如何在肺 CT 上一眼识别致病菌? | 读片挑战第 32 弹

问AI · CT影像如何快速提示肺炎链球菌?
图片



简要病史及辅助检查


男,66 岁,发热伴寒颤、咳嗽咳痰 2 天。WBC 1.56×10^9/L,中性粒细胞 1.37×10^9/L,淋巴细胞 0.13×10^9/L,单核细胞 0.05×10^9/L,嗜酸细胞 0,CRP 183.1 mg/L,PCT 58.07 ng/mL,B 型尿钠肽前体 2340 ng/L。



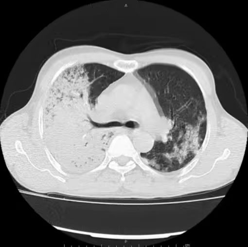
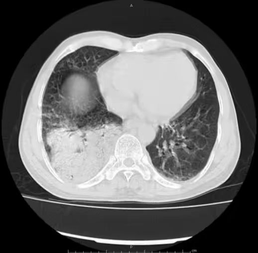
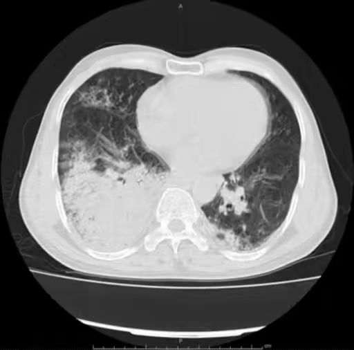
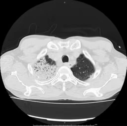
胸部 CT 如下:


图片


图片

图片

图片

上下滚动查看更多

友情提示:


1.  是否有血管炎的表现?


2.  右肺上叶尖段是否占据整个层面?


3.  小病灶(血管炎)是否有小叶充填及闲置?


4.  大片病灶是否有齐头并进的特点?



你认为感染的病原菌是 》》》



答案

痰、血培养均提示:肺炎链球菌


影像解析:


图片


图片


图片


图片


点评:


肺炎链球菌肺炎多为肺泡性肺炎,少数血播肺炎链球菌肺炎好发于老年人及免疫力低下人群,PCT 明显增高。影像上,早期在血管炎的基础上仍能见到按肺小叶充填及闲置的表现(肺泡性肺炎的表现),而大片实变影已不能分辨是否为血管炎(病灶边缘磨玻璃仍可看出血管炎),在肺尖段不会占据整个层面(与铜绿假单胞菌肺炎不同),而在下肺往往表现为齐头并进的特点,分布上多上肺优势。


看完今天的内容你有哪些问题?欢迎在留言区告诉我们~



策划 | 阿斯
图片来源 | 作者提供
投稿邮箱 | wangmeichao@dxy.cn