手指变形,胸部竟查出拳头大的肿瘤!这样的身体警报你知道吗?

【来源:健康宁波】

“刷着手机,突然感觉自己的手指和视频里说的‘杵状指’越来越像……”50岁的王阿姨是河南人,平时喜欢刷短视频,前阵子刷到一条“杵状指”科普——视频里说,手指末端变粗、像“鼓槌”,可能是身体发出的疾病信号。她下意识看了看自己握手机的手:末端确实有些增粗,指甲也微微外鼓。

图片

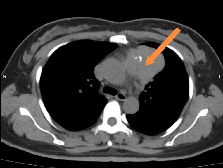
心里犯嘀咕的王阿姨当天就去当地医院检查,胸部CT结果让她一惊:纵隔长了一个直径约6.7厘米的肿块,已经压迫到周围组织。但她平时生活中一点异样的感觉都没有。

图片

想着拳头大的肿块长在胸口,当时腿都软了!”在亲戚的建议下,王阿姨从老家赶到宁波寻求进一步治疗。接诊的宁波市医疗中心李惠利医院胸外科应健健副主任医师仔细评估后明确:这纵隔肿块是胸腺肿瘤,并且大概率为恶性胸腺瘤,已侵犯周围肺组织,压迫大血管。而王阿姨的“杵状指”,正是肿瘤压迫肺组织,以及生长过程中产生的一些物质导致手指末端血管、组织增生的典型表现

“纵隔里密集分布着心脏、大血管、气管,这个肿块像‘埋’在重要器官中间,手术既要切除肿瘤,又得避开关键结构。”应健健医疗团队反复研讨后,确定了微创剑突下切口下的“胸腺扩大切除术+肺部分切除术”方案——既完整切除胸腺肿瘤、受侵肺组织,最大程度保留肺功能,又避免了正中胸骨劈开带来的巨大创伤。

手术过程顺利,王阿姨术后恢复良好,术后病理结果显示为胸腺癌(低分化鳞状细胞癌)。

图片

杵状指不是单纯的‘手指变形’,是身体的‘求救信号’。”应健健表示,除肿瘤外,慢阻肺、心脏病、消化系统疾病等也可能引发这一表现,“王阿姨算幸运的,不少人等到胸闷、胸痛等更严重的症状出现再就诊,病情往往更复杂,处理也更加棘手。”

他也特别提醒市民朋友:发现手指末端增粗、指甲鼓胀,别轻视,及时做胸部CT、心脏超声等检查;看科普视频或文章别只当“热闹看”,若对应上自身异常,请及时就医

编 辑:曹 歆

责 编:孙美星

来 源:宁波市医疗中心李惠利医院

       声明:此文版权归原作者所有,若有来源错误或者侵犯您的合法权益,您可通过邮箱与我们取得联系,我们将及时进行处理。邮箱地址:jpbl@jp.jiupainews.com