反复呼吸困难,胸水引流后短期内更严重是何因?……从左到右、从“静”到“动”,1例特殊的胸腔积液引出的思考丨疑案探密(169)

引言

胸腔积液是常见的呼吸系统疾病表现。从临床经验上来讲,单侧胸腔积液多为渗出液,多为肿瘤、结核或炎症导致,而我们收治的这位患者却是漏出性的单侧胸腔积液。在检查过程中我们发现,患者的肺动脉、肺静脉均存在异常,且双肺肺动脉也存在异常,究竟何因导致的胸腔积液?治疗后患者是否能恢复正常?


为何出院后短期内再次出现大量胸腔积液?面对这例不寻常的胸腔积液,临床思路是什么?


【卷宗1】:男性患者,69岁,务农。主诉“反复呼吸困难20余天”,于2025年8月14日入住我院。


讲述者:周凌霄


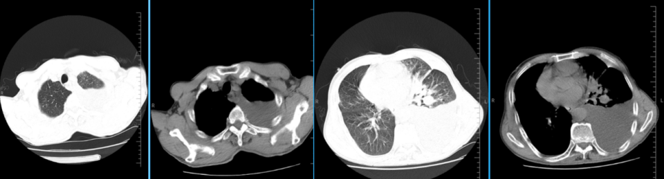
患者20余天前出现呼吸困难,活动后明显,有咳嗽、咳白痰。2025年7月30日,当地医院肺部CT提示“左肺感染伴左侧胸腔积液”,遂住院,行胸水引流,为淡黄色清亮液体。2025年8月1日胸水化验:总蛋白12.2g/L,LDH93U/L,单个核细胞93%,多个核细胞 7%,李凡他试验阴性,且胸水病理未找到肿瘤细胞。外院予左氧氟沙星抗感染治疗,治疗后复查胸部CT左肺感染及胸腔积液基本吸收(胸水引流前后CT见图1a、图1b),后出院。


出院后,患者短期内再次出现咳嗽加重,胸闷加重,无发热等其他不适。2025年8月13日就诊我院急诊,肺部CT提示左侧大量胸腔积液,血氧饱和度下降,急诊予以胸腔穿刺(胸水引流前CT见图2)。仍旧是淡黄色清亮液体,胸水常规提示:有核细胞:289*10^6/L,嗜酸性粒细胞2%,吞噬细胞1%,间皮细胞:3%,中性粒细胞11%,淋巴细胞75%,巨噬细胞8%。胸水生化:总蛋白10.0g/L,腺苷脱氨酶2U/L,乳酸脱氢酶53U/L。后患者收入我科。


图片

图1a:2025.07.30外院胸腔积液穿刺前CT


图片

图1b:2025.08.06外院胸腔积液穿刺后CT


图片

图22025.08.13我院急诊CT:左肺散在炎症,左侧胸腔大量积液伴左肺大部不张实变


临床诊断思路:患者是一名特殊的胸腔积液患者。尽管从患者自身特点上需考虑肿瘤、结核等情况,但这些导致单侧胸腔积液的病因多引起渗出液,而非此患者的漏出液。同时,该患者也没有明显的心功能、肾功能异常或低蛋白血症的临床表现或异常化验。这都难以解释他的单侧漏出液的情况。对此,我们把关注度放在了他的肺血管上。


我们充分回顾了患者的个人史和外院胸腔积液引流后的CT,发现患者左下叶肺血管的许多分支都出现了比较明显的扩张。如果患者存在一侧肺静脉的狭窄或者闭塞,导致肺循环回流受阻,从而出现静水压升高,则可以解释他的单侧漏出液。我们与放射科的专家们讨论后,给患者完善了左房CTA观察患者的肺静脉情况。


通过左房CTA,我们的确发现患者的两个肺血管异常:1、左上肺静脉、右肺静脉中支未显影,提示存在局部静脉闭塞或缺如(图3a箭头所示);2、左下肺动脉多个分支扩张(图3b箭头所示)。


为了进一步明确肺动脉和肺静脉异常的表现,我们随即给患者检查了肺动脉CTA。我们发现除了上述肺血管异常,左上叶前段及尖后段动脉开口处狭窄,右上叶动脉开口狭窄,右叶间动脉明显缩窄,右肺中叶及下叶内前外段动脉闭塞(图4箭头所示)。


至此,我们认为,患者单侧胸腔漏出液便是肺血管异常所致,尤其是肺静脉的闭塞或缺如。但,为什么会出现这种情况?肺动脉的异常又在其中扮演什么角色?


图片

图3a:左房CTA提示左上肺静脉未显影


图片

图3b:左房CTA提示左下肺动脉分支扩张


图片

图4:肺动脉CTA提示左上叶前段及尖后段动脉开口处狭窄、右叶间动脉明显缩窄


大动脉炎?肺动脉高压?还是其他诊断?……几个问题困扰我们,MDT助力可解疑惑?


讲述者:华雯


思考题:什么疾病可能导致患者出现肺动脉、肺静脉的异常?为什么右侧肺动脉狭窄,左侧肺动脉扩张?是肺动脉异常导致的肺静脉继发性改变,还是肺静脉闭塞导致肺动脉扩张?


这几个问题困扰着我们。大动脉炎?肺动脉高压?还是其他诊断?这时,我们觉得需要其他科室来帮助我们共同探索这个患者起病的原因。于是邀请了心血管内科和风湿免疫科的专家进行会诊,为我们提供进一步诊疗的思路。


心血管内科普通会诊意见:纤维素性纵隔炎压迫导致肺动脉/静脉狭窄或闭塞可能性较大,可考虑PET/CT评估纵隔是否存在高摄取。


风湿免疫科普通会诊意见:患者自身抗体均正常,炎症指标包括血沉、铁蛋白均正常范围,无明确风湿性疾病引起胸腔积液依据。患者考虑血管因素导致胸腔漏出液,可进一步详细询问患者有无反复口腔溃疡、外阴溃疡、眼炎、动静脉血栓病史、血小板减低病史,排查有无白塞病线索。也可进一步完善PET/CT明确是否存在大动脉高摄取来提供大动脉炎活动的依据。


经过进一步病史询问和查体,并未找到白塞病的依据。根据上述科室建议,我们进一步完善PET/CT,检查结果回报:左锁骨区、纵隔、两肺门多发淋巴结糖代谢增高,考虑炎性增生可能;余纵隔、肺动脉区均未见高摄取(图5)。


图片

图5:PET/CT显示纵隔多发淋巴结高摄取


仅有纵隔淋巴结高摄取,似乎无法把自身免疫病、肺动脉狭窄/扩张、肺静脉闭塞这些病因联系在一起。结合此前考虑的病因,纤维素性纵隔炎、大动脉炎都没有在PET/CT中出现特定部位的高摄取表现;白塞病方面无法满足诊断条件。那还有什么疾病可能出现相应的变化?


为了进一步明确病因及病理过程,我们发起了一场多学科讨论,包括放射科、核医学科、风湿免疫科、心血管内科、心脏大血管外科等相关科室。


放射科邝平定主任医师会诊意见:患者胸部CT提示纵隔淋巴结肿大及高摄取,需考虑结节病;患者肺动脉、肺静脉畸形表现,需考虑先天性因素。


核医学科张守鸿主任医师会诊意见:影像上血管无明显高代谢,不符合大动脉炎;纵隔淋巴结存在高摄取状态,故需考虑结节病的可能。


风湿免疫科赵云主任医生会诊意见:结合放射科、核医学科意见,患者无其他多系统损伤表现,大动脉及纵隔未见高摄取表现,目前无血管炎依据;患者结节病无法排除,可考虑完善血管紧张素转化酶测定,并完善纵隔淋巴结病理活检。


心脏大血管外科钱建芳主任医生会诊意见:影像上首先考虑慢性血栓性肺动脉高压(CTEPH),先出现肺动脉狭窄,包括右侧肺动脉及左上肺动脉,导致左下肺动脉代偿性扩张,因部分肺动脉血流减少,导致部分肺静脉闭塞,再出现左侧毛细血管网静水压升高,从而出现漏出性胸腔积液。因受累血管较远端,建议心血管内科行介入治疗。


心血管内科徐银川主任医生会诊意见:患者存在多发肺动脉狭窄及肺静脉闭塞,因此需考虑纤维素性纵膈炎,可转至心内行右心导管检查明确患者血管病变病因再行下一步治疗。


行右心导管检查+超选择性肺动脉造影+肺动脉分支球囊扩张术+肺动脉支架植入术……治疗情况及预后如何?带来哪些思考?


讲述者:周凌霄


经讨论后,尽管病因并不明确,但在和家属商议后,我们还是决定按照心血管内科的处理方式,进行右心导管检查。检查前,我们为患者安排了肺通气-灌注显像和气管镜检查。灌注显像提示右肺上叶后段、右肺中叶外侧段少许放射性分布稀疏;通气现象未见异常。气管镜镜下未见异常,4R、4L、11R组淋巴结EBUS-TBNA均提示为淋巴细胞。因此,结节病的诊断未获得病理支持。患者于2025年8月27日出院,并于2025年9月12日入住心血管内科。


入住心血管内科后,患者完善了易栓症方面检查,其中狼疮抗凝物dRVVT标准化比值1.40(↑),血浆蛋白S活性73.0%(↓)。心脏增强磁共振提示:肺动脉高压改变,右室收缩功能正常范围,左下肺动脉扩张,左室心肌少许纤维化。


患者于2025年9月15日行右心导管检查+超选择性肺动脉造影+肺动脉分支球囊扩张术+肺动脉支架植入术。术中测肺动脉压力 46/11 (23) mmHg,热稀释法测量心输出量约3.0L/min,肺血管阻力6 Wood单位。超选择性肺动脉造影提示多支肺动脉狭窄闭塞,右侧A8-A10肺动脉共干狭窄90%以上,狭窄部位最大扩张直径为6mm,植入10 x 40 mm支架1枚后因狭窄严重,支架缩入远端,后植入10 x 60 mm支架1枚覆盖重叠,再予7.0 x 40 mm球囊后扩,扩张至6 ATM患者再次出现咳嗽,遂结束手术,术后压力导丝测量下FFR约0.68(术中影像见图6)。术后诊断:1.毛细血管前肺动脉高压(2022ESC/ERS诊断标准);2. 肺动脉狭窄。


综合考虑当前患者胸腔积液考虑肺动脉狭窄和肺静脉闭塞导致,CT肺动脉造影阅片不能排除肺动脉及肺静脉血栓形成可能,结合患者蛋白S缺乏,狼疮抗凝物比值高,易栓症不能排除,慢性血栓栓塞性肺动脉高压(CTEPH)可能性大。目前已处理肺动脉狭窄,继续予以抗凝治疗,并根据后续复查决定是否进一步处理肺静脉闭塞。


患者于2025年10月14日再次回心血管内科门诊随访,复查肺动脉CTA可见仍有左侧胸腔积液,但胸水量较前有所减少,同时右肺下叶动脉狭窄处复通,左下肺动脉扩张处直径较前缩小(见图7)。根据患者自述,他目前咳嗽减少,无胸闷、气促表现,无需进行胸腔积液引流。但因患者经济条件欠佳,暂不行肺静脉的造影和介入处理,继续观察。


图6:右肺动脉分支介入治疗前后


图片
图片
图片

图7:2025.08.18与术后2025.10.14CTPA对比


经过以上治疗,患者的胸腔积液病情得到控制,但尚未完全根治。综合考虑,患者出现单侧胸腔漏出液的主要原因为左上肺静脉闭塞,但他右侧肺动脉的狭窄导致左肺血流代偿性增多,因此胸腔积液更难以控制。因此在进行右肺动脉狭窄的介入治疗后,患者的胸腔积液还是能够得到部分的改善。但患者肺动脉、肺静脉异常的根本性原因依旧无法完全明确,CTEPH、纤维素性纵隔炎的可能性都存在,目前尚无根本性证据能够说明其病因。


通过本案例的诊治经过,带来如下思考:


1、打破常规思维,重视病理生理的逆向推导。单侧胸腔积液多默认渗出液,但该病例以“漏出液”为突破口,通过“静水压升高”的病理生理机制反推肺静脉闭塞的可能,提示临床需避免“经验主义”,当常见病因不成立时,我们是否应从核心机制(如液体渗出的Starling定律)出发,拓展至少见的血流动力学异常(如肺血管病变)?


2、肺动静脉系统的“牵一发而动全身”。右侧肺动脉狭窄导致左肺血流代偿性增加,加重了左上肺静脉闭塞后的肺循环静水压升高,使胸腔积液更难控制。这种“动静脉交互作用”说明肺循环是一个整体,单一血管的病变可通过血流重新分布放大另一侧的病理生理效应,治疗时需兼顾两者的血流动力学平衡(如先处理肺动脉狭窄以减轻左肺代偿性负荷)。


3、病因诊断的“灰色地带”与长期随访的必要性。尽管MDT会诊和多项检查提示CTEPH或纤维素性纵隔炎可能,但未获得明确病理证据(如纵隔活检),说明部分血管病变的病因诊断具有不确定性。对于此类病例,长期随访(如观察肺动静脉病变的进展、胸腔积液的复发情况)可能成为后续明确病因的关键,同时需向患者充分沟通诊断的不确定性。


4、治疗决策的“个体化”与“性价比”权衡。患者因经济条件未行肺静脉介入治疗,仅处理肺动脉狭窄后胸腔积液得到部分改善,提示在治疗时需结合患者的经济状况、身体耐受度及病情紧急程度,优先解决“主要矛盾”(如肺动脉狭窄导致的血流代偿性增加),而非追求“彻底根治”。这种“务实性”治疗策略需成为临床决策的重要考量。


5、易栓症与肺血管病变的潜在关联。患者存在狼疮抗凝物升高、蛋白S缺乏等易栓症指标异常,提示血栓形成可能是肺动静脉狭窄/闭塞的原因之一(如CTEPH)。尽管未发现明确血栓证据,但易栓症筛查应纳入不明原因肺血管病变的常规检查,尤其是对于单侧病变患者,需警惕血栓性疾病的可能。


6、影像学检查的“功能与解剖”结合。CTA清晰显示了肺动静脉的解剖异常,但对于病变的功能影响(如血流动力学改变)需通过右心导管、肺通气-灌注显像等功能检查补充。这提示影像学检查需“解剖与功能并重”,才能更全面地评估病情。


7、长期管理的“全病程”思维。患者治疗后胸腔积液控制但未根治,需长期随访观察肺动静脉病变的进展、胸腔积液的复发情况,以及是否出现肺动脉高压加重等并发症。同时,需关注患者的生活质量(如活动耐量、咳嗽症状)和心理状态(如对病因未明的焦虑),提供多维度的支持(如康复指导、心理疏导)。


8、MDT的“互补性”与“局限性”。MDT会诊为病例提供了心血管、风湿免疫等多学科视角,但仍未明确病因,说明MDT并非“万能”,其效果依赖于各学科的信息整合和检查手段的局限性。对于复杂病例,可能需要更精准的亚专科介入(如纵隔外科活检),但需权衡风险与收益。


周华主任点评


该病例对呼吸与危重症医学科而言,是从胸腔积液到肺循环网络的思维跨越。我们每天面对大量胸腔积液患者,习惯了从“渗出/漏出”的常规框架出发,寻找结核、肿瘤、心衰等常见病因,但该病例用“漏出液”的“异常”,倒逼我们回到Starling定律的本质——不是“漏出”的标签,而是“为什么漏出”。


当左肺静脉闭塞导致肺毛细血管静水压升高时,右侧肺动脉狭窄带来的左肺代偿性血流增加,像“火上浇油”一样放大了这种压力,最终形成单侧漏出液。这提醒我们:呼吸医生的眼睛,要从“胸腔里的水”看向“水背后的血管”,肺动静脉不是孤立的管道,而是相互影响的“循环网络”,一处病变可能引发连锁反应。


与此同时,病因的“不确定性”恰恰是临床的“真实常态”。尽管我们通过MDT和系列检查排除了风湿免疫病、明确了易栓症线索,但CTEPH的考虑仍停留在“可疑”层面。这并没有阻碍我们的治疗。我们抓住了“肺动脉狭窄导致左肺负荷过重”这一“主要矛盾”,优先介入处理,让患者的胸腔积液得到控制、生活质量改善。这正是呼吸与危重症医学的“务实智慧”:比起“彻底弄清病因”,“解决患者当下的痛苦”更贴近临床的本质。


最后,该病例也让我们更深刻理解呼吸科是“平台学科”。胸腔积液是“表象”,肺血管病变是“内核”,需要我们联动心血管、影像、风湿等学科,从症状到机制再到治疗,形成完整的诊疗链条。未来面对类似病例,我们会更主动地打破常规:当漏出液不支持心衰时,想想肺静脉;当肺动脉狭窄时,看看肺静脉的反应;当病因不明时,先处理血流动力学的主要矛盾。毕竟,临床的终极目标,是让患者“呼吸更顺畅”,而不是“诊断更完美”。


专家介绍

图片

周华

浙江大学医学院附属第二医院呼吸与危重症医学科常务副主任、呼吸内镜中心主任;主任医师,博士生导师;首届国家优秀青年医师;国家“四大慢病”科技重大专项首席科学家;“中青年呼吸学者精英榜”学术成绩奖;中华医学会细菌耐药和感染防控分会委员;中华医学会呼吸病学分会青年委员;中华医学会内科学分会青年委员;中国抗癌协会呼吸肿瘤分会委员;中国医药教育协会感染性疾病委员会常委;近5年主持国家科技重大专项1项、国家自然科学基金面上项目2项、国家重点研发计划课题1项、浙江省尖兵领雁项目1项。以通讯/第一作者发表SCI论文47篇,含Lancet Microbe、Lancet Respiratory Medicine、eBioMedicine等;参与完成指南和专家共识23部。担任SCI源期刊Scientific Reports编委,Infectious Medicine、Chinese Medical Journal-PCCM、Infectious Microbes & Diseases青年编委。


图片

周凌霄

浙江大学医学院附属第二医院呼吸与危重症医学科主治医师,北京大学医学部临床医学博士,浙江大学临床医学博士后,浙江省医师协会呼吸医师分会间质性肺疾病学组成员,浙江省抗癌协会呼吸系统肿瘤介入诊疗专业委员会委员。


图片

华雯

浙江大学医学院附属第二医院呼吸与危重症医学科中华医学会呼吸病学分会哮喘学组秘书,中国研究型医院学会呼吸专委会哮喘学组委员,浙江省医学会呼吸分会青年委员,浙江省医学会呼吸系病分会慢性气道疾病学组委员兼秘书,浙江省医师协会呼吸分会哮喘与变态反应学组委员。主持国家自然科学基金青年基金、浙江省自然科学基金青年基金各一项,参与国家重点研发课题一项(课题骨干),主持浙江大学医学院教育改革项目(重点项目)一项,浙江省青年教师教学竞赛一等奖,第二届全国高校教师教学创新大赛二等奖(团队成员),在Respirology,Cell Death Dis,Ann Allergy Asthma Immunol等期刊发表学术论文。


* 文章仅供医疗卫生相关从业者阅读参考


本文完

采写编辑:冬雪凝;责编:Jerry