基因组下一代测序(mNGS)技术的出现,以其无偏倚、广覆盖、快速报告的特点,为病原学诊断开启了新篇章。


然而,一份包含多种微生物名称、带有序列数、丰度等参数的 BALF mNGS 报告,更像是有待破译的「达芬奇密码」,给临床医生带来了新「难点」:如何去伪存真、正确解读?


错误的解读,可能导致过度治疗、资源浪费,甚至贻误诊治。本文旨在从临床实战角度出发,结合近年权威共识与文献,系统探讨如何将复杂的 mNGS 报告转化为精准的临床决策。


1



理解技术「边界」: mNGS 并不完美


在解读报告前,必须清醒地认识到 mNGS 的技术局限性,阳性 ≠ 确诊,这是我们建立批判性思维的基石。


1

敏感性高,但无法区分死活:mNGS 可以检测到微生物的核酸片段,但这不代表其具有活性。检测到的可能是已经死亡的定植菌、环境污染物或既往感染的「遗迹」---- 微生物死亡崩解产生的 DNA 残片。

2

半定量意义的相对性:序列数(reads)与微生物载量大致正相关,但受限于微生物本身(如细胞壁厚度影响核酸提取效率)、宿主背景(人源细胞比例)及建库过程,其绝对值在不同样本、不同平台间可比性有限。横向比较(同一份报告中不同微生物的序列数)比纵向比较(不同样本的序列数)更具参考价值[1]

3

背景噪音与污染:试剂、环境和操作流程引入的背景微生物难以完全避免。实验室会建立背景菌数据库,但临床医生需熟知常见的「污染菌」,如念珠菌属、链球菌属、肠球菌属、奈瑟菌属等。当这些微生物以低序列数出现时,应高度怀疑其临床意义[2]


2



实战四步法:从「数据」到「决策」


理论上,肺泡灌洗液应是无菌样本,但是由于取样、转运、操作的不规范,也会存在污染或定植问题[3]


面对一份 BALF NGS 报告,建议遵循以下四步法进行系统性解读。


第一步:锁定「真凶」——高序列数、高特异性的病原体


典型病原体:当报告中出现结核分枝杆菌复合群、鼻疽伯克霍尔德菌、诺卡菌、军团菌等严格致病菌,检出一条特异性序列即可考虑是致病病原体[3],如序列数较高则更考虑致病病原体。

序列数阈值:对于细菌,通常认为严格比对序列数 > 10~50(不同平台有差异)具有初步参考意义。但对于上述特殊病原体,即使序列数较低,也需结合临床评估。


第二步:审视「条件致病菌」——结合临床背景权衡


这是解读中最具挑战性的部分,主要包括铜绿假单胞菌肺炎克雷伯菌、金黄色葡萄球菌、耶氏肺孢子菌等。


序列数对比:若某一种条件致病菌的序列数显著高于报告中其他所有微生物(例如,烟曲霉序列数 90,000 多,而其他菌均 < 10),则其为致病原的可能性大大增加。

宿主因素:在基础疾病繁多、免疫抑制患者检出条件病原体需要充分重视,如在免疫缺陷患者中检出高序列数耶氏肺孢子菌时感染可能性大,而免疫健全或免疫轻度抑制患者(如 COPD 患者)检测出低序列数耶氏肺孢子菌时则更可能为定植[4]


第三步:识别「干扰信号」——低序列数与背景菌


口腔定植菌:韦荣球菌、普雷沃菌属、奈瑟菌等,通常以中低序列数出现,尤其在灌洗质量不佳(回收液少、受上气道分泌物严重污染)时。单独出现且序列数低时,多无临床意义。

环境污染物:如前所述的试剂背景菌。若报告中充斥着多种低序列数的环境微生物,而缺乏一个明确的「优势菌」,则更可能提示样本污染或非感染性疾病。


第四步:整合「证据链」,综合决策——构建完整的临床拼图


最关键的一步,将 mNGS 结果置于宏大的临床背景中综合判断:


1

宿主免疫状态与临床背景:患者是免疫正常还是轻度或严重免疫抑制(如移植、HIV、长期使用激素/免疫抑制剂、粒缺等)?这直接决定了需要警惕的病原谱。免疫正常宿主,社区呼吸道病毒、典型细菌(肺炎链球菌、肺炎支原体等)是重点;免疫抑制宿主,则需对曲霉、诺卡菌、巨细胞病毒等保持极高警惕[5]

2

影像学特征:mNGS 结果与影像学表现是否匹配?例如,报告提示结核分枝杆菌,而影像为树芽征、空洞,上肺分布为主,则高度吻合;若报告仅有口腔定植菌,而影像为晕征、空气新月征,则需怀疑曲霉未被检出。

3

传统微生物学结果:BALF mNGS 并非确诊金标准,并不能取代基于传统培养、涂片、免疫学或 PCR 等病原诊断方法。血/BALF-GM 试验、血清 G 试验、培养、涂片是 mNGS 结果的「试金石」。两者一致,则可能性大增;两者矛盾,则需深入分析矛盾原因(如前抗生素治疗对培养的影响等)。例如 mNGS 检测到肺孢子菌时,G 试验联合血 LDH 检测在鉴别定植或感染上具有重要的参考价值[6]。mNGS 在隐球菌检测上存在一定假阴性,而隐球菌荚膜多糖抗原在诊断隐球菌感染中敏感度和特异度俱佳[7]

4

对治疗的反应:这是最终的验证。如果根据 mNGS 报告的「优势病原体」进行针对性治疗后,患者临床迅速改善,则证实了判断解读的正确性。


3



典型案例实战分析


案例一(免疫抑制患者发热的「黑手」):


病情:


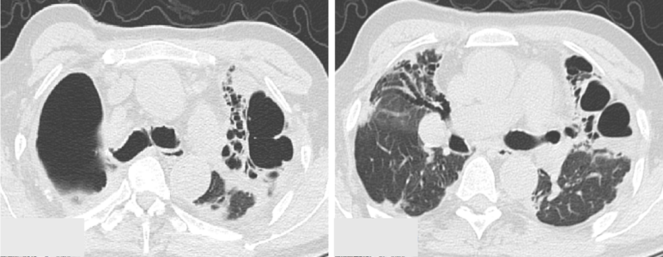
女性 55 岁,原有系统性红斑狼疮(SLE)史,长期口服甲泼尼龙 8 mg bid,因发热胸闷 1 周入院。入院查胸部 CT 示右下肺球状渗出实变影(图 1),较前新增。


图片

图 1 2 个多月 CT 示左下肺条索影(A);本次入院 CT 示右下肺大片实变影伴少许晕征(B-C)


经患者存在免疫抑制(SLE长期口服激素),高热、气急伴低氧急性起病,影像学疑似曲霉感染,予伏立康唑经验性抗曲霉治疗,同时予美罗培南经验性抗菌治疗。


治疗 3 天后,患者仍有高热伴胸闷气急,血 GM(-)、曲霉特异性 IgG(-),不支持曲霉感染,遂予气管镜 BALF mNGS 检测。


BALF mNGS:


图片


解读: 


脓肿诺卡菌:广泛存在于土壤、水和腐生有机物中。诺卡菌肺炎常见于长期激素及免疫抑制剂治疗、肺基础疾病、恶性肿瘤、糖尿病等患者,影像学主要表现为单发或多发结节、实变与空洞[8]。对于诺卡菌等严格致病菌,mNGS 检出一条特异性序列即可考虑是致病病原体[3]。本患者免疫抑制 + 难治性肺炎 + 结节影像 + mNGS 检出诺卡,基本可诊断。

铜绿假单胞菌:序列数较低,考虑定植或污染;

白色念珠菌:念珠菌肺炎非常罕见,呼吸道标本检出念珠菌大部分情况下属于定植[9,10],通常无需特殊治疗。但肺部细菌感染经恰当抗菌药物治疗无效、下呼吸道标本多次念珠菌培养阳性,则应考虑念珠菌气管-支气管炎或肺炎可能,可酌情考虑经验性抗念珠菌治疗[11]。患者存在免疫抑制且长期使用激素,mNGS 检出高序列数,存在念珠菌感染风险。

EBV:EB 病毒在人群中的潜伏感染率超过 95%,且潜伏感染可持续终身,严重的细菌/真菌感染、剧烈的炎症状态或免疫抑制,都可能导致体内潜伏的EB病毒被大量复制。病毒本身会加重局部炎症,可能使肺部病情更加复杂和难以控制。检出 EBV 提示体内的免疫系统正处于严重的失衡或应激状态。目前无特效药,治疗核心是控制好细菌和真菌原发感染,减轻整体炎症负荷,其载量有望随之下降。

单纯疱疹病毒(HSV):HSV 肺炎罕见,主要见于免疫抑制患者,可导致重症肺炎与死亡,HSV 肺炎主要表现为实变伴支气管充气征[12,13]。本例影像学似不完全相符,且序列数不高,暂不予干预;

巨细胞病毒(CMV):人群中普遍存在 CMV 感染,感染率高达 83%。当机体免疫功能下降时,潜伏性感染的 CMV 可发生再活化,转化为活动性感染,多见于器官移植术后、感染性休克以及急性呼吸窘迫综合征等重症患者。CMV 肺炎的诊断一般要求符合以下 4 条:免疫抑制宿主、特异性临床表现(发热、咳嗽、呼吸困难等)、CT 表现为 GGO、结节影及支气管充气征、血/BALF 分子生物学检测阳性[14]。本患者 CMV 序列数不高,CMV 肺炎存疑,有待进一步追踪随访。


最终诊断:


诺卡菌肺炎,予 SMZ + 利奈唑胺治疗后,患者热退,病情好转出院。


案例二(结构性肺病的「陷阱」):


病情:


81 岁老年男性,原有慢阻肺病、支气管扩张史,因咳嗽气喘加重伴发热 1 周入院,CT 示支扩伴感染、肺大泡(图 2)。


图片

图 2 入院 CT 示示支气管扩张伴感染、肺大泡,肺结构扭曲破坏。


入院后予哌拉西林/他唑巴坦、全身性激素、雾化 SABA/SAMA/ICS 等治疗咳嗽好转,热退,但入院第 5 天又发热,咳嗽气喘加重,遂予气管镜检查,BALF mNGS 检查。


BALF mNGS: 


图片


解读: 


脓肿分枝杆菌:属于条件致病菌,在自然环境及水源中广泛存在,也可能为环境污染菌,如检出,需要结合微生物库和 mNGS 原始细菌列表进行结果判读,如排除污染且序列数较高,结合临床及影像学表现则有临床意义[3]。支扩患者易合并 NTM 感染,女性相对多见,CT 影像学多表现为结节影、斑片及小斑片样实变影、空洞影、支气管扩张影、树芽征等[15],本例似乎不完全相符,且 NTM 序列数较低,所以考虑为环境污染菌。

铜绿假单胞菌:慢性结构性肺病,特别是支扩患者,铜绿假单胞菌定植与感染很常见,如以绝对优势序列数出现,高度提示其为本次急性加重的原因,但目前序列数较低,考虑不是本次发热的主因。

木糖氧化无色杆菌:条件致病菌,毒力低,序列数低,考虑污染可能性较大,暂不干预。

EBV:意义有限。

烟曲霉:曲霉属于厚壁微生物,mNGS 检测易出现假阴性或低序列数。在无宿主免疫抑制、影像无典型真菌感染征象(如空洞、晕征)的情况下,更可能为气道定植或环境污染,无需抗真菌治疗。本例序列数虽然仅 83,而患者有慢性结构性肺病基础,存在轻度免疫抑制(激素使用),经激素、广谱抗生素等初始治疗病情反复,结合 BALF 真菌培养:曲霉(+),虽 BALF GM 0.425(参考值 < 0.50),但曲霉特异性 IgG(+),多项证据指向曲霉感染。


最终诊断:


慢性肺曲霉病(CPA), 予伏立康唑抗曲霉治疗,患者热退,咳嗽气喘好转,支持诊断。


案例三(重症肺炎的「真凶」):


病情:


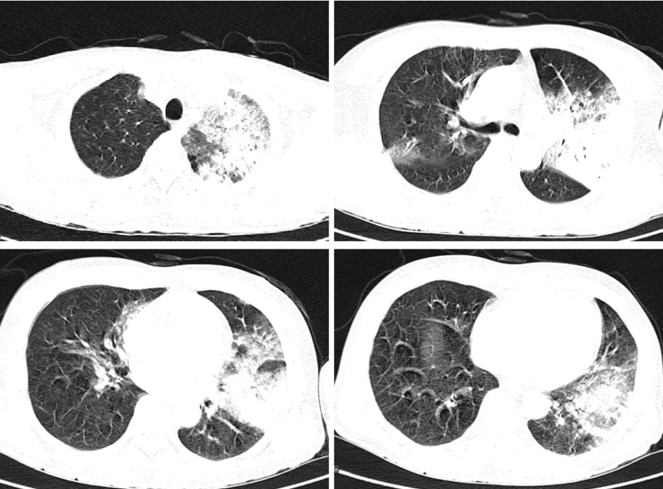
55 岁男性,既往体健。因发热、咳嗽伴意识模糊 3 天入院。患者 1 周前到外地出差,在当地出现神志模糊,2 天前回本地,热峰 40 ℃,伴干咳、胸闷、乏力与反应迟钝、小便失禁;来我院急诊抢救室时已严重呼吸衰竭意识不清,遂予气管插管、机械通气收入院。CT 提示两肺多发渗出(图 3)。


图片

图 3 两肺多发渗出,以左肺为主。


入院后予亚胺培南/西司他丁 + 莫西沙星联合抗感染治疗,但仍有高热,氧合无好转。气道分泌物培养(-),遂予气管镜检查,BALF 送 mNGS。


BALF mNGS: 


图片


解读:


患者重症社区获得性肺炎(sCAP)诊断明确,经初始治疗效果不佳,mNGS 检出多种微生物,但序列数均较低。


脓肿分枝杆菌:序列数较低,考虑污染,且 NTM 很少表现为重症肺炎,临床表现与影像学不符;

阴沟肠杆菌:条件致病菌,序列数极低,且经亚胺培南治疗无反应,意义不大,不考虑致病原;

铜绿假单胞菌:同上;

军团菌:广泛存在于自然界中,机会致病菌,因吸入含有军团菌的气溶胶而感染致病,具有高致病性,主要导致重症肺炎,常规培养困难。本患者有旅行史,病情进展迅速,合并呼吸衰竭与休克,肝肾功能受损,伴有轻度的低钠血症,影像学主要表现为实变,符合军团菌肺炎的临床表现。


最终诊断:


军团菌肺炎,联合阿奇霉素治疗后,病情逐渐好转,最终顺利脱机拔管出院。


4



总结


BALF mNGS 是一柄强大的「利器」,但它不能替代临床医生的批判性思维,正确的解读是一个动态的、综合的决策过程:


1

从「看见」到「看懂」:不仅要看报告列出了什么,更要理解序列数背后的生物学和技术含义。

2

从「单一」到「整合」:绝不孤立地看待 mNGS 结果,必须将其嵌入宿主免疫状态、临床表现、影像、传统微生物学和治疗反应的完整证据链中。

3

从「诊断」到「决策」:最终目标不是简单的「相信报告」,而是基于所有可用信息,形成最合理的病因推断,必要时 MDT 讨论,并据此制定个体化的抗感染治疗方案。


mNGS 是呼吸科的利器,解读不当可能变成「误诊陷阱」。应牢记以下五点:


1

序列数高不一定感染;

2

判断细菌要结合宿主免疫状态、临床表现和影像;

3

矛盾时信互补证据;

4

病毒/真菌看临床意义;

5

解读流程应系统化。


最终,治疗决策还得回归患者整体情况,阳性 ≠ 确诊,进行多维度、个体化解读,不能见风就是雨,见一个打一个,多问几个为什么,mNGS 结果应审慎判断。



策划:超超

题图:站酷海洛