就好这一口鲜!小伙咳嗽胸闷十几天,以为感冒肺炎,结果却没那么简单

【来源:健康宁波】

24岁的小张有个“生猛”的饮食习惯,喜欢吃活珠子(孵化中的鸡胚)。不过最近,他被自己的这个爱好“撂”倒了——确诊肺吸虫病! 医生提醒:拒绝生食是预防肺吸虫病的关键所在

胸腔大量积液

姐姐一句话透露关键信息

“医生,我最近胸闷得不行,这几天还发烧了,会不会得肺炎了?”日前,小张在姐姐陪同下来到宁波市中医院急诊。小张说,他十天前就发现自己胸口闷闷的,偶尔还会咳嗽几声,刚好那段时间身边有同事感冒,便笃定自己得了感冒。

“我主要是胸口闷,咳嗽咯痰比较少,精神状态也还可以,就没太着急。”小张“自我诊断”后,先吃了几天感冒药,但胸闷症状一直没有缓解,到后面几天,甚至还发起烧来,体温最高时达到38.4℃。在姐姐的劝说下,他前往医院就诊。

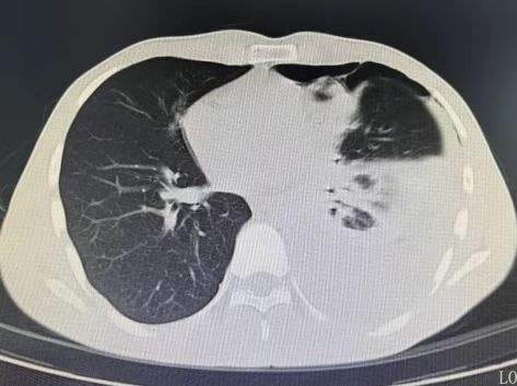
图片

胸部CT检查结果让所有人警惕:小张左侧胸腔积聚大量浑浊积液,几乎占胸腔近三分之一,已压迫肺部引发气胸,不符合普通肺炎的影像学特征。当天,他就被收治入院。

图片

随着各项检查进一步完善,谜团逐渐被揭开:胸腔穿刺引流抽出浅棕黄色胸腔积液;血常规报告显示嗜酸性粒细胞百分比高达50.2%,是正常范围上限的6倍多;胸腔积液常规中该指标更是飙升至97%。“这个指标太高了!结合他的症状,考虑寄生虫感染的嫌疑大,需要立刻排除。”该院感染(肺病)科李鑫副主任中医师说,在常见的食源性寄生虫中,肺吸虫感染引发的症状与小张的表现高度契合。

顺着寄生虫感染的思路,医生追问小张的饮食偏好。此时,陪同就诊的姐姐透露了关键信息:“我弟弟特别爱吃活珠子,天天当零食,前阵子还网购好几次生鱼片,一次能吃一大份!”

医护人员加急将血液、胸腔积液样本送往宁波市疾病预防控制中心检测。3天后,结果出炉:肺吸虫抗体检测呈阳性。小张被确诊为肺吸虫病

这些“危险美食”很多人爱

拒绝生食是预防关键

确诊后,张先生接受了规范驱虫治疗,同时引流胸腔积液。一周后胸腔积液大幅减少;两周后CT显示积液基本吸收,肺部功能恢复正常,目前已顺利出院。

李鑫介绍,肺吸虫病是由并殖吸虫引起的地方性寄生虫病,国内主要流行卫氏、斯氏两种并殖吸虫。其传播路径十分明确:幼虫常寄生在淡水蟹、蝲蛄(小龙虾近亲)、部分淡水鱼体内,而活珠子如果被幼虫污染,也会成为重要传播载体。“当人们生食或半生食这些被感染的食物后,幼虫会穿透消化道黏膜进入腹腔,再移行至肺部、胸腔等部位寄生,引发炎症反应和组织损伤,这也是小张出现大量胸腔积液和胸闷的核心原因。”

在临床中,肺吸虫病常被误诊为流感、肺炎、结核等疾病,延误治疗时机。这是因为这种疾病的隐蔽性极强,症状多样且不典型。除了胸腔积液、发热、胸闷,还可能表现为咳嗽、咳果酱样痰(典型症状)、腹痛、头痛、癫痫,甚至皮下结节。

图片

“很多人追求活珠子、生鱼片的鲜美口感,却忽视了背后的寄生虫风险。”专家强调,预防肺吸虫病的核心的是拒绝生食淡水产品需彻底煮熟,中心温度需达到70℃以上并持续5分钟;芥末、白酒等调料无法有效杀灭寄生虫;孵化中的鸡胚作为可能的传播载体,同样需要完全煮熟后再食用。

肺吸虫感染后,严重时可出现肺栓塞的情况。李鑫提醒:如果出现持续发热、胸闷、腹痛等症状,且自行用药无效,尤其是有生食淡水产品、活珠子史的人群,需及时就医,并主动告知饮食情况,助力医生快速锁定病因,避免延误治疗。

作 者:庞锦燕 周晶晶 陈君艳

编 辑:曹 歆

责 编:孙美星

来 源:宁波市中医院

微信一再改版

请关注并星标

“健康宁波”

方便您及时收到我们的推送文章

图片

“点赞” “转发”

让更多人获得健康

       声明:此文版权归原作者所有,若有来源错误或者侵犯您的合法权益,您可通过邮箱与我们取得联系,我们将及时进行处理。邮箱地址:jpbl@jp.jiupainews.com