肺曲霉球,出现这种症状需立即启动治疗!

图片

核心知识点(省流)

  • 肺曲霉球常见于免疫完整的慢性结构性肺病患者,CT 影像学表现为空洞内的球形结构,常在团块与空洞内壁之间显示空气新月征。


  • 简单型肺曲霉球通常无症状或症状轻微,3 个月内影像学无进展,而复杂性肺曲霉球归于慢性空洞性肺曲霉病(CCPA),通常为有多个空洞伴曲霉球,有呼吸道与全身症状,炎症指标升高。


  • 诊断需要影像学 + 曲霉的血清学或微生物学证据。


  • 致命性大咯血是曲霉球最严重的并发症。


  • 外科手术切除是治疗金标准,简单性肺曲霉球,尤其伴反复咯血或症状明显者首选手术切除。


  • 三大权威指南共识手术指征对比:


图片


  • 对于肺功能差、合并症多或伴多发曲霉球的 CCPA 患者则应予伊曲康唑或伏立康唑抗曲霉治疗,疗程至少 6 个月。




病例简介

男性,75 岁,原有支气管哮喘、变应性支气管肺曲霉病(ABPA)、支气管扩张史,长期规律三联吸入治疗(吸入激素 + 长效 β2 受体激动剂 + 长效抗胆碱能药),因咳嗽、咳痰加重伴发热 1 周入院。


查痰培养:铜绿假单胞菌;痰真菌培养(-),外周血 GM(-),IgE:1750 IU/mL(参考值 0~165);烟曲霉特异性 IgE 12.35 KU/L(参考值 < 0.1)。


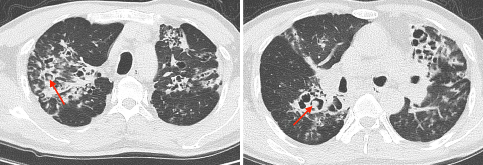
入院 CT 见图 1。


图片

图 1. CT 示两肺广泛散在渗出伴支气管扩张,空洞内有球形结构(箭头)


分析:患者有慢性结构性肺病(支扩)史,长期吸入激素,因咳嗽加重伴发热 1 周入院,CT 影像学可见空洞内球状结构,高度提示肺曲霉球。


初步诊断:支气管哮喘、支气管扩张、变应性支气管肺曲霉病、肺部感染、肺曲霉球?




肺曲霉球的定义


肺曲霉球(Aspergilloma)是由曲霉菌丝交织而成的团块,被粘液、纤维蛋白和细胞碎屑粘结在一起,定植于一个既存的肺空洞内。


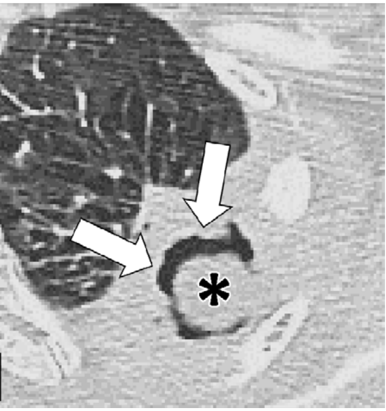
肺曲霉球影像学表现为空洞内的圆形结构,常在团块与空洞内壁之间显示空气新月征(图 2)。曲霉球 CT 可呈现海绵样结构,并可能伴有钙化。曲霉球通常具有移动性,其在空洞内的位置变化可通过让患者采取不同体位(如仰卧位、俯卧位)进行成像来确认(图 3)[1]


图片

图 2. CT 示左上叶原有空洞内出现曲霉球(*),周围呈空气新月征(箭头)[1]


图片

图 3. 43 岁男性,a 图仰卧位,b 图俯卧位,可见曲霉球随体位转动。经气管镜检查明确烟曲霉感染 [4]


简单型肺曲霉球通常无症状或症状轻微,3 个月内影像学无进展。而复杂性肺曲霉球归于慢性空洞性肺曲霉病(CCPA),通常为多个空洞伴曲霉球,伴有呼吸道与全身症状,炎症指标升高。


未治疗者数年后这些空洞可增大或塌陷,空洞周围渗出,或溃破到胸膜,曲霉球可增大也可消失。



易感因素


肺曲霉球常见于免疫完整的慢性结构性肺病患者,其中以肺结核最常见,约占 10%,其次为非结核分枝杆菌(NTM)、COPD 与肺癌,其它还有囊性纤维化、支气管扩张、尘肺、肺梗死后空洞、放射性肺炎空洞、结节病、支气管囊肿、慢性肺脓肿、强直性脊柱炎、ABPA 等。


实体器官移植后、干细胞移植、化疗、粒缺、激素长期使用、HIV 等免疫抑制状态也是肺曲霉球的高危因素 [5]



诊断


肺曲霉球的诊断需要影像学 + 曲霉的血清学或微生物学证据 [2]


大部分慢性肺曲霉病(CPA)患者曲霉特异性 IgG 抗体可升高,敏感性 97%,特异性 98%[3]



鉴别诊断


  • 其它真菌感染:毛霉、念珠菌等,由血管侵袭引起。


  • 结核感染:可表现为实变、晕征与空洞,空洞性肺结核可类似曲霉球。


  • 细菌性肺炎:肺脓肿伴空洞,类似血管侵袭性肺曲霉病。


  • 肺栓塞:楔型实变,或肺梗死导致的结节状阴影,肺血栓栓塞症(肺栓塞)或脓毒性肺血栓。


  • 肉芽肿性多血管炎(Granulomatosis with Polyangiitis, GPA):多发性结节、团块或实变,可有空洞与晕征。


  • 非小细胞肺癌:血管侵袭伴肺梗死形成空洞,类似于曲霉球 [6]



治疗要点


>>>>

2016 年 IDSA 曲霉病诊治指南 [7]


  • 无症状单个曲霉球患者,且空洞大小在既往 6~24 个月无进展者,应当继续随访 (强推荐;   证据质量中等)。


  • 有症状者特别是严重咯血者,合并单个曲霉球时,应当在无禁忌证的情况下手术切除 (强推荐 ; 证据质量中等)。


>>>>

2017 年 ESCMID/ERS 慢性肺曲霉病诊治指南 [2]


1.  手术切除(首选治疗)


  • 适应证:单发肺曲霉球(Simple Aspergilloma),尤其伴反复咯血或症状明显者。


  • 推荐强度:SoR A(强烈推荐),QoE II(证据质量中等)。


  • 手术方式:


1)胸腔镜手术(VATS):优先选择(SoR B),创伤小、恢复快。


2)开胸手术:适用于复杂病例(如多腔病变或粘连严重)。


  • 关键原则:


1)完全切除病灶,避免术中真菌播散至胸膜腔。


2)术前评估肺功能,确保手术可行性。


2.  抗真菌药物治疗


  • 适用场景:


1)手术禁忌:肺功能差、合并症多。


2)多发性曲霉球,如慢性空洞性肺曲霉病(CCPA)患者。


  • 药物方案:


图片
  • 疗程:至少 6 个月,部分需长期维持治疗(预防复发和咯血)。


3.  咯血的处理


  • 轻中度咯血:氨甲环酸(Tranexamic Acid):500 mg 每日 3 次(SoR A,QoE III)。


  • 中重度咯血:


1)支气管动脉栓塞术:短期控制咯血(SoR B,QoE II),成功率 50~90%,复发率 30~50%。


2)急诊手术:栓塞失败或大咯血时作为挽救性治疗。


4.  局部腔内治疗


  • 适用场景:手术不可行且全身抗真菌无效/不耐受者。


  • 方法:经皮或支气管镜引导下向空洞内注入两性霉素 B(50 mg 溶于 5% 葡萄糖溶液 20 mL)。


  • 疗效:短期有效率 70~100%,但并发症较多(咳嗽、胸痛、气胸与支气管内返流)。


5.  围术期管理


  • 术前准备:


1)营养支持:营养不良者需肠内营养改善状态。


2)咯血控制:严重咯血者先行支气管动脉栓塞。


  • 术后抗真菌治疗:


1)无需辅助治疗:若完整切除且无术中污染(SoR D)。


2)需辅助治疗:术中真菌播散或残留病灶时,术后继续抗真菌药物(SoR A)。


6.  随访监测


  • 影像学:术后每 3~6 个月复查低剂量 CT,评估复发或进展。


  • 血清学:定期检测曲霉 IgG 抗体,滴度升高提示复发风险。


  • 药物监测:长期三唑类药物需定期检测血药浓度及肝肾功能。


>>>>

2024 年中国慢性阻塞性肺疾病伴肺曲霉病诊治和管理专家共识 [8]


  • 简单型曲霉球患者为避免进展为危及生命的咯血,或以治愈为目的,建议在充分评估后考虑行肺叶或肺段切除,或在可视胸腔镜下清除病灶(应评估病灶,避免曲霉的外溢)。


  • 对于难治性 CCPA 或伴随危及生命咯血的患者,可考虑在经验丰富外科团队支持下行肺叶或全肺切除。


  • 围手术期推荐给予至少 6 个月的抗真菌药物治疗。


  • 术后定期随访胸部 CT 和血 IgG 抗体水平。



什么情况下可以不治疗?


>>>>

无需立即治疗的情况 [3]


1.  无症状患者:


  • 约  7%~10% 的曲霉球可自发消退。对于无咯血、咳嗽、胸痛等症状,且免疫功能正常的患者,尤其是简单型曲霉球(单发薄壁空洞,周围肺组织正常),可考虑保守观察。


  • 部分学者主张对无症状患者暂不手术,因手术本身存在  4% 死亡率和  33% 并发症率。


2.  低风险人群:


若患者无咯血史、空洞未累及大血管、无免疫抑制(如未使用激素或免疫抑制剂),且影像学稳定,可选择定期随访。


>>>>

必须治疗的情况


1.  症状明显或高风险患者:


  • 咯血:是首要治疗指征。曲霉球继发咯血死亡率高达  38%,一旦出现需紧急干预(如支气管动脉栓塞术或手术)。


  • 复杂型曲霉球:空洞壁厚、周围肺纤维化或胸膜增厚者,症状更重,易进展。


  • 免疫抑制患者:如器官移植、长期用激素者,感染易扩散,需积极治疗。


2.  病变进展:


若随访中空洞扩大、曲霉球增大或新发症状,需启动治疗。


>>>>

保守观察的注意事项


1.  严密监测:


  • 评估病情:每  3~6 个月复查胸部 CT 及血清学(如曲霉 IgG 抗体)。


  • 患者需警惕咯血先兆(如痰中带血),及时就医。


2.  启动治疗时机:


一旦出现症状(尤其咯血)或影像学进展,应启动针对性治疗。



经验教训


吸入或全身性使用激素是慢性肺曲霉病(CPA)的重要危险因素之一,可导致疾病进展与曲霉播散风险 [9]。无抗真菌治疗保护情况下,激素可加速曲霉病进展。


COPD、哮喘、ABPA、结节病、类风关等可能需要长期使用激素,应严格掌握激素使用适应症,以最小的激素暴露达到疾病的最佳控制。



策划:超超
投稿邮箱:wangmeichao@dxy.cn