北理工团队提出一种由健康被试到运动障碍患者迁移学习的脑电解码新方法

近日,北京理工大学机械与车辆学院毕路拯教授团队以“EEG-Based Movement Decoding in Motor-Impaired Patients by Extracting and Aligning Neural Patterns with Healthy Individuals”为题提出了一种基于“健康被试→运动功能障碍患者”迁移学习的脑电运动解码模型 TL-ME,为运动障碍患者的神经康复与运动辅助提供了创新解决方案。该论文已在《IEEE Journal of Biomedical and Health Informatics》出版(DOI: 10.1109/JBHI.2025.3637053)。论文第一作者为其团队王佳蓉博士。

图片

论文链接:https://ieeexplore.ieee.org/document/11269682

01

论文摘要


从脑电图(EEG)信号中解码人类运动意图,对于脑机接口(BCI)在运动神经康复、主动辅助和功能增强等领域的应用至关重要。然而,当前 BCI 模型在面向运动障碍患者时面临两大挑战:

1)患者的长时间 EEG 数据采集存在困难;

2)健康人与患者在脑功能结构和运动行为上的差异,限制了基于健康人 EEG 数据训练的模型的泛化能力。

为应对这些挑战,本研究提出一种基于迁移学习的模型 TL-ME(Transfer Learning for Movement Execution),旨在搭建健康人与患者 EEG 数据之间的桥梁,提升患者的运动解码准确率。该模型整合了基于注意力机制的特征提取器、对抗域判别器、多源选择模块和运动分类器,实现从健康人 EEG 数据(源域)到患者 EEG 数据(目标域)的知识迁移。研究通过时域和频谱可视化,探究了健康人与患者在相同运动任务下的脑激活模式。实验结果表明,TL-ME 使上肢运动解码准确率提升 10.8%,且模型各模块均对性能提升有积极贡献;可视化分析证实了跨域存在相似的脑激活模式,验证了健康人 EEG 数据向患者专属模型迁移的可行性。本研究提出了一种创新的跨人群迁移学习方法,借助健康人 EEG 数据增强运动障碍患者的神经解码性能,填补了 BCI 神经康复领域中实验室研究与实际应用之间的鸿沟。

02

研究背景及主要内容


运动 BCI 通过解码神经信号中的自主运动意图,可实现运动功能的增强、替代或补偿,在脑卒中后康复、脊髓损伤患者日常运动辅助等场景具有不可替代的应用价值。据临床数据显示,脑卒中后约 70% 患者会遗留上肢运动功能障碍,而传统康复训练依赖治疗师一对一指导,效率有限且难以个性化适配患者神经状态。现有运动解码模型多基于健康人数据训练,但运动障碍患者因肌肉痉挛、易疲劳、认知功能受损等生理因素,不仅长期 EEG 数据采集难度极大(单次实验耐受时间通常不超过 2 小时),且其脑功能结构(如病灶区域导致的神经通路重构)与运动行为模式(如代偿性运动)和健康人存在显著差异,导致现有模型直接应用时解码准确率大幅下降,难以满足临床康复需求。

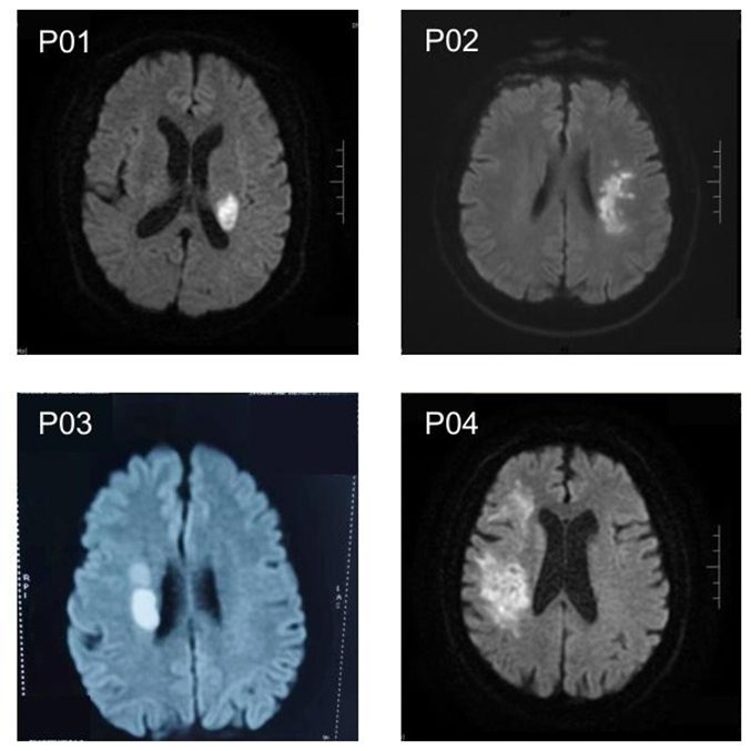
图片

图1  四名患者的磁共振成像(MRI)图像。图中亮度增强的不对称区域与脑部多发性缺血性梗死病灶相符。


针对上述核心问题,团队基于“健康人与患者在执行或尝试执行运动任务时存在相似神经激活模式”的神经科学发现,提出 TL-ME 迁移学习模型,通过跨域知识迁移解决患者数据不足与模型泛化性难题。同时,为精准匹配临床康复场景,设计了针对性实验范式与模型架构,关键细节如下:

受试者与病灶特征(图 1):实验招募 4 名单侧上肢运动障碍患者(均为缺血性脑卒中,Fugl-Meyer 评分 24-43 分,评分越低功能障碍越严重),其脑部 MRI 图像(图 1)显示,亮度增强的不对称区域集中于基底节区、侧脑室旁等运动功能关键脑区,与患者上肢运动障碍症状直接相关,为实验任务设计与神经信号解码提供了临床病理依据。所有患者均处于非急性或亚急性期,具备基本配合能力,符合伦理审批要求(青岛海慈医院伦理批号:2024HC01LS16)。

图片

图2 运动功能障碍患者双侧上肢运动实验范式


实验范式与数据采集(图 2):设计三类贴合临床康复的运动任务(图 2 (b)):患肢水平外展、健肢补偿运动、双侧肢体协同运动,对应脑卒中患者康复的核心训练目标。实验流程分为休息、准备、运动、放松四个阶段(图 2 (c)),总时长 14 秒,其中运动阶段同步采集 EEG 信号。数据采集采用 32 通道 EEG 设备,遵循国际 10-20 系统标准,覆盖额、中央、顶叶等运动相关脑区,采样频率 1000Hz,参考电极设为 CPz,接地电极为 AFz,电极阻抗控制在 10KΩ以下,确保信号质量。考虑患者耐受度,每类任务仅采集 50 个样本(健康人每类任务 80 个样本),通过任务随机交替避免学习效应。

图片

图3 TL-ME模型结构图


TL-ME 模型架构(图 3):模型以 ME-NET 为基础,创新整合四大核心模块,实现健康人到患者的高效知识迁移:

注意力特征提取器:融合运动相关皮质电位(MRCP,编码时序信息)与事件相关同步 / 去同步(ERS/D,编码频谱信息),通过查询(ModuleQ)、键(ModuleK)、值(ModuleV)模块实现跨域特征映射,再经线性投影模块(ModuleP)将源域与目标域特征投射至共同深度空间,强化任务相关特征对齐。

对抗域鉴别器:借鉴生成对抗网络思想,引入梯度反转层(GRL),通过域分类损失(LD)最小化源域与目标域的特征分布差异,让鉴别器难以区分特征来源,从而实现域自适应。

图片

图4 多源选择过程的示意图


多源选择模块(图4):将每名健康人的 EEG 数据视为独立源域,采用互信息(MI)与最大均值差异(MMD)联合度量,筛选出与患者特征分布最接近的数据源,避免负迁移并降低计算负荷。

轻量化运动分类器:保留浅 CNN 结构,新增 Dropout 单元抑制小样本过拟合,结合源域与目标域分类损失(LC)优化,实现三类运动任务的精准解码。

模型训练分三步优化:先通过多源选择筛选适配健康人数据,再优化域鉴别器实现特征对齐,最后联合源域与目标域数据训练分类器,确保在患者小样本数据下仍能保持高解码性能。

03

研究结果


本研究通过特征可视化、性能对比、消融实验等多维度验证了 TL-ME 模型的有效性,核心结果如下:

1. 特征可视化验证跨域迁移可行性(图 5、图 6)

时序特征一致性(图 5):健康人与患者在三类运动任务中均表现出典型的运动相关皮质电位(MRCP)特征——运动起始阶段出现显著负偏移。通过 Pearson 相关系数量化显示,患肢、健肢、双侧肢体运动的 MRCP 相关系数分别达 0.59、0.42、0.73,证实两者时序激活模式高度相似。与健康人相比,患者的 MRCP 负偏移幅度更大(反映运动时更高的脑激活强度),且峰值出现时间更晚(归因于认知与运动功能受损导致的响应延迟),这一差异也为模型优化提供了生理依据。

图片

图5源域(健康被试)和目标域(运动功能障碍患者)时域波形对比结果


图片

图6 源域(健康被试)和目标域(运动功能障碍患者)时频分析结果对比


频谱特征相似性(图 6):时频分析显示,健康人运动执行与患者运动尝试时,均出现低频段功率升高、mu 节律(8-13Hz)与低 beta 节律(13-30Hz)事件相关去同步(ERD)特征。余弦相似度计算结果显示,三类任务的频谱特征相似度达 0.87-0.89,表明两者功率分布与频谱趋势高度契合。差异在于健康人的 ERD 集中于 mu 节律,而患者的 ERD 覆盖更宽频率带,与患者运动及心理负荷更高的临床特征一致。

2. 解码性能优于基线模型(表 1)

表 1呈现了 TL-ME 与基线模型、主流迁移学习 SOTA 模型的性能对比,以及各模块的消融实验结果:与无迁移学习的基线模型 ME-NET 相比,TL-ME 的平均解码准确率从 61.3%±3.7 提升至 72.1%±7.0,显著提升 10.8%,远超随机水平(33.3%);相较于 3 种 SOTA 迁移学习模型(Zhang et al. 2021、Miao et al. 2023、Wang et al. 2024),TL-ME 分别实现 5.8%、8.8%、5.0% 的性能超越,凸显跨域迁移策略的有效性;消融实验证实,移除注意力对齐、域自适应、多源选择任一模块后,模型准确率均出现不同程度下降(最低降至 61.2%±9.4),其中域自适应模块对性能影响最为关键,验证了四个模块各自的有效性。

表1  TL-ME 与基线方法的解码性能对比以及消融实验结果

图片

3. 域对齐有效缩小跨域特征差异(图 7)

通过 t-SNE 降维可视化(图 7)展现了 TL-ME 的域自适应效果:

图片

图7 源域和目标域对齐前后的特征分布可视化


域对齐前(左图):健康人(蓝色)与患者(红色)的特征分布离散,不同运动任务的特征簇相互重叠,跨域差异显著;域对齐后(右图):经注意力映射与对抗域鉴别器优化,源域与目标域的特征簇高度聚合,三类运动任务的边界清晰可分,表明模型成功学习到跨人群的域不变特征,为精准解码奠定基础。

此外,多源选择实验表明,基于 MI-MMD 联合度量筛选的健康人数据源,能使模型性能显著优于随机选择(部分患者准确率提升超 10%);实时性测试显示,TL-ME 单样本平均计算时间仅 0.94±0.29ms,完全满足在线康复系统的实时性要求。

04

研究贡献及前景


本研究提出了跨人群 EEG 运动解码的新型迁移学习框架,首次通过多源选择与域自适应策略解决了运动障碍患者数据不足与模型泛化性问题,为神经康复领域的 BCI 技术落地提供了关键技术支撑。该模型可直接集成于在线康复系统,实现实时运动意图解码与外设控制,未来可通过扩充健康人数据库、在线微调模型、融合多模态信号等方式进一步提升性能。

05

更多研究成果


为了推进脑机接口和脑控机器迈向真实的应用场景,北京理工大学毕路拯教授团队一直致力于自然场景下的脑机接口、脑机混合智能和脑机协同控制的理论、方法和应用研究。在脑机接口方面,该团队关于考虑注意状态的运动意图分层解码模型曾发表于国际顶级期刊《IEEE Transactions on Neural Systems and Rehabilitation Engineering》,参考《北理工团队在推动运动意图神经解码走向真实应用场景方面取得研究进展,关于单手和双手协同运动的神经解码成果曾发表于生物医学工程领域旗舰期刊《IEEE Transactions on Biomedical Engineering》,参考《如何对单手和双手协同运动方向进行神经表征和解码?北理工研究团队给出了相关方案,所提出的神经活动驱动的深度学习解码模型曾发表发表于国际期刊《IEEE Transactions on Neural Systems and Rehabilitation Engineering》,参考《北理工团队提出一种神经表征驱动的手部运动解码深度学习模型》。关于不同注意力状态下运动意图的鲁棒神经解码研究曾发表于生物医学工程领域旗舰期刊《IEEE Transactions on Biomedical Engineering》,参考《北理工团队在不同注意力状态下肢体运动意图的鲁棒神经解码方面取得重要研究进展,该论文也获得2022世界机器人大赛-BCI脑控机器人大赛一青年论文比赛一等奖(唯一),关于非侵入式神经信号的连续运动解码曾发表于国际顶级期刊《IEEE Transactions on Neural Systems and Rehabilitation Engineering》,参考《北理工团队在基于非侵入式神经信号的连续运动解码方面取得新进展》,所创建的自然场景下声音目标探测的听觉脑机接口曾发表发表于国际顶级期刊《IEEE Transactions on Neural Systems and Rehabilitation Engineering》,参考《北理工团队创建自然场景下声音目标探测的听觉脑机接口。在脑机协同控制方面,该团队所创建的多任务操控的脑机协同控制方法并应用于智能车辆的研究曾发表在被国际顶级期刊《IEEE Transactions on Systems, Man, and Cybernetics: Systems》,参考《北理工团队创建面向多任务操控的脑机协同控制方法并应用于智能车辆》,创建的脑机协同控制框架以及在脑智能车辆上的应用研究曾发表于国际顶级期刊《IEEE Transactions on Intelligent Transportation Systems》,参考《北理工研究团队在脑机协同控制技术与脑控智能车辆方面取得重要进展》,所提出的基于鲁棒非线性模型预测的脑机协同控制方法以及在脑移动机器人上的应用研究曾发表于国际顶级期刊《IEEE Transactions on Cybernetics》,参考《北理工研究团队在脑-控移动机器人上取得重要进展此外,该团队首创的脑控空地协同多无人系统入选2023年世界机器人大赛十大创新成果。在脑机混合智能感知方面,提出了面向低质量视频目标检测的鲁棒脑机接口,发表于《Cyborg and Bionic Systems》,参考《北理工团队研发一种面向低质量视频目标检测的脑机接口技术该论文也获得2024世界机器人大赛-BCI脑控机器人大赛一青年论文比赛特等奖(第一名)。


团队与作者简介

北京理工大学智能人机系统团队隶属于北京理工大学机械与车辆学院机电系统与装备研究所。团队由5名教师和30余名博士后、博士和硕士研究生组成,负责人为毕路拯教授。团队主要研究方向包括脑机接口与脑控智能机器、多机器人协同、类脑触觉与听觉、多模态智能感知等。团队在包括国际权威期刊IEEE TCYB, TBME, TITS, TSMCS, TNSRE和THMS等发表论文120余篇。获授权国家发明专利30多项。获北京市自然科学奖二等奖、教育部自然科学奖二等奖,中国仿真学会自然科学奖二等奖、中国电子学会科技进步二等奖。获得2024和2022年世界机器人大会-BCI脑控机器人大赛-青年论文比赛第一名(唯一)。获第九届中国国际“互联网+”大学生创新创业大赛金奖;首届“京彩大创”北京大学生创新创业总决赛季军和第八届中国国际“互联网+”大学生创新创业大赛全国铜奖;2023年挑战杯全国银奖。

毕路拯教授简介

毕路拯现为北京理工大学机械与车辆学院教授、博士生导师、机电系统与装备研究所所长。担任中国人类工效学学会人机工程专委会副主任委员、中国脑机接口产业联盟数据与基础软件工作组副主席、中国计算机学会智能汽车分会专委会常委委员等。任中科院一区TOP期刊Expert Systems with Applications和Cyborg and Bionic Systems等期刊的AE。

仅用于学术分享,若侵权请留言,即时删侵!