为什么有人能顶住压力,有人一遇事就泄气

能不能扛事,不是性格问题,而是关键神经系统的启动与否。

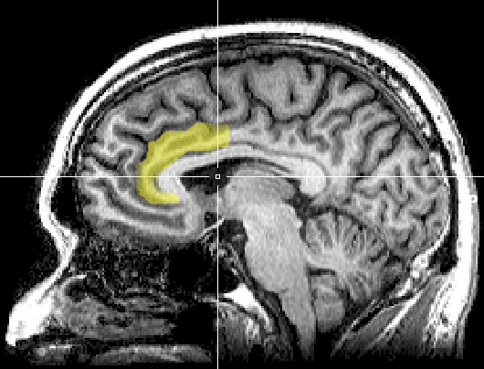
这个系统的核心枢纽叫前中扣带皮层 AMCC

图片

AMCC(前中扣带皮层)就像大脑里的一个“指挥中心”,负责评估一件事值不值得我们花力气去做。它会权衡我们需要消耗的能量和可能得到的回报,帮助我们决定要不要行动。

01

AMCC:动机、奖赏与生理反应的交汇处

它像迎难而上的总开关:被激活时,机体会自动进入前倾状态,心血管、内分泌和注意网络一并调高,主观感受是挑战在即,我要迎上去

当它低活性时,同样的外界要求更像威胁,行为倾向自然转向躲避与拖延。

AMCC不是单打独斗,它位于多条通路的交汇处:

一端连着奖赏与动机系统,决定你是否愿意朝目标靠近;

一端连着自主神经系统,决定你在压力下是兴奋有序还是紊乱崩溃;

还接入预测与误差监控网络,实时评估“我能不能应付眼前这一下”。

因此,能否扛事,本质是这套评估与动员机制能不能顺利点火

02

控制感:决定压力被解读为挑战还是威胁

为什么有的人点得着,有的人一触即熄?

第一关键是控制感

同样的强度与消耗,自主选择的负荷会把AMCC和相关调节系统推向有利模式,被迫承担的负荷则更容易触发应激链条,让生理指标和主观体验一起走低。

简而言之,同样的压力,当大脑把它编码为我在掌控,AMCC会把它当成挑战;当大脑把它编码为我被控制,AMCC会把它当成威胁。

两种编码,导向两套截然不同的生理结局。

03

信念系统:你对压力反应的初始设置

当系统被设定为“压力可用、意志力可再生”,前额叶与扣带回的连接更加稳定,生理反应呈有序状态,表现更专注。

当系统被设定为“压力有害、意志力会枯竭”,同样的任务会被神经系统标注为威胁,反应更杂乱,放弃更快。

你怎么看待压力,决定了大脑启动哪一套程序。

04

可塑性:意志力会被写进大脑结构

AMCC 是一个高度可塑的脑区,会随着经验被重新塑形。

长期能抵抗诱惑、完成目标的人,AMCC 的体积和反应性都会上升

长期回避挑战的人,它的活动水平会下降。甚至在老年人群中,那些仍保持清醒与韧性的人,也往往是 AMCC 没有萎缩的那一类。

换句话说,扛事不是一次次靠意志硬撑,而是一次次经历在改写神经结构。迎难而上的倾向,可以被“刻进大脑”。

05

为什么有人越挫越勇,有人越想越怕

把这三块拼起来,答案就清楚了。

有人能顶住压力,是因为其AMCC—动机—自主神经的联动能顺利点火:

外界要求被编码为我在掌控的挑战,内部默认认为压力可用、资源可再生,久而久之这种模式被巩固为结构和回路层面的偏好

有人一遇事就泄气,是因为同一系统在关键节点点不着火:

外界要求被编码为失控的威胁,内部默认预期损害与枯竭,回避与放弃成为更省能的选项,久而久之这种模式同样被神经可塑性固化。

所谓能扛与不扛,并不是意志这根弦是否够紧,而是迎难系统这台发动机是否被正确点火、稳定耦合、长期校准。

控制感决定压力的“语义”,信念设定生理的“底噪”,可塑性把一次次反应焊接成结构。