女子一年暴瘦10公斤,竟是罕见输入性传染病作祟

莫名乏力、发热,体重骤降10公斤,脾脏肿大至正常3倍……近一年来,持续出现这些症状的患者周女士辗转求医,苦不堪言。


近日,59岁的周女士因“乏力、腹胀近1年,加重伴发热10余天”来到玉林市第一人民医院就诊。此前,她已辗转多家医院就诊,均未明确病因,且体重下降近10公斤。

图片

CT提示脾脏明显增大,约为正常的3倍。

图片
图片

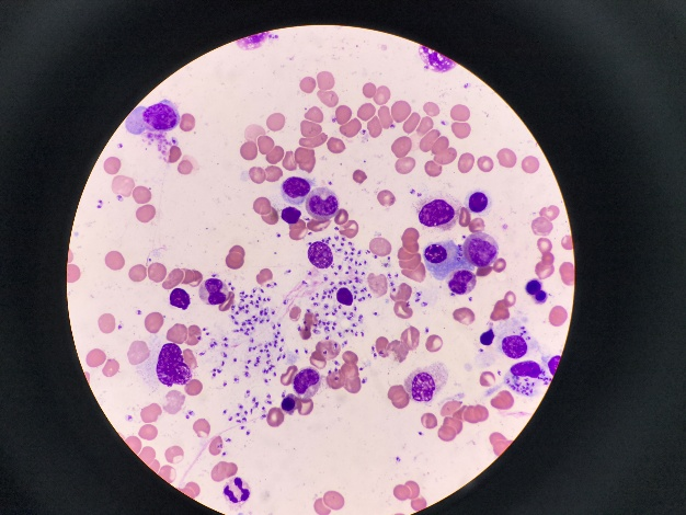
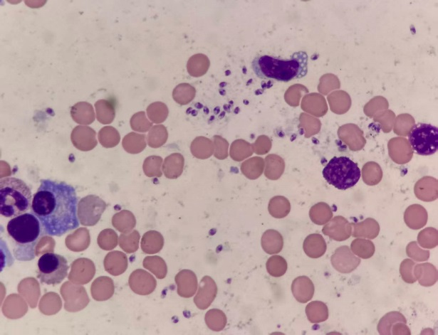
骨髓涂片显微镜下可见大量利什曼原虫(杜体)无鞭毛体。


接诊后,医院检验科对周女士的骨髓涂片染色镜检后,发现罕见病原体——利杜体,这一“关键证据”让医生将目光投向了“黑热病”。结合患者明确的黑热病流行区暴露史,以及长期发热、脾大、贫血等典型表现,最终确诊为“输入性黑热病”。


这一精准诊断避免了病情延误,为周女士争取了宝贵的治疗时间。目前,周女士正在该院感染科进行针对性治疗,病情逐渐好转。

新闻知多点

黑热病,又称内脏利什曼病,是仅次于疟疾的第二大全球致死性寄生虫病。是由利什曼原虫引起的人兽共患慢性地方性传染病,主要通过白蛉叮咬传播。典型症状包括长期不规则发热、肝脾肿大、贫血、消瘦、全血细胞减少等,部分患者可出现面部、手足皮肤色素沉着。该病是《中华人民共和国传染病防治法》规定的丙类传染病,目前主要流行于西北、西南部分地区。虽然发病率极低,但若未及时治疗,病死率可超过90%。随着人员流动增加,输入性病例时有发生,非流行区也需保持警惕。



采写丨玉林市融媒体中心记者 唐雪萍

编辑丨钟丹丹

审核丨蒋西河

监制丨凌嘉琳

出品丨玉林市融媒体中心