年轻人手背上的包块,竟然如此罕见且高度恶性!

图片

史回顾


患者男,22 岁,因「发现右手肿物 5 年,疼痛 2 月」入院,查体可见右侧手背有一大小约 3 cm*4 cm*1 cm 肿物,伴第 3、4 指牵拉痛,右手五指屈曲活动稍受限,右侧腋下有一大小约 3 cm*1 cm*1 cm 肿物。


当地医院右手 DR 示:右手手骨骨质未见异常。当地医院手部超声示:右手背实质性肿块(36 mm × 41 mm)。


入院行超声检查,可见右手掌背皮下探及一实质性低回声区,范围约 8.1 cm × 3.5 cm × 3.1 cm,与周围组织分界不清,形态不规则,内回声不均,内可见强回声伴声影;


内另见第 3 掌骨骨质破坏、骨皮质连续性中断,内可见低回声区,范围约 3.0 cm × 1.8 cm,边界不清,内回声不均。


CDFI:低回声区内可见稍丰富点棒状血流信号。超声提示:右手掌背皮下不规则低回声区,第 3 掌骨骨质破坏,性质待定,考虑恶性可能,请结合其他检查。


图片图 1 右手背肿物二维超声声像图:不规则实质性低回声,内可见强回声,伴第 3 掌骨骨质破坏
图片图 2 右手背肿物血流信号图:内可见稍丰富点棒状血流信号
图片图 3 右侧腋窝见一个肿大淋巴结(大小 3.5 × 1.7 cm)
全身骨显像 SPECT/CT 融合图像:CT 示右第 3 掌骨膨大,不同程度骨质破坏,病变累及第 4 掌骨近端,周围软组织明显肿胀。

结论考虑右第 3 掌骨及第 4 掌骨近端原发性骨肿瘤(骨肉瘤?),建议病理活检。

图片图 4 患者 SPECT/CT 融合图像显示右第 3 掌骨膨大,不同程度骨质破坏,病变累及第 4 掌骨近端
右手 MRI 提示右手第 3 掌骨骨质破坏伴周围软组织肿块,考虑骨肿瘤,恶性可能性大,请结合临床。

图片图 5 右手 MRI 可见右手第 3 掌骨骨质破坏,周围见软组织肿块影
入院后行手肿物活检术 + 右腋窝淋巴结取活检术。

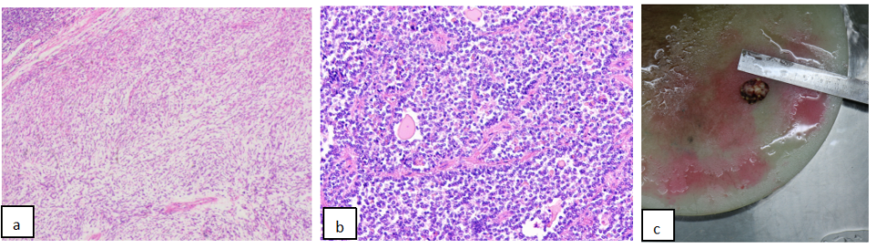
病理提示:1.(右手掌肿物 + 骨组织)软组织恶性肿瘤,组织形态结合免疫组化结果,考虑尤因肉瘤可能性大,差分化滑膜肉瘤不除外。建议做分子检测 EMSR1、SS18,以进一步诊断。

2.(右腋窝)送检淋巴结内可见肿瘤转移。

图片图 6 右手背肿物病理图及送检标本图
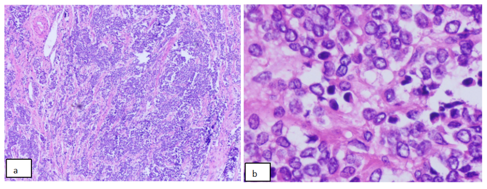
患者进行一定时间化疗后在全麻下行右手第 3 掌骨恶性瘤段切除术+取髂骨肢体重建术,术后病理提示:(右手掌第三掌骨肿物)软组织小圆细胞恶性肿瘤,考虑尤因肉瘤的可能性大,但不能除外差分化滑膜肉瘤,建议做 EWSR1、SS18 基因检测进一步诊断。

图片
图 7 右手背肿物手术送检标本

图片图 8 手术后右手背肿物病理图片

尤因肉瘤


尤因肉瘤(Ewing sarcoma)是好发于儿童和青少年骨及软组织的小圆细胞高度恶性肿瘤,主要发生于长骨干骺端(约占 80% ),青少年多见,年龄范围多在 10 岁 - 30 岁,平均 18 岁,年龄偏大者主要发生于椎旁的软组织和四肢近端,发病率约 1.5/1000000。

尤因肉瘤症状不具有特异性,表现为疼痛、肿胀、发热和红斑等非特异性炎症症状,红细胞沉降率和 C-反应蛋白水平可能升高,由于其早期的基础检测结果不具有特异性以及诊疗水平的限制,可能导致漏诊及误诊。

临床上尤因肉瘤主要表现为生长较迅速的软组织肿块,骨原发性尤因肉瘤在影像学上主要表现为溶骨性病变,可出现特征性的洋葱皮样改变。

治疗主要是以肿瘤的手术切除为主,辅以化疗及放疗等综合性治疗。尤因肉瘤对化疗敏感,即便是洋葱皮样的骨膜反应仍可完全骨化。

随着治疗方法的改进,目前尤因肉瘤患者的总生存率较以往增加,原发于四肢远端的患者生存率更高,对于非转移性尤因肉瘤,患者 5 年无瘤生存率约为 70% ,而转移性尤因肉瘤的 5 年无瘤生存率较低,约为 20%。

投稿邮箱 / gulujun@dxy.cn

首发:丁香园超声时间

题图及文中图片来源 / 作者提供


参考文献:
[1] 李志文,黄文斌.尤因肉瘤家族及尤因样肉瘤的病理学研究进展[J].临床与实验病理学杂志,2021,37(07):822-826.DOI:10.13315/j.cnki.cjcep.2021.07.012.