8月龄宝宝误吞塑料膜卡喉!多学科专家联合施救

“医生,快来!我的宝宝吞了塑料膜,快来救救他!”11月的一个下午,伴随着家长急切的呼救,一名8个月大、呼吸困难的婴儿被送至南医五院儿科急诊。检查发现,一片硬塑料膜正卡在孩子咽喉要害部位。危急时刻,南医五院儿科急诊与耳鼻喉科团队迅速协作,成功将异物取出,化解了这场危机。

婴儿突发险情 咽喉嵌顿命悬一线

原来,该患儿在家吃粥时,趁家长不留意,自行将一片塑料膜抓入口中吞咽。家长发现后惊慌不已,立即将孩子送至南医五院儿科急诊。到院时,患儿已表现为呼吸急促、烦躁不安,情况十分危急。

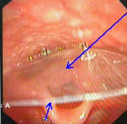
该院儿科急诊邱进东主治医生接诊后,立即携患儿至耳鼻喉科门诊检查并尝试取出异物。耳鼻喉科医生迅速为患儿施行电子鼻咽镜检查,结果令人揪心:一片约2.5厘米×2厘米的硬塑料膜,正嵌顿于患儿下咽部——这一位置被称为呼吸的“咽喉要道”,直接威胁生命。医护人员指出,若不及时取出,塑料膜随时可能移位堵塞声门导致窒息,短短数分钟内即可引发不可逆的脑损伤,甚至危及生命。

在设法取出异物的过程中,医生面临三大难题——

患儿无法配合:8个月大的婴儿无法理解指令,因恐惧持续哭闹、挣扎,而咽喉操作对精准度要求极高,患儿躁动大大增加操作难度。

异物位置深险:塑料膜位于下咽深部,且所用鼻咽镜型号较小,未配备异物钳通道,无法直接钳取。

转运风险很高:因异物位置不稳,若转往他院,途中塑料膜可能移位覆盖声门导致窒息,转运过程风险极大。

图片
鼻咽镜下的塑料硬膜

多科联手破困局 仁心妙手取异物

面对困境,医护人员立即行动起来。邱进东主治医师立即向儿童重症医学科沈玉才主任医师汇报。查看鼻咽镜图像后,沈玉才主任医师果断决定:“必须在本院想办法取出,这个位置太危险了!”

随即,儿科与耳鼻喉科团队共同制定多套方案,尝试多种路径接近异物:大号鼻咽镜经口操作因患儿反应强烈难以推进;直接喉镜下又因塑料膜透光难以定位……就在抢救陷入僵局时,转机出现。沈玉才主任医师借助经鼻鼻咽镜进行精确定位,同时在直视喉镜辅助下充分暴露患儿咽喉结构。关键时刻,他眼疾手快,精准夹住塑料膜,将其完整取出。异物取出后,患儿呼吸立刻恢复平稳,现场所有医护人员悬着的心终于放下。

图片
取出的塑料硬膜

医生提醒,婴幼儿好奇心强,吞咽功能尚未发育完善,容易发生误吞意外。日常生活中,请将塑料包装、小玩具零件、坚果、纽扣等小物件放在孩子接触不到的地方;看护时要特别留意,不要让孩子离开视线。如果发生误吞,切勿自行催吐,应立即送医就诊。

文、图/广州日报新花城记者:周洁莹 通讯员:邱进东、宗世琪

广州日报新花城编辑:李津