患者出现肺不张和胸腔积液,是恶性肿瘤吗?| 病例分享

医脉通编译整理,未经授权请勿转载。



病例资料


患者男性,57岁。主因持续性咳嗽以及咽喉疼痛痛数周就诊。患者为非吸烟者,有经尿道前列腺切除术(TURP)和慢性鼻窦炎病史,既往无肺部疾病史,也无已知的结核病或其他感染病史。患者就诊前曾服用阿莫西林-克拉维酸治疗,症状无改善,且出现进行性呼吸困难。患者无咯血,无发热,不伴体重减轻或盗汗。


入院体格检查,左胸叩诊呈浊音,生命体征正常。胸壁未见临床异常,肺功能测试显示严重限制性模式,用力肺活量(FVC)和总肺活量(TLC)均降至预测值的 40% 左右。


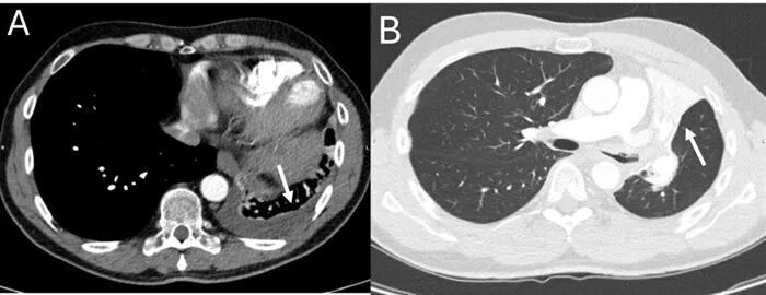
胸部 CT 扫描显示,由于左上叶支气管阻塞,左上叶和左舌叶出现广泛性肺不张(图1B)。胸突下淋巴结肿大,左侧下叶胸腔积液(图1A),疑似恶性肿瘤。


图片

(图1 胸部CT检查)


行紧急支气管镜检查显示左支气管上叶被厚脓性粘液栓完全堵塞,需要一个漫长的过程来清除尽可能多的粘液。但上肺叶支气管仍然无法进入,因此无法进行活检。实验室结果显示大量真菌菌丝伴急性炎症,但无恶性肿瘤征象。


患者转诊至上一级医院进行进一步评估。再次行支气管镜检查发现,黏液栓持续存在且较厚,成功将其清除,从而能够观察到上叶和舌叶黏膜,这些部位的黏膜脆弱且容易出血。再次支气管活检未发现恶性肿瘤迹象,但发现大量真菌菌丝,培养结果为烟曲霉菌。


血液检查显示嗜酸性粒细胞明显增多,总嗜酸性粒细胞计数 1500个/µL,血清免疫球蛋白E水平(IgE)升高(1432 IU/mL,正常<114),烟曲霉特异性 IgE 水平升高(6.46 千单位抗体/升,正常<0.35)。血清烟曲霉沉淀阳性。随后的肺功能检查显示限制性模式消失,出现阻塞性模式,与潜在哮喘相一致。开始吸入糖皮质激素和长效β 2激动剂(ICS/LABA)治疗。


患者最终诊断为变应性支气管肺曲霉病(ABPA),并伴有潜在嗜酸性哮喘。遂开始口服泼尼松龙和伊曲康唑治疗。


随访3个月,患者肺部症状消退,影像学和肺功能检查逐渐恢复。影像学证实黏液嵌塞逐渐消退,先前塌陷的肺段再次扩张,胸膜积液逐渐消退。


伊曲康唑和强的松龙治疗在三个月后成功停药,继续使用 ICS/LABA维持治疗。在6个月、12个月和2年的随访中,患者保持临床稳定,无复发迹象。



分析讨论


曲霉菌是一种机会性病原体,可在免疫正常的个体中引发过敏反应。其潜在的机制尚不清楚,但认为吸入曲霉孢子与肺表面活性剂结合,而后形成菌丝。这一过程导致各种白细胞介素的释放和 IgE、IgG 和 IgA 抗体的增加,导致吞噬功能受损和纤毛粘液清除减少。气道粘液嵌塞可导致完全支气管阻塞和肺叶塌陷,如本例患者所见。


本例患者由于粘液嵌塞和左上肺叶支气管阻塞引起的肺不张并合并胸腔积液而出现进行性呼吸困难。影像学异常和隆突下淋巴结肿大怀疑恶性肿瘤。但组织病理学检查显示大量真菌菌丝无恶性细胞,考虑 ABPA 的诊断。患者符合2013年国际人类和动物真菌学会(ISHAM)提出的 ABPA诊断标准,包括总 IgE 升高、烟曲霉 IgE阳性、嗜酸性粒细胞增多、曲霉 IgG 升高和影像学证据。虽然患者既往没有哮喘病史,但后来发现潜在的嗜酸性哮喘可能为诱发因素。


支气管镜检查对于 ABPA 的诊断和治疗都是至关重要的,可允许观察和清除粘液栓并收集诊断材料。在这种情况下,需要多次支气管镜检查以去除致密的粘液嵌塞并确认真菌菌丝的存在。


ABPA 的治疗目标包括控制症状,预防急性加重,防止或减轻肺功能受损,预防支气管肺结构出现不可逆性损害。口服激素是 ABPA 的基础治疗,能有效抑制过度免疫反应,并减轻曲霉引起的炎症损伤。抗真菌药物通过减少气道真菌定植、减轻炎症反应而发挥治疗作用。抗真菌药物可以改善症状,减少口服激素的剂量,减少反复急性加重。


本病例表明,即使在没有已知慢性肺病的患者中,ABPA 也很少表现为肺大叶不张和胸腔积液。早期支气管镜检查对于诊断、气道清除和排除恶性肿瘤至关重要,而及时的激素和抗真菌治疗有助于预防长期并发症。虽然胸腔积液是一种罕见的表现,但在不明原因或嗜酸性胸腔积液的鉴别诊断中应考虑 ABPA,特别是在哮喘或嗜酸性气道疾病患者中。


参考资料:

1.Van Gogh E, Van Poppel A (November 24, 2025) An Atypical Presentation of Allergic Bronchopulmonary Aspergillosis. Cureus 17(11): e97627.

2.中华医学会呼吸病学分会哮喘学组. 变应性支气管肺曲霉病诊治专家共识(2022年修订版)

[J]. 中华结核和呼吸杂志, 2022, 45(12): 1169-1179.