从芯片到马路:当电子眼植入、脑机接口与仿生义肢体一起改变人们的生活| CyborgIN 41

图片


“未来的人类,不再是生物的终点,而是进化的开端。


《CyborgIN》:CyberDaily关于脑机接口-仿生义肢-赛博格的子栏目。




前言


在本期 CyborgIN,我们把镜头对准那些正在把“科幻”变成日常的技术——从让人重回书页的电子眼和AR眼镜,到能更自然行走的植入式仿生膝;从在本土生长、为更多人带来可负担假肢的尼日利亚仿生手,到在东莞启航的脑机接口康复中心,再到贴在皮肤上的多功能电子皮肤。

它们看起来各不相同,但都在同一件事上努力:把失去的能力一点点找回来,让生活重新可触、可读、可走。翻开这一期,你会看到技术如何与日常相遇、如何改变一个人的早晨、一条街道和一整天的可能性。欢迎和我们一起读这些关于复原、连接与再出发的故事


正文


 

 

 

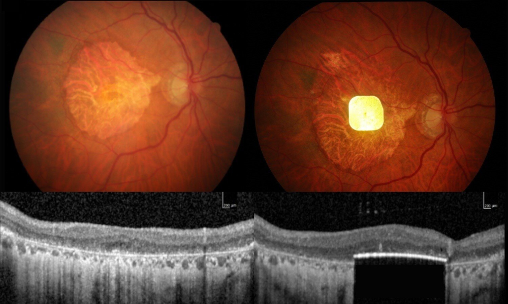
01.电子眼植入+AR眼镜,让失明者重获阅读能力


伦敦大学学院(UCL)和Moorfields眼科医院联合进行的一项临床试验显示,一种新型电子眼植入装置配合增强现实(AR)眼镜,能够让因干性年龄相关黄斑变性(Dry AMD)失明的患者重新获得阅读能力,这对他们的生活质量、情绪以及独立性都是巨大的提升。


图片


这项欧洲多中心试验涉及38名患者,分布在五个国家的17家医院。研究结果发表在《新英格兰医学杂志》上:84%的参与者能够通过植入眼恢复中心视觉,辨认字母、数字和单词。平均而言,患者可以读五行视力表上的文字,而在手术前,有些人甚至连视力表都看不清。


干性AMD是一种慢性视网膜退化疾病,中心视网膜细胞逐渐死亡,部分患者会经历中心视力减退。随着疾病发展,通过所谓的地理萎缩(GA),中心黄斑区域会完全丧失功能,目前全球约有500万人受此影响,尚无有效治疗手段。此次试验的所有参与者在手术前均丧失了受试眼的中心视力,仅保留有限的周边视力。


图片


此次试验所使用的设备名为 PRIMA,是一种微型超薄植入芯片,厚度仅0.03毫米(约为一根头发的一半),大小相当于SIM卡。手术通过玻璃体切除术进行,医生在视网膜下方为芯片开一个小“陷阱门”,植入芯片后,患者配戴的AR眼镜内置摄像头可将画面投射到芯片上。通过腰部佩戴的小型计算机,视频信号被转换成电信号,传递到视网膜和视神经,再由大脑解读为视觉。


图片


值得一提,此次全球试验由德国波恩大学的Frank Holz博士领导,参与国家包括英国、法国、意大利和荷兰。PRIMA系统由Science Corporation开发,这是Neuralink前联合创始马克思·霍达克创办的神经脑机接口公司。Neuralink正在开发视觉植入物的脑机接口,恢复视觉障碍者的光明。


手术后大约一个月,芯片启动,患者进入密集的康复训练阶段,学习如何识别视觉信号并重获阅读能力。患者可以通过眼镜上的缩放功能放大文字,并逐渐在日常生活中使用,例如解谜、填字游戏,甚至在公共交通中导航。试验显示,植入芯片并不会影响患者现有的周边视力。


这项技术突破,对于因干性AMD而失去中心视力的患者而言,这不仅是一项技术创新,更是一种生活的重生,从黑暗中重新回到可以阅读、辨认文字和享受生活的世界。



02.麻省理工的植入性仿生腿,更快行走


麻省理工学院的研究人员开发了一种新型的仿生膝盖,它可以直接与使用者的肌肉和骨骼组织整合。这种新型假肢比传统的假肢更具优势,能够帮助膝上截肢者更快地行走、爬楼梯和避开障碍物。


图片


这种技术称为主动肌-拮抗肌神经接口(AMI),可以从截肢后残留的肌肉中提取神经信息,并利用这些信息来帮助引导假肢的运动。AMI技术已被证明可以帮助膝下截肢患者更自然地行走。


在最新的研究中,研究人员开发了一种将钛棒插入膝上截肢患者残留股骨的手术方法。这种植入物提供了更好的机械控制和承重能力,并且通过16根导线收集AMI肌肉上的电极信息,从而实现更好的神经假体控制。https://www.science.org/doi/10.1126/science.adv3223

图片

在临床研究中,两名接受钛棒植入的患者在爬楼梯等任务上表现更好,并且报告称假肢感觉更像是自己身体的一部分。该系统需要进行更大规模的试验才能获得FDA的商业使用批准,预计可能需要大约五年时间。


03.尼日利亚有自己的仿生手臂,拯救无法接入假肢的人们


尼日利亚有许多截肢者因经济原因无法获得或负担得起假肢。为解决这一问题,尼日利亚的Immortal Cosmetic Art公司开发了一种新型仿生手臂:Ubokobong Bionic Arm。


图片

这种仿生手臂不仅功能强大,还具有逼真的人类外观,能够匹配非洲人的肤色。通过脑电肌电图(electromyography)信号控制手臂的不同肌肉,帮助截肢者恢复手部功能。


其主要面向尼日利亚及其他非洲国家的截肢者,同时也吸引了来自美国、英国、澳大利亚和加纳的订单。


该公司由John Amanam Sunday创立,他是一位超现实主义假肢艺术家。灵感来自六年前,John的弟弟乌博科邦(Ubokobong )因燃放烟花失去了手指,经过三年的深入研究,如今已发展成为一个功能齐全、由大脑控制的仿生手臂。

 

04.东莞首家脑机接口治疗中心启用,让脊髓损伤患者重新“动”起来


据东莞阳光网消息,近日,东莞市东部中心医院(暨南大学附属第六医院)脑机接口治疗中心正式成立。这是东莞地区首家、广东省最早一批系统化开展脑机接口技术临床研究和治疗的机构。


图片


依托东莞市中枢神经系统损伤与修复重点实验室等三大科研平台,整合高校、企业、政府资源,构建全流程闭环体系。由神经内科、神经外科、康复医学科等多学科团队组成,形成独特的“BCI-MDT”工作模式。


主要针对脊髓损伤、脑卒中、意识障碍三大核心病种,提供个性化康复治疗。


例如瘫痪两年的陈女士(化名)通过脑机接口技术,成功驱动外骨骼机器人逐步掌握“行走”,重燃康复希望。


图片



05.一种多功能电子皮肤(e-skin)系统


来自青岛大学、韩国健康与康复科学大学、韩国先进纳米制造中心(KANC)和山东大学的研究团队。他们开发了一种基于激光诱导石墨烯(LIG)复合平台的多功能电子皮肤(e-skin)系统。


图片



该LIG/PDMS/AgNWs复合电子皮肤展示了下一代可穿戴电子设备的潜力,结合了高机械柔韧性、强大的电响应能力和自适应算法分析。


未来与便携式和人工智能辅助健康监测框架的兼容性,为运动科学、康复和预防医学中的高级应用铺平了道路。

https://www.sciencedirect.com/science/article/abs/pii/S1385894725099619



2050年的一天早晨


图片




后记

赛博格是一个身份,也是人类迈向后人类、超人类的显现,但现在目标价值是,人们通过接入脑机接口、仿生义肢、外骨骼、植入物,得以恢复正常的活动能力、增强自身,从“牢笼”解放出来,去体验广阔的生活,实现自我。

我们组建了一个【CyborgIN交流群】,如果您也在关注脑机接口、仿生义肢、植入物...可以后台加微信:Seeranverse,加时请备注公司+姓名和关注或从事领域。