心脏“补丁”可在体内自行消失,这家医院完成了首例可降解封堵器植入术

极目新闻通讯员 张素华 李菡

一枚植入心脏的“补丁”,在完成使命后,竟能在人体内悄然“消失”,最终只留下人体自身的修复组织。这听上去像科幻的一幕,已成为现实。10月30日,武汉市第三医院心血管内科结构性心脏病团队成功完成了一例生物可降解卵圆孔未闭(PFO)封堵器植入术。这标志着对于PFO相关卒中、偏头痛的治疗,迈入了“介入无植入”的生物可降解新时代。

本次手术的患者是一位长期被偏头痛折磨的47岁女士,此前曾辗转多次求医,并没有根治偏头痛。此次,她在武汉市第三医院心内科检查,发现了困扰她的元凶正是心脏内一个未闭合的小孔——卵圆孔未闭。

图片封堵器植入术

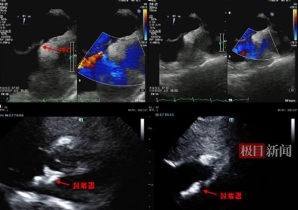
考虑到患者年纪较轻,对未来的生活品质有较高要求,该院心血管内科主任李东升团队经过周密评估,决定为她实施全球最先进的生物可降解封堵术。“与传统金属封堵器永久留存体内不同,新材料制成的封堵器更像一位‘临时工’。”心内科主任李东升用了一个形象的比喻向患者和家属解释这一技术,“它的核心价值在于‘功成身退’。”他介绍,这种由特殊医用高分子材料制成的封堵器,在植入后能立即充当“桥梁”,引导自身心脏组织沿着血管攀附生长。大约在2到3年后,当缺损被自身组织完全覆盖时,封堵器便会完全降解为对人体无害的水和二氧化碳,被人体自然代谢。最终,患者心脏内“不留痕迹”,有效避免了传统金属封堵器可能带来的远期磨损、影响未来心脏手术路径等风险。

手术于10月30日进行。整个植入过程在超声引导下完成。术后检查显示,封堵器位置固定完美。患者术后恢复迅速,已于10月31日康复出院。

李东升表示,此次生物可降解封堵技术的成功应用,为众多特别是年轻的PFO患者提供了一个更优、更安心的治疗选择,意味着他们在解决疾病困扰的同时,无需再为心脏内留下一枚金属残留而担忧。

(来源:极目新闻)