局部晚期胰腺癌术后病理接近 pCR,「她」做对了什么?

引言


胰腺癌大多隐匿起病,侵袭性强,诊断时常处于晚期,大多数患者无法直接行根治性切除。而随着研究发展,多模式治疗为更多局部晚期胰腺癌患者带来了根治性治疗机会。


近日,一例局部晚期胰腺癌病例发表,患者通过新辅助治疗获得切除机会,术后组织病理学显示接近完全病理缓解(pCR)[1]。来看看这个病例带来哪些启示。


病例介绍


患者女性,40 余岁,主诉上腹部疼痛 2 周,伴腹胀,频繁嗳气,胃炎,餐后腹泻,以及乏力,体重下降,寒战和全身疼痛等系统症状。既往子宫肌瘤和子宫内膜异位症病史,1 月前行腹腔镜下全子宫切除术、双侧输卵管切除术及膀胱镜检查。


患者就诊于消化科,予泮托拉唑口服。服药期间,症状无缓解。1 周后症状无改善,并出现便秘,阵发性腹泻,畏寒,若干次尿液颜色加深。患者遂就诊于急诊。尿常规显示浑浊橙色尿液,白细胞和红细胞计数升高,酵母菌阳性。


诊疗过程


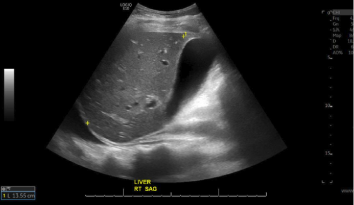
行腹盆腔 CT 扫描,显示间隔性肠容量增大。腹部超声显示和年龄相关的不显著总胆管扩张(图 1),腹腔积液。


图片

图 1. 腹部超声 [1]


行穿刺引流,引流出 4000 mL 腹水。腹水分析显示液体浑浊,血清-腹水白蛋白梯度为 0.4 g/dL,蛋白质 3.9 g/dL,白细胞 1119/μL(84% 多形核白细胞),红细胞 1000/μL,肌酐 0.55 mg/dL,葡萄糖 85 mg/dL,乳酸脱氢酶 165 SU,甘油三酯 41 mg/dL。多形核白细胞达到 939/mm3,怀疑细菌性腹膜炎。血培养显示革兰氏阳性菌阳性,使用哌拉西林钠他唑巴坦钠治疗。同时患者转氨酶轻度升高,天冬氨酸氨基转移酶(AST)91 U/L,丙氨酸氨基转移酶(ALT)78 U/L,碱性磷酸酶(ALP)672 U/L。


住院第 3 天,行口服造影剂盆腹腔 CT 检查,显示胰头部低密度病灶,大小 3 cm×2 cm×2 cm,不伴导管扩增,远端实质轻度萎缩,怀疑恶性肿瘤(图 2)。


图片

图 2. 腹部 CT 显示胰头占位 [1]


入院后 1 周,实验室检查显示 AST 升高至 254 U/L,ALT 154 U/L,ALP 1083 U/L,糖类抗原 125(CA-125)365 U/L,CA 19-9 117.8 U/mL,癌胚抗原(CEA)6.2 ng/mL。


行腹部超声检查,显示 7 mm 的非特异性总胆管扩张,肝脏未见明显病变。胰头肿物边界不清,提示侵入门静脉。行超声内镜检查,显示胰头部肿物,大小 35 mm×30 mm。行细针穿刺,超声内镜引导下活检结果显示中分化胰腺导管腺癌(PDAC)。DNA 错配修复蛋白免疫组化显示 MSH2,MSH6,PMS2 阳性,微卫星稳定。


由于肿瘤浸润至十二指肠且总胆管狭窄,经内镜逆行胰胆管造影(ERCP)的超声内镜胆道减压不成功。行经皮肝胆总管造影,显示周围肝内胆管轻微扩张,远端总胆管阻塞,中心和肝外胆管明显扩增。遂行右侧肝内/肝外胆管引流。


之后进行 12 周期 mFOLFIRINOX 方案(氟尿嘧啶/亚叶酸钙/伊立替康/奥沙利铂)化疗。由于患者存在高胆红素血症,将方案进行改良,第 1 周期未使用伊立替康,2~6 周期将伊立替康剂量减量 85%,7~12 周期因血小板减少将伊立替康减量 75%。从第 周期之后,予长效非格司亭预防发热性粒细胞缺乏症。第 6 周期时,总胆管狭窄处置入一枚 10 mm×6 mm 弹性支架,移除右侧肝外胆管导管。

化疗末行 MRI 重新分期,显示胰头肿物缩小,大小 1.9 cm×1.6 cm,包绕部分肠系膜上静脉,胆道积气(图 3)。完成 12 周期化疗后,盆腹腔 CT 显示和 MRI 类似的结果。


图片

图 3. 化疗末 MRI 再分期显示胰头肿物缩小  [1]


完成化疗后 1 个月,患者行胰十二指肠切除术(Whipple 手术)。行诊断性腹腔镜,肝周和盆腔存在浑浊腹水。抽吸腹水送病理检查,恶性细胞阴性,未见肝脏,肠道和腹膜表面转移证据。


术后病理提示中低分化胰腺导管腺癌,3 级,2.1 cm,累及十二指肠肠壁和胰腺周围软组织(ypT2pN0),未见淋巴血管或神经周围侵犯。治疗后表现,具有残留肿瘤细胞(部分缓解,2 分)。所有切缘阴性。所有区域淋巴结(33/33)为阴性。


患者术后 2 周出院,每 2 个月接受盆腹腔 CT 检查随访


  病例回顾及讨论  

胰腺癌新辅助治疗优势


胰腺癌整体预后不佳,手术切除是胰腺癌的唯一潜在根治性治疗方式,手术切除的患者 5 年生存率为 10%~25%[2]。然而大多数胰腺癌患者诊断时处于进展期,仅约 20% 的患者可以行手术切除,为临床治疗提出严峻挑战。


因此,新辅助治疗后行根治性手术就成为局部晚期胰腺癌的有效治疗模式。理论上而言,新辅助治疗存在诸多优势,可以实现降期,提高患者肿瘤的可切除性,尽早给予系统治疗也有望消除微转移灶,改善预后,并可准确评估系统治疗反应 [3]


胰腺癌新辅助治疗方案选择


mFOLFIRINOX、吉西他滨+白蛋白紫杉醇是有效的一线治疗方案,和吉西他滨单药相比,均为患者带来显著生存获益。而对于局部晚期胰腺癌患者,一项荟萃分析显示 mFOLFIRINOX 的中位总生存(OS)可达到 24.2 个月,中位无进展生存期(PFS)达到 15.0 个月,数据令人鼓舞 [4]。因此,mFOLFIRINOX 可能是一般状况良好的局部晚期患者的理想新辅助治疗方案。


一些新型化疗方案在围手术期的应用也在积极探索中。例如美国食品药品监督管理局批准 NALIRIFOX 方案(伊立替康脂质体,奥沙利铂,氟尿嘧啶和亚叶酸钙)用于转移性胰腺癌的一线治疗。在《中国临床肿瘤学会胰腺癌诊疗指南(2024 年)》,NALIRIFOX 方案被写入一线治疗Ⅱ级推荐(ⅠA 类证据)[5]。Ⅱ期 nITRO 研究探索了 NALIRIFOX 方案用于胰腺癌围手术期治疗的疗效,显示疾病控制率(DCR)为 92.9%,R0 切除率为 65.3%,中位 OS 为 32.3 个月 [6]。该方案用于新辅助治疗的Ⅱ期研究也在进行中 [7]


当前病例中,局部晚期胰腺癌患者接受新辅助 mFOLFIRINOX 方案化疗。由于患者胆红素升高,行胆道引流为化疗创造条件,并将伊立替康进行减量。新辅助治疗获得良好效果,患者耐受性良好,完成 12 周期新辅助化疗后手术切除,病理显示达到近 pCR,有望为患者带来长期生存获益。


胰腺癌手术考量


根据患者和肿瘤特征选择合适的治疗方案十分重要。既往邻近血管或具有血管侵犯的胰腺癌患者考虑为「不可切除」,随着新辅助联合化疗和手术模式的发展,目前局部晚期肿瘤已经被视为「边缘可切除」


针对这类患者,在首诊时准确确定可切除性至关重要。不仅需要考虑解剖学标准,也要基于生物学和临床标准以确定最佳治疗顺序。


局部晚期胰腺癌的治疗策略发展迅速。对于因为高龄、一般状况不佳等无法手术的局部晚期患者,除了上述新辅助化疗外,有研究显示新辅助消融性放疗可提高肿瘤控制时间和延长生存 [8]。相信多学科、多模式的创新性治疗模式将推动胰腺癌患者的结局改善。


病例小结


  • 新辅助标准化疗有望为边缘可切除患者带来手术机会;

  • 新辅助联合方案似乎具有更佳疗效,但是需要注意患者并发症和不良反应处理,个体化调整新辅助治疗方案;

  •  深入理解患者和肿瘤特征有助于建立合适治疗模式,确定手术可行性和患者预后。


参考文献

[1] Lee SS, et al. Locally advanced pancreatic cancer treated with surgical resection after chemotherapy. BMJ Case Rep. 2025;18(4):e264212.

[2] Zhang Z, et al. A case report of surgical resection treatment for complete remission after chemotherapy for advanced pancreatic cancer. Front Oncol. 2023:13:1155233.

[3] Jain AJ, et al. Surgical Considerations for Neoadjuvant Therapy for Pancreatic Adenocarcinoma. Cancers (Basel). 2023;15(16):4174.

[4] Suker M, et al. FOLFIRINOX for locally advanced pancreatic cancer: a systematic review and patient-level meta-analysis. Lancet Oncol. 2016;17(6):801-810.

[5] 中国临床肿瘤学会(CSCO)胰腺癌诊疗指南.2024 中国临床肿瘤学会指南工作委员会组织编写. 北京: 人民卫生出版社,2024.4.ISBN 978-7-117-36187-3.

[6] Melisi D, et al. Perioperative NALIRIFOX in patients with resectable pancreatic ductal adenocarcinoma: The open-label, multicenter, phase II nITRO trial. Eur J Cancer. 2024:196:113430.

[7] Singhal R, et al. A phase II study of neoadjuvant liposomal irinotecan with 5-FU and oxaliplatin (NALIRIFOX) in pancreatic adenocarcinoma. Future Oncol. 2023;19(27):1841-1851.

[8] Reyngold M, et al. Association of Ablative Radiation Therapy With Survival Among Patients With Inoperable Pancreatic Cancer. JAMA Oncol. 2021;7(5):735-738.


作者:邵宜;编辑:Bree
题图:丁香园创意团队