不明原因视力下降、突然“发福”,可能是长了这种脑瘤!

28岁小陈(化名)平时喜欢打羽毛球

突然有一天 发现比赛时经常“漏球”

日常视力也出现了下降

到医院一检查

发现脑部长了一个巨大的垂体瘤

直径长达4厘米


近日

中山六院垂体瘤中心门诊

再次遇到被“误会”的垂体瘤患者

“两个月视力从1.0跌到0.2”

经鼻微创切除后

李先生(化姓)的视力回弹到0.8,激素也完全正常

神经外科学科带头人王海军教授提醒

垂体瘤越早干预,恢复越“满分”

拖到晚期,不仅视力难保,内分泌还可能“全线崩溃”


一场“及时雨”般的治疗


不知道从哪天开始,李先生发现自己看东西总是模模糊糊,好像隔了一层毛玻璃。他以为是平时看电子设备时间过久,眼睛近视了。他到眼科检查,排除了眼底病变,并配了近视眼镜,但视力并未有明显改善,还在持续下降。


为了进一步查明原因,医生建议他立即前往神经外科完善MRI等检查。


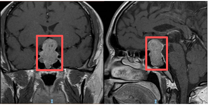
图片

术前垂体增强磁共振可见巨大哑铃型肿瘤



经头颅CT、磁共振等检查,王海军教授团队确诊李先生为“颅内鞍区占位性病变”,通俗来说,就是颅内长了一个压迫神经的肿物。“当时肿物已经对周围脑组织造成了一定压迫,如果再拖延不积极处理的话,可能会出现失明、脑积水甚者昏迷等严重的并发症。”王海军教授回忆道。

考虑到李先生的病情紧急且复杂,团队迅速制定治疗方案。


术中,团队借助高清神经内镜技术,精准定位肿物位置,在尽可能保护正常垂体组织的前提下,完整切除了病变组织。术后,配合专业的康复训练和复查,李先生的视力逐渐恢复。如今他不仅能正常工作生活,复查时各项神经功能指标均已恢复至正常水平。


除了视力,垂体瘤还会“遥控”全身


垂体只有豌豆大,虽然它个头很小,但它是内分泌“总司令”,分泌的激素控制着我们的生长、发育、代谢以及生殖。


垂体瘤分为“干活型(功能性)”和“躺平型(无功能性)”。我院神经外科副主任(主持工作)陈文立副主任医师强调,垂体瘤大多是惰性肿瘤,生长缓慢,但少部分生长较快的垂体瘤会压迫神经。万一出现以下症状应高度警惕:



1.视力突发大幅下降

2.下颌肥大以及肢端肥大,如鞋码突然增大

3.无法以药物有效控制的糖尿病高血压

4.女性月经不调、非哺乳期泌乳

5.性功能障碍、不孕不育

6.剧烈头痛、偏头痛


治疗垂体瘤的4种方法


1.观察

肿瘤的大小可能会变化,也可能从无功能瘤变成有功能瘤,所以,观察是非常有必要的。


2.药物治疗

大部分垂体泌乳素瘤可以通过药物治疗,部分生长激素腺瘤可以通过药物得到缓解。


3.手术治疗

绝大部分的患者是不需要开颅手术的,98%的患者经鼻腔、内镜、微创手术等,就能获得很好的治疗效果


4.放射治疗

其伽马刀治疗也是一种很好的补充治疗。


早预防、早治疗

我们能做的3件“护脑事”


“神经外科疾病的防治,不是‘医生单方面的事’,需要医患共同努力。” 王海军教授强调,于普通人而言,做好 “预防” 和 “及时就医”,能大大降低神经疾病的风险


1. 定期体检,给大脑做 “健康筛查”

建议40岁以上,尤其是有家族病史、基础疾病(如高血压)或长期熬夜等危险因素的人群,做一次“脑血管体检”,即脑部核磁共振和脑血管成像。

2. 调整生活习惯,给大脑 “减压护航”

神经疾病的发生,与不良生活习惯密切相关。王海军教授建议:


少熬夜,控压力:尽量保证每晚 7-8 小时睡眠,避免长期凌晨后入睡;工作间隙多做 “深呼吸、颈肩放松操”,减少精神紧张对神经的刺激;


忌烟酒,控饮食:吸烟会导致脑血管硬化,饮酒过量可能引发脑出血;日常多吃蔬菜、水果、全谷物,减少高油、高盐、高糖食物,避免肥胖(肥胖会增加脑血管病风险);


适当运动,护血管:每周坚持 3-5 次有氧运动,如快走、慢跑、游泳,每次 30 分钟以上,能改善脑部血液循环,增强神经细胞活力。

3. 科学应对,别让“恐惧”耽误治疗

很多人因 “害怕手术”“担心治不好”,即使出现症状也不愿就医,最终错过最佳治疗时机。对此,陈文立解释:“如今神经外科技术已非常成熟,像颅内肿瘤、脑血管病等,很多都能通过微创手术治疗,创伤小、恢复快。比如我们科室开展的神经内镜手术,对颅内病变全切率达到95%以上,术后并发症发生率低于5%。”

(温馨提示:本文内容仅供科普参考,个体差异可能导致诊疗效果不同,请遵从主治医师的治疗方案。)



本文指导专家

图片

神经外科  王海军  学科带头人


二级教授,主任医师,博士生导师、博士后合作导师。“中山大学名医”,中山大学附属第六医院神经外科学科带头人。


学术任职:广东省医学重点实验—垂体肿瘤研究实验室主任,中国垂体腺瘤协作组专家委员会组长,中国医师协会神经外科分会常务委员,广东省医学会神经外科分会委员会主任委员,广东省医师协会神经外科医师分会第二、第三届主任委员。


医疗专长:从事神经外科临床和教学工作近40年,有治疗神经外科各种疾病的经验,主要从事神经系统肿瘤工作,特别是对鞍区肿瘤如垂体腺瘤、颅咽管瘤、脑膜瘤等疾病的诊治有较深造诣。显微镜、神经内镜和神经导航下经蝶窦微创手术治疗垂体腺瘤等鞍区肿瘤服务超5000人次,治愈率、内分泌缓解率、视觉功能恢复率达国际国内领先水平。


科研成果:牵头组织编撰9部垂体腺瘤诊治指南共识,组织建立中国垂体腺瘤规范化诊治体系及卓越中心,主持科研项目包括国家自然科学基金等13项。先后获得中华医学科技奖三等奖、广东省自然科学奖二等奖、广东省医学科技奖一等奖。以第一作者及通信作者在Small、Neurology、J Clin Endocrinol Metab、Clinical Nuclear Medicine等高水平期刊和国内核心期刊发表论著80余篇。


出诊时间:周一上午


图片

神经外科  陈文立  副主任医师


硕士研究生导师,中山大学附属第六医院神经外科副主任(主持工作)。


学术任职:中国垂体腺瘤协作组秘书、广东省医学会神经外科分会常委委员、中国医师协会周围神经专委会委员、广州抗癌协会脊柱肿瘤专委会委员、Frontiers in Molecular Neuroscience(IF 6.26) 章节副主编、Aging and Disease等多本高水平杂志审稿人


医疗专长:长期从事于神经肿瘤、脑血管病等神经系统疾病的外科诊疗和基础研究,尤其擅长颅底肿瘤、神经内镜微创手术等。


近5年第一作者/通讯作者论文15篇,高水平论文12篇(IF>5分, 6篇),主持国家自然科学基金、广东省自然科学基金等课题5项,获专利授权3项,全国神经外科专科医师技能竞赛一等奖,首届神经外科卓越青年科学家大赛优秀风采奖。


门诊时间:周五上午


部分内容来源健康100FUN

感谢陈金平对本文的支持

责任编辑:刘山青、罗炜

初审:张源泉、戴希安

审核:乐虞莹、吕竹

终审:李文敏