要闻 | 交大一附院一周新闻回顾

图片图片


要闻 |01

我院多名专家当选各级医学学会要职 


近期,我院多位专家在国家级、省级重要医学学会组织中出任关键职务,彰显了我院的学科实力与学术影响力。风湿免疫科何岚教授当选中国医师协会风湿免疫科医师分会副会长;普通外科孙学军教授当选陕西省医学会外科分会主任委员;泌尿外科陈兴发教授全票当选中国医师协会介入医师分会泌尿超声介入学组首届主任委员;医学影像科郭建新主任技师当选陕西省医学会医学影像技术分会主任委员;转化医学中心甄帅教授当选陕西省医学会医学遗传学分会主任委员。系列任职是我院综合实力的集中体现,将为医院发展注入新动力,助力陕西及全国医疗卫生事业发展。

图片




要闻 |02

陕西省血液内科专业医疗质量控制中心成立大会暨全省血液内科专业质控工作会议召开 


11月14日,陕西省血液内科专业医疗质量控制中心成立大会暨全省质控工作会议在西安举行。会议由省医控办指导、西安交大一附院承办,陕西省卫生健康委医政处王青一级主任科员、西安交大一附院韩建峰副院长、陕西省医疗质量控制与评价办公室门韵副主任以及医疗质量控制中心全体委员参会。成立大会上,王青宣读批复文件,强调质控中心对学科建设的重要意义;韩建峰表示医院将从人才、技术等方面全力支持;前任主委张梅祝贺并回顾工作;现任主委贺鹏程表态将推动诊疗全程规范。随后,王青与韩建峰为中心授牌,为贺鹏程教授颁发主任委员证书,质控中心秘书王晓宁教授宣读委员名单并颁发证书。在全省血液内科专业质控工作会议中,门韵解读质控中心职责与运行机制;贺鹏程汇报年度质控指标优化等成效并明确下一阶段规划。与会专家围绕质控指标制定、基层帮扶等展开讨论。此次中心成立标志着我省血液病诊疗迈入标准化新阶段,未来将不断强化诊疗能力,守护群众健康。

图片




要闻 |03

我院召开内分泌代谢科“一科一策”学科发展规划研讨会


11月19日下午,内分泌代谢科“一科一策”学科发展规划研讨会召开。会议特邀秦贵军、曾天舒、李霞、龙建纲等省内外专家及我院施秉银、邹余粮等多位教授出谋划策,李磊副院长、内分泌代谢科郭辉主任、科室骨干及相关职能部门负责人参会,院长助理马欣主持。会上,郭辉主任从学科现状、发展目标、提升举措等方面汇报规划。与会专家肯定科室甲状腺疾病诊治的突出优势,围绕构建高水平科研临床平台、打造专病中心与多学科融合模式、优化人才梯队等提出指导建议。马欣院长助理感谢专家指导,强调“十五五”开局之年需凝聚合力、狠抓落实。李磊副院长要求学科紧扣国家战略与医院布局,明晰“学科画像”,将规划落地为具体项目,展望学科未来发展可期。

图片




要闻 |04

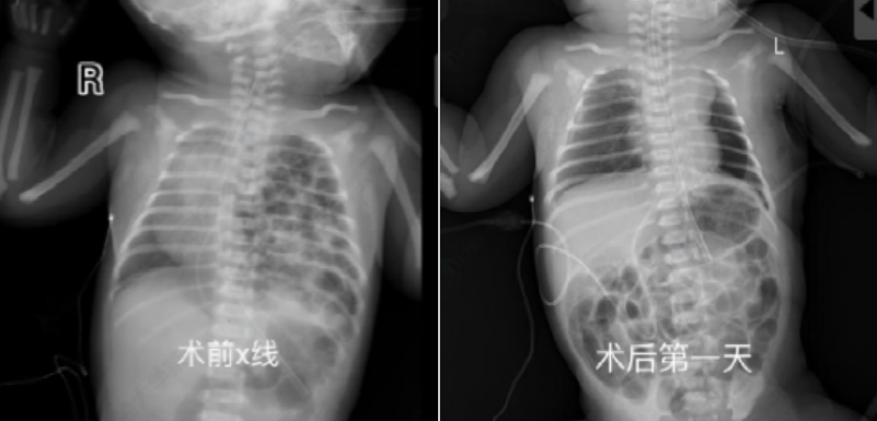
生死24小时!交大一附院多学科联动,为出生1天的“膈疝宝宝”抢回生机


近日,交大一附院小儿外科、新生儿科等多学科团队(MDT)紧密协作,成功为出生仅1天的先天性膈疝新生儿实施微创修补手术,患儿术后康复出院。先天性膈疝死亡率高,我院产检发现胎儿病情后,周熙惠、曹振杰主任牵头多学科会诊,制定“产前评估—产时干预—产后救治”一体化方案。患儿出生后呼吸困难,新生儿团队即时气管插管通气,转入新生儿科稳定病情。生后24小时,儿外科团队采用胸腔镜微创技术,克服新生儿操作空间小、脏器脆弱的难点,将疝入胸腔的脾脏、肠管还纳,并用生物补片修补巨大膈肌缺损,手术顺利完成。

图片




要闻 |05

血液内科完成首例TMLI后半相合造血干细胞移植治疗恶性血液病


11月19日,血液内科与陆港院区放疗科等多学科协作,为一名T淋巴母细胞淋巴瘤/白血病患者成功实施全骨髓全淋巴照射(TMLI)联合半相合造血干细胞移植,患者康复出院,标志着我院在该领域取得重大突破。患者赵先生2025年3月确诊,化疗缓解后无全相合供者,仅表哥为半相合供体。传统半相合移植面临移植物抗宿主病风险高、化疗预处理复发率高、全身照射毒副反应大等瓶颈。我院多学科团队决定采用国际领先的TMLI技术预处理,该技术精准聚焦骨髓和淋巴组织清除肿瘤,减少重要器官损伤,国内能开展的中心屈指可数。放疗科团队量身制定方案,通过CT模拟定位等技术完成TMLI治疗,患者耐受良好。随后患者接受半相合移植,全程无严重并发症,骨髓残留阴性,供者完全嵌合。此项突破为恶性血液病患者带来新希望。

图片




要闻 |06

极限挑战!脊柱畸形患者的胆囊切除“破局”手术


肝胆外科白纪刚教授团队成功为一名严重畸形老年女性完成高难度胆囊切除术,终结其三十年病痛。该患者三十年前外伤致脊柱融合后弓畸形,身高120cm、体重30kg,腹部间隙极窄(剑突与耻骨联合不足三横指),胆囊结石30年且嵌顿,辗转多家医院被拒。患者20余天前疼痛加剧无法进食,白纪刚教授接诊后评估确认手术为唯一方案。术前团队周密研讨,术中因空间狭小牵开器无法置入,白教授凭经验果断操作:先切开胆囊底部取石腾空间,再于仅容一指的间隙内取嵌顿结石,逆行切除胆囊。术后患者恢复超预期,腹痛解除并恢复饮食。此次手术彰显团队技术实力,诠释“以患者为中心”理念,未来科室将持续深耕疑难重症诊疗。

图片




要闻 |07

血管外科成功救治高龄急性下肢动脉栓塞患者


11月13日晚,陆港院区血管外科收治81岁患者,其突发右下肢剧痛7小时,确诊为右下肢急性动脉栓塞。患者有50年房颤病史,停用抗凝药3个月,血栓脱落致血管阻塞,入院时右下肢皮温降低、足趾青紫,面临截肢风险。血管外科刘超医生快速诊断,确定外科取栓为关键手段。禄韶英主任牵头组建团队,介入手术室、麻醉科等多学科协作,凌晨1点实施局麻下吸栓导管取栓术,成功清除右股腘动脉血栓,恢复血流。术后护理团队密切监测,3小时启动抗凝治疗,患者下肢功能逐步恢复,次日病情稳定。医生提醒,房颤患者需规范抗凝治疗,突发肢体疼痛、皮温下降等症状应立即就医,把握“黄金时间窗”救治。

图片




要闻 |08

我院获评“全国优秀标准化病人(SP)教学中心”荣誉称号跻身全国标杆


11月14-16日,以“‘演’传身教数智和鸣”为宗旨的全国标准化病人(SP)医学教育2025年会在杭州闭幕。会议由中国医药教育协会主办、邵逸夫医院等承办,汇聚全国SP教学领域专家,我院获评“2025优秀SP教学中心”,跻身全国标杆行列。该评选围绕SP教学质量管控、体系建设、师资培养等核心维度,经资格审核、材料评审等多轮严格筛选。我院在李小鹏副院长统筹、李雁部长指导下,卢群、康晓薇主任精心筹备,凭深厚积累与创新实践获全国同行认可。我院将深化SP教学改革,优化教学模式与师资培养,发挥标杆引领作用,加强行业交流,探索与数智技术融合新路径。

图片




要闻 |09

我院在第九季中国医院管理奖中实现金银铜“大满贯”


2025年10月,第九季中国医院管理奖全国总决赛落幕,我院运营管理部杨嘉元获运营管理赛道金奖,科技部王鑫获科技创新赛道银奖,运营管理部王恬获运营管理赛道铜奖。该奖项是医院管理领域标杆赛事,第九季征集27省442家机构2410个案例,竞争激烈。我院首次入围决赛即全员获奖,且金奖填补了西北赛区九年来在该赛事上的金奖空白,实现双重历史性突破,彰显了我院精细化管理与数字化转型成效。

图片




要闻 |10

陕西省预防医学会、陕西省性学会、交大一附院联合举办医工交叉学术会议


11月9日,由陕西省预防医学会、陕西省性学会、交大一附院联合主办的医工交叉学术会议在西安举行,汇聚多所高校及科研机构专家,围绕纳米材料、AI等前沿领域展开交流,助力科技创新赋能医疗。开幕式由李奇灵教授主持。吕毅院长结合延安精神致辞,强调以精神为指引推动医工结合创新;王明旭会长希望会议成为学会“金招牌”;常锋秘书长强调了医工协同破解诊疗难题的关键作用。大会报告环节,樊海明、杜毅等专家分享纳米神经调控、光动力疗法等成果,杨健、杨旸教授分别展示影像医工交叉、AI辅助诊疗的创新应用。专题讨论中,专家围绕技术临床转化、多领域应用展开深入交流。会议搭建了高水平跨学科平台,明确深度融合的发展方向,为健康中国建设贡献智慧。

图片




要闻 |11

中国科学院精密测量科学与技术创新研究院张许来院就医工交叉工作进行交流


11月12日,我院科技部攻关中心邀请中科院精密测量科学与技术创新研究院张许研究员,开展基于代谢通路的药物筛选NMR技术应用专题讲座,助力跨学科资源融合。院长助理兼科技部部长吴岳教授致欢迎辞,介绍张许研究员学术成果,期待双方拓展医工交叉合作领域。张许研究员围绕代谢异常与肥胖、癌症等疾病的关联,讲解表型筛选与代谢组学在新药研发中的作用,分享NMR技术在药敏标志物识别、中草药筛选等方面的应用成果。交流环节,专家围绕AI在中草药成分鉴别、NMR高通量筛选等问题碰撞思路,共寻合作契机。科技部副部长王亚文总结时强调,医院正处于国家医学中心建设关键期,将持续发挥医工交叉优势,联动科研院所推进科技自立自强,以新质生产力驱动高质量发展。

图片




要闻 |12

深耕质量获认可 我院输血科顺利通过CNASISO15189复评审


11月21-22日,中国合格评定国家认可委员会(CNAS)评审组(香港大学深圳医院张秀明、深圳市罗湖区人民医院蔡钦泉主任)对我院输血科开展ISO15189医学实验室现场复评审。院党委副书记梁志静、医务部等多部门负责人及输血科全体人员参会。首次会议上,评审组明确流程与重点,质控办副主任梁鹏致辞强调以评促建,输血科主任崔颖汇报体系运行及学科建设情况。随后评审组核查质量与技术体系,召开临床科室座谈会调研服务保障能力。11月22日末次会议上,张秀明主任肯定成效,指出整改项并要求两月内完成。崔颖表态严格整改,梁志静强调以评审为动力深化质量管理。此次复评审通过,标志科室质量与管理水平获国家认可。

图片




要闻 |13

第二届中西医协同康复学术会议暨陕西面瘫中西医结合诊疗专科联盟成立大会举办


11月15-16日,我院主办的“第二届中西医协同康复学术会议暨陕西面瘫中西医结合诊疗专科联盟成立大会”在西安唐城宾馆举行,聚焦中西医协同康复、面瘫诊疗等核心主题。开幕式上,陕西面瘫中西医结合诊疗专科联盟正式揭牌,35家成员单位获授牌。发布刘永惠教授、孙连庆主任联合主编的《刘氏中医——临证治要存真》,系统梳理学术思想与临床经验。会议设多场学术授课及实操培训,全国多地专家围绕老年病、糖尿病肾病、难治型面瘫、淋巴水肿等方向分享经验。数百位参会者获结业证书,会议促进了行业学术交流与技术共享,推动中西医结合诊疗规范化、创新化发展。

图片




要闻 |14

精准“神经”智创“未来”——MED-X研究院与神经内科科研对接会召开


11月18日下午,MED-X研究院与神经内科“科研合作精准对接计划”会议在陆港院区召开。会议由神经内科罗国刚主任、MED-X研究院王亚楠教授主持,韩建峰副院长致辞,双方40余位代表参会。韩建峰副院长指出,神经内科在脑血管病等领域有丰富临床病例资源,但基础研究薄弱,希望通过合作补短板,契合医院联合攻关导向。王亚楠教授介绍研究院“交叉、共享、开放”平台优势,表示作为医院与创新港研究院窗口,可联动交大师资推动合作。会上,MED-X研究院赵晓、张亚光、王亚楠教授分别作专题汇报;神经内科张萌、许鑫心博士介绍亚专科及课题,双方进行了深入探讨。经三小时交流,双方明确合作方向。此次对接发挥研究院与临床学科优势,取长补短,为后续深入合作、开展具体研究奠定坚实基础。

图片




要闻 |15

我院成功承办“健康体重·三秦同行”体重管理多学科协作会议 


11月21日,由陕西省保健学会主办、我院公共卫生中心承办的“健康体重·三秦同行”体重管理多学科协作会议在西安召开,省内40余家机构150余名专家学者参会。副院长张谞丰致辞指出,超重肥胖是重大公共卫生挑战,我院作为国家卫健委体重管理中心建设研究重点单位,将携手同行贡献“陕西经验”。陕西省保健学会会长王岚、《疾病预防与控制杂志》主编李伟民均肯定会议价值,强调多学科协同与学术传播的重要性。会议邀请十余位省内外权威专家围绕肥胖诊疗、减重外科等全链条议题分享。专题讨论中,多领域专家就整合式体重管理模式深入探讨,达成协同共识。我院公共卫生中心主任陈天艳总结,将转化会议成果,推动区域协作网络落地。此次会议搭建跨学科交流平台,凝聚协作共识,为构建区域体重管理防治网络奠定基础。我院将持续发挥引领作用,助力全民健康。

图片




要闻 |16

感染科荣获“千帆杯”医护一体化人工肝诊疗思维训练营全国总决赛二等奖


11月15日,“千帆杯”医护一体化人工肝诊疗思维训练营全国总决赛在北京落幕,我院感染科赵亚磊医生、侯静涛护士组成的“生命之光队”凭借扎实专业功底与默契协作,荣获二等奖。本次赛事历经8个月选拔,我院团队从多支队伍中脱颖而出,先后以陕西省选拔赛、全国半决赛(乌鲁木齐站)第一名晋级,其“个体化组合式人工肝”方案在核心案例比拼中获总分第一。此次获奖是对亚专业建设与人才培养的肯定,感染科将持续深化技术创新与诊疗优化,为肝病患者保驾护航,助力健康中国建设。

图片




要闻 |17

感染科团队斩获2025年“愈见乙肝”全国总决赛二等奖


2025年“愈见乙肝”慢乙肝临床治愈病例赛全国总决赛在北京落幕,作为该领域顶级赛事,汇聚全国肝病诊疗精英。我院何英利教授团队的任丹凤医生(由陈天艳、刘正稳教授指导)脱颖而出,荣获全国二等奖。本次决赛由国内肝病权威专家组成评委团,10名选手从海选、半决赛一路晋级。任丹凤医生展示了“依托干扰素治愈慢乙肝母子”的病例,践行科室“早防早治、动态调整”原则,既体现严谨诊疗逻辑,又饱含人文关怀,获评委高度认可。通过与全国同行交流,团队将持续提升诊疗水平,推动慢乙肝诊疗规范化、个体化发展,为患者带来更多希望。

图片




要闻 |18

呼吸无界健康同行——我院开展世界慢阻肺日义诊活动


11月19日是第24个“世界慢阻肺日”,主题为“呼吸不畅,当心慢阻肺病”。我院呼吸与危重症医学科在门诊大厅开展义诊暨科普宣传活动。活动现场,医护人员提供免费肺功能筛查、血压血氧及血糖检测,解读报告并给出个性化诊疗建议。通过多地点科普宣讲,强调肺功能检查是确诊金标准,演示缩唇呼吸、腹式呼吸等康复方法,发放健康手册,普及戒烟、防护及疫苗接种知识。针对用药不规范问题,一对一指导吸入剂正确使用方式。慢阻肺虽不可逆,但早期干预和规范管理可控制病情。此次活动让“可防可治”理念深入人心,守护群众呼吸健康。

图片




要闻 |19

血液内科举办第六次AL型淀粉样变跨区域会议


我院血液内科作为国家血液病区域医疗中心、省血液病专科联盟主席单位,成功承办第六次AL型淀粉样变多学科诊疗学术交流会,邀请郑州大学邢国兰教授团队及省内外血液、肾脏领域权威专家,围绕该罕见病精准诊疗展开研讨。大会由贺鹏程、赵万红教授共同主持开幕,邢国兰教授团队介绍质谱分析(诊断金标准)的应用与局限性;尹郸丹教授强调早期筛查与全程闭环管理;唐海龙教授分享骨髓瘤合并病例的系统诊疗思路;陈颖教授通过案例解析鉴别诊断要点,强调基因检测与质谱分析的重要性。省内外多家医院及专科联盟成员线下参会,跨区域联动共筑诊疗网络。会议兼具前瞻性与实用性,有效提升本地区该病规范化、精准化诊疗水平。

图片




要闻 |20

西安交通大学第一附属医院青海医院开展健康义诊活动


11月18日,国家区域医疗中心(交大一附院青海医院)在西宁开展“健康青海行”义诊,西安交大一附院10余名多学科专家与青海省人民医院专家跨院协作,服务群众300人次。专家团队克服高原反应,针对高原常见疾病提供精准诊疗,用专业服务破解群众“看病难”痛点。该国家区域医疗中心将于11月28日正式开诊,中心打造“4+2+N”学科群,已平移新技术77项(45项填补省内空白),累计派驻50名专家赴青。“强强联合”的共建模式,让高原群众在家门口享受国家级医疗服务,助力“大病不出省”愿景落地,践行健康中国使命。

图片




要闻 |21

我院召开委托招标代理机构专题工作会议


11月18日,我院招标采供办公室组织召开委托招标代理机构专题工作会议,加强代理机构监管。李小鹏副院长、纪委委员陈锐、招标采供办公室主任毛慧萍、副主任马珂及各委托招标代理机构主要负责人参会。会上,各代理机构负责人围绕招标项目任务落实、自查整改情况、下一步工作及培训计划作阶段性汇报。毛慧萍结合工作形势与风险点,要求代理机构以问题为导向,常态化开展政策学习与能力提升,强化廉政风险防控,健全长效机制。马珂针对工作难点,强调以问题溯源构建全流程合规管控体系,以风险防控筑牢廉洁防线,提升服务精准度与效率。李小鹏副院长总结时,围绕“规范、高效、廉洁、共赢”提要求:严守法律底线实现常态化规范;优化对接提升服务质效;筑牢廉洁防线接受监督;凝聚合力打造招标采购新范式,助力国家医学中心建设。

图片




要闻 |22

我院举办2025年下半年党员发展对象党课培训班


11月15日,我院在科教楼举办2025年下半年党员发展对象党课培训,71名教职工、研究生、本科生参训。开班仪式在国歌声中开启,学员代表发言,表态将潜心研学提升政治素养。培训中,樊晓燕教授以“西迁精神”为题,阐释其爱国主义核心与时代价值;陈小燕教授结合54年党龄经历及殷培璞等榜样事迹,诠释党员“为人民服务”宗旨;张振副教授解读党的二十届四中全会精神,结合医院发展提出实践要求。培训后组织理论测试检验成效。学员深刻领悟“组织入党一生一次,思想入党一生一世”,表示将以培训为契机传承红色基因,为医院建设国家医学中心贡献力量。

图片




要闻 |23

我院“医学+X”思维碰撞营第四期走进交大前沿院


11月20日,我院学工办联合交大前沿科学技术研究院,在创新港泓润楼举办第四期“医学+X”思维碰撞营,助力卓越医学人才培养,为国家医学中心建设提供人才支撑。前沿院党委副书记李妙辉、我院学工办主任王蜜蜜等师生30余人参会。师生首先参观了前沿院医工交叉实验室,方青青硕士介绍水凝胶止血材料等医工交叉前沿方向,现场交流热烈。随后的座谈会上,李妙辉副书记介绍前沿院“交叉研究”“全球视野”特色及科研平台优势;王蜜蜜主任回顾活动成果,强调其对学科交叉与创新思维培养的推动作用。成果分享环节,前沿院刘潇老师、曹泽霖博士分别分享水凝胶生物医学应用、脑机接口技术进展。自由交流阶段,同学们围绕临床需求、跨学科合作等话题深入探讨。此次活动发挥“第二课堂”作用,通过跨学院对话拓展学术视野、对接资源。下一步,学工办将持续推进“医学+X”品牌建设,构建开放交流平台,服务人才培养与国家医学中心建设。

图片




要闻 |24

学工办组织在读研究生赴榆林医院参观交流 


11月13-14日,我院学工办组织20余名师生赴交大一附院榆林医院(国家区域医疗中心)参观交流,深化人才培养与就业合作。榆林医院佘军军院长等领导出席座谈会,佘院长欢迎师生并期盼学子加盟;我院王蜜蜜主任介绍学生培养及就业情况,提议加强实习、就业等合作;吴开杰副院长强调人才重要性,展示医院硬件优势;校友白和平分享成长经历引发共鸣,人力科详解学科及人才政策。互动环节,师生提问获细致解答。会后,师生参观医院文化长廊及消化内科等多个科室,直观了解医院底蕴与环境。14日,师生参加第十六届医工协同年会榆林分会,感受浓厚学术氛围。下一步,学工办将深化与榆林医院合作,搭建人才输送渠道,助力区域医疗中心建设。

图片




要闻 |25

我院组织康复医学和护理团队赴香港参访交流


11月7-13日,应香港理工大学等邀请,我院乔晋、辛霞主任带队的康复护理团队赴港参加学术会议并开展交流。团队首先参加了第十四届泛太平洋康复会议,与亚太专家探讨康复护理前沿。随后参访香港理工大学,双方就研究生联合培养、科研合作等达成共识,其计算机辅助真实场景模拟教学模式为我院提供有益借鉴;走访香港池田医院、医院管理局,深入了解“以患者为中心”的服务体系及香港医疗护理架构,为深化合作奠定基础。此次交流依托2024年我院与香港理工大学共同发起的丝绸之路大学联盟医工协同子联盟,既汲取学科建设与服务经验,也拓展了国际化路径,将助力深化与“一带一路”地区的医疗教育合作。

图片




要闻 |26

护理部举办2025年度“一科一品”优质护理服务案例大赛


11月20日,“一科一品”优质护理服务案例大赛院级决赛在科教楼举办,大赛以“一科一品铸优护,一言一行践初心”为主题,展示专科护理创新成果。特邀医务部部长、院长助理王铮出席,陕西省护理质控中心主任辛霞等院内外专家担任评委,全院护理骨干参会。王铮在致辞中强调以“患者为中心”,推动专科护理品牌建设。大赛设“金品成果”(成熟品牌深化)和“新芽培育”(新兴项目培育)两赛道,15支团队入围,围绕专科特色、流程优化等进行汇报。评委对项目高度肯定并提出建议,最终评选出各等级奖项,护理部主任李洁琼颁奖。此次大赛搭建交流平台,为优质护理注入动力。未来护理团队将凝练专科特色,打造品牌,提供更优质服务,助力医院高质量发展。

图片




要闻 |27

医院举办静脉疾病腔内诊疗技术培训班


11月17-18日,由北京健促公益基金会发起、我院承办的静脉疾病腔内诊疗技术培训班在西安落幕。30余名多省市临床医师参与小班制教学,通过理论与实践融合模式,推动技术规范化发展。培训系统讲解病理机制与技术原理,结合真实病例演练导管置入等关键操作,专家解析疑难病例,学员研讨临床决策。考核采用理论笔试+操作评估,学员需完成在线学分研修与病例作业,经国家级专家组审核方可获合格证书,保障技术落地质量。作为陕西省外周血管介入技术质控中心主委单位,本次培训响应国家“提升专科能力建设”政策,助力技术下沉至资源薄弱地区。未来计划扩展至大血管介入等领域,以“培训+考核+认证”模式赋能基层医师,探索介入技术质控新范式。

图片




编 辑:王馨
责任编辑:刘炳圻