宝宝反复感冒、肺炎,查出先天性心脏病:左右心房中间出现“小洞”

8个月的欣欣(化名),出生以来反复出现感冒、肺炎。最近,欣欣再次感冒、肺炎,欣欣妈妈特从外地带宝宝来湖南省第二人民医院儿科就诊。

湖南省第二人民医院儿科赵源主任医师给欣欣听诊时,除了发现肺部湿罗音外,还发现心脏杂音,告知欣欣妈妈:宝宝肺部有湿罗音,还有心脏杂音,很可能有先天性心脏病——房间隔缺损,需要完善心脏彩超的检查。欣欣妈妈表示很震惊,也很不理解为什么要检查心脏彩超。

在赵源主任医师的耐心解释下,欣欣妈妈最终还是带宝宝来到超声医学科进行了心脏彩超检查,检查发现:先天性心脏病——房间隔缺损(继发孔型)。

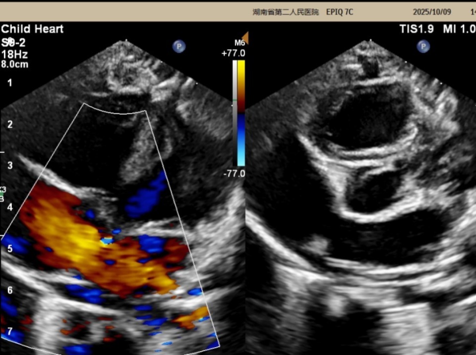
图片

△心脏彩超检查结果

赵源主任医师介绍,如今很多宝宝经常反复得肺炎,如果听诊发现可疑情况,一般也会让患儿做心脏彩超检查,结果常常发现宝宝频繁得肺炎的元凶就是先天性心脏病中的房间隔缺损(简称“房缺”)。

房缺是什么?有哪些症状?

赵源介绍,房间隔缺损是指在胚胎发育过程中由于遗传因素、病毒感染或环境因素等原因,房间隔的发生、吸收和融合出现异常,导致左、右心房之间存在血流交通的一种心脏畸形,相当于我们两个房间共用的“墙壁”出现了一个“洞”。

房间隔缺损较小时,患者可长期耐受没有症状,婴幼儿易患肺炎,后期或缺损大时可有活动后心悸、气急、乏力等症状,进而出现颈静脉怒张、肝淤血、水肿、劳力性呼吸困难等右心功能衰竭的症状,特别是出现肺动脉高压时有右向左分流者出现发绀,严重时可发展至艾森门格综合征。胸骨左缘第2~3肋间可闻及收缩期吹风样杂音。这时宝宝就诊时,儿科医生听诊时会听到杂音。

房缺为什么容易导致肺炎?

正常时,左右心房血液互不相通。房间隔缺损时,左心房压力高于右心房,部分血液从左心房经缺损流入右心房,致右心系统血量增多。

右心室将过多血液泵入肺部,使肺循环血量远超正常,这就像一条原本流量适中的河流,突然涌入过多水流。过多血液淤积肺内,给细菌、病毒等病原体创造了良好的生存繁殖环境,增加肺炎感染几率。

婴幼儿房缺会自愈吗?

低龄患者的小型继发孔型房缺常发生自然闭合,3月龄以内患儿的总体自然闭合率可达87%。年龄3个月以内患儿:<3 mm的继发孔型ASD在1岁半内可全部自然闭合;缺损直径3~8 mm的患儿在1岁半内有80%以上的自然闭合率;缺损在8 mm以上者几乎不能自然闭合。

目前绝大多数房缺根据临床表现及超声心动图即可确诊。心脏彩超检查是目前最简单直接的无创检查手段,可以发现房间隔缺损的类型、位置以及大小。并可以测量肺动脉压力评估有无肺动脉高压,评估右心的大小及功能。

房缺该怎么治疗?

除少数患儿房缺可自愈外,手术是目前治疗的唯一有效方法。房缺均可以通过外科手术闭合,其中,约80%继发孔型房缺可以通过经皮介入封堵治疗。

赵源主任医师再次提醒各位家长们,当您发现孩子反复肺炎时,需带宝宝去医院给儿科医生评估,警惕肺炎的另一大元凶——先心病房间隔缺损的可能,房间隔缺损的尽早发现和及时治疗能够改善患者预后。

通讯员刘灵丽 石荣 潇湘晨报记者任弯湾

报料、维权通道:应用市场下载“晨视频”客户端,搜索“报料”一键直达;或拨打热线0731-85571188。如需内容合作,请拨打政企服务专席19176699651。