美国一工厂工人每10秒一次吸电子烟,致严重伤害,其称“从未料到会发生在己身”

据英媒10月22日报道,一名德克萨斯州的工厂工人“每10秒就吸一次”电子烟,他声称一场严重伤害是他最终彻底戒烟所需的警醒。哈德森·威廉姆斯在2019年首次从吸烟转为吸电子烟,因为他觉得电子烟“味道更好”,此前他已吸了一年香烟。

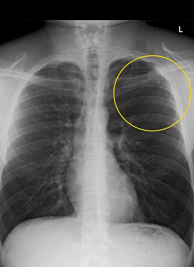
但沉迷于一次性电子烟六年后,这位23岁的年轻人在8月因胃灼热发展成剧烈胸痛而被送医。他说,“大约15分钟内,我就感觉好像有人用霰弹枪击中了我的胸部”。威廉姆斯被紧急送往医院,医生诊断他患有部分肺塌陷,这种情况发生在空气泄漏到胸腔并对肺部施加压力时。

图片

电子烟中数千种可能致癌的化学物质会侵蚀肺组织,导致称为肺大疱的小气囊破裂,进而使肺部塌陷。如果不及时治疗,这可能会导致呼吸困难和胸腔感染。威廉姆斯承认,他曾在网上看到过警告电子烟潜在危险的帖子,包括永久性肺损伤、高血压肺癌,尽管他“从未想过会发生在自己身上”。

他的警告发出之际,美国约有6%的成年人表示经常吸电子烟。18至24岁的年轻人吸电子烟的比例最高,该群体中超过15%的人表示经常使用。在儿童中,仍有约160万名初中生和高中生吸电子烟,不过自2019年达到峰值以来,使用率有所下降。

图片

威廉姆斯说:“我很幸运,因为有些人会出现全肺塌陷,甚至双肺都塌陷”。“医生说,这百分之百是由吸电子烟引起的,他们还告诉我,即使我不再吸电子烟,这种情况也可能再次发生”。“这太可怕了。我真的很后悔自己吸过电子烟”。

长期以来,电子烟一直被吹捧为比吸烟更安全的替代品,而吸烟已被证实会导致十分之九的肺癌病例,肺癌是美国最致命的疾病。然而,越来越多的研究发现,吸电子烟的习惯可能与其他长期危害有关,包括肺部塌陷。

图片

今年早些时候,医生在医学期刊上详细描述了一名新泽西州男子死于侵袭性肺癌的病例,这是首例被认为直接由电子烟引起的此类病例。电子烟通过加热通常含有尼古丁、调味剂和有毒化学物质混合物的液体来产生气溶胶。

吸入这种蒸汽时,有害物质会深入肺部,包括甲醛、乙醛和其他已知会致癌的挥发性有机化合物。这些物质会损伤肺组织,随着时间的推移,这种损伤可能导致DNA突变和炎症,从而增加患癌风险。

图片

威廉姆斯感到疼痛“从我的肩袖、锁骨、心脏、胸部中央、颈部、耳垂、肺底部到背部”四处蔓延,难以呼吸。在医院,医生告诉他,他的肺部塌陷了10%,这被认为是轻微塌陷。

止痛药和补充氧气,加上在医院过夜,帮助他完全康复,不过医生警告说,由于已经造成的长期损伤,即使他戒掉电子烟,他的肺部也可能再次塌陷。

威廉姆斯说:“这件事发生后,我立刻戒掉了电子烟。这百分之百是我彻底戒烟所需的警醒”。“我想对任何人说,不要吸电子烟,这并不酷。戒烟很难,说起来容易做起来难”。“这是个坏习惯,很难改掉,但肯定是有可能的”。

(原文标题:Factory worker who vaped 'every 10 seconds' suffered catastrophic injury… 'never thought it'd happen to me')